医影在线

标题: MRI2365:左大腿病变 [打印本页]

作者: rongzhangyile    时间: 2009-7-29 01:40
标题: MRI2365:左大腿病变
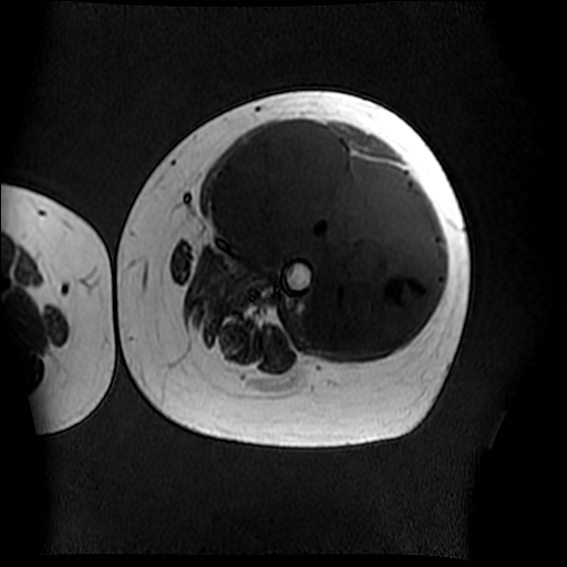
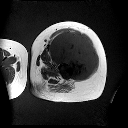
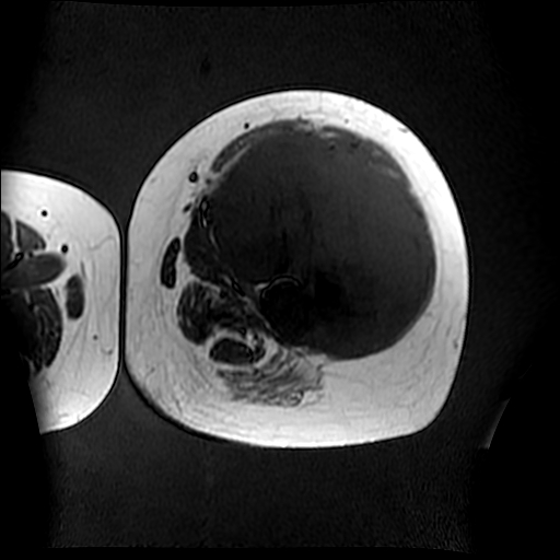
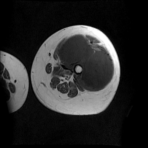
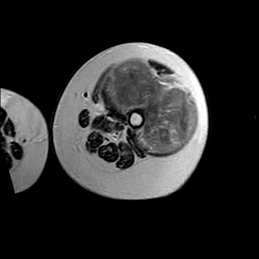
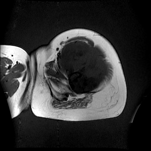
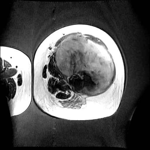
左侧大腿外伤10余年,当时情况不清,发现左侧大腿肿胀7年余,而后又有多次外伤史,近1年来出现疼痛,减重半年。查体:左侧大腿肿胀明显,皮温、肤色正常。





















增强





















[本贴已被 翁志蓬 于 2009-7-28 22:33:22 修改过]

作者: huangxun4321    时间: 2009-7-29 06:03
恶性肿瘤,滑膜肉瘤?软骨肉瘤?建议加照平片.
作者: pujunzhi    时间: 2009-7-29 06:28
支持左大腿深部间叶组织恶性肿瘤。
作者: yuliusen    时间: 2009-7-29 16:49
恶性肿瘤,滑膜肉瘤,软骨肉瘤
作者: jiangjing    时间: 2009-7-29 17:49
软组织肿块,股骨破坏,增强不均匀强化-----支持恶性肿瘤
作者: ssmmxx    时间: 2009-7-29 19:15
支持恶性肿瘤
作者: 随光逐影    时间: 2009-7-29 20:25
支持 左大腿深部间叶组织恶性肿瘤。
作者: 熊熊    时间: 2009-7-29 22:57
恶性肿瘤,滑膜肉瘤,软骨肉瘤
作者: hhhhhh6    时间: 2009-7-29 23:19
标题: 回复:mri2365:左大腿病变
以下是引用ssmmxx在2009-7-29 11:15:00的发言:[br]支持恶性肿瘤

作者: zjzjr    时间: 2009-7-29 23:42
支持 左大腿深部间叶组织恶性肿瘤。
作者: QINGJUAN    时间: 2009-7-30 03:07
支持恶性肿瘤
作者: 看图说话    时间: 2009-7-30 06:55
软组织肿块,股骨破坏,增强不均匀强化-----支持恶性肿瘤
作者: 卜一    时间: 2009-7-30 15:05
支持左大腿深部间叶组织恶性肿瘤。
作者: 黑白光影    时间: 2009-8-1 05:40
支持左大腿深部间叶组织恶性肿瘤。




欢迎光临 医影在线 (http://bbs.radida.com/bbs/) Powered by Discuz! X3.2