医影在线

标题: CT21402:腹腔占位病变 [打印本页]

作者: realzyc    时间: 2009-8-3 21:49
标题: CT21402:腹腔占位病变
(结果公布:http://www.radida.com/bbs/forum.php?mod=viewthread&tid=58604
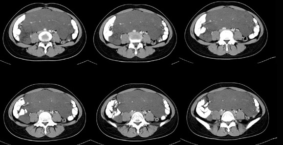
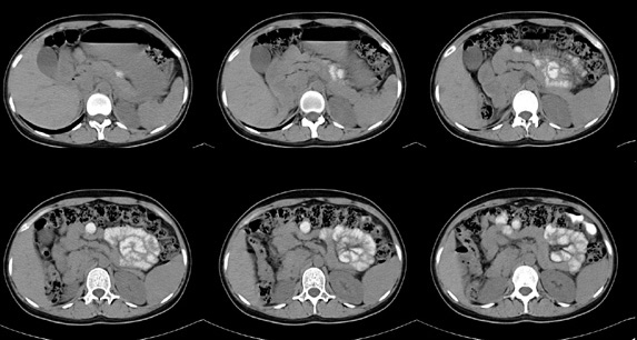
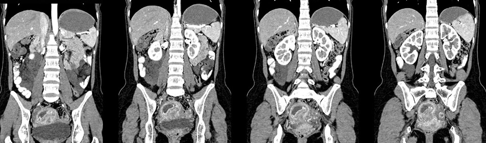
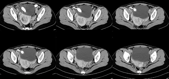
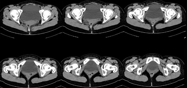
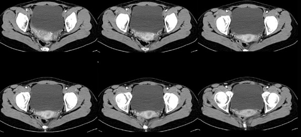
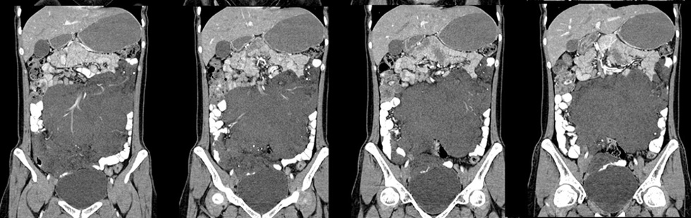
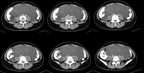
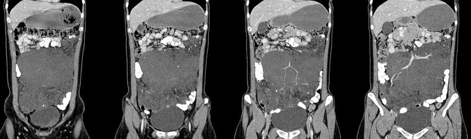
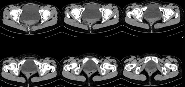
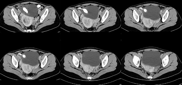
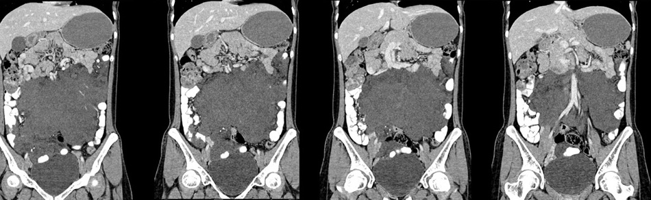
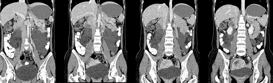
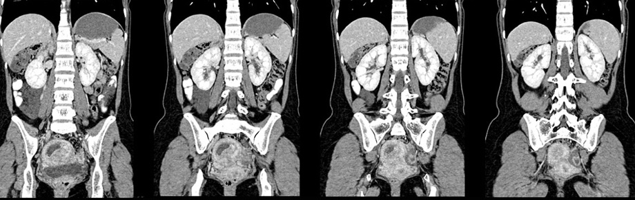
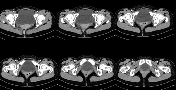
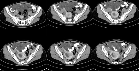
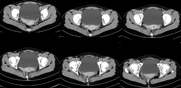
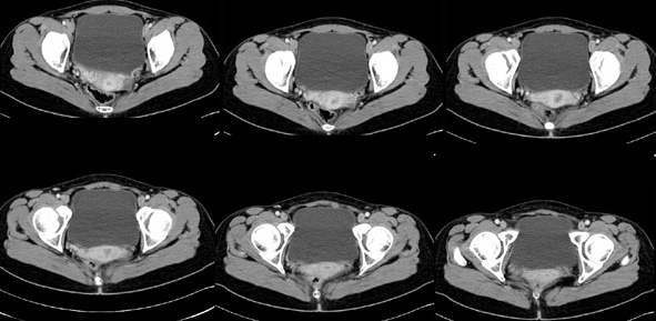
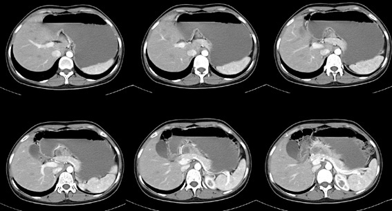
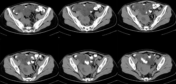
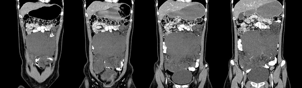
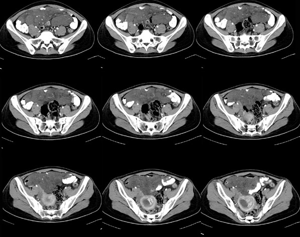
女性,28岁,停经3月,腹部膨隆1月,产前检查发现腹部占位
{肿块中心ct值27hu,增强后,动脉期、门脉期均无明显强化)












[本贴已被 jiajie 于 2009-9-29 6:55:09 修改过]

作者: realzyc    时间: 2009-8-3 21:53
标题: 回复:腹腔占位病变
继续发












作者: realzyc    时间: 2009-8-3 21:58
标题: 回复:腹腔占位病变
继续发








作者: realzyc    时间: 2009-8-3 22:00
标题: 回复:腹腔占位病变
继续发









作者: realzyc    时间: 2009-8-3 22:09
标题: 回复:腹腔占位病变
继续发








作者: doc张    时间: 2009-8-3 22:16
奇怪病例,即使是淋巴类肿瘤也应该有强化。盼望继续跟踪上传结果。
作者: zjzjr    时间: 2009-8-3 23:29
考虑腹腔囊性淋巴管瘤,不除外少脂肪脂肪肉瘤,宫内妊娠.
作者: 破釜沉舟    时间: 2009-8-3 23:31
在下考虑左侧卵巢囊腺瘤。
作者: 沉默是金    时间: 2009-8-3 23:36
考虑腹腔囊性淋巴管瘤或卵巢囊腺瘤
作者: 深泽交通    时间: 2009-8-3 23:42
考虑右侧卵巢囊腺瘤;子宫肌瘤
作者: bmw011    时间: 2009-8-3 23:53
考虑恶性畸胎瘤,不除外脂肪肉瘤;宫内妊娠。
作者: qwerty111    时间: 2009-8-4 00:04
腹腔囊性淋巴管瘤
作者: 宇宙CT    时间: 2009-8-4 01:27
不才,在下诊断不了
作者: zxl51642    时间: 2009-8-4 01:28
先定位,再定性!
肿块巨大,定性困难,本人定位腹膜后,定性良性。
考虑:畸胎瘤可能性大,不排除神经源性病变。
淋巴管瘤、囊腺瘤及少脂肪脂肪肉瘤不支持!
作者: lkc8963    时间: 2009-8-4 01:31
比较典型的肠系膜脂膜炎。
1 肠系膜肿块诸期无明显强化,肠系膜血管包绕其中但其周围仍见脂肪称“脂肪环征”;2 肠系膜血管远端较近端细,于重组像上见血管周围有强化结节为炎性结节,3肿块内见部分脂肪密度及少许点状钙化。4 腹膜后无肿大ln。
需与恶性病变鉴别,脂肪环征为重要点。亦需与卵巢源性肿瘤鉴别,年龄以及未见“卵巢静脉征”为要点。
作者: 同    时间: 2009-8-4 01:38
考虑 卵巢囊腺瘤,子宫肌瘤。
作者: sunbin    时间: 2009-8-4 02:13
考虑卵巢囊腺瘤可能。
作者: 随光逐影    时间: 2009-8-4 15:18
1)不排除肠系膜脂膜炎可能。2)宫内妊娠。
作者: 帅河马    时间: 2009-8-5 04:17
期待结果
作者: hejie    时间: 2009-8-8 06:16
肠系膜淋巴管瘤。
作者: realzyc    时间: 2009-9-27 23:32
患者手术病理:腹腔囊性淋巴管瘤,象这样充满整个腹腔的的确很少见
作者: 黑白光影    时间: 2009-9-28 00:34
腹腔囊性淋巴管瘤,谢楼主反馈结果。
作者: 随光逐影    时间: 2009-9-28 03:23
标题: 回复:ct21402:腹腔占位病变
以下是引用realzyc在2009-9-27 15:32:00的发言:[br]患者手术病理:腹腔囊性淋巴管瘤,象这样充满整个腹腔的的确很少见

——感谢楼主反馈结果,学习了。
作者: 柳依婷    时间: 2009-9-28 04:05
谢谢结果,有几个朋友说对了,高手不少。
作者: qiuleiyu    时间: 2009-9-28 05:13
学习了,谢谢!
作者: zjzjr    时间: 2009-9-28 19:10
子宫有事吧,是宫内妊娠吗.
作者: 拾荒者    时间: 2009-9-29 06:01
感谢楼主反馈结果,宫腔内是什么改变?
作者: 影像孺子牛    时间: 2009-9-29 07:43
感谢楼主反馈术后结果。
作者: 健力宝    时间: 2009-9-30 09:40
标题: 回复:ct21402:腹腔占位病变
以下是引用影像孺子牛在2009-9-28 23:43:00的发言:[br]感谢楼主反馈术后结果。

作者: scdlc2008    时间: 2009-9-30 17:49
学习
作者: dr.yang    时间: 2013-3-27 11:44
考虑腹腔囊性淋巴管瘤,不除外少脂肪脂肪肉瘤,宫内妊娠.




欢迎光临 医影在线 (http://bbs.radida.com/bbs/) Powered by Discuz! X3.2