





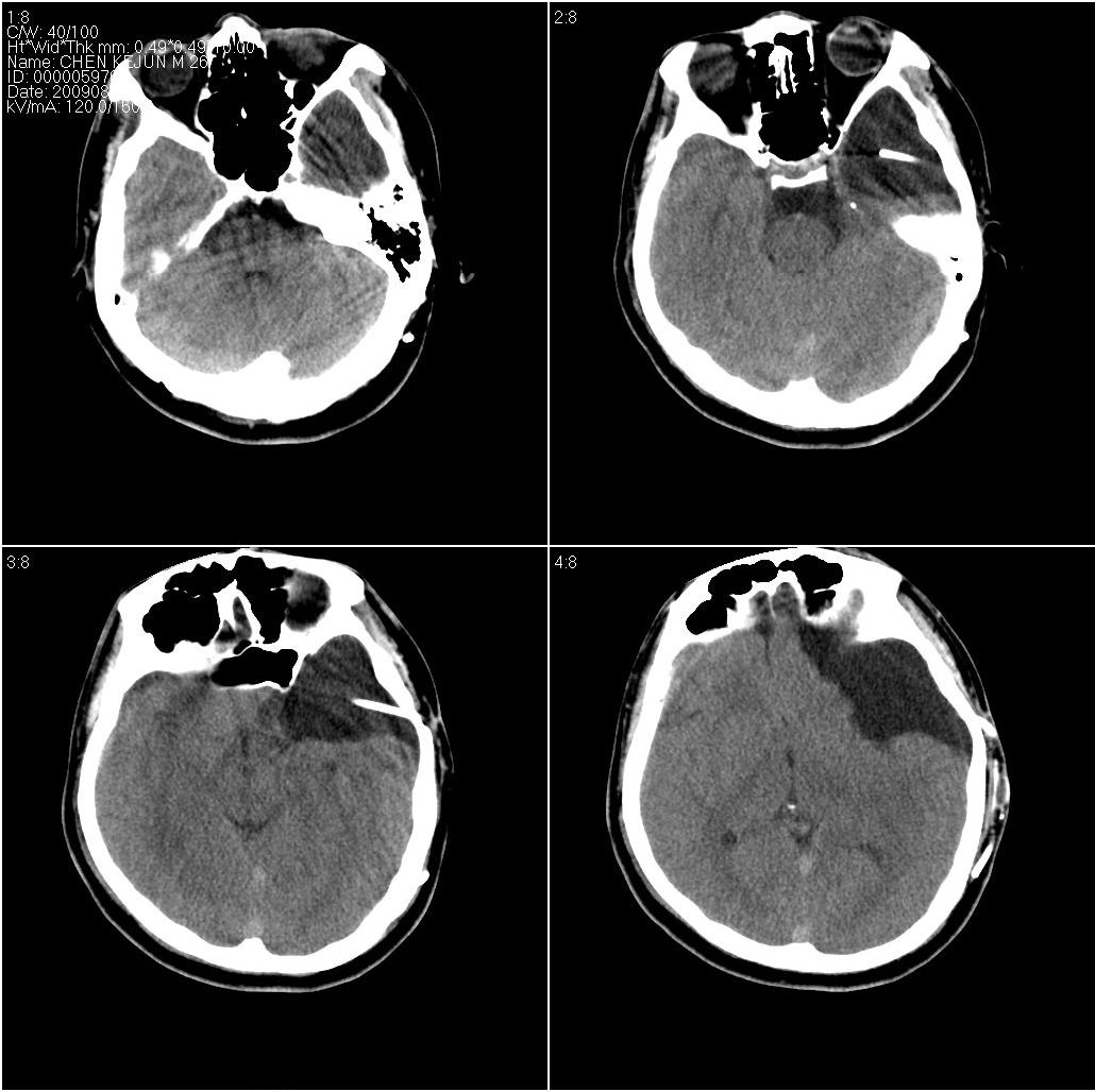
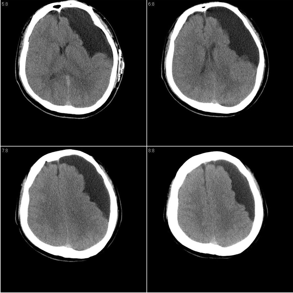
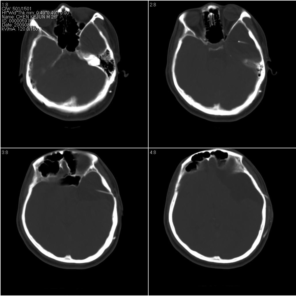
以下是引用随光逐影在2009-8-1 17:07:00的发言:[br]左侧中颅窝及左侧额颞顶部蛛网膜囊肿,并囊液引流术后。
以下是引用hhcckk在2009-8-1 17:29:00的发言:[br]左侧额颞部囊状低密度影,边缘平直,有明显占位效应,考虑蛛网膜囊肿,病变导致左额颞部受压,精神症状可与此有关,李松年编的ct诊断学上有过介绍,额叶联合区损害可引起智力、性格、精神症状,也就是9、10、11区[br][br]
[br]
| 欢迎光临 医影在线 (http://bbs.radida.com/bbs/) | Powered by Discuz! X3.2 |