









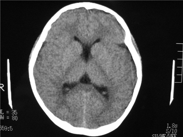
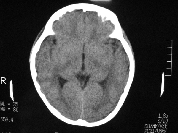
以下是引用随光逐影在2009-8-1 14:17:00的发言:[br]透明隔囊肿与vergae腔并存。
以下是引用zjzjr在2009-8-1 14:51:00的发言:[br]五、六脑室形成。
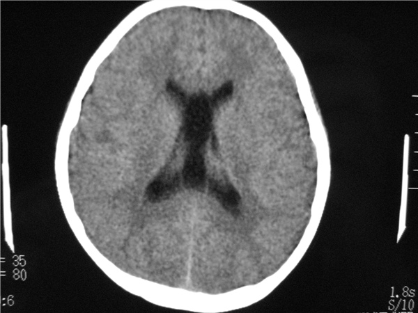
以下是引用随光逐影在2009-8-1 14:17:00的发言:[br]透明隔囊肿与vergae腔并存。
以下是引用zjzjr在2009-8-1 14:51:00的发言:[br]五、六脑室形成。
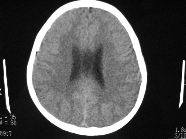
以下是引用随光逐影在2009-8-1 14:17:00的发言:[br]透明隔囊肿与vergae腔并存。
| 欢迎光临 医影在线 (http://bbs.radida.com/bbs/) | Powered by Discuz! X3.2 |