医影在线

标题: MRI2378:F,48Y。健康体检,彩超发现右肾占位性病变。 [打印本页]

作者: 随光逐影    时间: 2009-8-2 21:07
标题: MRI2378:F,48Y。健康体检,彩超发现右肾占位性病变。
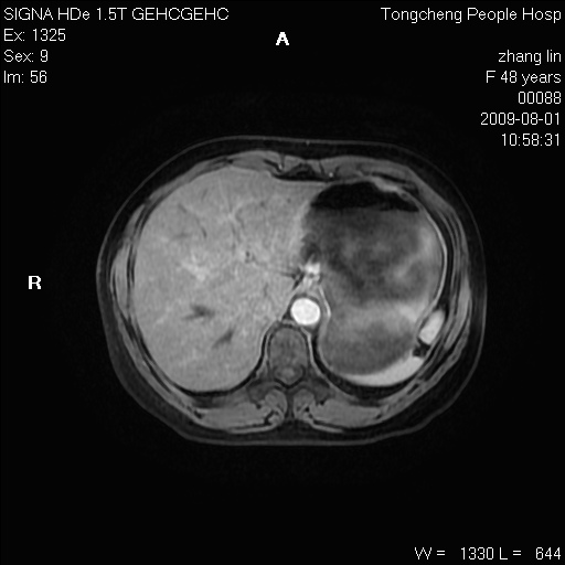
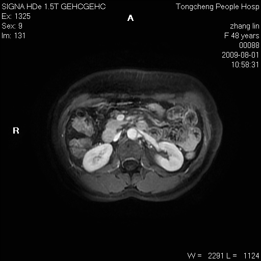
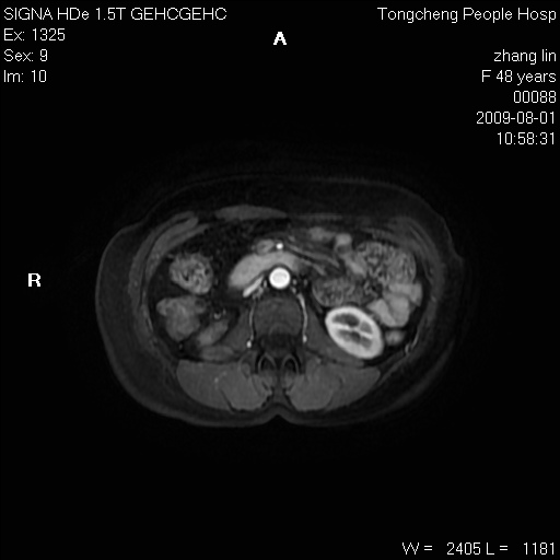
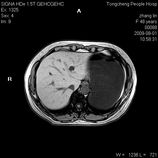
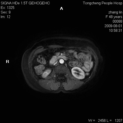
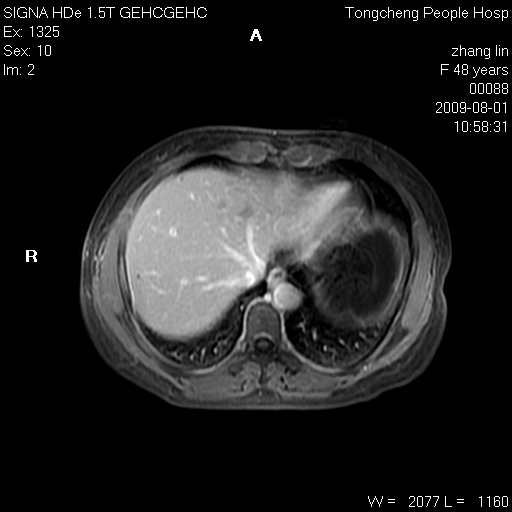
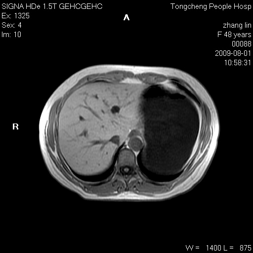
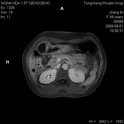
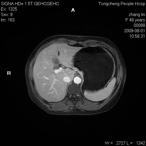
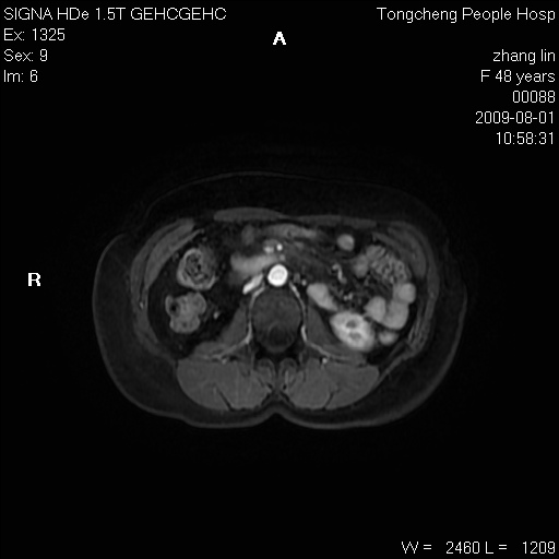
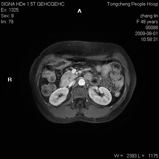
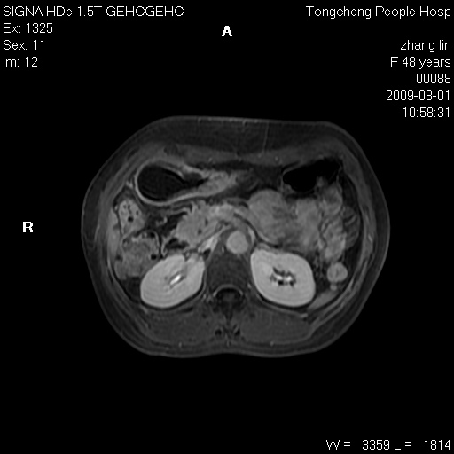
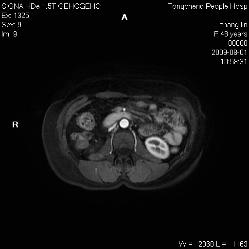
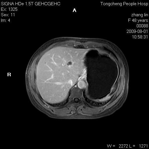
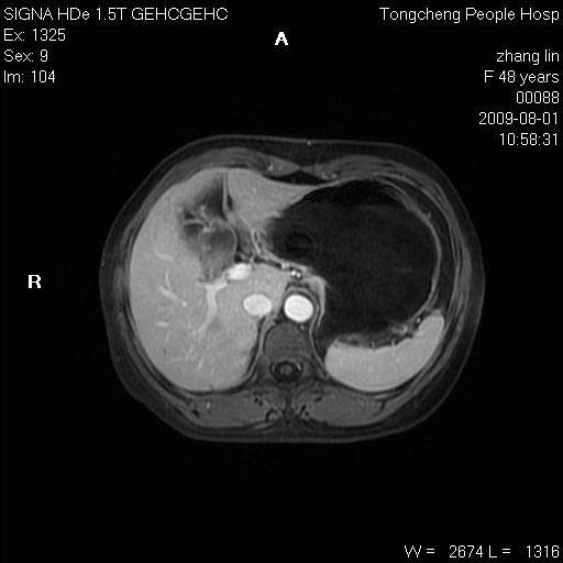
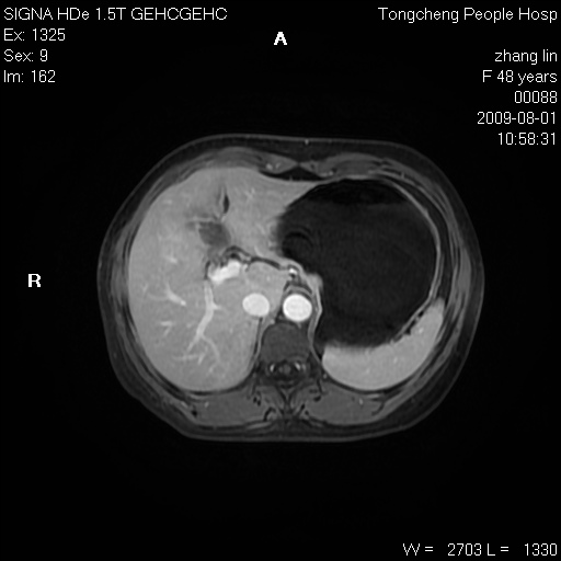
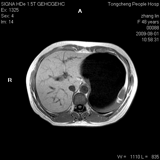
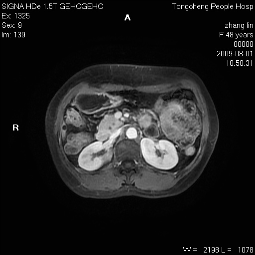
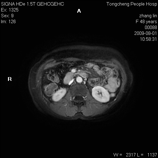
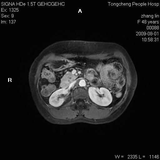
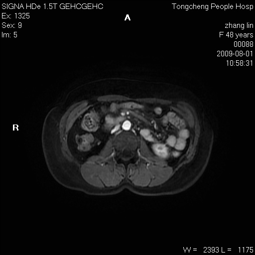
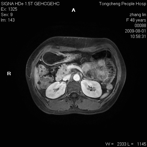
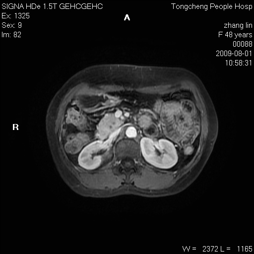
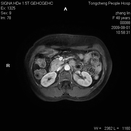
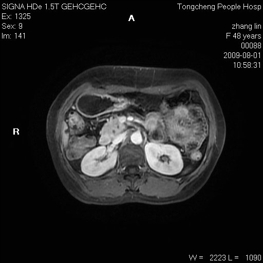
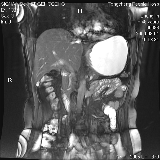
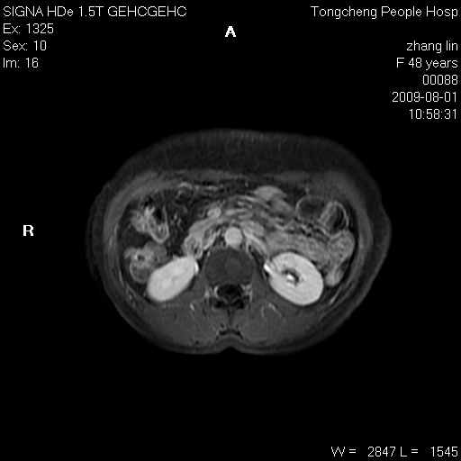
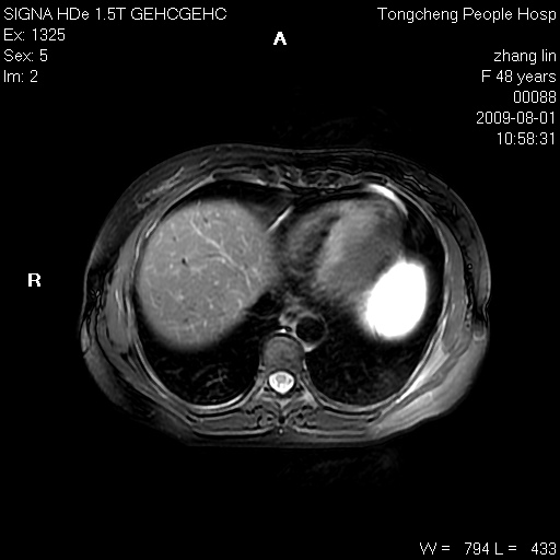
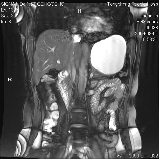
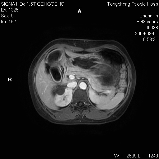
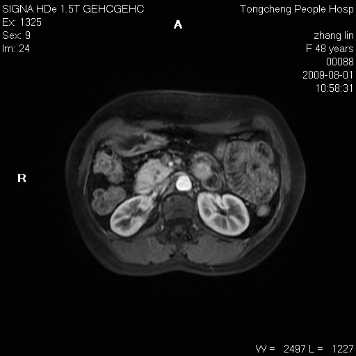
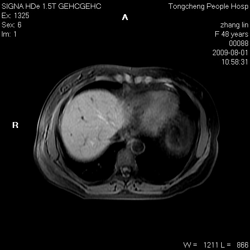
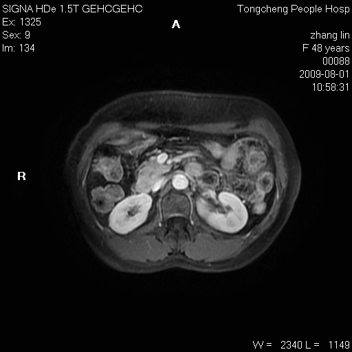
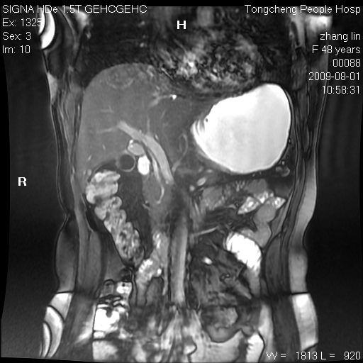
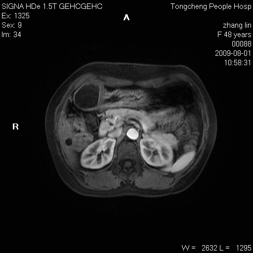
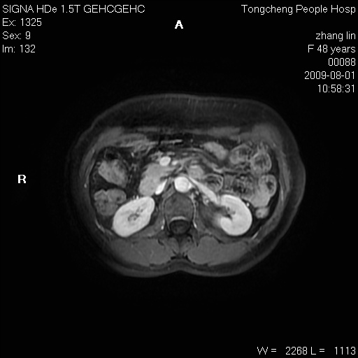
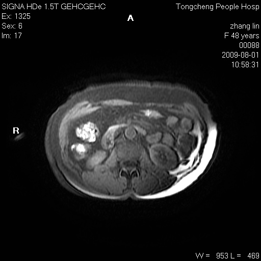
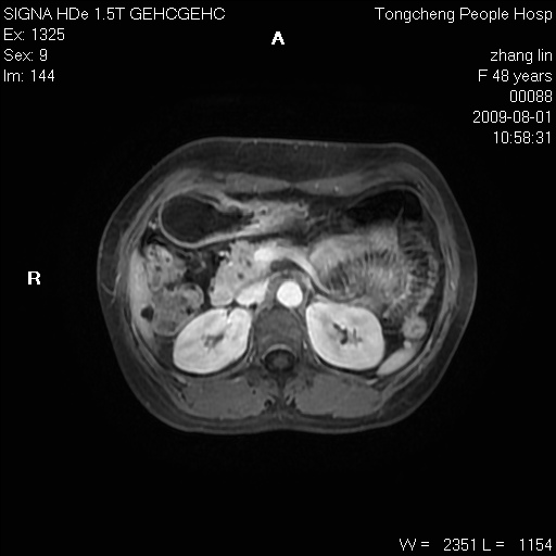
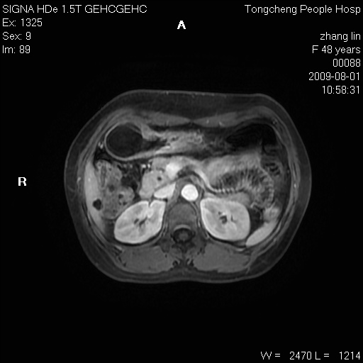
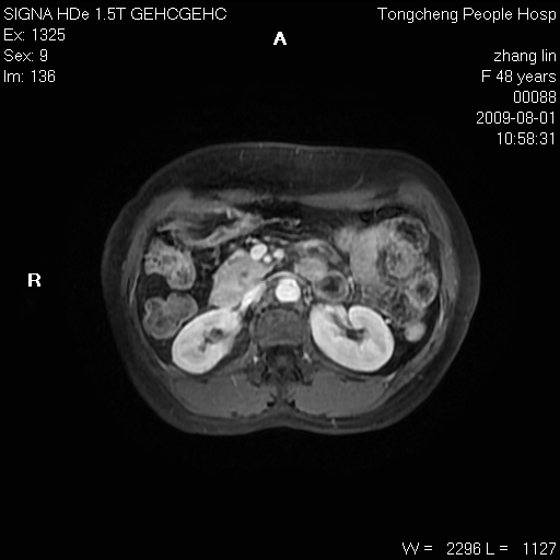
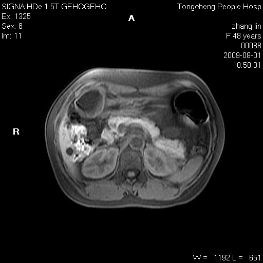
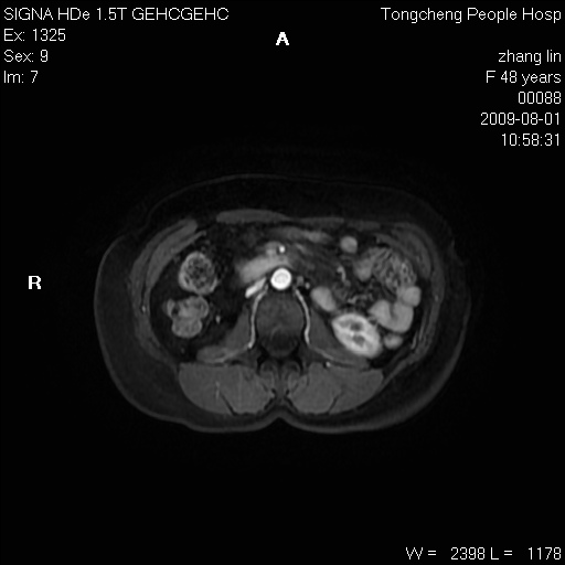
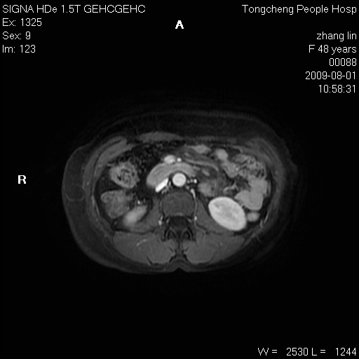
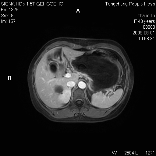
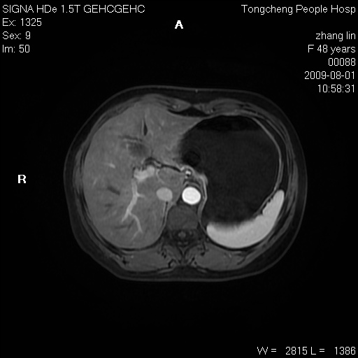
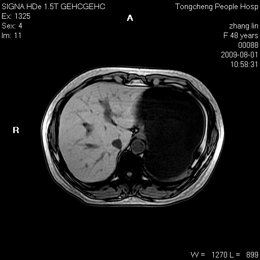
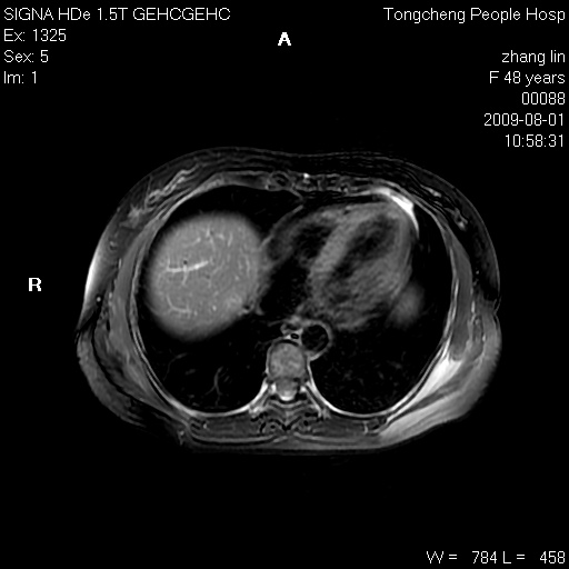
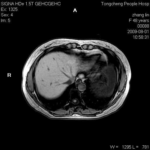
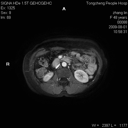
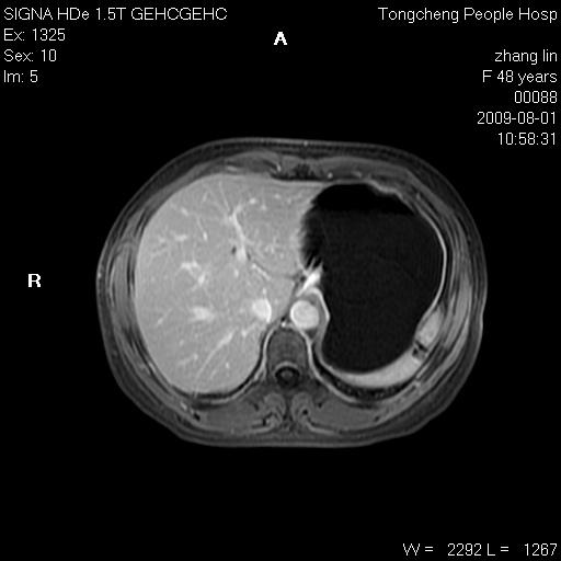
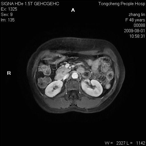
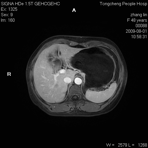
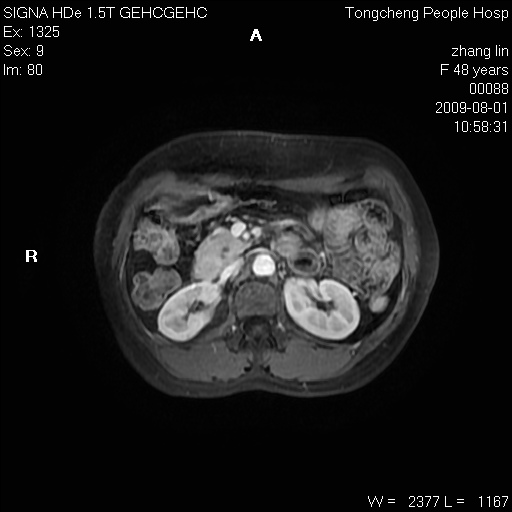
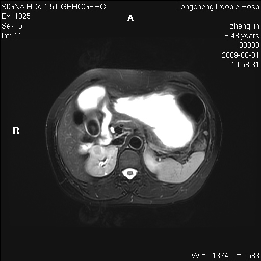
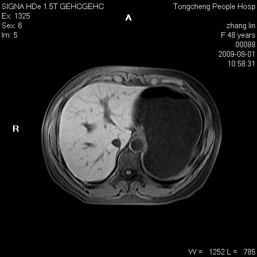
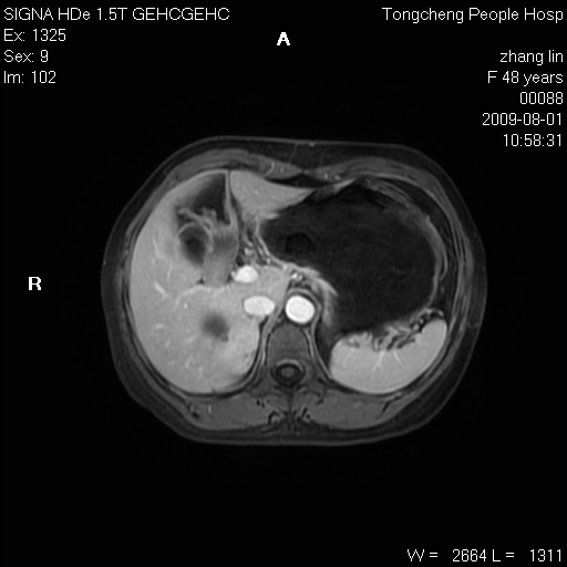
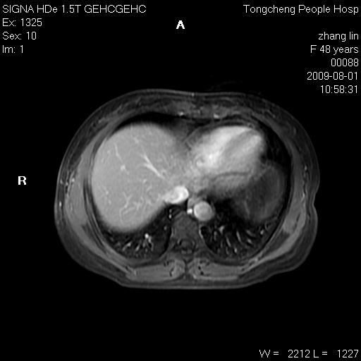
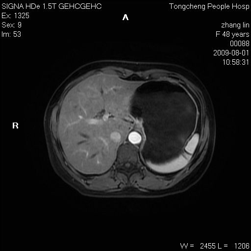
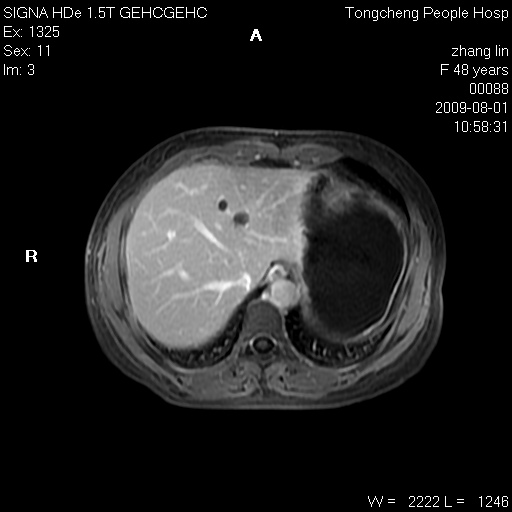
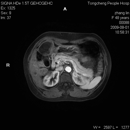
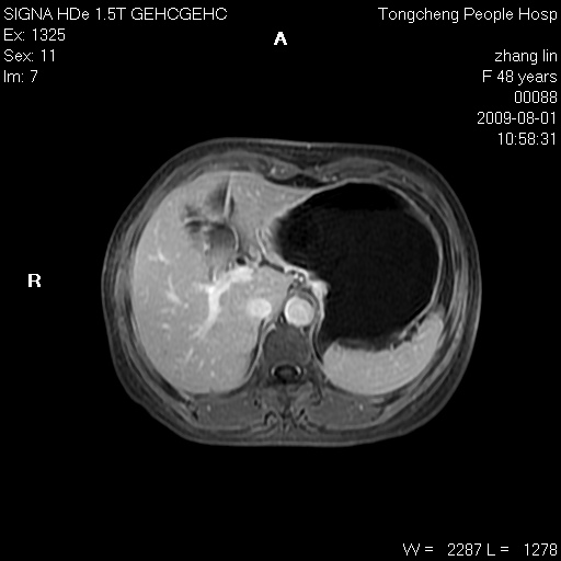
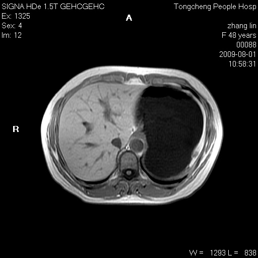
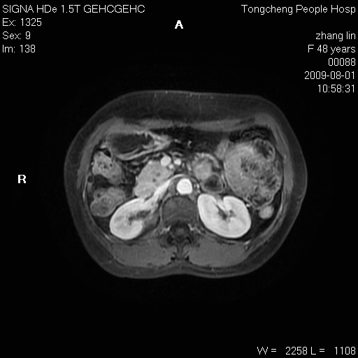
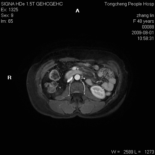
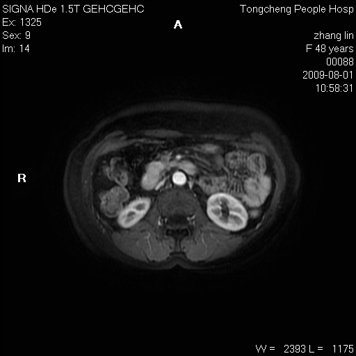
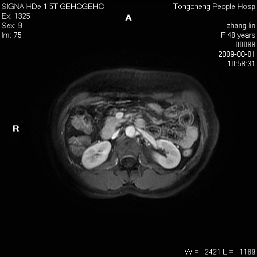
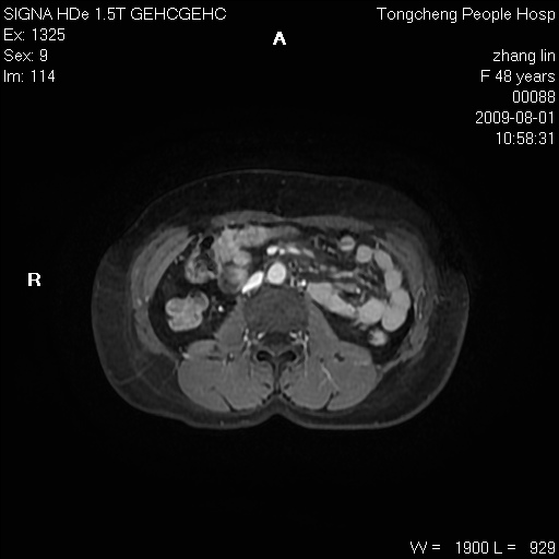
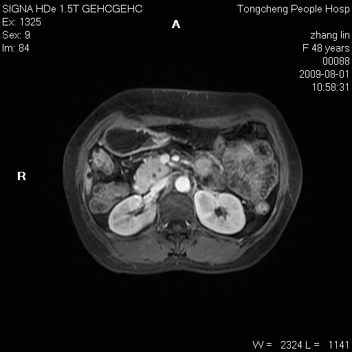
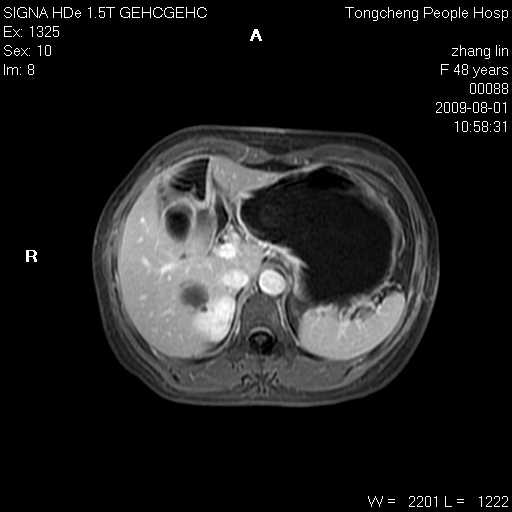
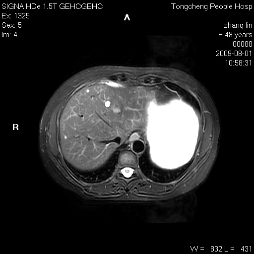
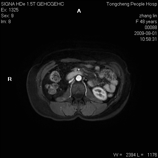
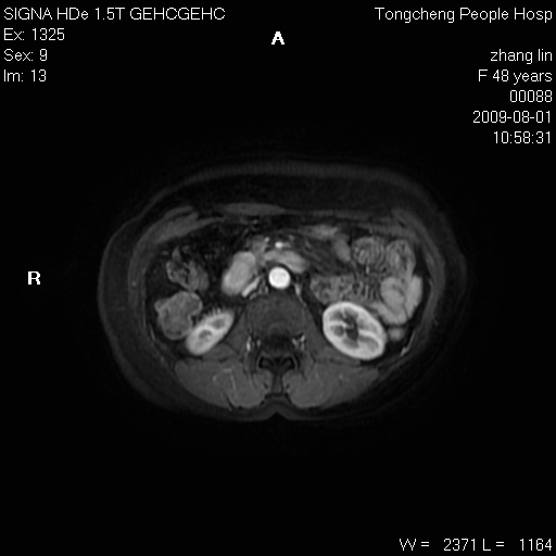
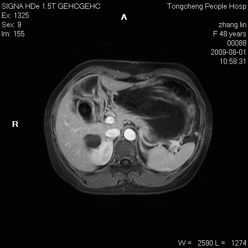
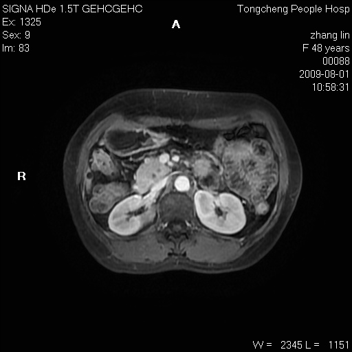
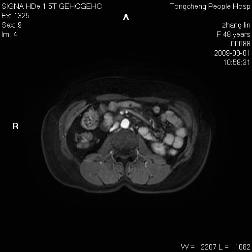
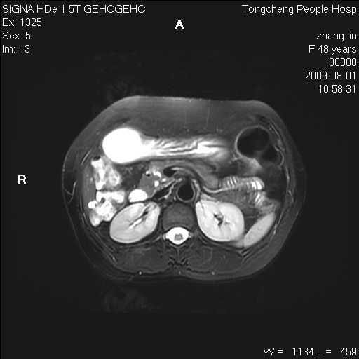
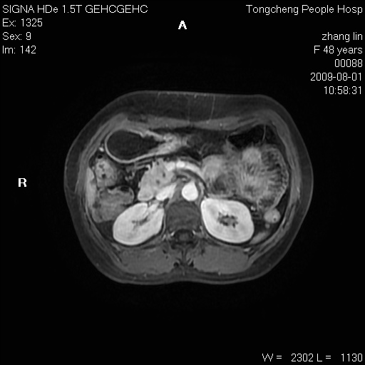
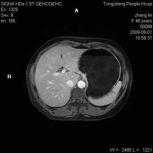
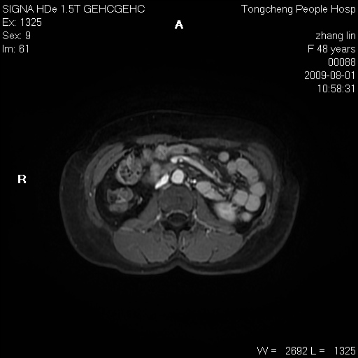
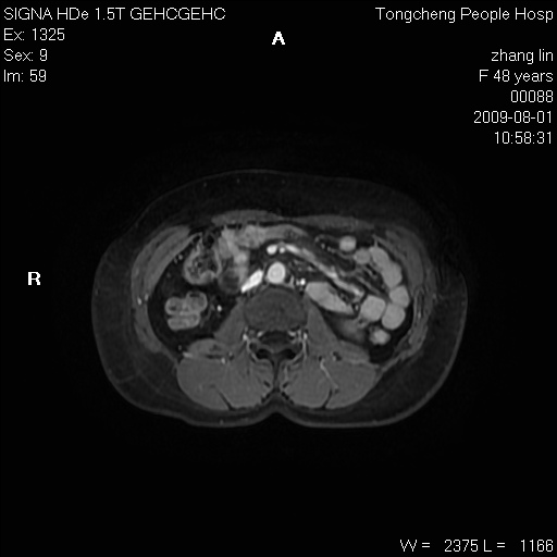
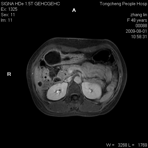
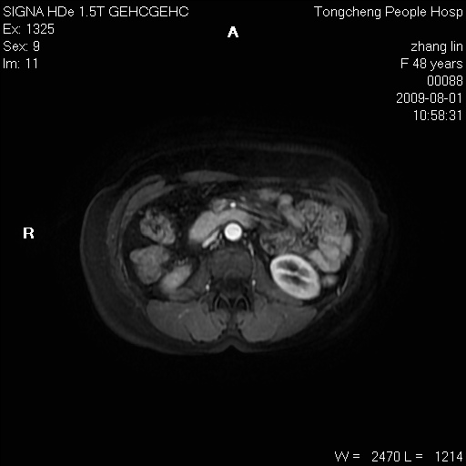
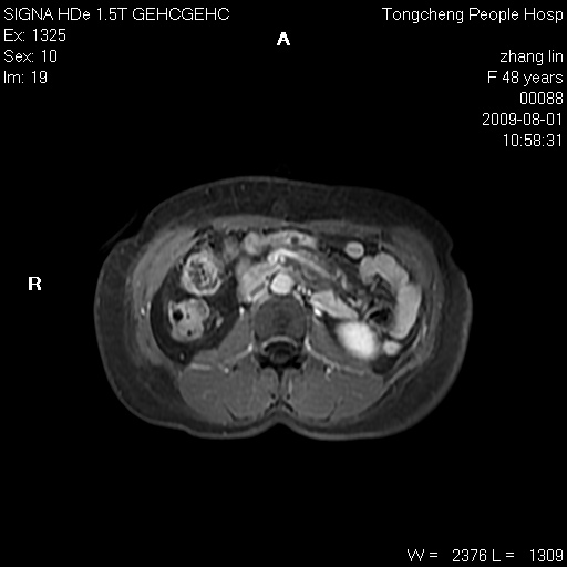
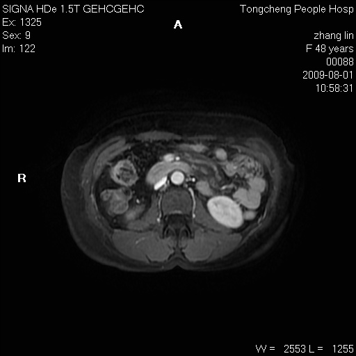
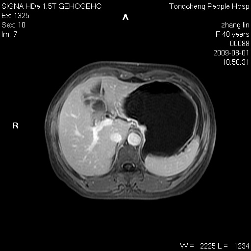
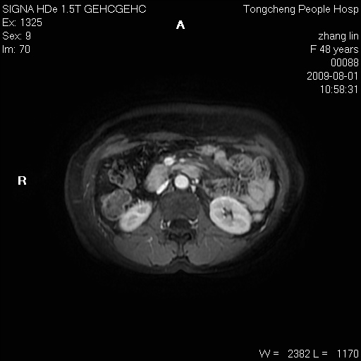
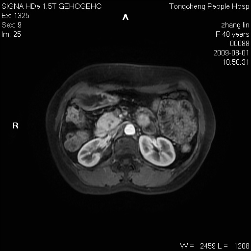
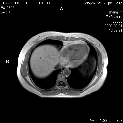
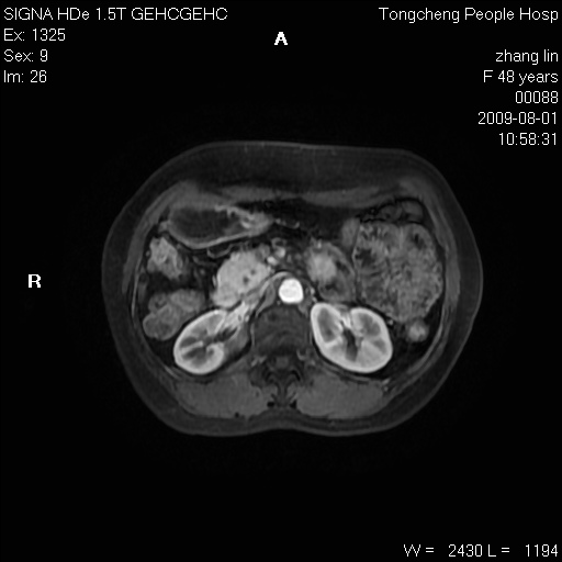
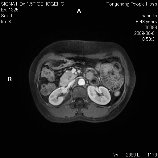
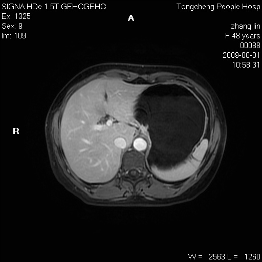
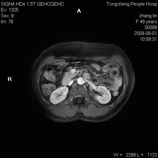
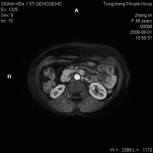
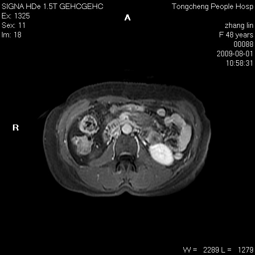
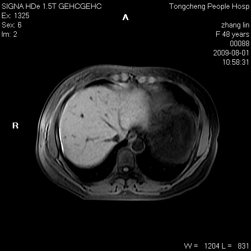
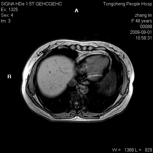
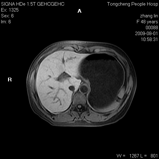
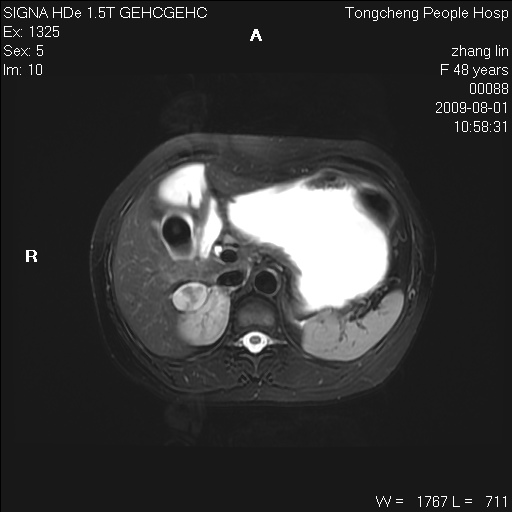
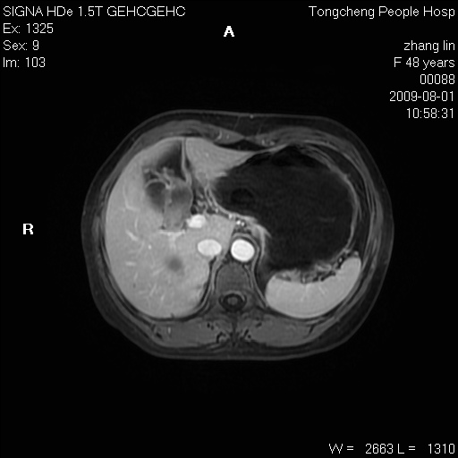
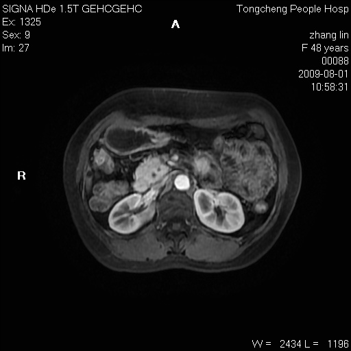
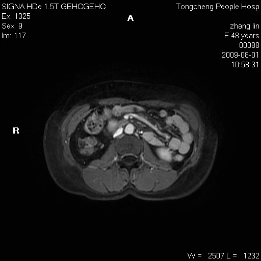
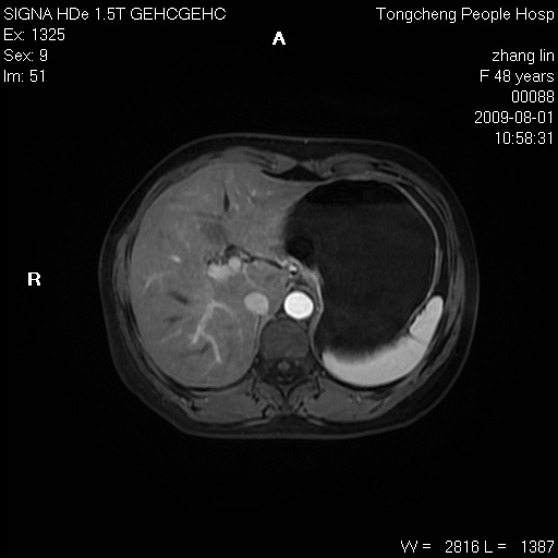
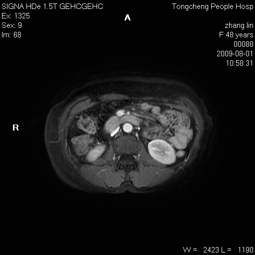
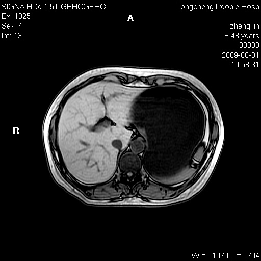
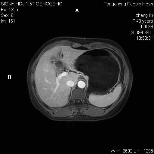
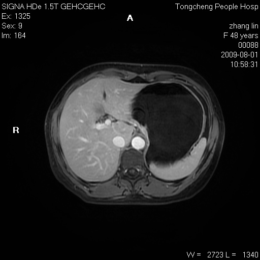
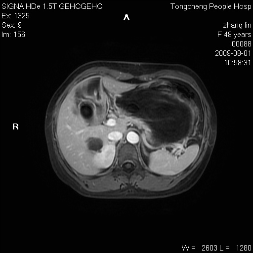
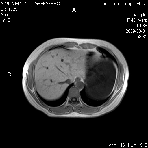
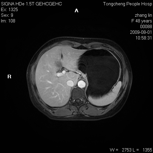
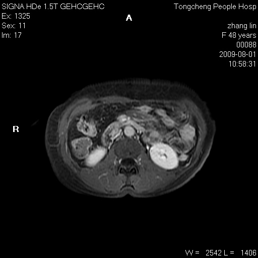
女,48岁。健康体检,彩超发现右肾占位性病变。平素健康。

临床诊断:右肾占位性病变,性质待定(囊肿?肿瘤?)。

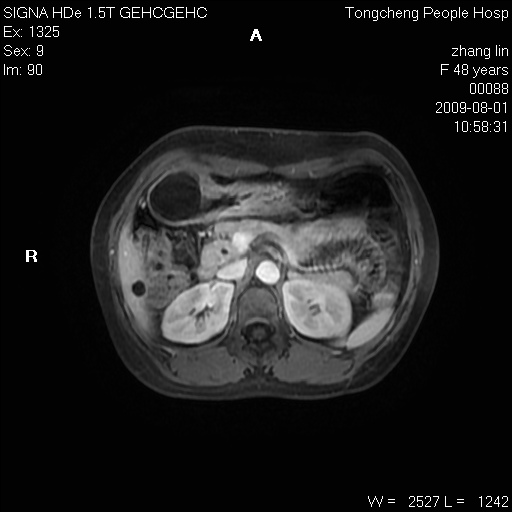
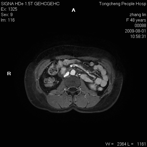
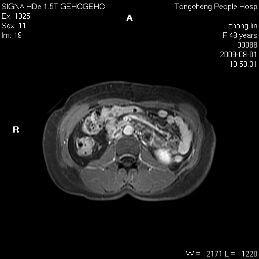
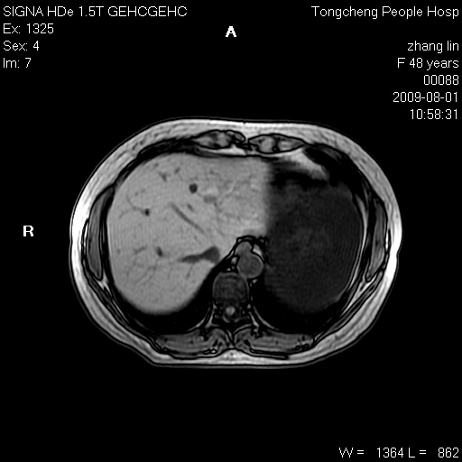
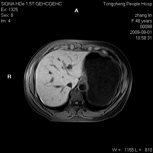
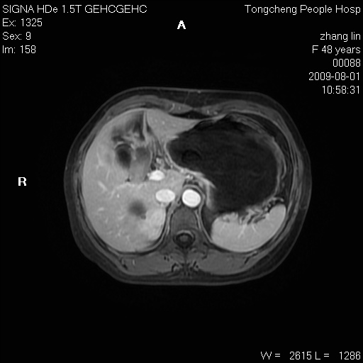
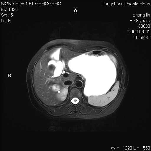
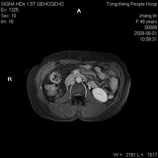
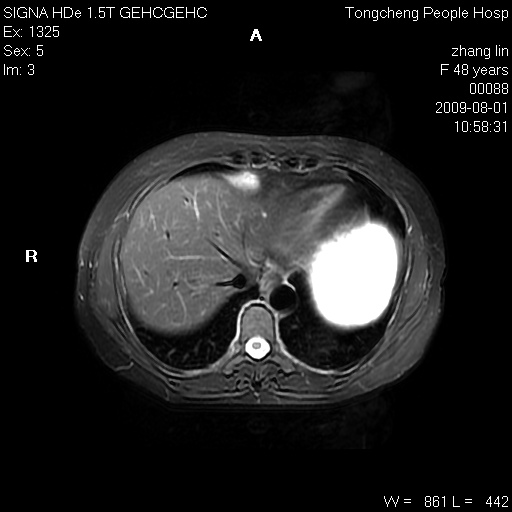
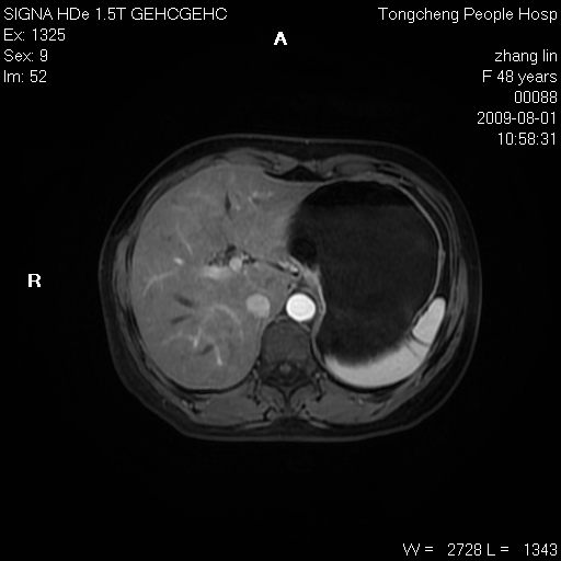
上中腹部mr平扫+增强扫描,图像如下:




























































































[本贴已被 jiajie 于 2009-8-2 19:35:07 修改过]

作者: 随光逐影    时间: 2009-8-2 21:14
标题: 回复:f,48y。健康体检,彩超发现右肾占位性病变。
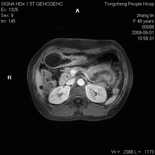
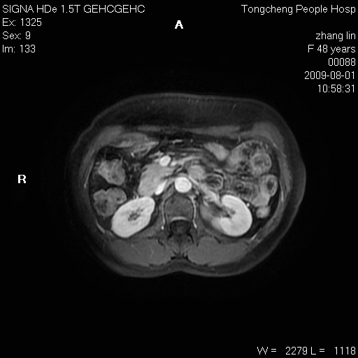
续传——
























































作者: 随光逐影    时间: 2009-8-2 21:20
标题: 回复:f,48y。健康体检,彩超发现右肾占位性病变。
续传——
























































作者: 随光逐影    时间: 2009-8-2 21:31
标题: 回复:f,48y。健康体检,彩超发现右肾占位性病变。
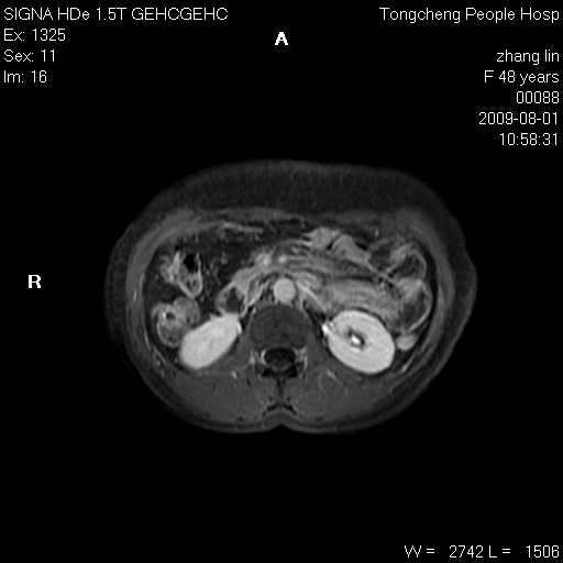
续传——






























































































作者: pujunzhi    时间: 2009-8-3 07:16
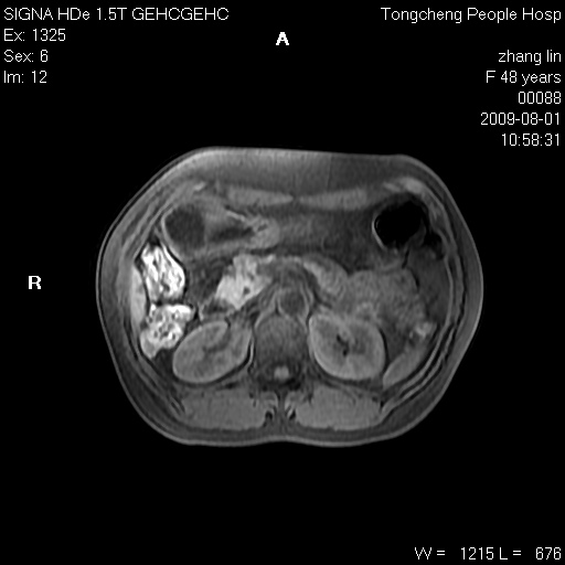
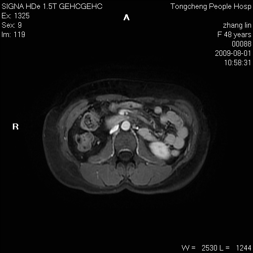
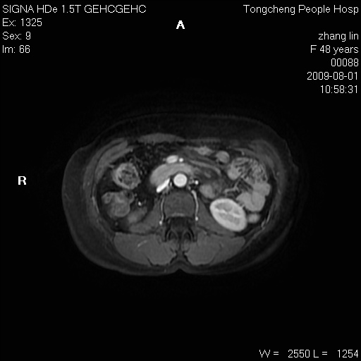
右肾上极见一类圆形病灶,t1wi呈等信号t2wi呈等高混杂信号,三期增强无强化,边界清---考虑囊肿出血。
作者: doc张    时间: 2009-8-3 17:03
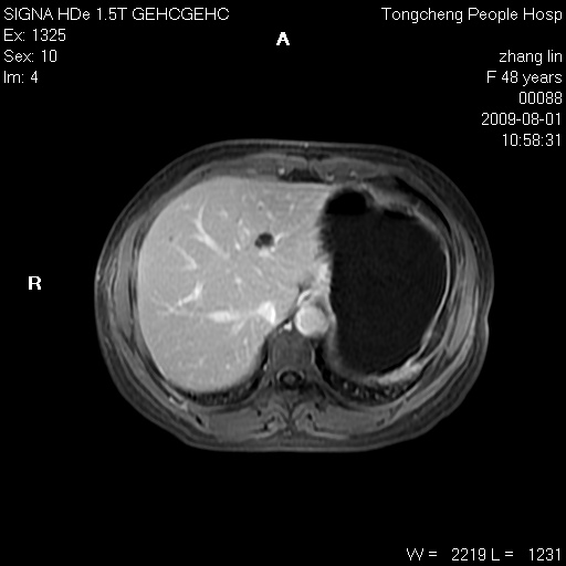
同反相位均表现为等信号,病变无强化,考虑含蛋白的囊肿可能,弥散加权相或许有些帮助,
作者: jiangjing    时间: 2009-8-3 17:58
右肾上极见一类圆形病灶,t1wi呈等信号t2wi呈等高混杂信号,三期增强无强化,边界清---考虑囊肿出血。  
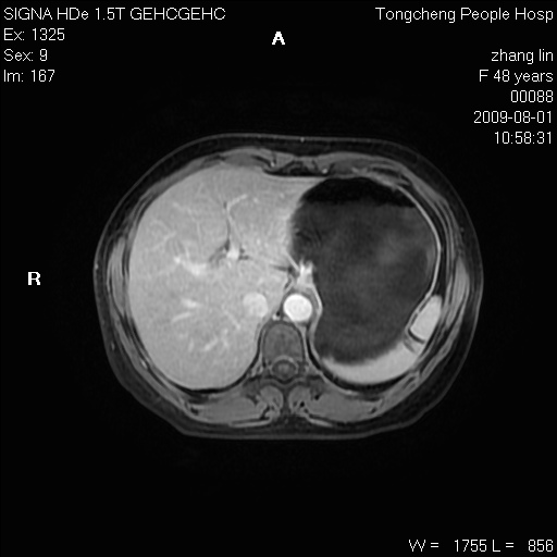
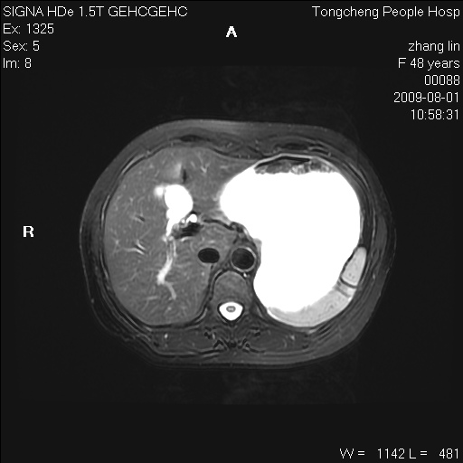
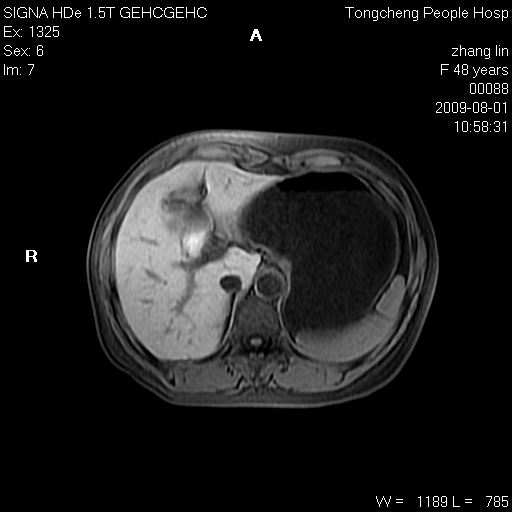
   肝囊肿
作者: zjzjr    时间: 2009-8-4 18:04
右肾上极见一类圆形病灶,t1wi呈等信号t2wi呈等高混杂信号,三期增强无强化,边界清---考虑囊肿出血。  
   肝囊肿
  
  
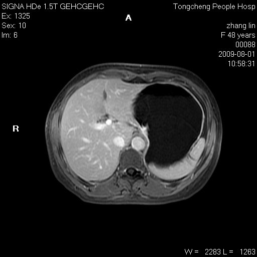
慢性胆囊炎
作者: qiuleiyu    时间: 2009-8-7 00:26
标题: 回复:mri2378:f,48y。健康体检,彩超发现右肾占位性病变。
以下是引用zjzjr在2009-8-4 10:04:00的发言:[br]右肾上极见一类圆形病灶,t1wi呈等信号t2wi呈等高混杂信号,三期增强无强化,边界清---考虑囊肿出血。  [br]   肝囊肿[br]  [br]  [br]慢性胆囊炎





欢迎光临 医影在线 (http://bbs.radida.com/bbs/) Powered by Discuz! X3.2