医影在线

标题: CT21441:男55岁,上腹部胀痛半年余,请老师们看看是后腹膜淋巴 [打印本页]

作者: mohaiyidi    时间: 2009-8-5 20:31
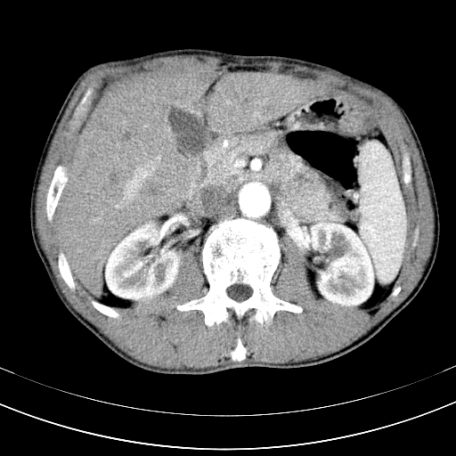
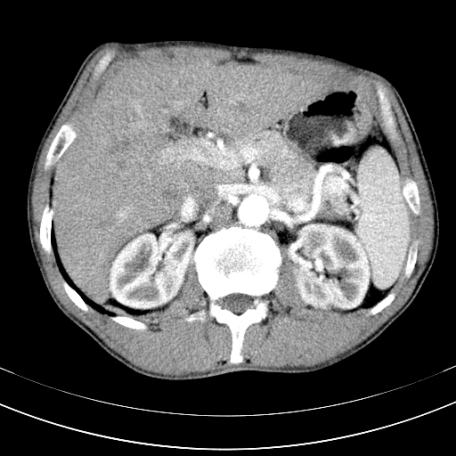
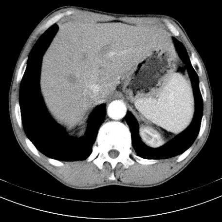
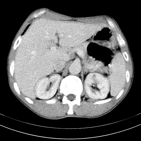
标题: CT21441:男55岁,上腹部胀痛半年余,请老师们看看是后腹膜淋巴



















[本贴已被 jiajie 于 2009-8-5 15:54:11 修改过]

作者: zxl51642    时间: 2009-8-5 21:19
没扫完。
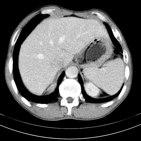
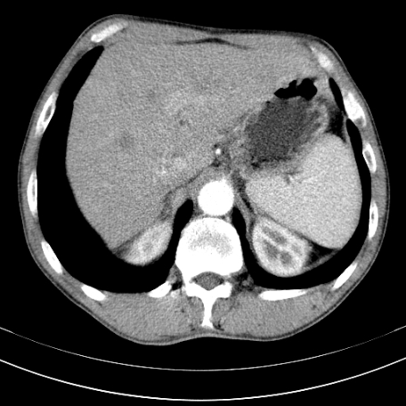
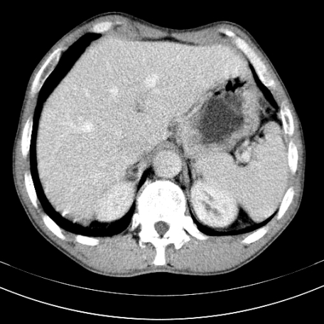
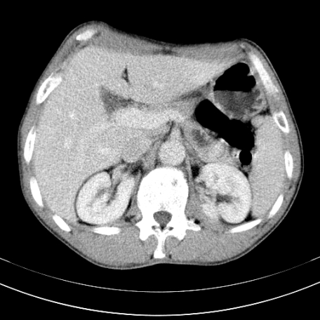
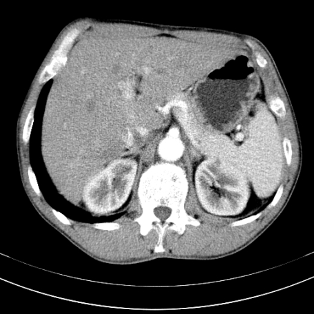
眼拙!仅见胰腺稍丰满,脾大。
作者: zjzjr    时间: 2009-8-6 01:15
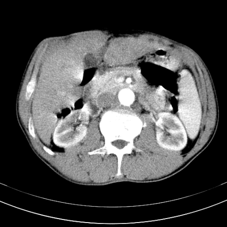
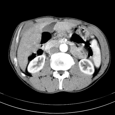
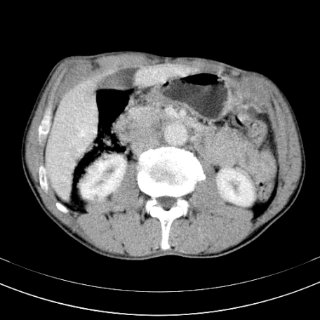
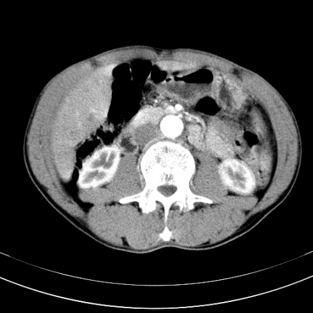
腹主动脉右侧有一个,有肿瘤病史吗?
作者: 沉默是金    时间: 2009-8-6 01:24
转移瘤或淋巴瘤
作者: 同    时间: 2009-8-6 01:35
标题: 回复:ct21441:男55岁,上腹部胀痛半年余,请老师们看看是后
以下是引用zjzjr在2009-8-5 17:15:00的发言:[br]腹主动脉右侧有一个,有肿瘤病史吗?

作者: 随光逐影    时间: 2009-8-6 01:54
腹膜后淋巴结肿大,原因待查。
作者: 初学者LANMEI    时间: 2009-8-6 02:50
腹膜后淋巴结肿大,原因待查。
作者: 黑白光影    时间: 2009-8-6 04:24
腹膜后淋巴结肿大,原因待查。
作者: 帅河马    时间: 2009-8-6 14:37
腹膜后淋巴结肿大,原因待查。
作者: dsl555    时间: 2009-8-6 14:52
支持   腹膜后淋巴结肿大,原因待查
作者: 泪洒红尘    时间: 2009-8-6 18:17
腹主动脉右侧有一个,有肿瘤病史吗?
学习了.




欢迎光临 医影在线 (http://bbs.radida.com/bbs/) Powered by Discuz! X3.2