医影在线

标题: MRI2379:30岁,男,癫痫10年,请各位看一下;CT示:左颞叶钙 [打印本页]

作者: zoufeixiang    时间: 2009-8-3 03:50
标题: MRI2379:30岁,男,癫痫10年,请各位看一下;CT示:左颞叶钙












































[本贴已被 jiajie 于 2009-8-2 19:52:17 修改过]

作者: 医影书生    时间: 2009-8-3 04:04
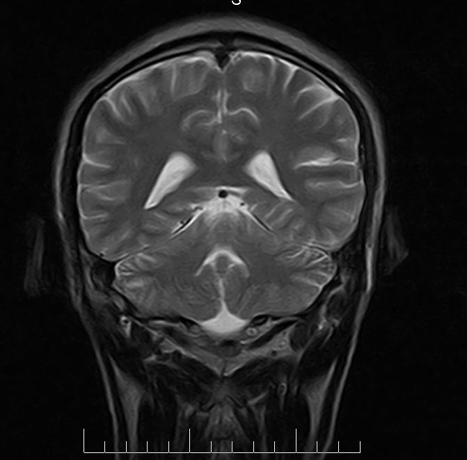
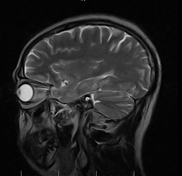
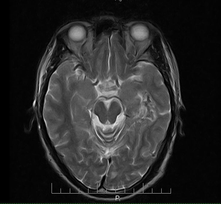
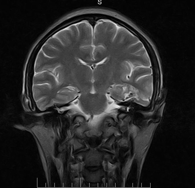
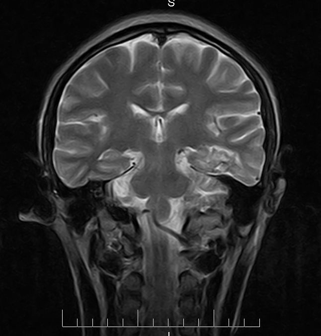
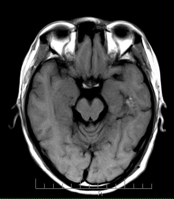
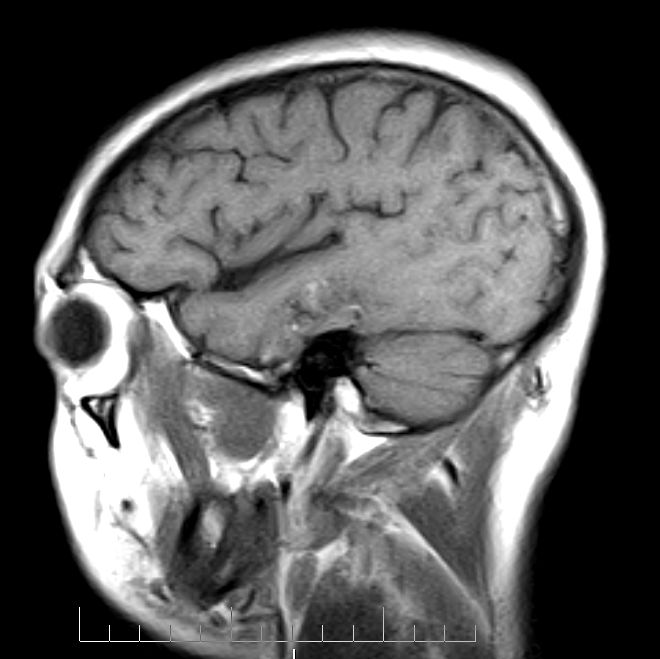
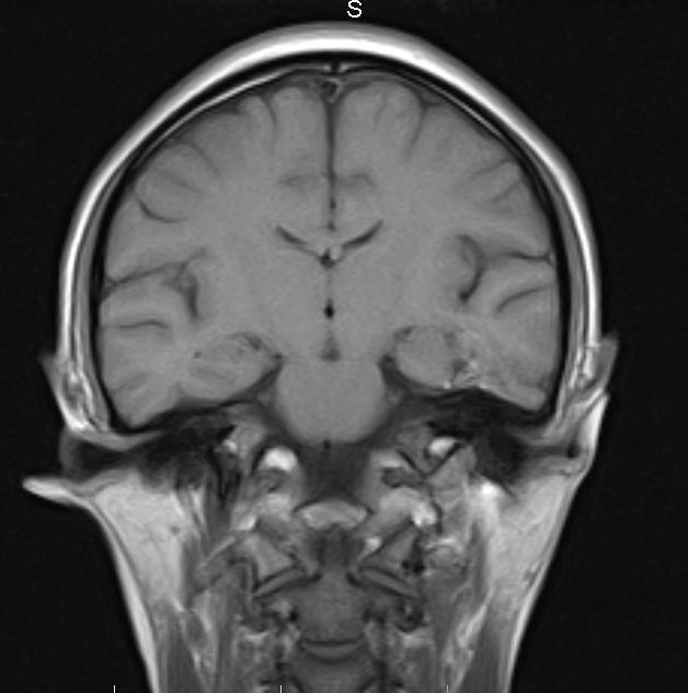
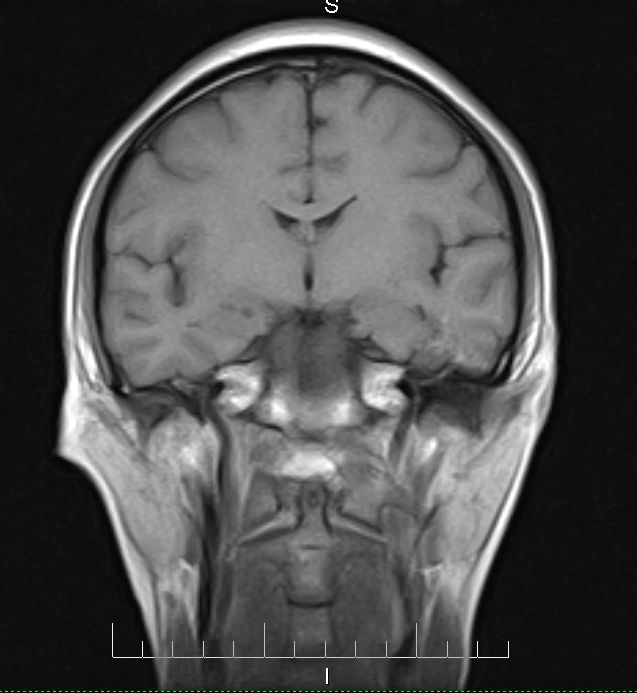
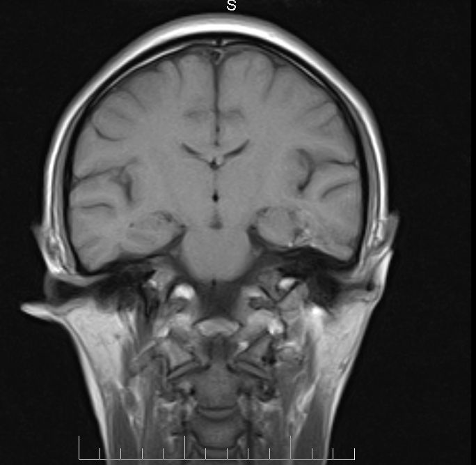
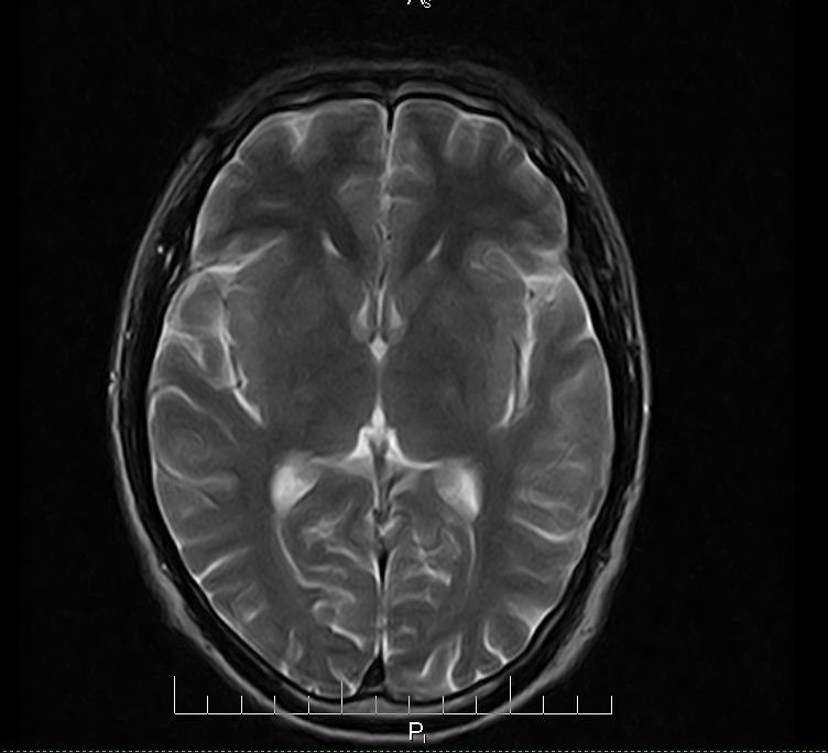
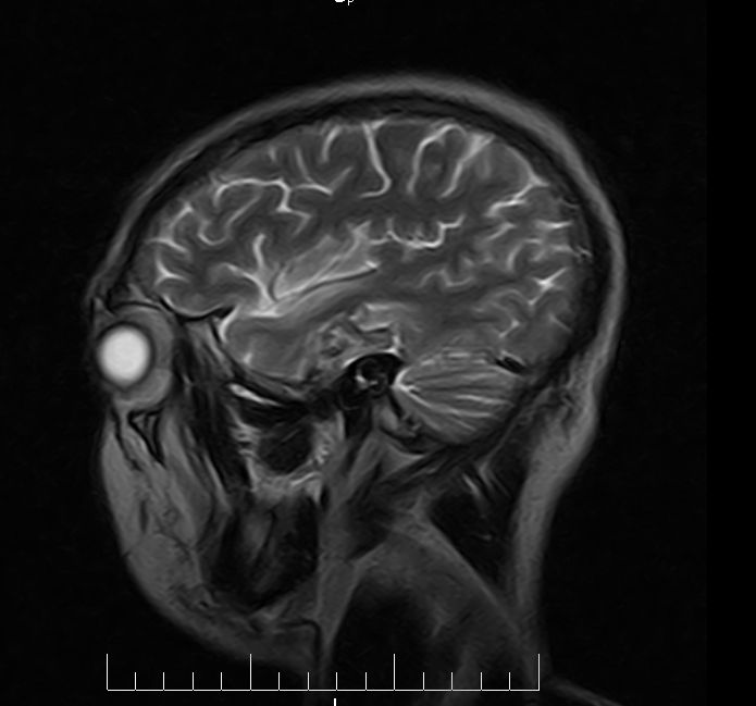
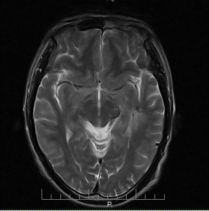
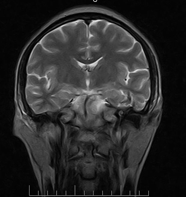
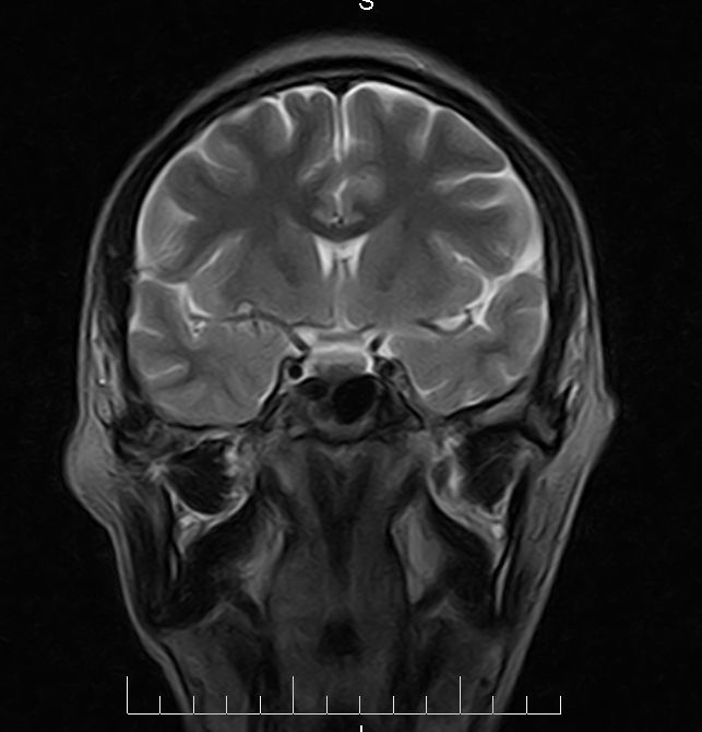
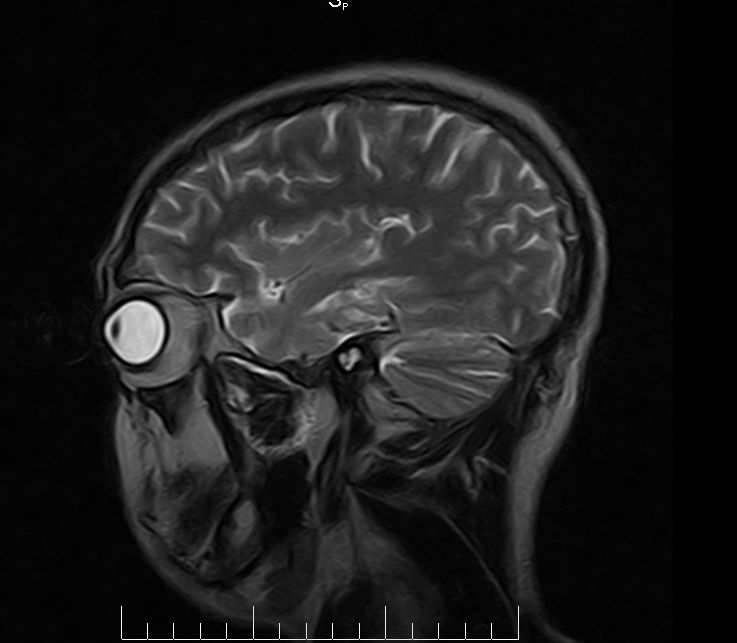
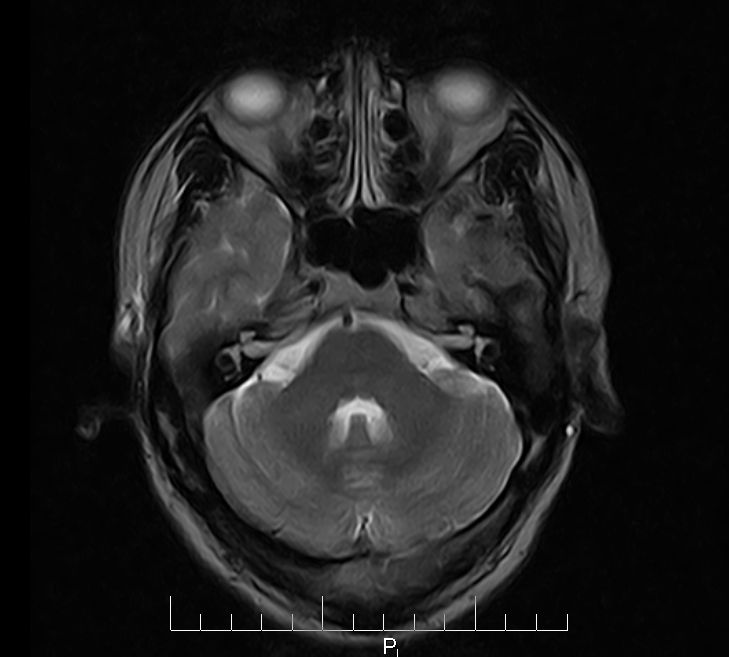
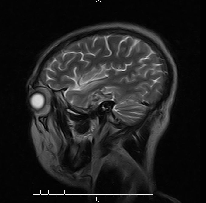
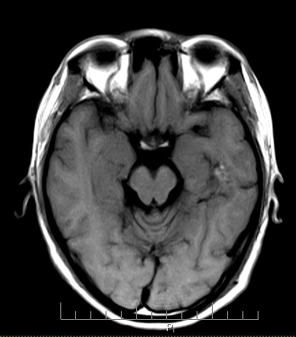
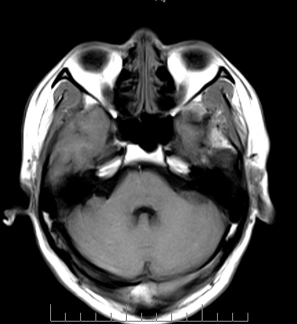
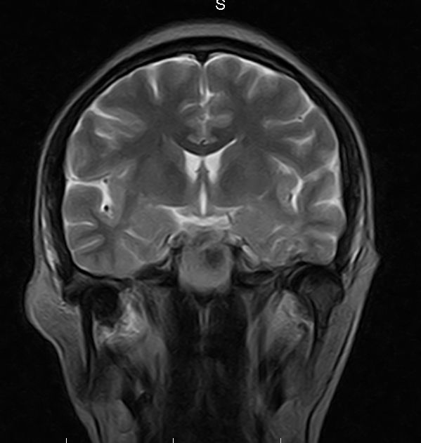
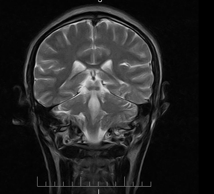
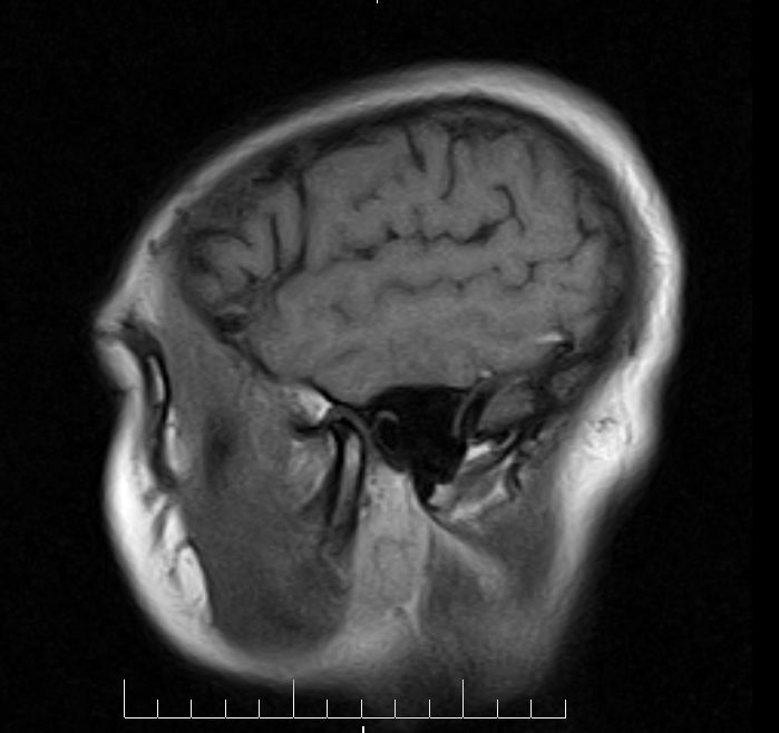
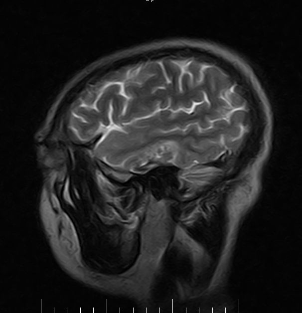
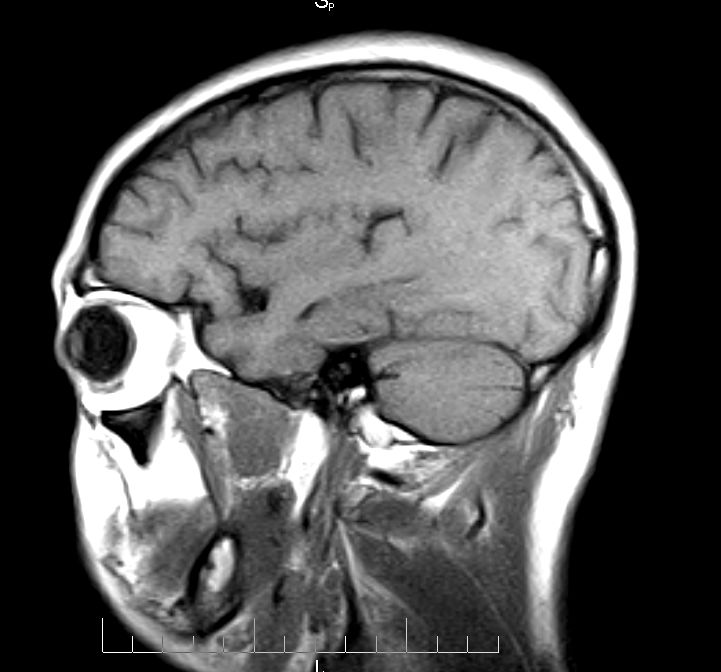
左颞叶区见不规则点状混杂信号影
考虑血管畸形
请专家点评
作者: goodxiaozhihui    时间: 2009-8-3 04:30
可以做个ct看看
作者: pujunzhi    时间: 2009-8-3 06:26
支持2楼 左颞叶区见不规则点状混杂信号影,考虑动静脉畸形。
作者: 随光逐影    时间: 2009-8-3 07:09
考虑左侧颞叶脑血管畸形(avm)。
作者: huangxinghai    时间: 2009-8-3 07:28
avm
作者: 卜一    时间: 2009-8-3 12:45
考虑左侧颞叶脑血管畸形(avm)。支持!
作者: doc张    时间: 2009-8-3 16:36
考虑左侧颞叶脑血管畸形,结合一下ct及既往有无外伤史。
作者: jiangjing    时间: 2009-8-3 17:40
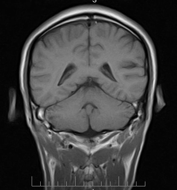
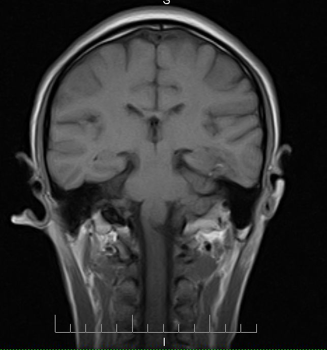
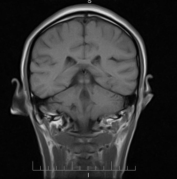
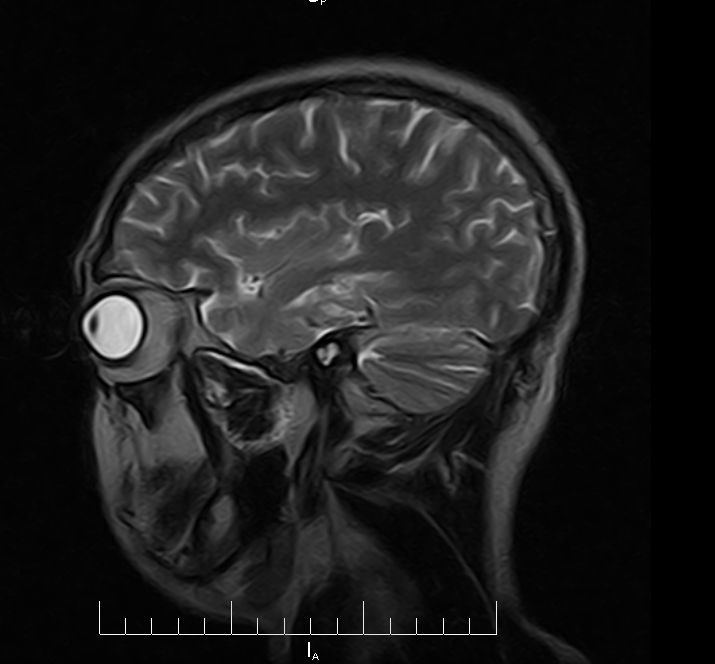
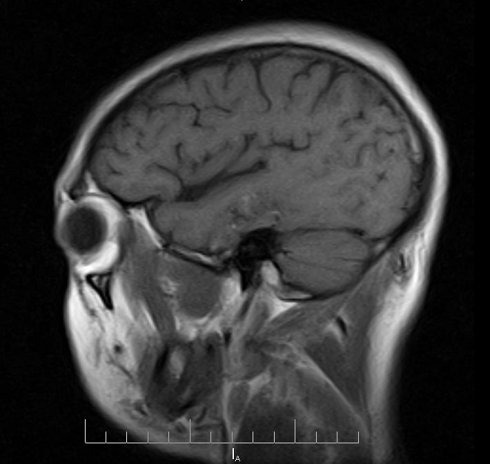
考虑左侧颞叶脑血管畸形(avm)。----t1低等高混杂信号,t2等高信号周边较多流空血管影[冠状位明显],mra左侧大脑中动脉受压,远侧聚集.
作者: yuliusen    时间: 2009-8-3 23:51
海绵状血管瘤
作者: zbp537    时间: 2009-8-4 03:44
建议增强扫描。
作者: 看图说话    时间: 2009-8-4 04:51
考虑左侧颞叶脑血管畸形(avm)。支持!
作者: songyi    时间: 2009-8-4 05:09
考虑左侧颞叶脑血管畸形
作者: QINGJUAN    时间: 2009-8-4 05:52
考虑左侧颞叶脑血管畸形(avm)。支持!
作者: zzhliman    时间: 2009-8-4 07:47
支持海绵状血管瘤!
作者: bssy    时间: 2009-8-4 18:08
考虑avm,建议行增强扫描,看供血a与引流v,以明确诊断。
作者: 熊熊    时间: 2009-8-6 03:26
左侧颞叶占位性病变,室官膜瘤?
增强。
作者: xrw    时间: 2009-8-7 19:33
考虑左颞叶avm.
作者: 黑白光影    时间: 2009-8-9 19:20
考虑左侧颞叶脑血管畸形。




欢迎光临 医影在线 (http://bbs.radida.com/bbs/) Powered by Discuz! X3.2