医影在线
标题: CT21386:女性,33岁。4个月前因妊娠发现盆腔肿物。 [打印本页]
作者: fanshl 时间: 2009-8-2 03:36
标题: CT21386:女性,33岁。4个月前因妊娠发现盆腔肿物。
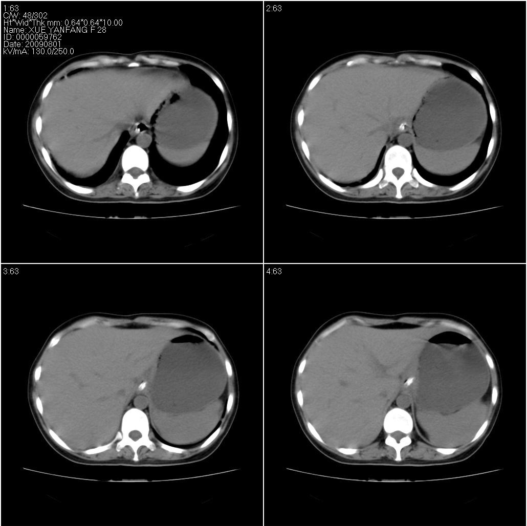
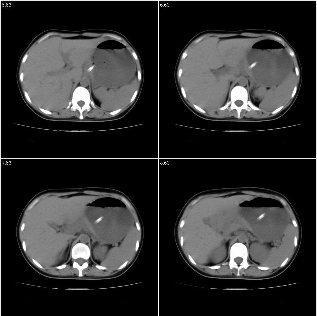
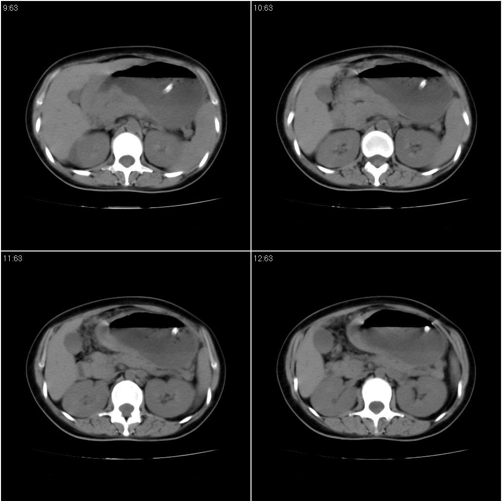
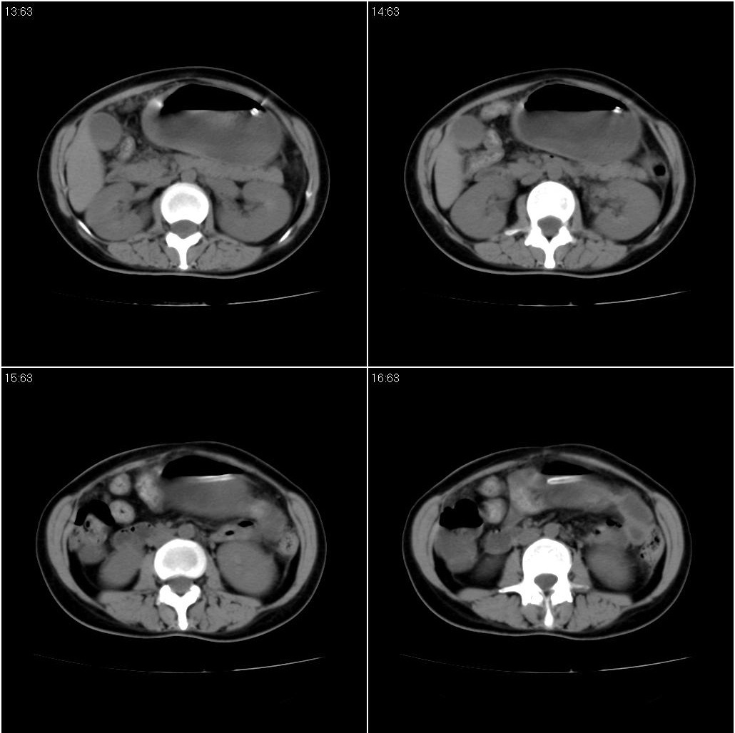
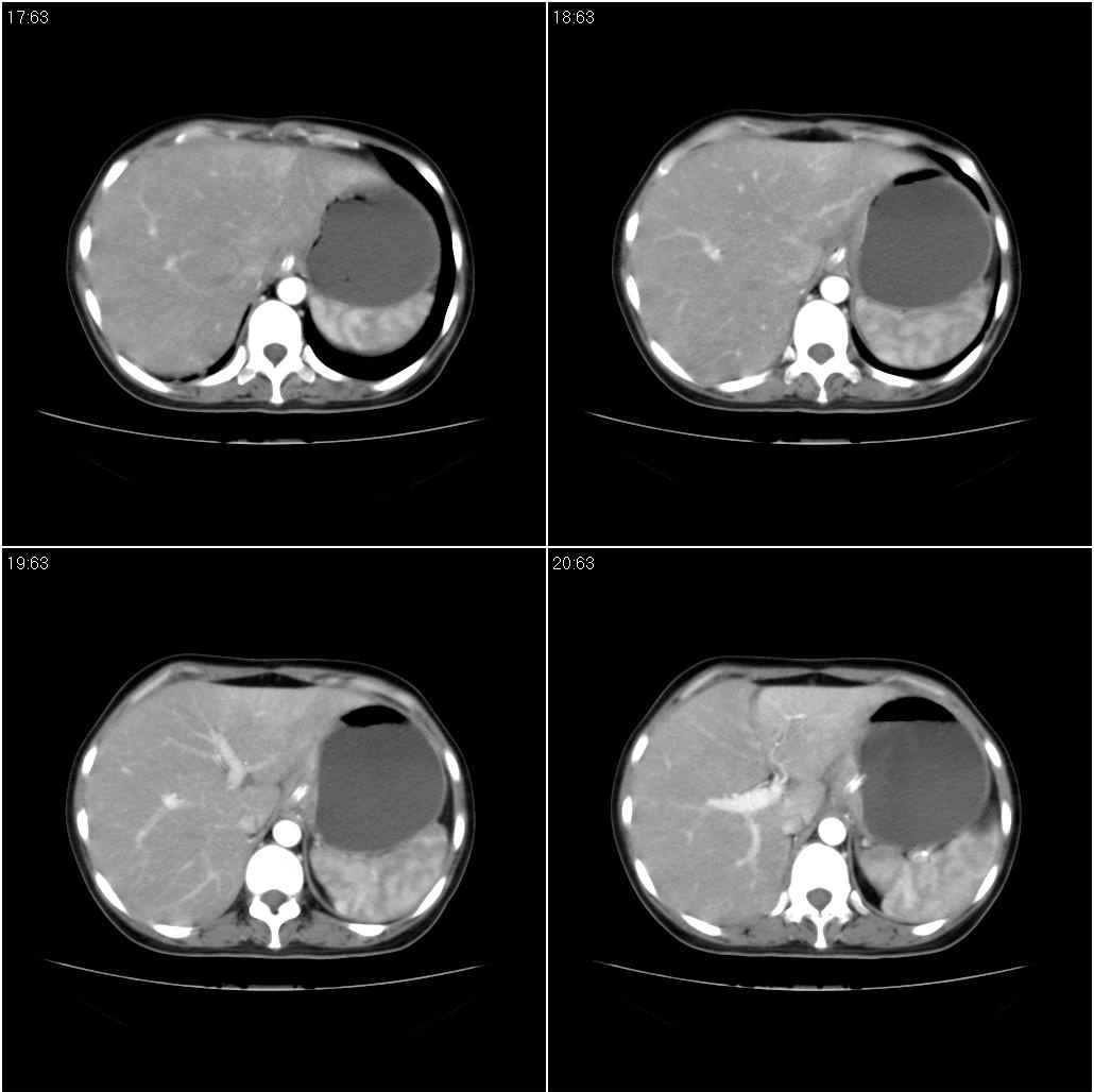
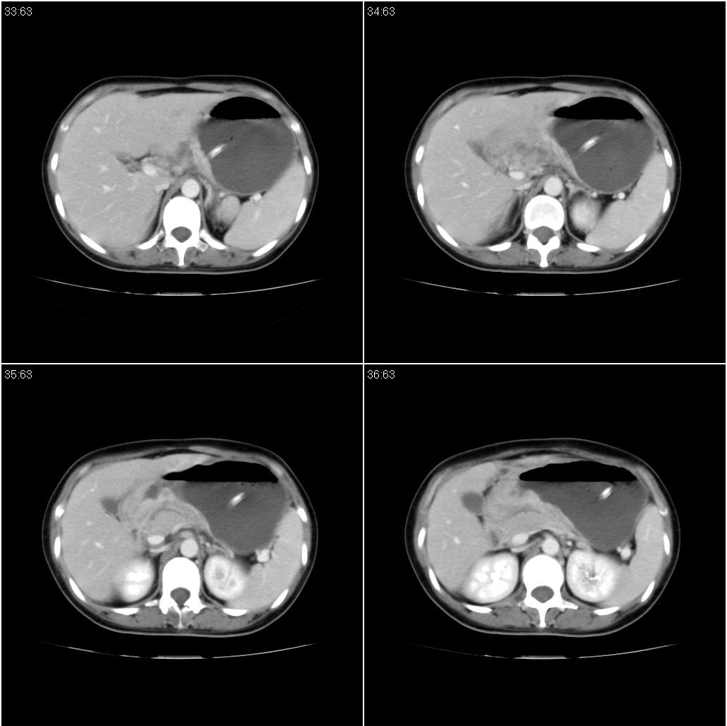
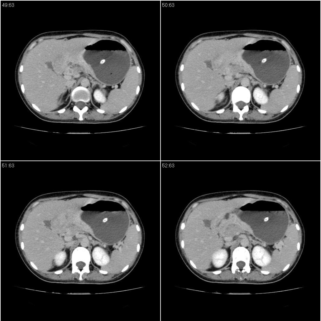
女性,33岁。4个月前因妊娠发现盆腔肿物。ca-125: 1100
















[本贴已被 翁志蓬 于 2009-8-1 22:19:56 修改过]
[本贴已被 fanshl 于 2009-8-2 8:30:54 修改过]
作者: chenqiong 时间: 2009-8-2 03:45
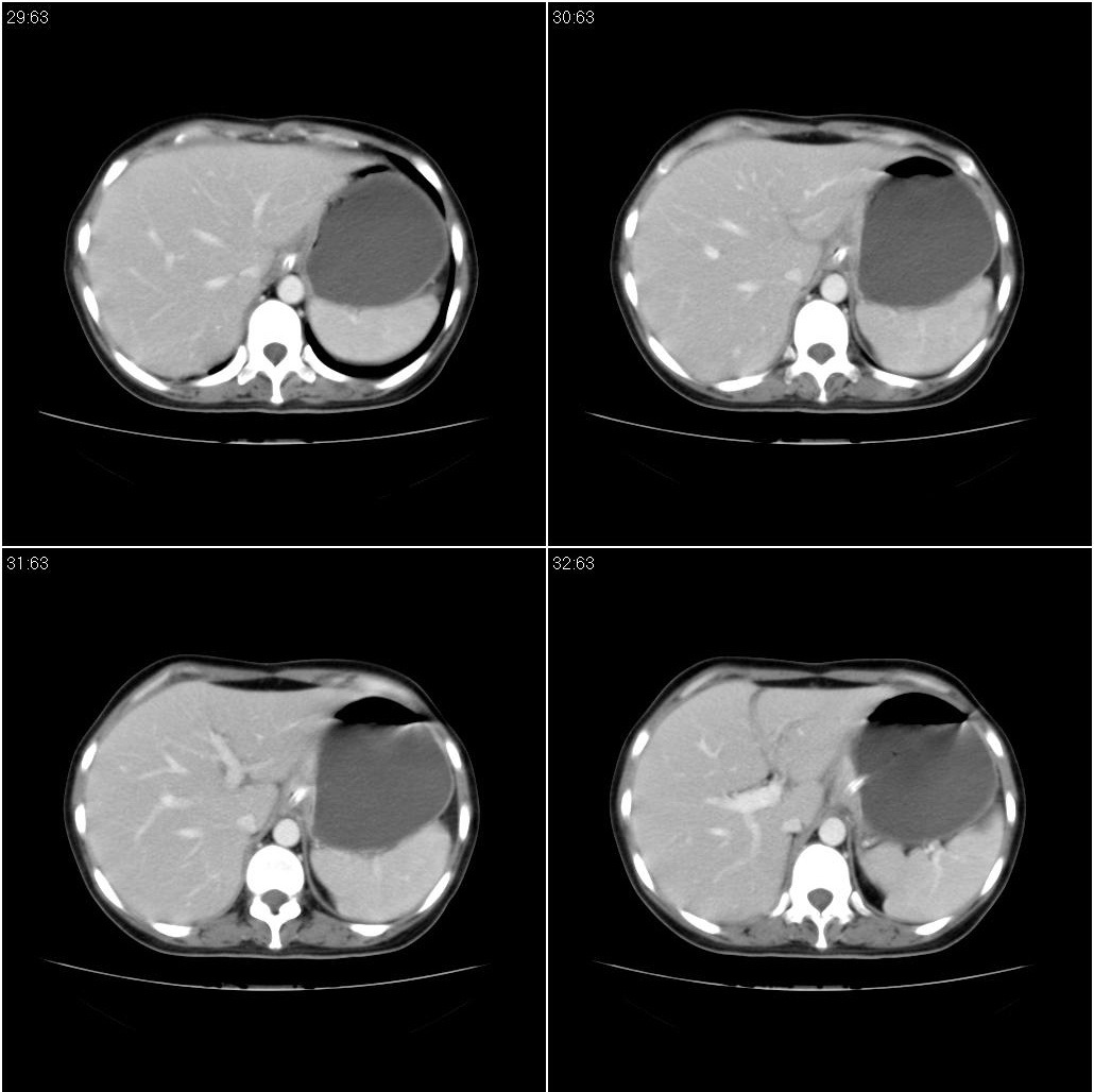
胃癌,幽门梗阻
作者: 黄毛小子 时间: 2009-8-2 04:25
里面的高密度是什么
作者: 513ytb 时间: 2009-8-2 04:26
胃癌,幽门梗阻.
作者: pujunzhi 时间: 2009-8-2 04:31
胃幽门部癌伴小弯侧和腹腔淋巴结转移,胃内有胃管。
作者: 康振朝 时间: 2009-8-2 04:37
胃癌,幽门梗阻
作者: qc80012345 时间: 2009-8-2 04:39
支持;胃癌【浸润】幽门梗阻.
作者: fanshl 时间: 2009-8-2 05:03
标题: 回复:女性,33岁。4个月前因妊娠发现盆腔肿物。
以下是引用pujunzhi在2009-8-1 20:31:00的发言:[br]胃幽门部癌伴小弯侧和腹腔淋巴结转移,胃内有胃管。
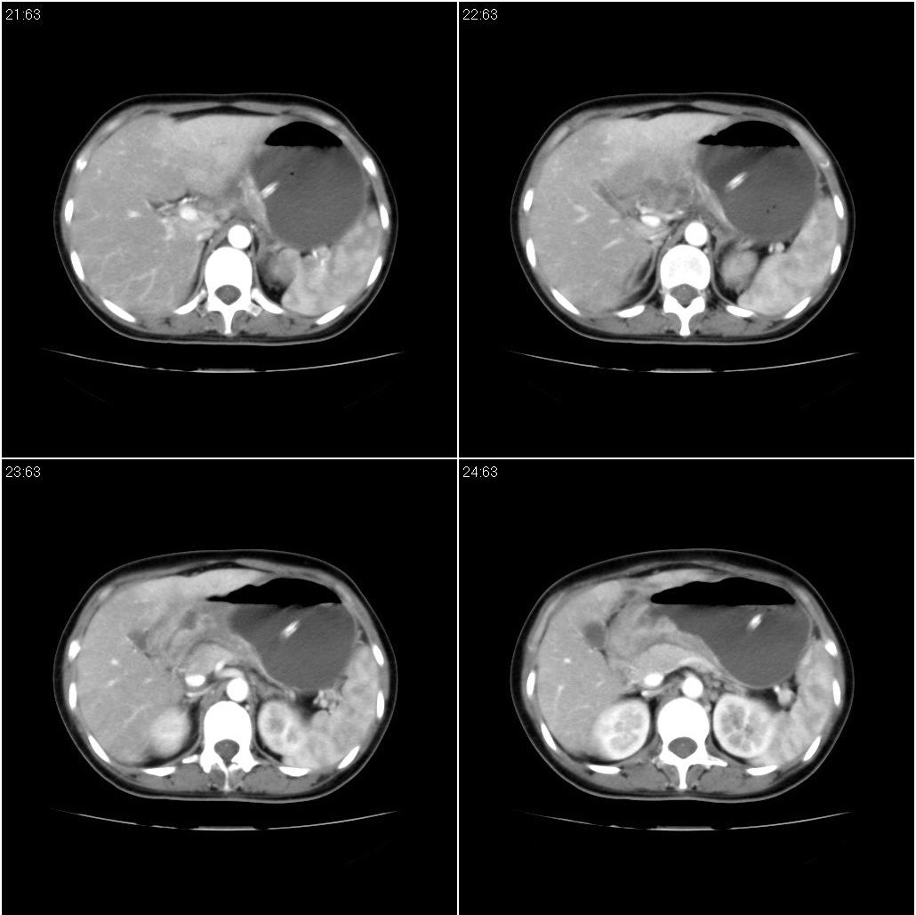
有明显淋巴结吗?我们感觉像是胰腺和胃窦。不过,胰腺尤其是胰头较大,不知道是否正常?
[本贴已被 fanshl 于 2009-8-2 8:33:19 修改过]
作者: lqxhl 时间: 2009-8-2 05:58
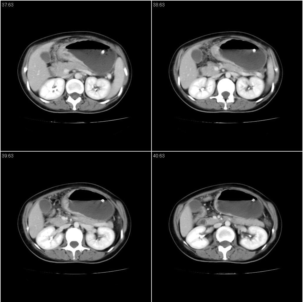
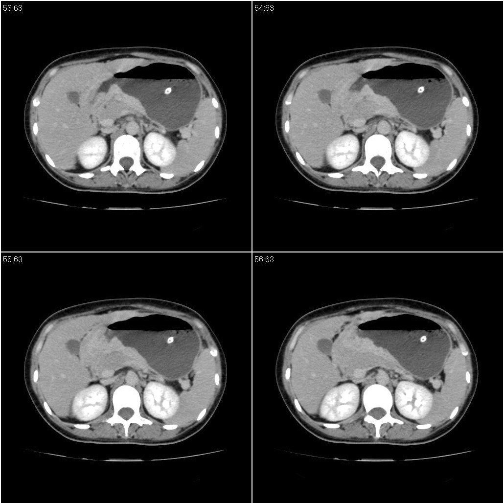
胃窦贲门胃小弯好像都厚啊 ,胃窦处比较明显,而且胃腔扩张明显,考虑胃癌伴梗阻。
作者: 随光逐影 时间: 2009-8-2 15:38
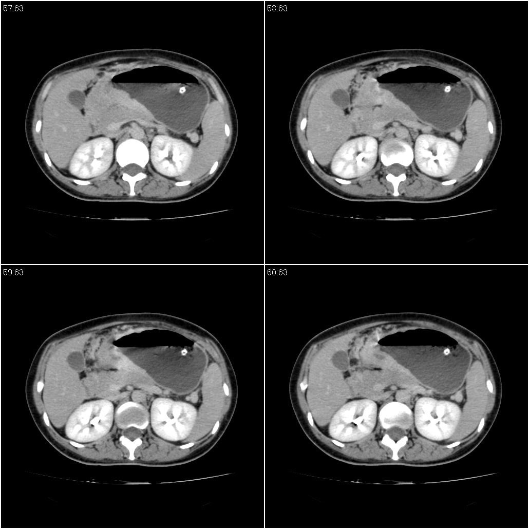
考虑胃癌伴腹腔内淋巴结转移。
作者: dfljie 时间: 2009-8-2 15:43
胃癌,梗阻情况要结合临床,无呕吐病史?
作者: jiangguowu 时间: 2009-8-2 16:49
胃壁局限性增厚,支持肿瘤性病变伴周围脓肿形成可能
未见明显肿大淋巴结,另肝脾大
作者: dr.yang 时间: 2009-8-2 17:15
支持;胃癌【浸润】幽门梗阻.
高密度影是胃肠减压的管子。
作者: leijiandepengyo 时间: 2009-8-2 17:31
支持10楼
作者: zjzjr 时间: 2009-8-2 17:35
支持;胃癌【浸润】幽门梗阻.胰头、胆囊及肝左叶受侵,副脾.
作者: 深泽交通 时间: 2009-8-2 17:40
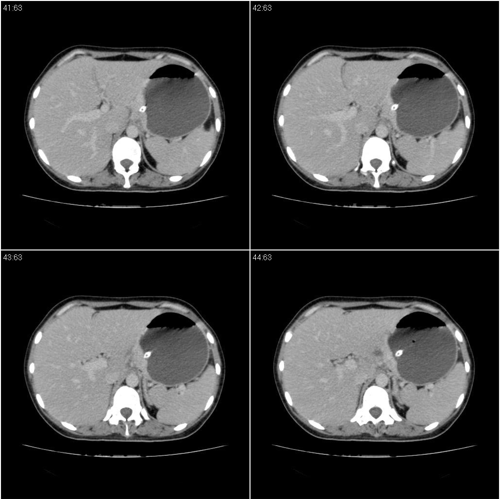
考虑胃窦占位并肝门部淋巴结转移
作者: 平安是福 时间: 2009-8-2 17:46
胃癌可能性大。
作者: LIAOQIANG 时间: 2009-8-2 18:24
考虑胃窦部胃癌伴小弯侧和腹腔淋巴结转移。
作者: panyishengct 时间: 2009-8-2 18:29
胃幽门部癌伴小弯侧和腹腔淋巴结转移,胃内有胃管
作者: 杀毒软件 时间: 2009-8-2 18:48
标题: 回复:ct21386:女性,33岁。4个月前因妊娠发现盆腔肿物。
以下是引用随光逐影在2009-8-2 7:38:00的发言:[br]考虑胃癌伴腹腔内淋巴结转移。
支持
作者: zxl51642 时间: 2009-8-2 20:10
考虑胃癌伴腹腔内淋巴结转移。
作者: tfq6909 时间: 2009-8-2 20:27
考虑胃癌
作者: 黑白光影 时间: 2009-8-3 01:24
考虑胃窦部胃癌伴小弯侧和腹腔淋巴结转移。
作者: dr.yang 时间: 2013-3-2 16:48
考虑胃癌伴腹腔内淋巴结转移。
欢迎光临 医影在线 (http://bbs.radida.com/bbs/) |
Powered by Discuz! X3.2 |