医影在线

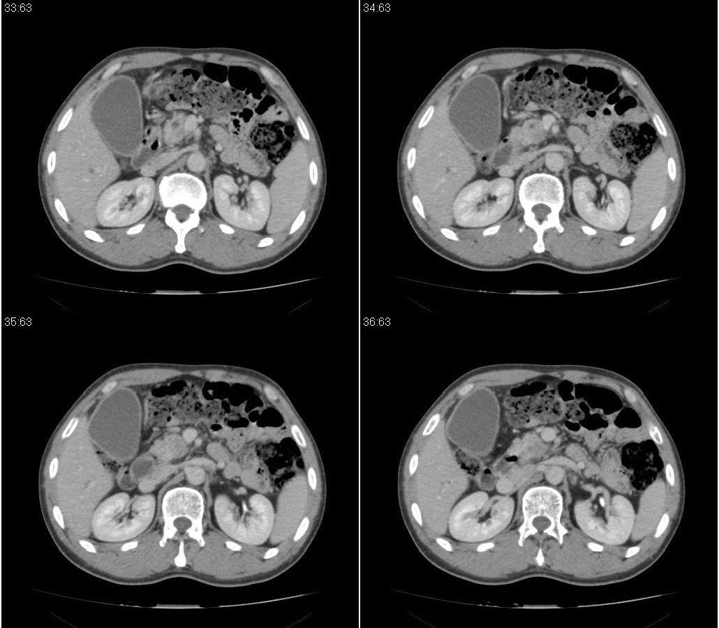
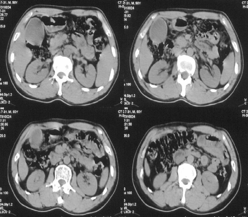
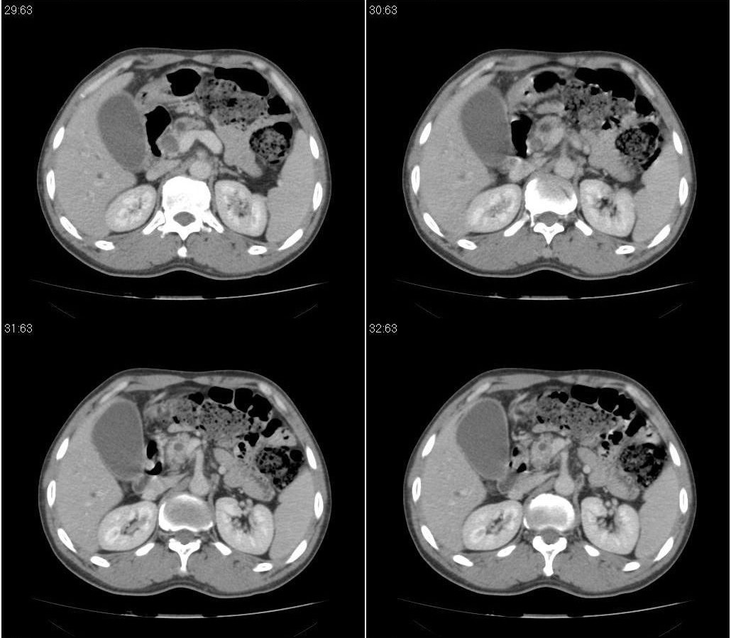
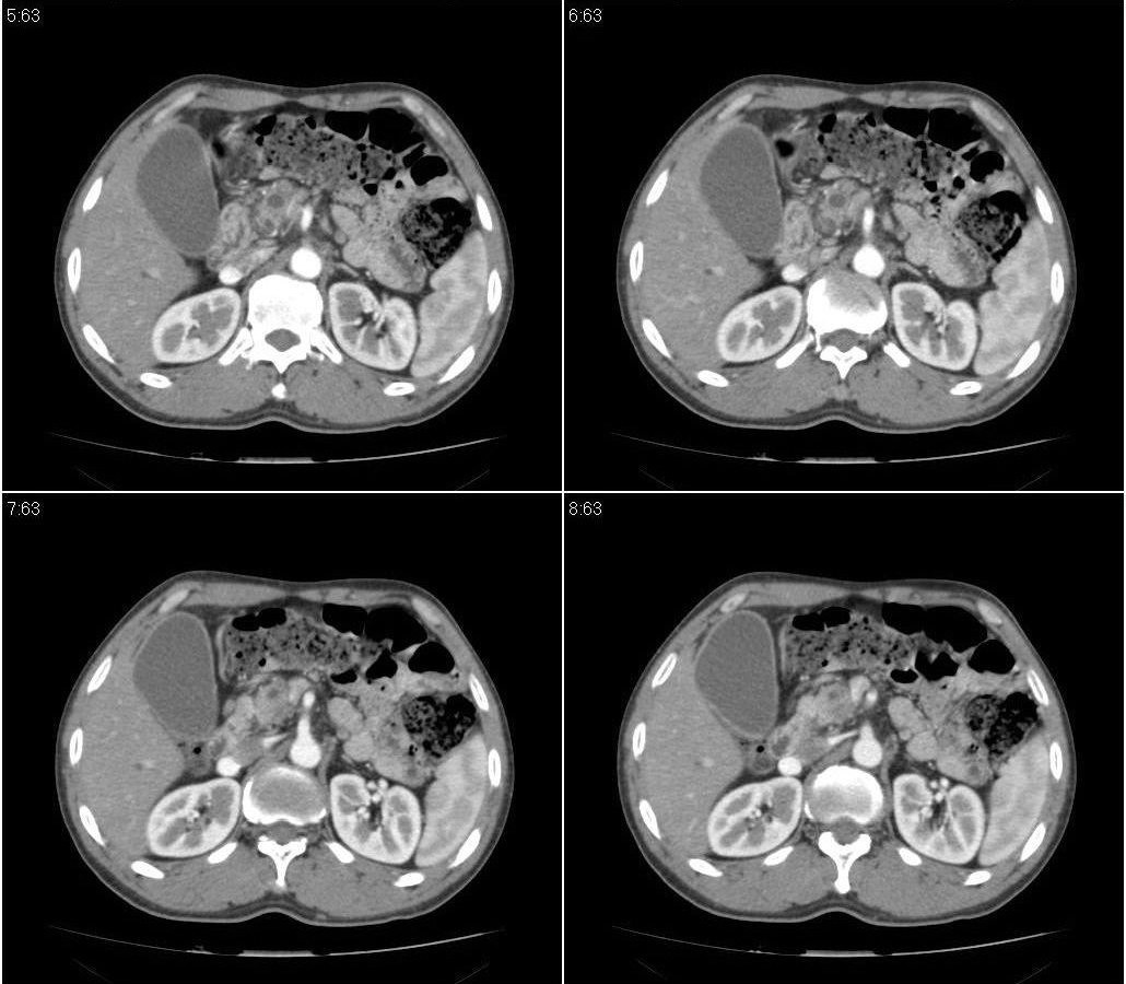
标题: CT21384:男性,50岁。发现无痛性黄疸十余天,B朝提示肝胆管 [打印本页]

作者: fanshl    时间: 2009-8-2 02:21
标题: CT21384:男性,50岁。发现无痛性黄疸十余天,B朝提示肝胆管





















[本贴已被 翁志蓬 于 2009-8-1 22:18:03 修改过]

作者: yaoyuan    时间: 2009-8-2 03:04
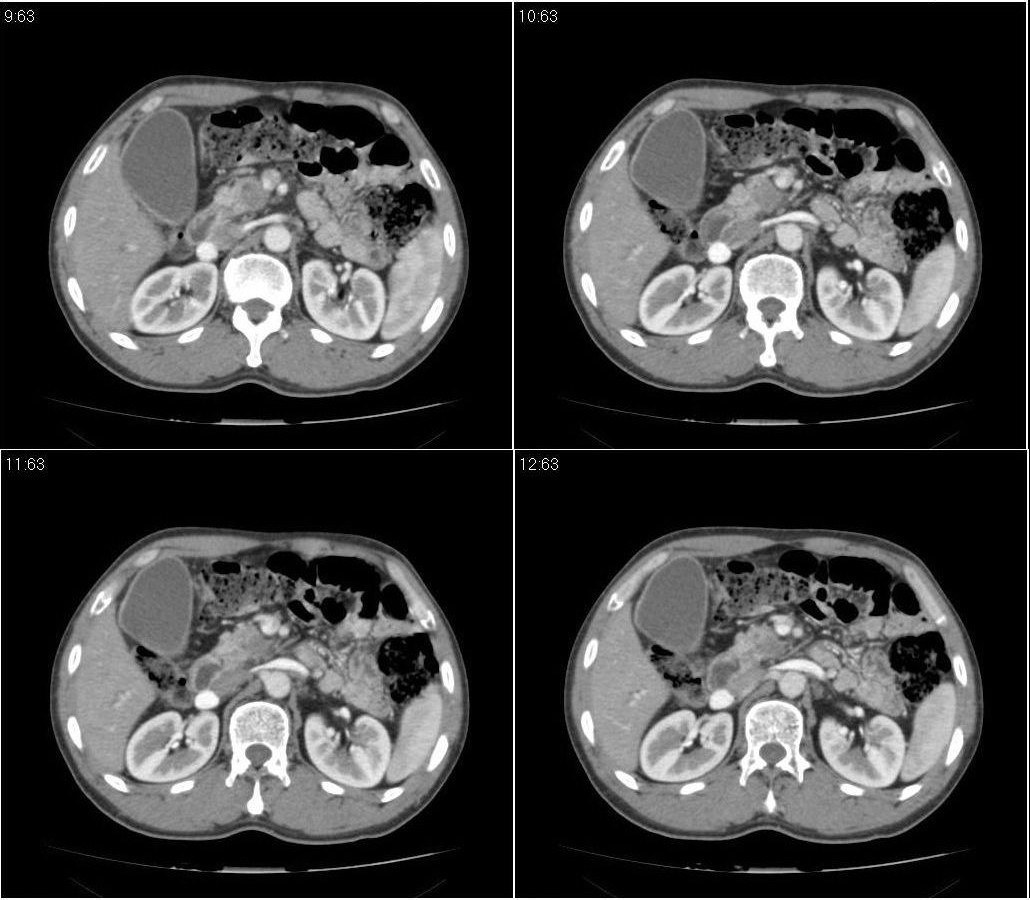
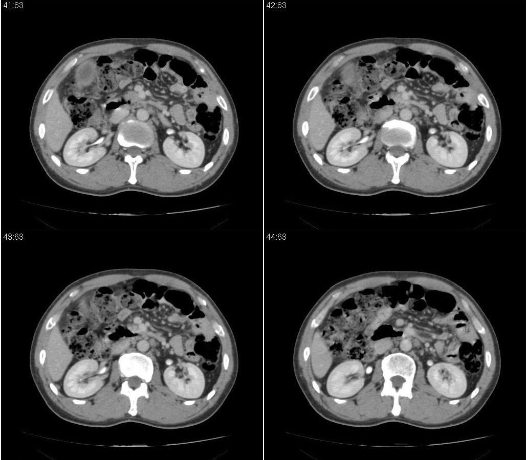
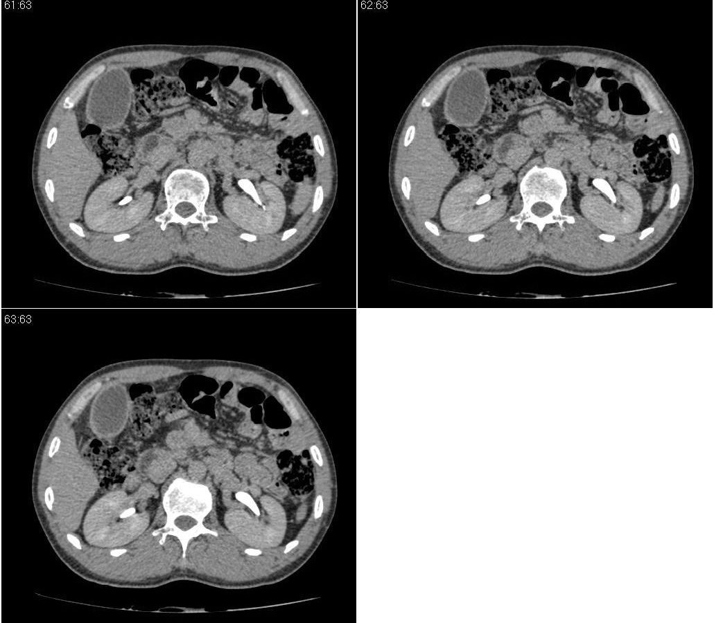
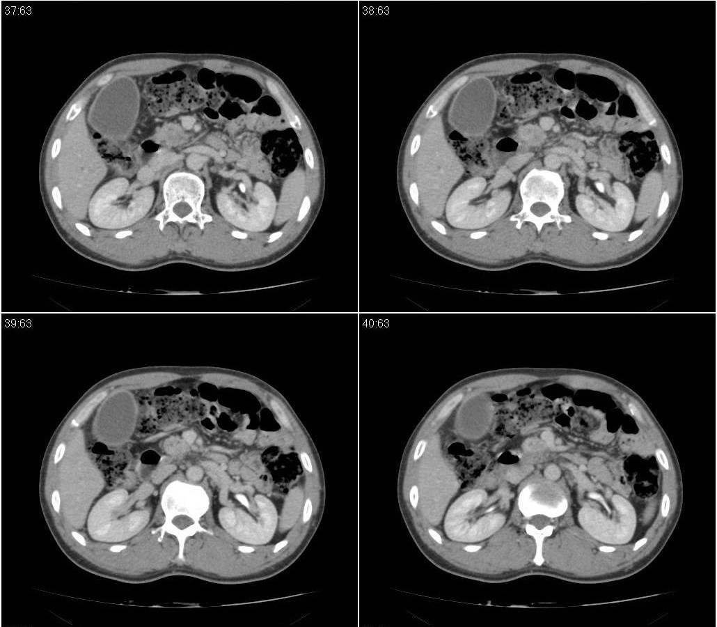
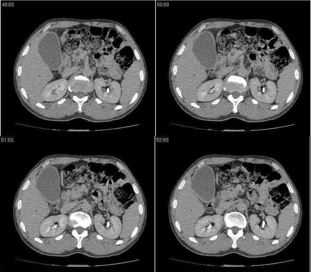
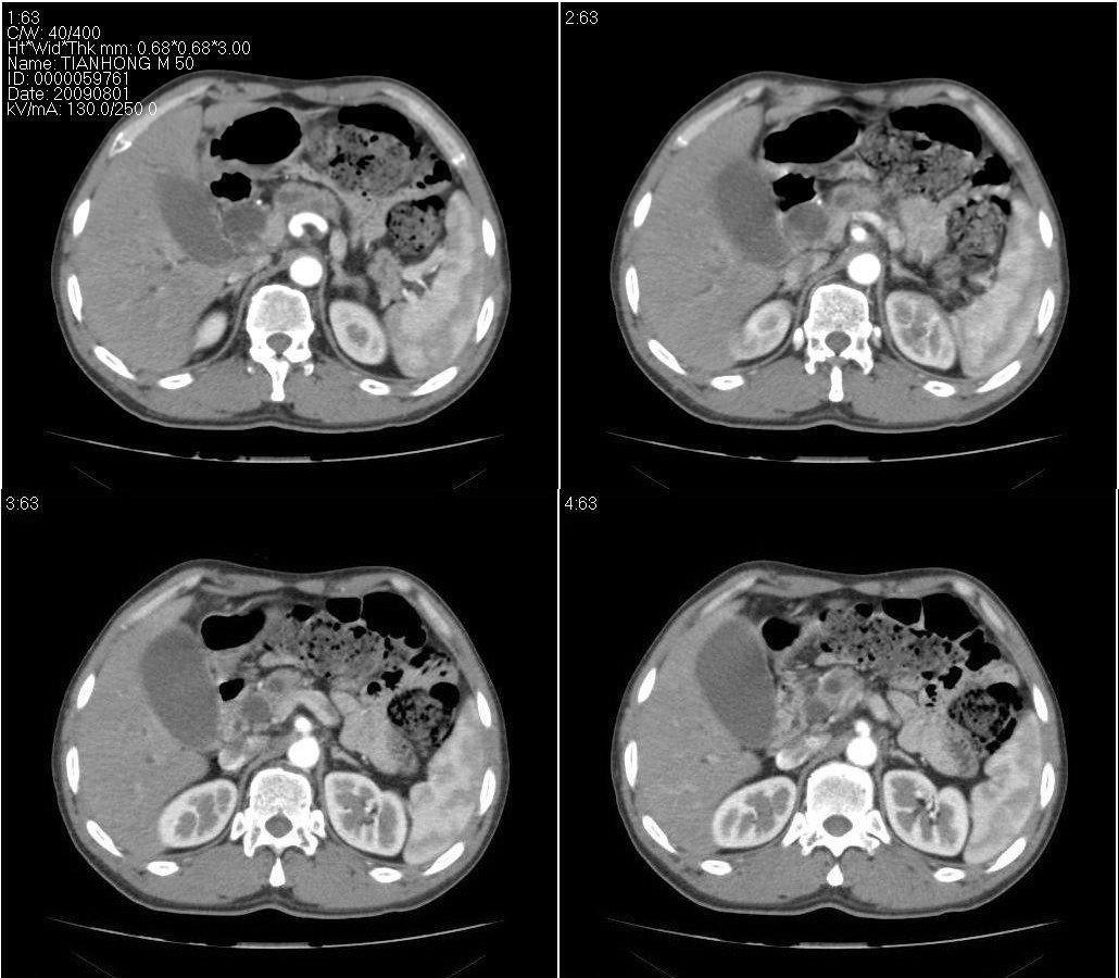
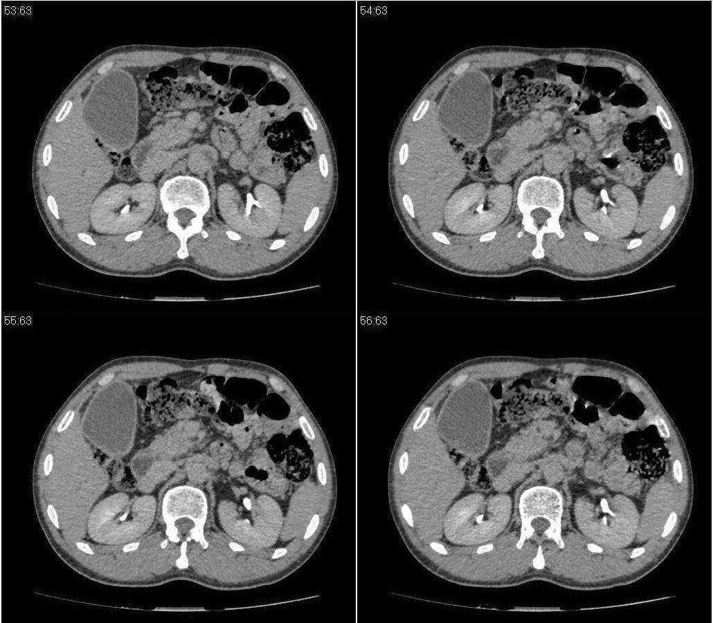
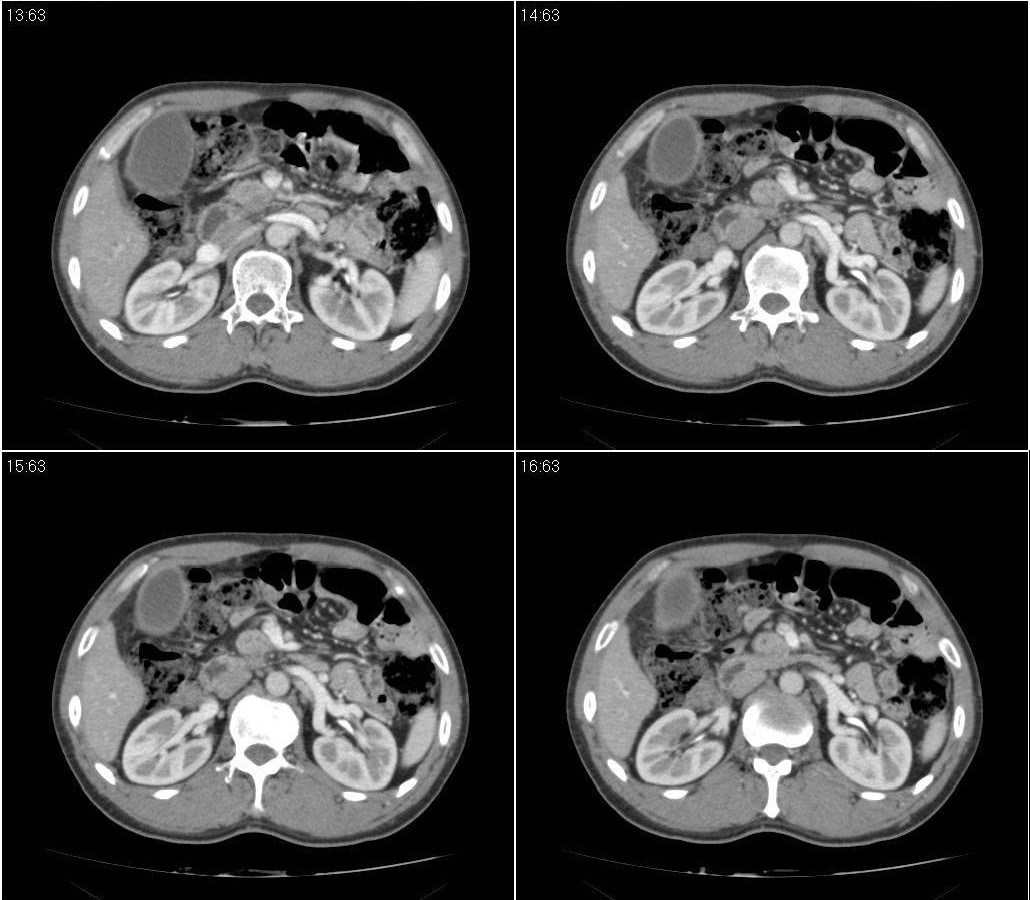
壶腹癌。
作者: 杀毒软件    时间: 2009-8-2 03:14
壶腹占位病变可能,建议mrcp。
作者: 科室第一人    时间: 2009-8-2 03:25
建议mrcp,
作者: 光影★小胖    时间: 2009-8-2 03:36
1.考虑:壶腹占位病变(癌?)。
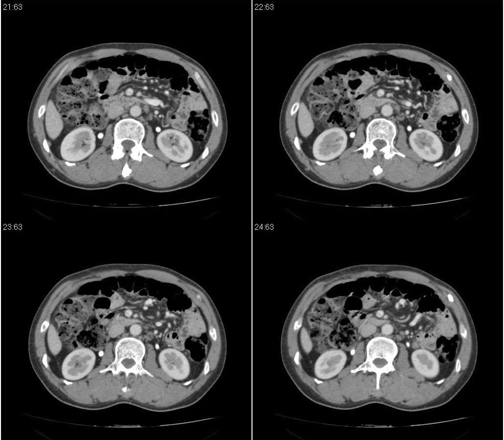
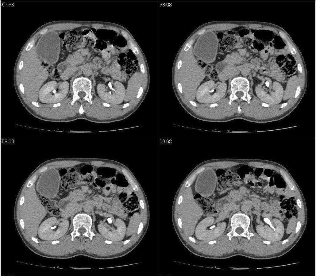
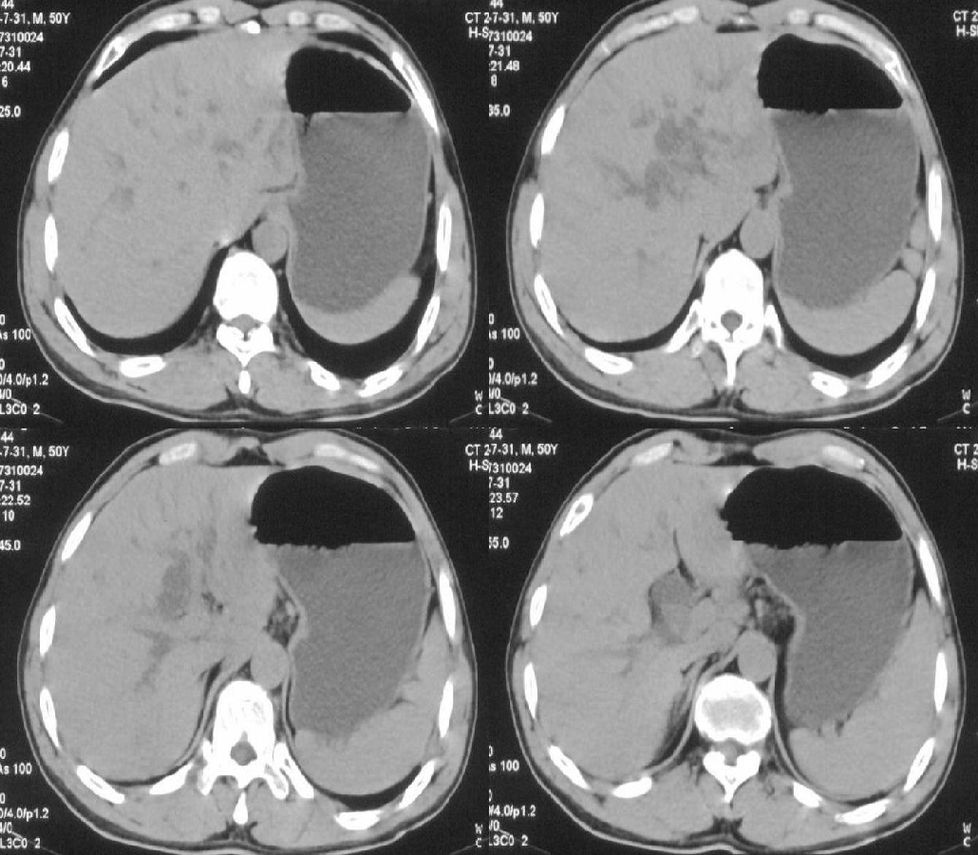
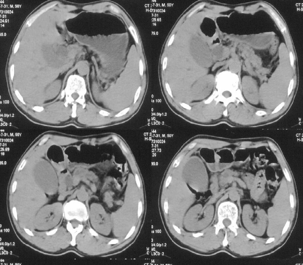
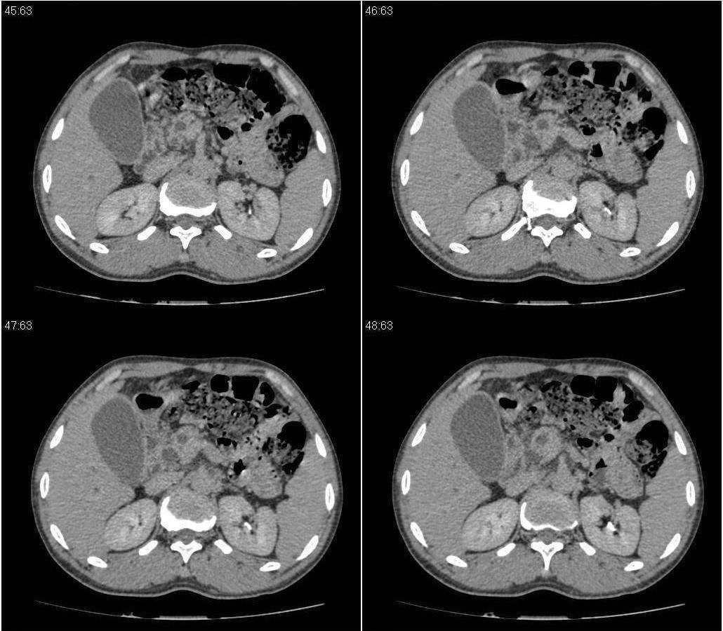
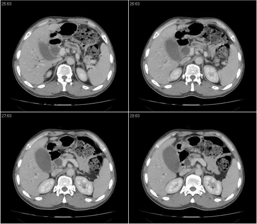
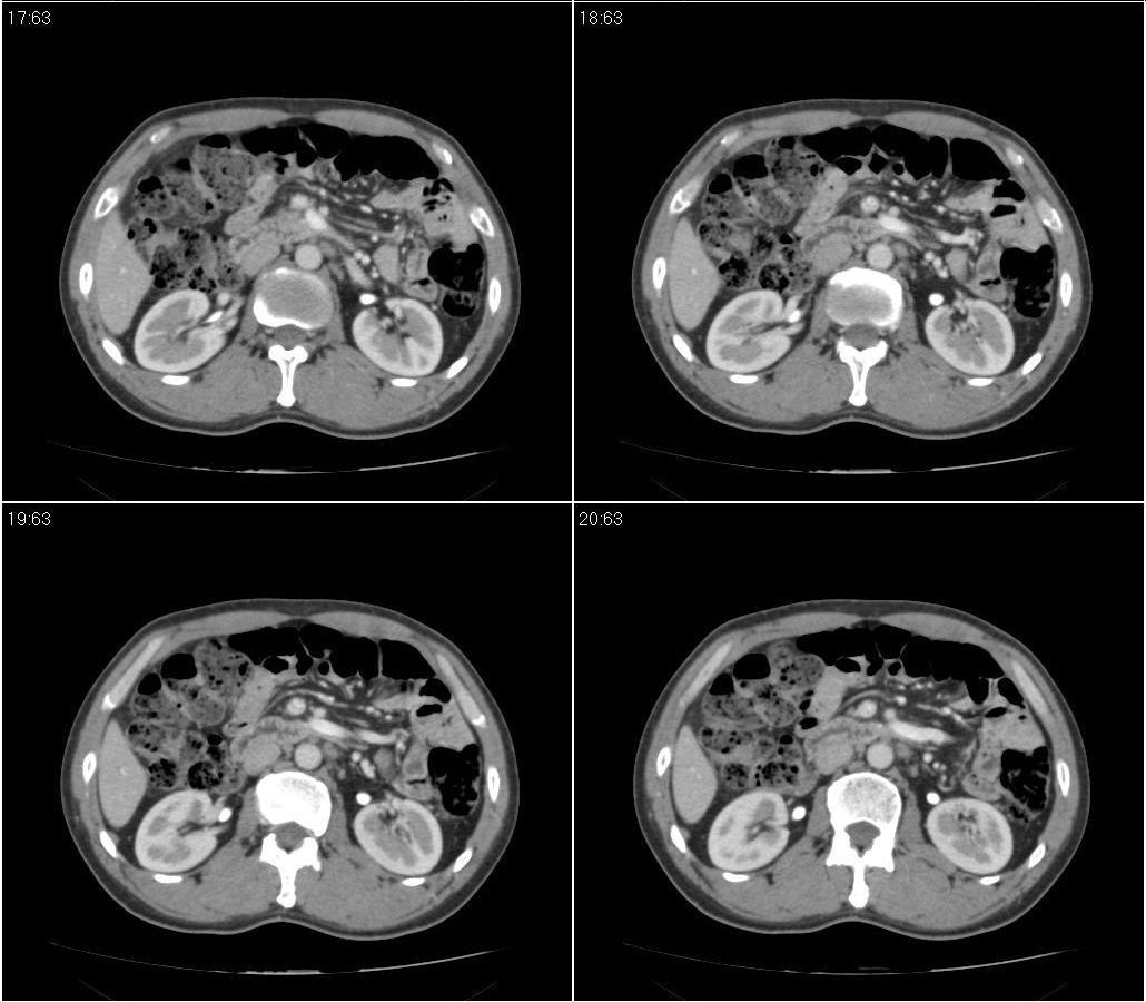
2.胆系低位梗阻:肝内外胆管扩张,胆囊增大,胰管扩张。
作者: pujunzhi    时间: 2009-8-2 03:37
胰头癌伴低位胆道梗阻。
作者: 513ytb    时间: 2009-8-2 04:23
1.考虑:壶腹占位病变(癌?)。
2.胆系低位梗阻:肝内外胆管扩张,胆囊增大,胰管扩.
作者: qc80012345    时间: 2009-8-2 04:43
胆系低位梗阻:肝内外胆管扩张,胆囊增大,胰管扩.壶腹癌。
作者: dr.yang    时间: 2009-8-2 08:56
标题: 回复:ct21384:男性,50岁。发现无痛性黄疸十余天,b朝提示
以下是引用qc80012345在2009-8-1 20:43:00的发言:[br]胆系低位梗阻:肝内外胆管扩张,胆囊增大,胰管扩.壶腹癌。

作者: 随光逐影    时间: 2009-8-2 15:33
胆系低位梗阻(肝内外胆管扩张,胆囊增大,胰管扩张);考虑胰头癌或壶腹癌所致。
作者: zjzjr    时间: 2009-8-2 17:40
胆总管突然中断,壁增厚且强化,考虑胆总管癌可能性大伴胆系梗阻,胆囊炎
作者: 平安是福    时间: 2009-8-2 17:43
胆系低位梗阻:肝内外胆管扩张,胆囊增大,胰管扩.壶腹癌。
作者: 深泽交通    时间: 2009-8-2 17:51
考虑胰头段胆管占位
作者: leijiandepengyo    时间: 2009-8-2 17:59
壶腹占位病变可能,建议mrcp
作者: LIAOQIANG    时间: 2009-8-2 18:32
胰头强化欠均匀,胆胰管扩张。考虑胰头癌可能性大。
作者: panyishengct    时间: 2009-8-2 18:41
胆系低位梗阻(肝内外胆管扩张,胆囊增大,胰管扩张,钩突似有占位);考虑胰头癌
作者: 黑白光影    时间: 2009-8-3 01:23
胆系低位梗阻,考虑胰头癌或壶腹癌所致。
作者: zxl51642    时间: 2009-8-3 04:23
胆系低位梗阻,考虑胰头癌或壶腹癌所致。
作者: dr.yang    时间: 2013-3-2 17:27
胆系低位梗阻,考虑胰头癌或壶腹癌所致。--再学习




欢迎光临 医影在线 (http://bbs.radida.com/bbs/) Powered by Discuz! X3.2