医影在线

标题: CT21467:女,93岁,摔伤后检查。 [打印本页]

作者: jslu503    时间: 2009-8-7 01:52
标题: CT21467:女,93岁,摔伤后检查。
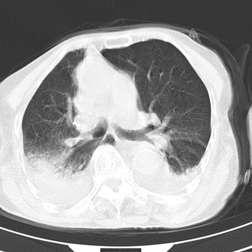
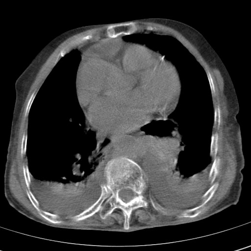
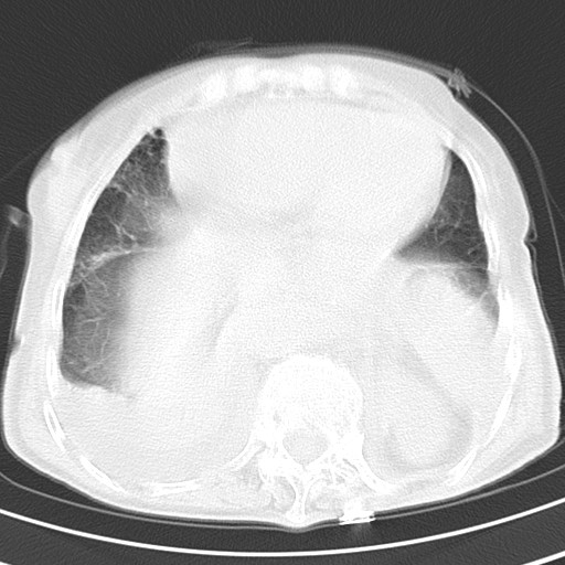
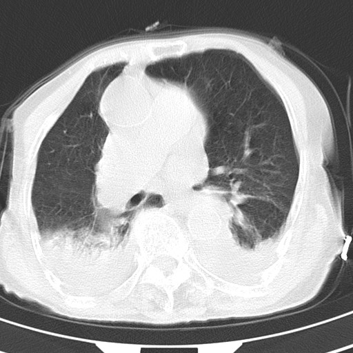
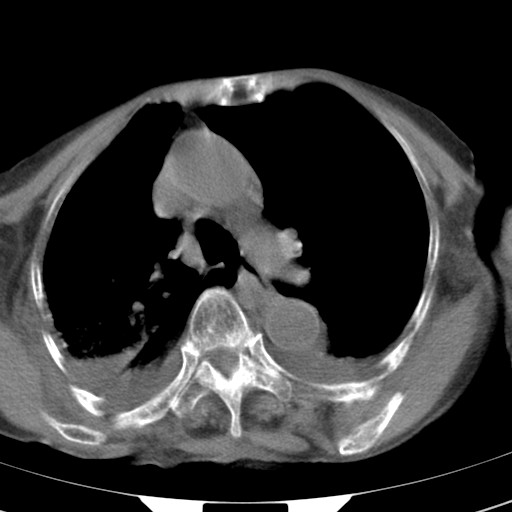
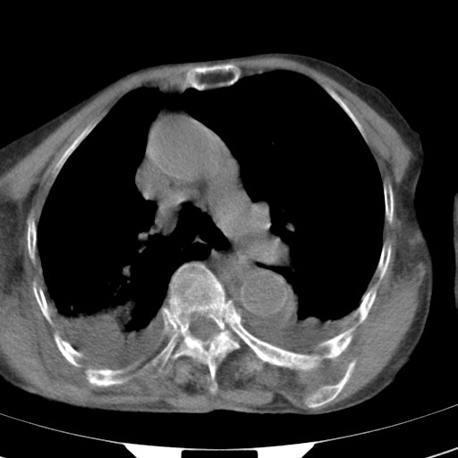
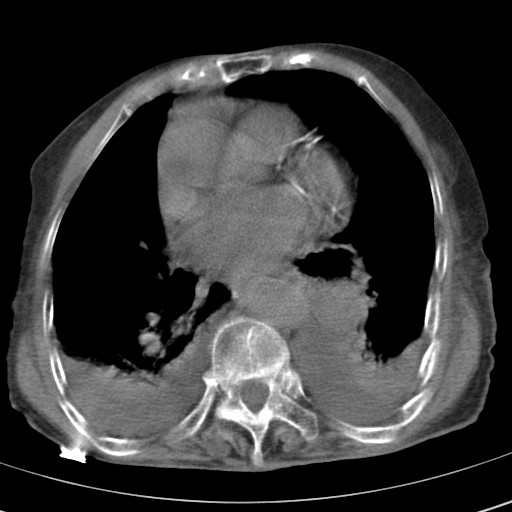
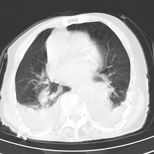
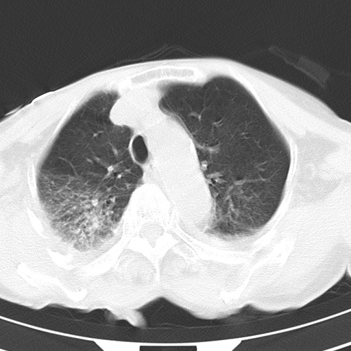
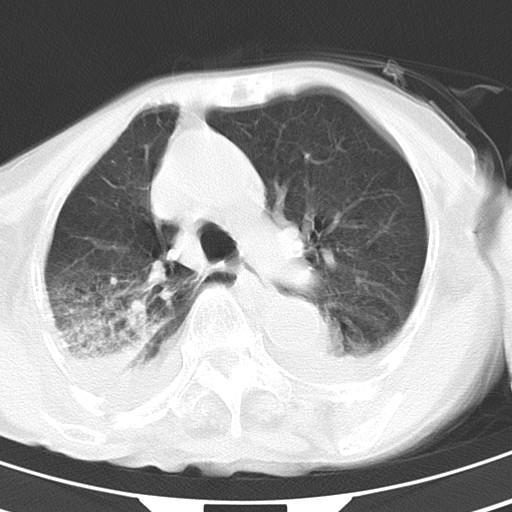
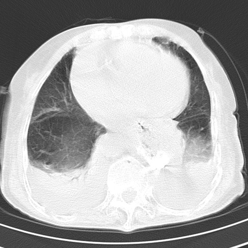
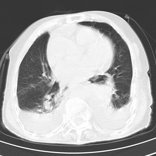
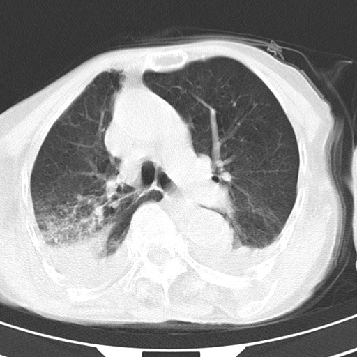
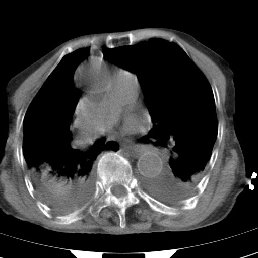
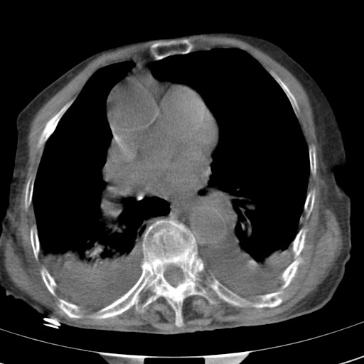
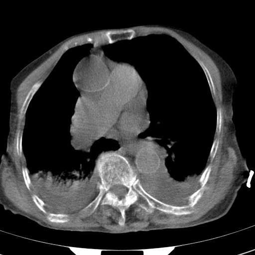
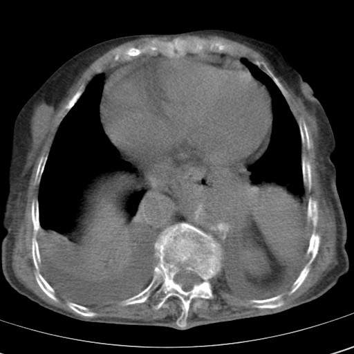
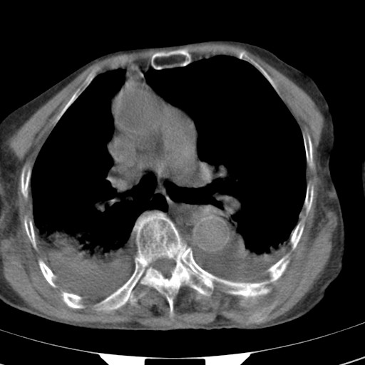
女,93岁,摔伤后检查。


















































[本贴已被 翁志蓬 于 2009-8-6 22:12:51 修改过]

作者: bmw011    时间: 2009-8-7 02:27
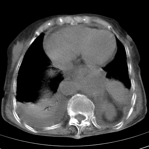
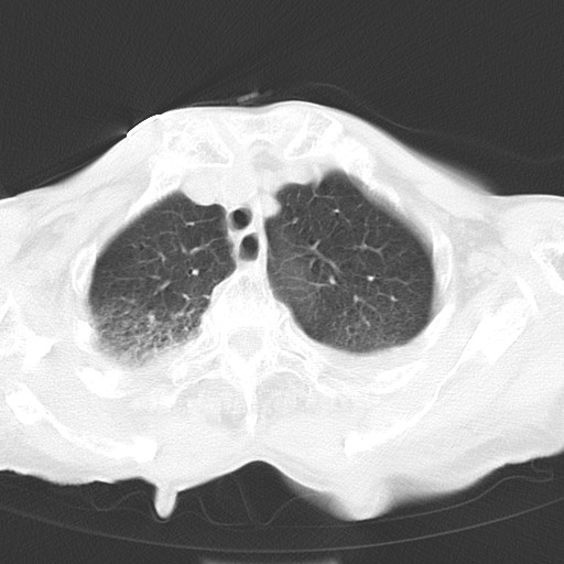
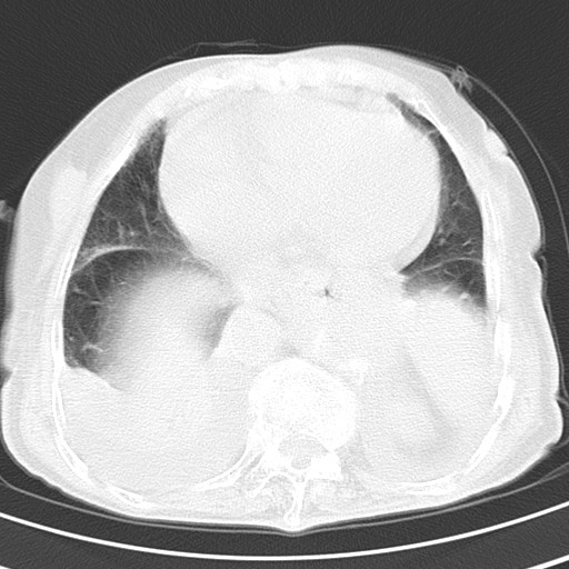
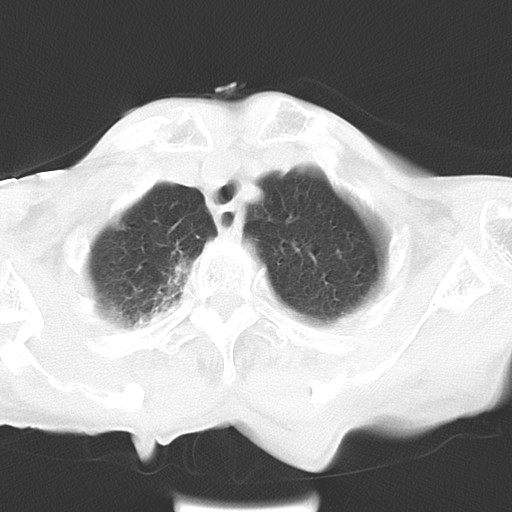
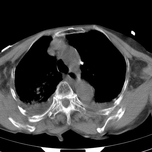
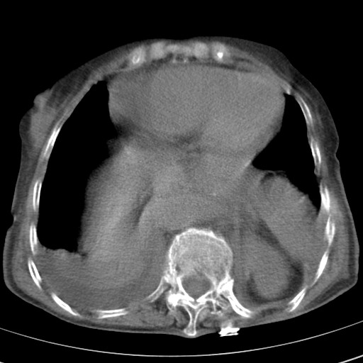
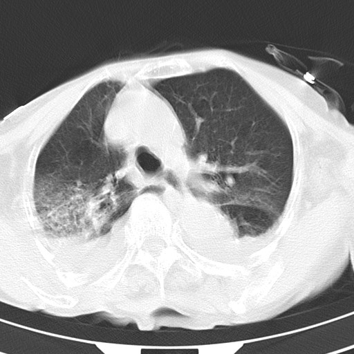
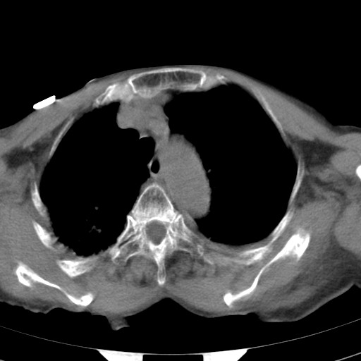
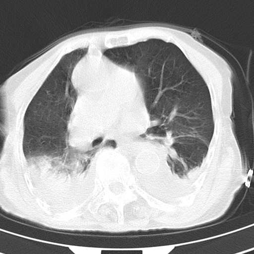
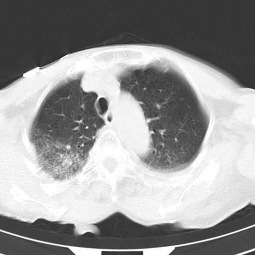
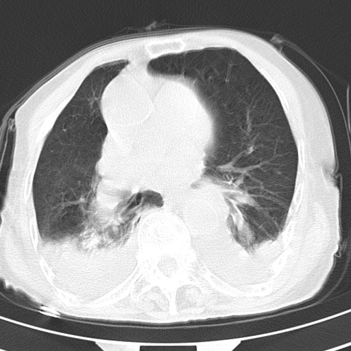
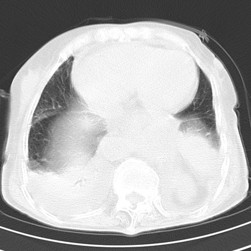
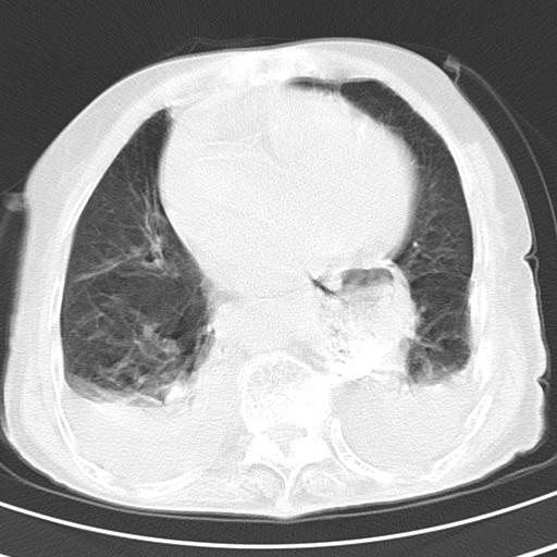
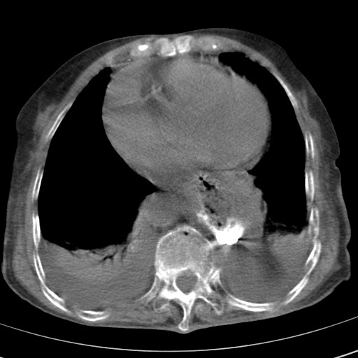
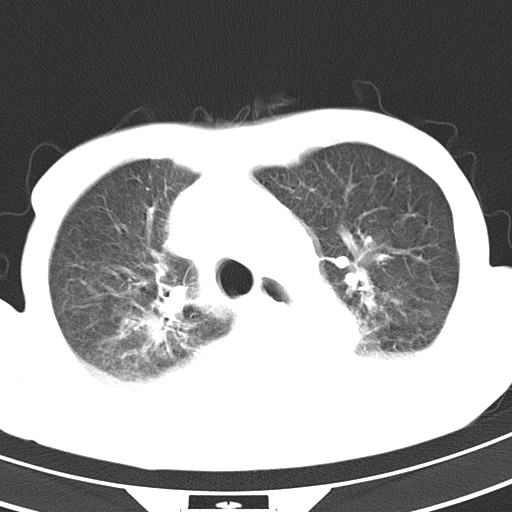
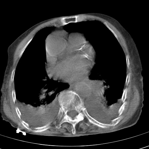
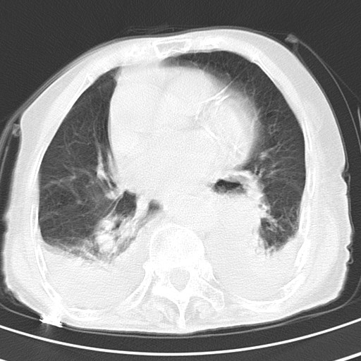
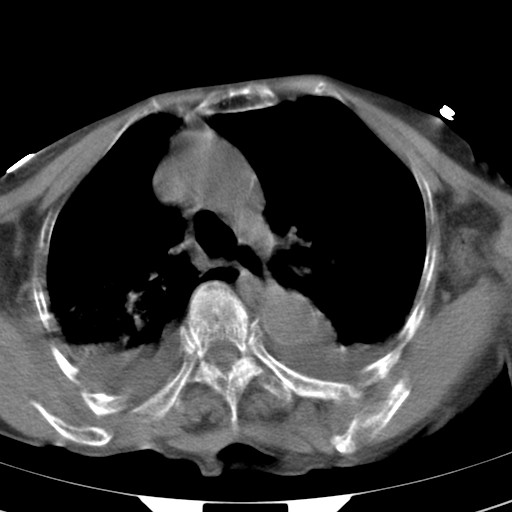
考虑感染性病变,建议抗炎治疗后复查。双侧胸腔积液。
作者: zjzjr    时间: 2009-8-7 02:51
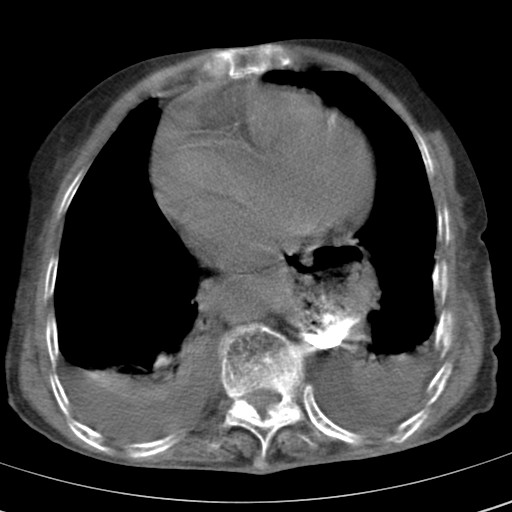
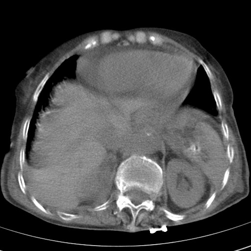
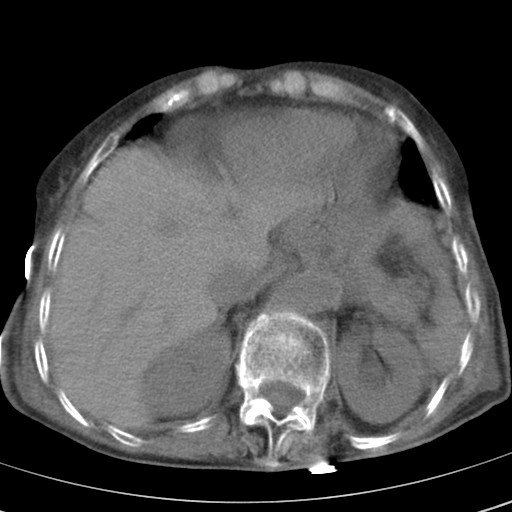
右肺炎症,心功能不全伴双侧胸腔积液,右下肺膨胀不全,食管裂孔疝,冠脉钙化,心包少量积液,左侧肋骨骨折,请上传骨窗.
作者: 泪洒红尘    时间: 2009-8-7 03:34
双肺感染合并双侧胸腔积液、胸膜增厚粘连,骨性胸廓未见明确骨折征。
作者: 黄毛小子    时间: 2009-8-7 04:24
标题: 回复:女,93岁,捽伤后检查。
以下是引用泪洒红尘在2009-8-6 19:34:00的发言:[br]双肺感染合并双侧胸腔积液、胸膜增厚粘连,骨性胸廓未见明确骨折征。

作者: yangyang2000    时间: 2009-8-7 06:08
考虑感染性病变,建议抗炎治疗后复查。双侧胸腔积液。
食管裂孔疝
右肩甲骨粉碎性骨折,上传骨窗
作者: 爱国    时间: 2009-8-7 06:29
创伤性湿肺,双侧胸腔积液。可能有食管裂孔疝,进一步检查。骨折有无根据自己的机器及片子再仔细看吧。
作者: panyishengct    时间: 2009-8-7 06:48
右侧锁骨\\肩胛骨骨折、右侧湿肺,心功能不全伴双侧胸腔积液,右下肺膨胀不全,左膈破裂或食管裂孔疝,冠脉钙化,心包少量积液,请上传骨窗.
作者: 看图说话    时间: 2009-8-7 07:02
右肺炎症,心功能不全伴双侧胸腔积液,右下肺膨胀不全,食管裂孔疝,冠脉钙化,心包少量积液,左侧肋骨骨折,右肩甲骨粉碎性骨折。93岁,高寿哇!
作者: 帅河马    时间: 2009-8-7 09:01
右肺炎症,心功能不全伴双侧胸腔积液,右下肺膨胀不全,食管裂孔疝,冠脉钙化,心包少量积液,左侧肋骨骨折,右肩甲骨粉碎性骨折。
作者: 随光逐影    时间: 2009-8-7 15:27
支持 右肺炎症,心功能不全伴双侧胸腔积液,右下肺膨胀不全,食管裂孔疝,冠脉钙化,心包少量积液,左侧肋骨骨折,右肩甲骨粉碎性骨折。
作者: huqi8888    时间: 2009-8-7 17:15
支持楼上意见。
作者: zxl51642    时间: 2009-8-7 17:55
右肺炎症,心功能不全伴双侧胸腔积液,右下肺膨胀不全,食管裂孔疝,冠脉钙化,心包少量积液,左侧肋骨骨折,右肩甲骨粉碎性骨折。93岁,高寿哇!  
  支持
作者: 黑白光影    时间: 2009-8-8 05:40
支持 右肺炎症,心功能不全伴双侧胸腔积液,右下肺膨胀不全,食管裂孔疝,冠脉钙化,心包少量积液,左侧肋骨骨折,右肩甲骨粉碎性骨折。
作者: dr.yang    时间: 2013-3-11 22:12
右肺炎症,心功能不全伴双侧胸腔积液,右下肺膨胀不全,食管裂孔疝,冠脉钙化,心包少量积液,左侧肋骨骨折,请上传骨窗.




欢迎光临 医影在线 (http://bbs.radida.com/bbs/) Powered by Discuz! X3.2