









































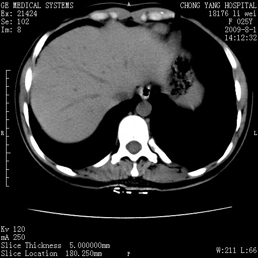
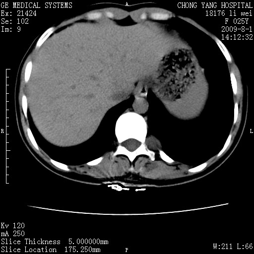
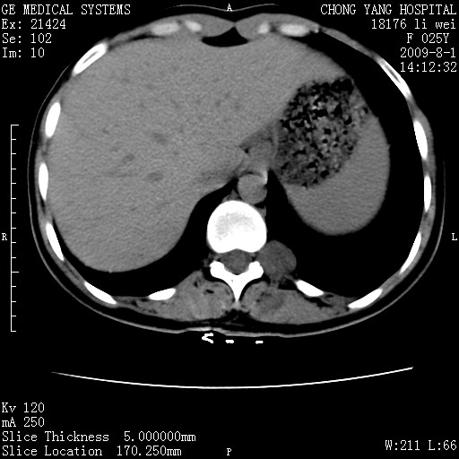
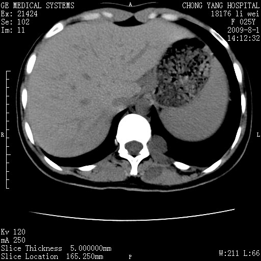
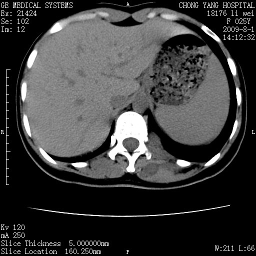
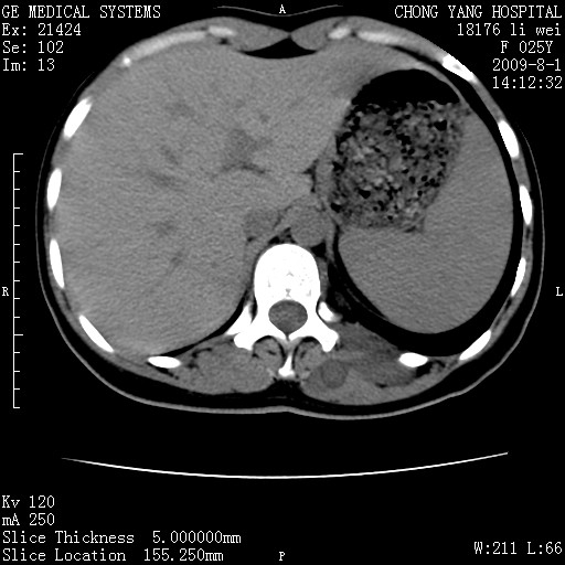
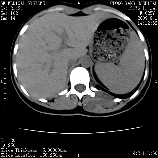
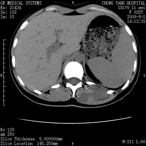
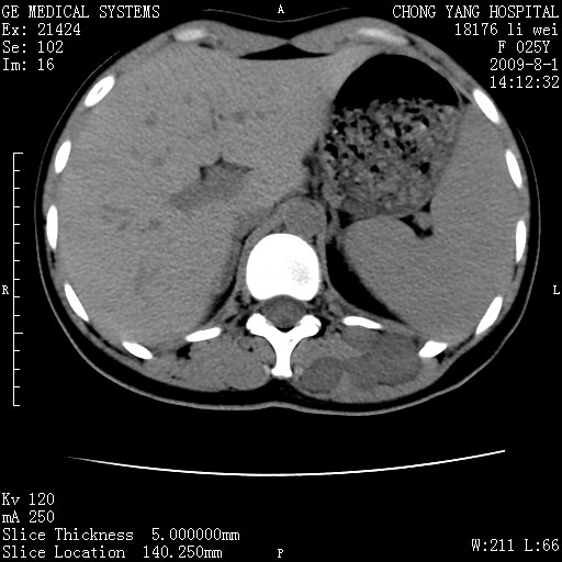
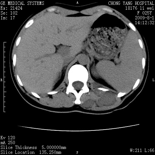
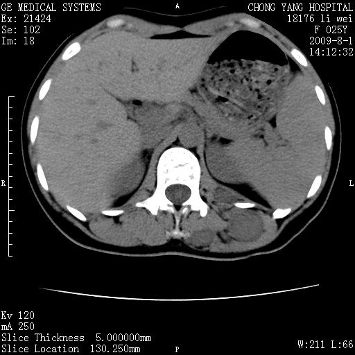
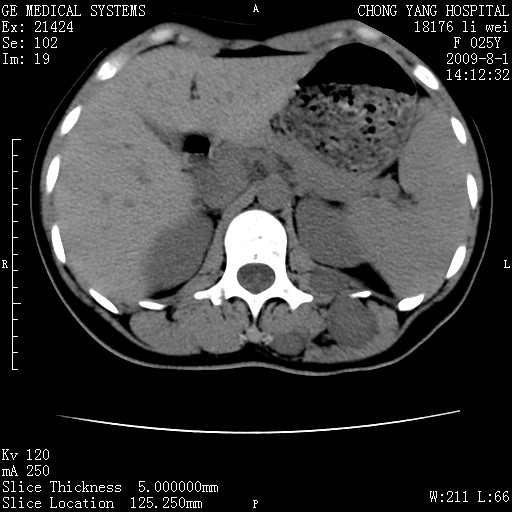
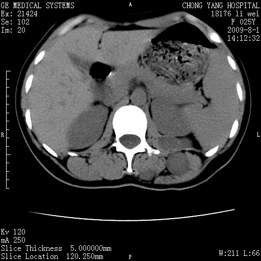
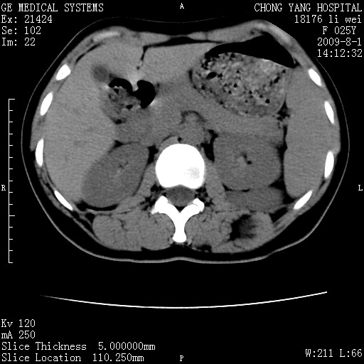
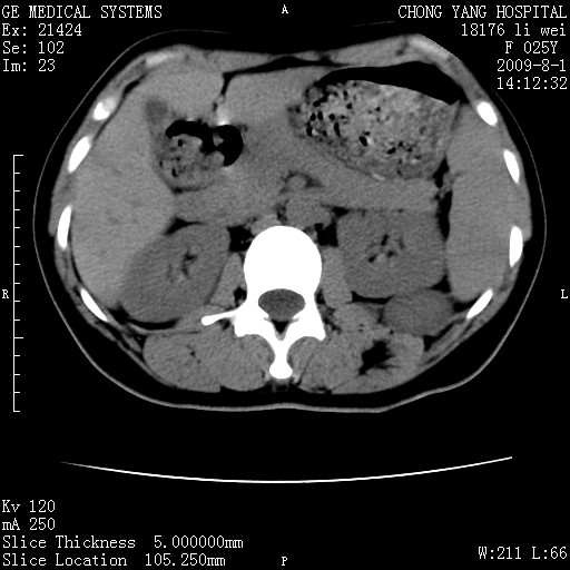
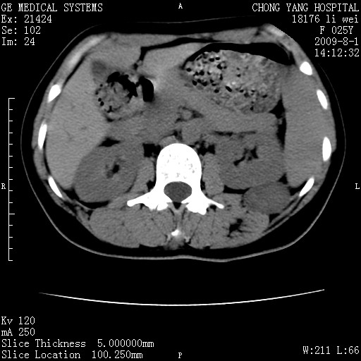
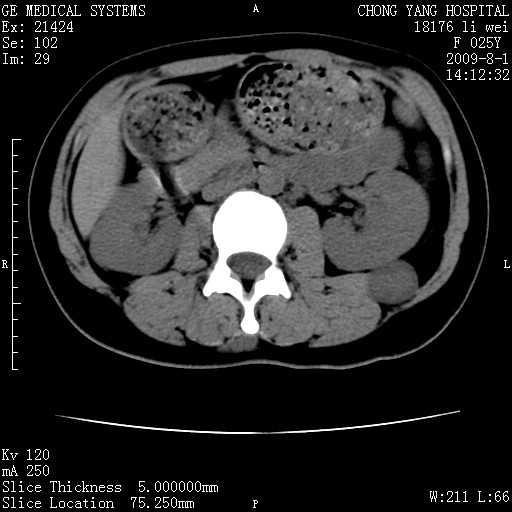
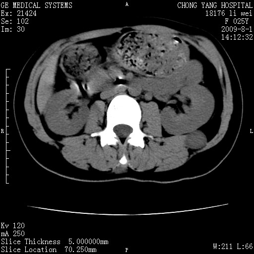
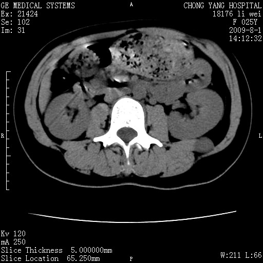
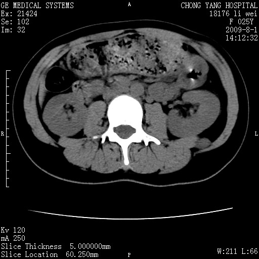
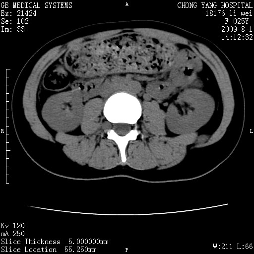
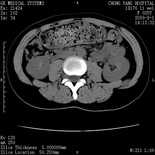
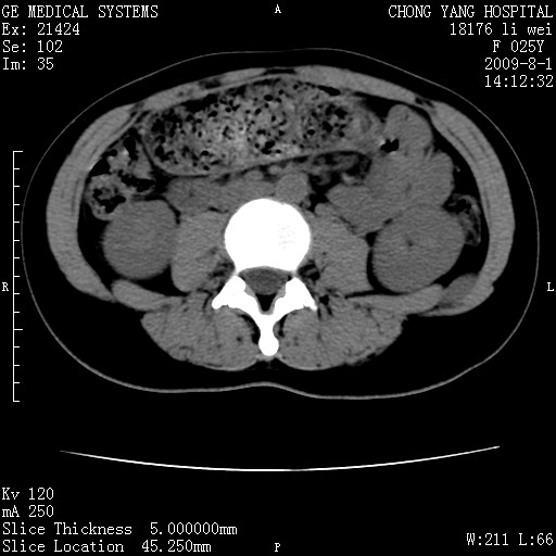
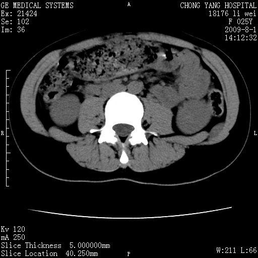
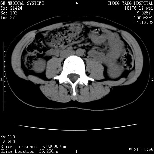
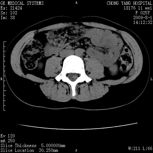
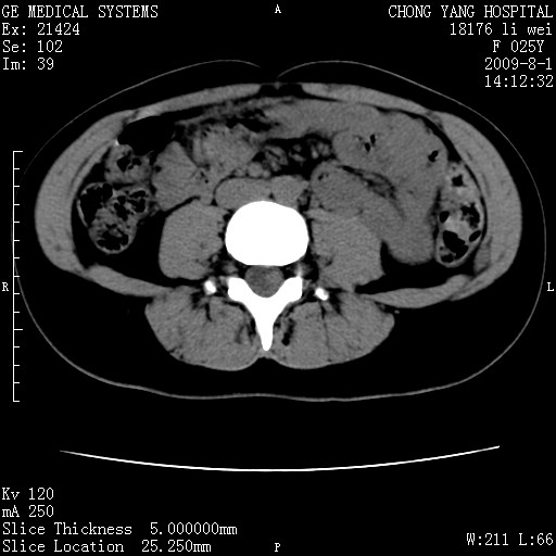
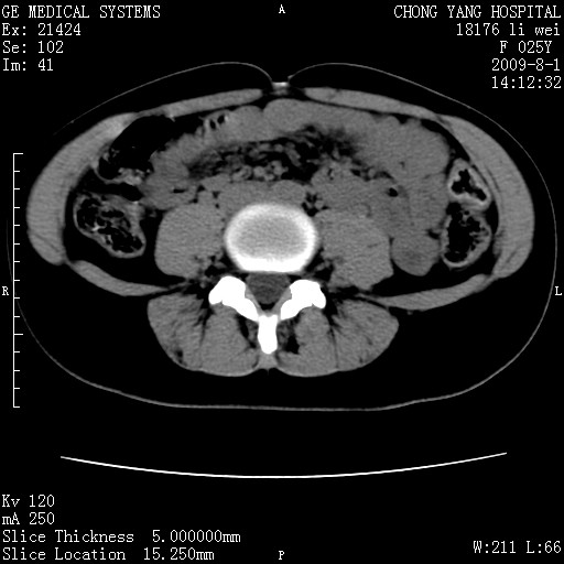
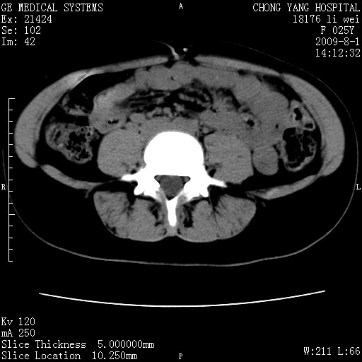
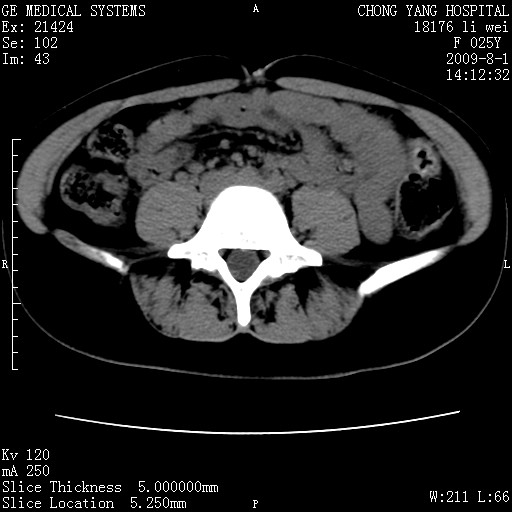
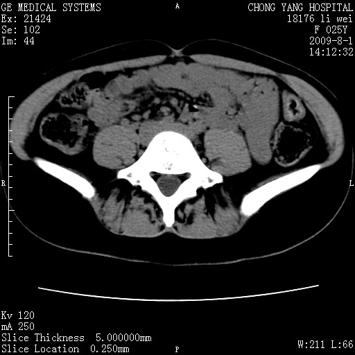
以下是引用pujunzhi在2009-8-1 20:23:00的发言:[br]胸椎旁及背部肌间良性病变,范围广,边界清,沿肌间生长,考虑淋巴管瘤、血管瘤,建议增强扫描。
以下是引用拾荒者在2009-12-30 21:45:00的发言:[br]ct21383:神经纤维瘤病( nf) [br] [br] 神经纤维瘤病。四肢都有,影响美观,四肢上的手术了。[br] [br] [br]谢谢!
| 欢迎光临 医影在线 (http://bbs.radida.com/bbs/) | Powered by Discuz! X3.2 |