医影在线

标题: CT21439:这个才是 [打印本页]

作者: 37度    时间: 2009-8-5 19:45
标题: CT21439:这个才是





















































[本贴已被 jiajie 于 2009-8-5 15:53:29 修改过]

作者: zjzjr    时间: 2009-8-5 20:50
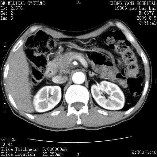
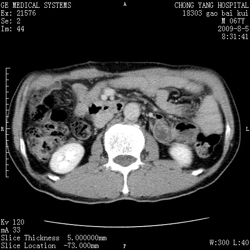
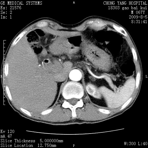
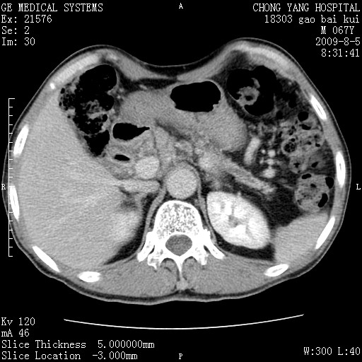
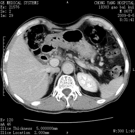
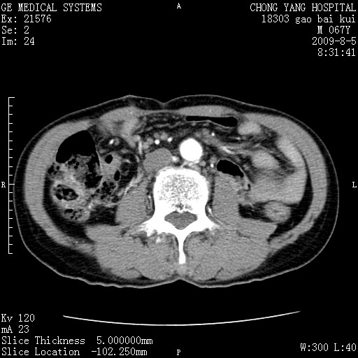
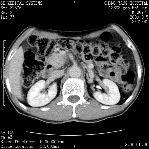
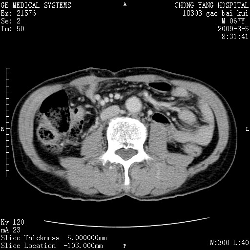
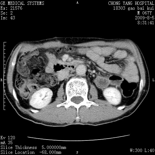
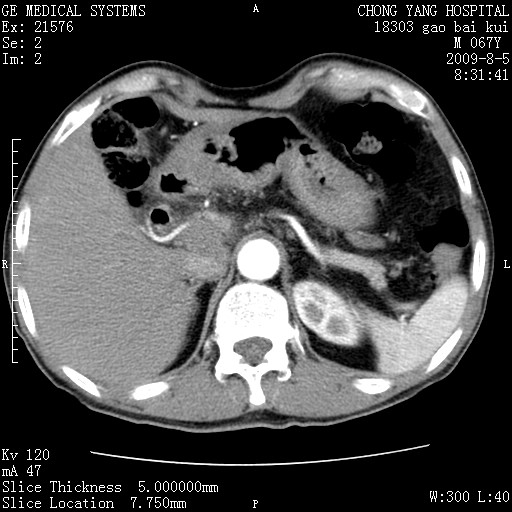
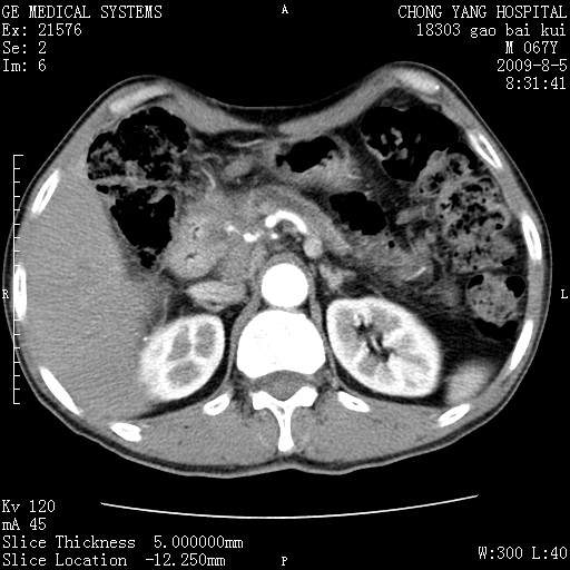
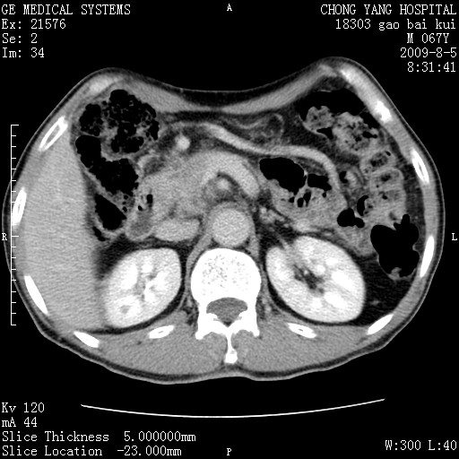
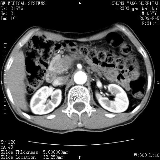
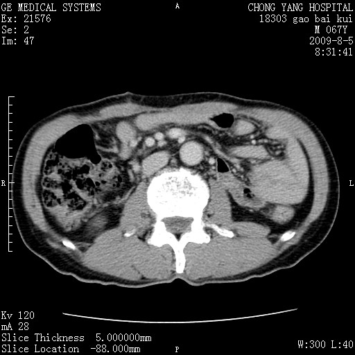
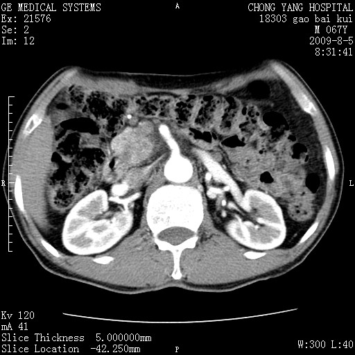
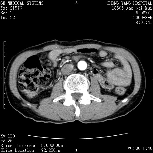
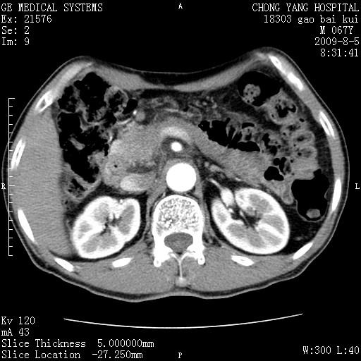
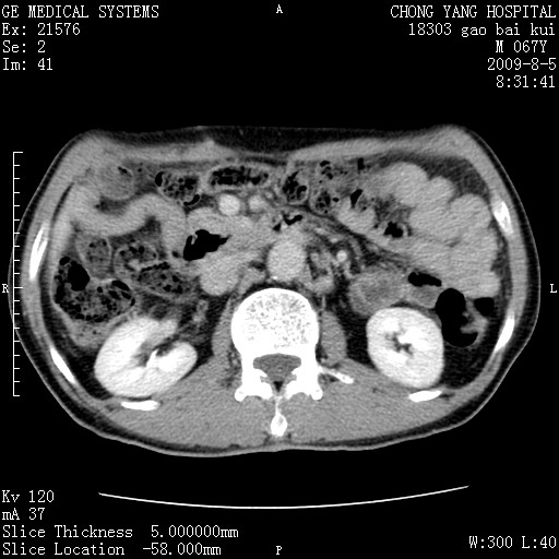
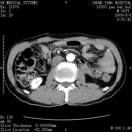
这个也过了,考虑胰腺钩突癌或壶腹癌,不除外胰管粘液乳头瘤伴胰管扩张,肝内胆管积气.
作者: ct诊断高手    时间: 2009-8-5 22:24
标题: 回复:这个才是
以下是引用zjzjr在2009-8-5 12:50:00的发言:[br]这个也过了,考虑胰腺钩突癌或壶腹癌,不除外胰管粘液乳头瘤伴胰管扩张,肝内胆管积气.

作者: muzi888    时间: 2009-8-5 23:47
第 2 楼

  
   
这个也过了,考虑胰腺钩突癌或壶腹癌,不除外胰管粘液乳头瘤伴胰管扩张,肝内胆管积气.
作者: 云翔    时间: 2009-8-6 00:40
是否做过腹部手术?
作者: 随光逐影    时间: 2009-8-6 01:47
1)考虑胰头癌或壶腹癌并胰管扩张。2)肝外胆管扩张、积气,胆囊影未见;考虑术后改变。3)胃壁增厚?建议必要时行胃镜检查。
作者: 黑白光影    时间: 2009-8-6 04:12
ct21435
作者: 帅河马    时间: 2009-8-6 14:45
虑胰腺钩突癌或壶腹癌,不除外胰管粘液乳头瘤伴胰管扩张,肝内胆管积气.
作者: zbp537    时间: 2009-8-6 15:03
考虑胰头癌并十二指肠受侵。
作者: 泪洒红尘    时间: 2009-8-6 18:15
学习中.
作者: huqi8888    时间: 2009-8-6 18:52
1)考虑胰头癌或壶腹癌并胰管扩张。2)肝外胆管扩张、积气,胆囊影未见;考虑术后改变。3)胃壁增厚?建议必要时行胃镜检查。




欢迎光临 医影在线 (http://bbs.radida.com/bbs/) Powered by Discuz! X3.2