医影在线

标题: CT21271:大家看看 [打印本页]

作者: wz_221    时间: 2009-7-25 18:34
标题: CT21271:大家看看
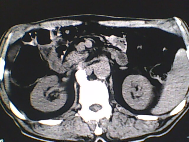
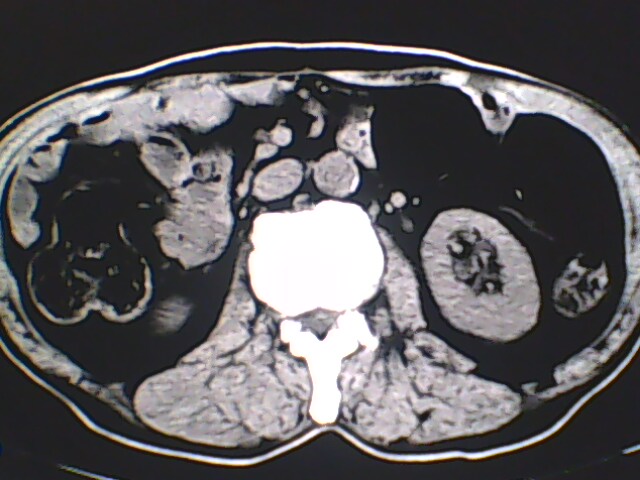
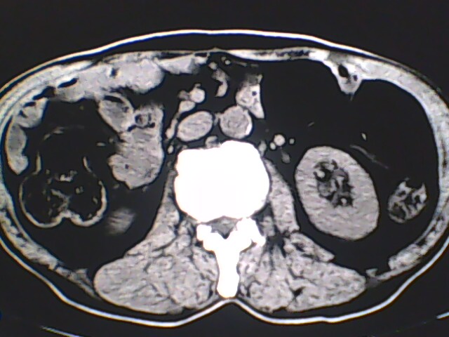
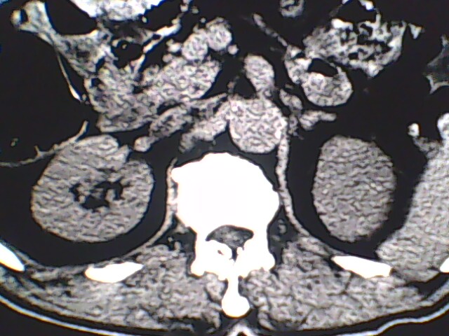
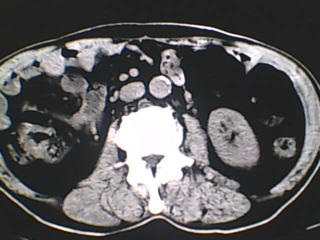
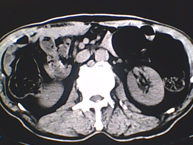
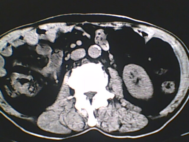
男,56岁,高血压,临床怀疑肾上腺问题,肝脏怎么那么高啊?能描述一下么?























































[本贴已被 jiajie 于 2009-7-25 12:42:51 修改过]

作者: 深泽交通    时间: 2009-7-25 19:14
仅见脊柱退行严重;别的没感觉出什么,请大家指教
作者: zjzjr    时间: 2009-7-25 20:47
右侧膈膨升,间位结肠,胸腰椎退行性骨关节病,右侧肾上腺可疑增生(图像颗粒太粗,窗太窄,不好看)。
作者: 随光逐影    时间: 2009-7-25 20:52
支持 右侧膈膨升,间位结肠;胸腰椎退行性骨关节病;双侧肾上腺可疑增生。
作者: 黑白光影    时间: 2009-7-26 05:21
支持 右侧膈膨升,间位结肠;胸腰椎退行性骨关节病;双侧肾上腺可疑增生。
作者: jinguoji    时间: 2009-7-26 08:31
标题: 回复:ct21271:大家看看
以下是引用zjzjr在2009-7-25 12:47:00的发言:[br]右侧膈膨升,间位结肠,胸腰椎退行性骨关节病,右侧肾上腺可疑增生(图像颗粒太粗,窗太窄,不好看)。

楼主医院的ct机该换了。
作者: 帅河马    时间: 2009-7-26 08:37
支持 右侧膈膨升,间位结肠;胸腰椎退行性骨关节病;双侧肾上腺可疑增生。
作者: chinanyd    时间: 2009-7-26 14:24
右侧膈膨升,间为结肠
作者: 余辉    时间: 2009-7-26 16:02
标题: 回复:ct21271:大家看看
以下是引用zjzjr在2009-7-25 12:47:00的发言:[br]右侧膈膨升,间位结肠,胸腰椎退行性骨关节病,右侧肾上腺可疑增生(图像颗粒太粗,窗太窄,不好看)。

作者: zhengfaming    时间: 2009-7-26 16:14
右侧膈膨升,间为结肠
作者: pujunzhi    时间: 2009-7-26 18:14
支持右侧膈膨升,间位结肠,胸腰椎退行性骨关节病,右侧肾上腺可疑增生。
作者: dsl555    时间: 2009-7-26 18:26
支持 右侧膈膨升,间位结肠;胸腰椎退行性骨关节病;双侧肾上腺可疑增生。
作者: zxl51642    时间: 2009-7-27 18:05
支持 右侧膈膨升,间位结肠;胸腰椎退行性骨关节病;双侧肾上腺可疑增生。




欢迎光临 医影在线 (http://bbs.radida.com/bbs/) Powered by Discuz! X3.2