医影在线

标题: CT21468:胸腹部病变 多发 [打印本页]

作者: lffw    时间: 2009-8-7 05:43
标题: CT21468:胸腹部病变 多发























































































[本贴已被 翁志蓬 于 2009-8-6 22:14:08 修改过]

作者: lffw    时间: 2009-8-7 05:49
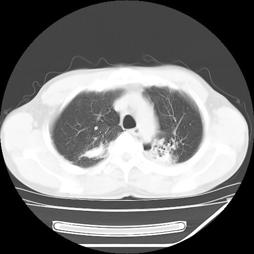
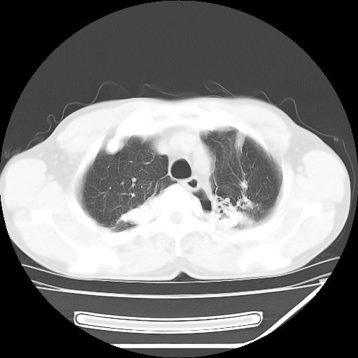
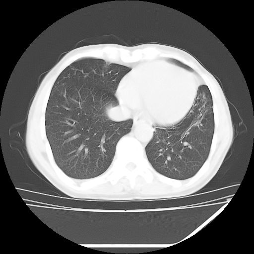
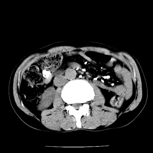
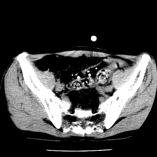
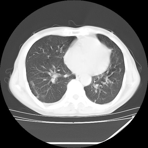
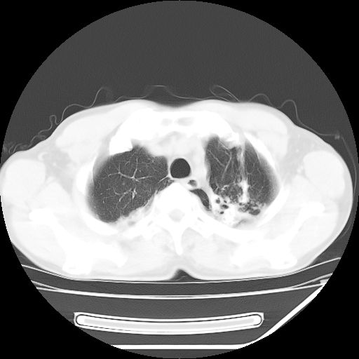
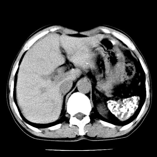
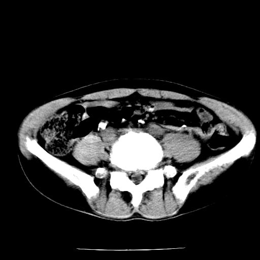
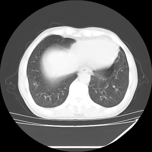
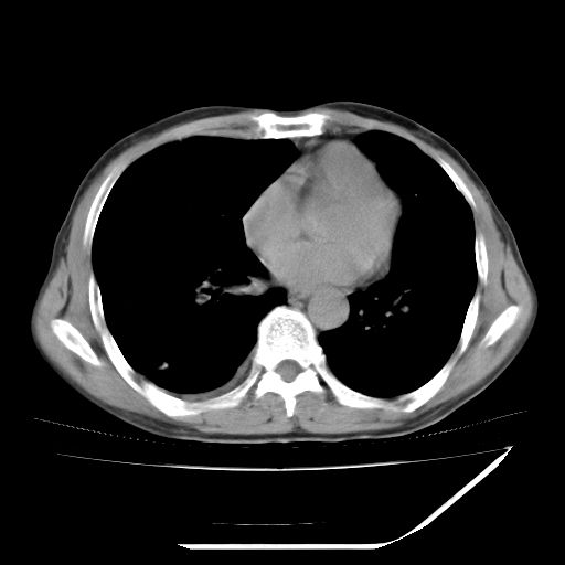
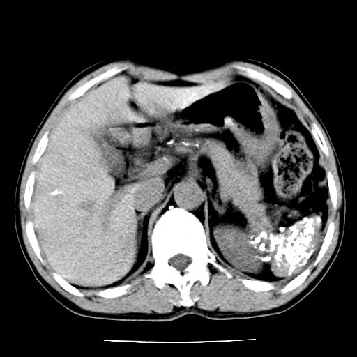
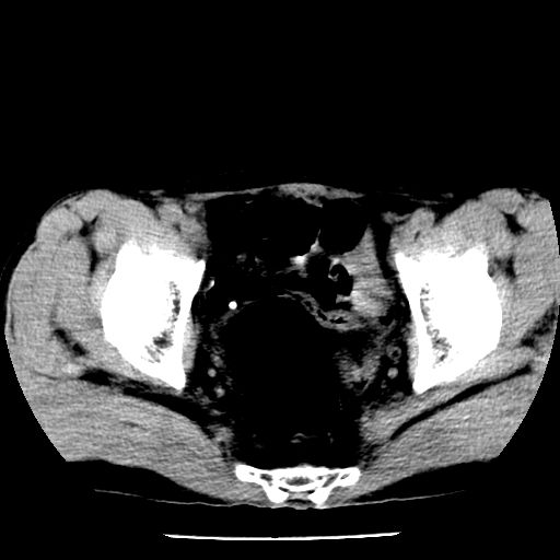
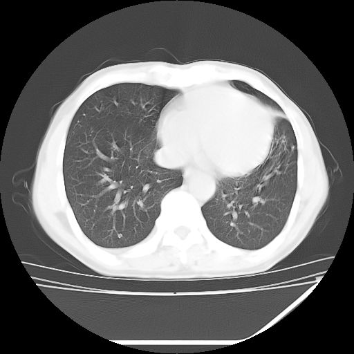
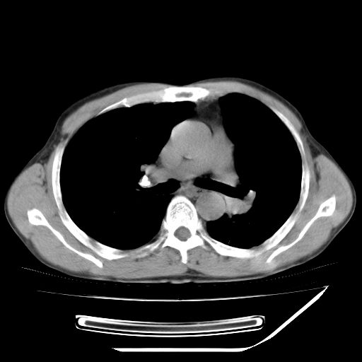
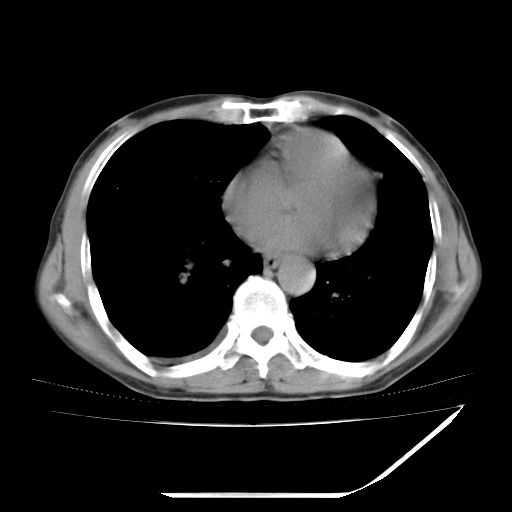
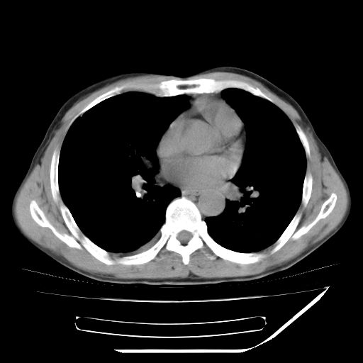
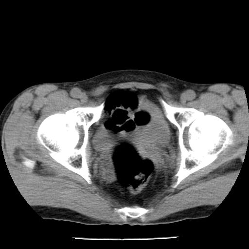
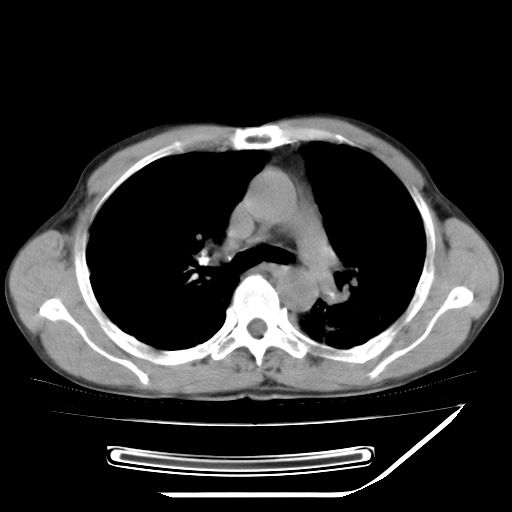
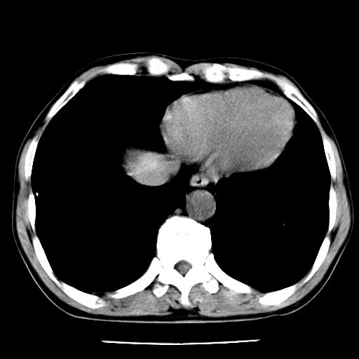
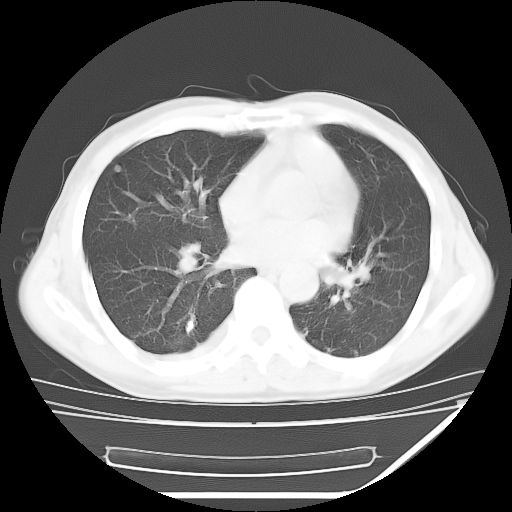
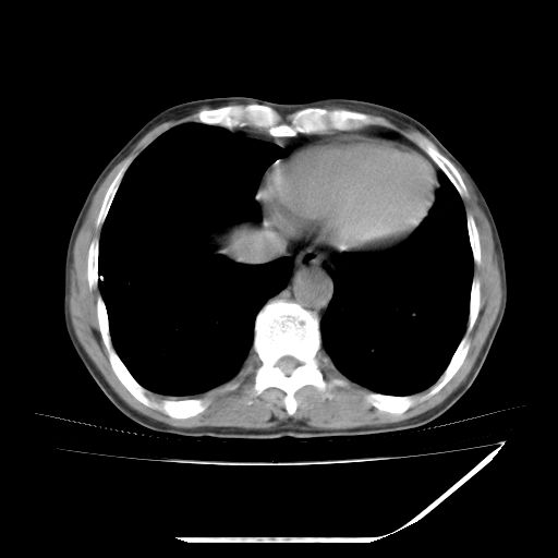
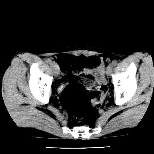
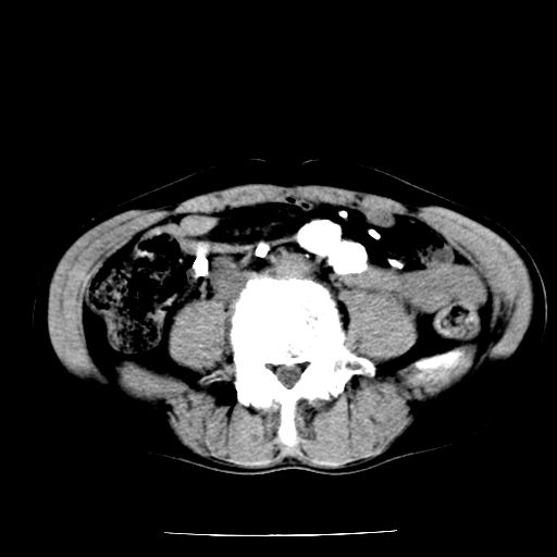
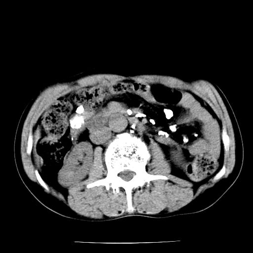
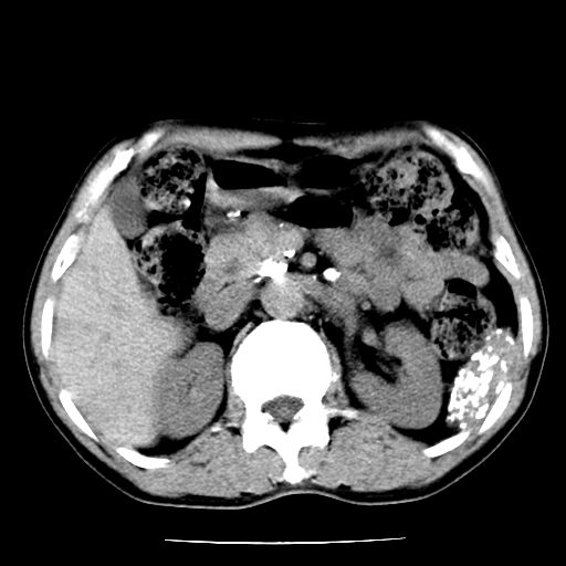
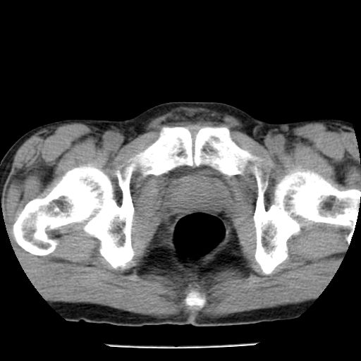
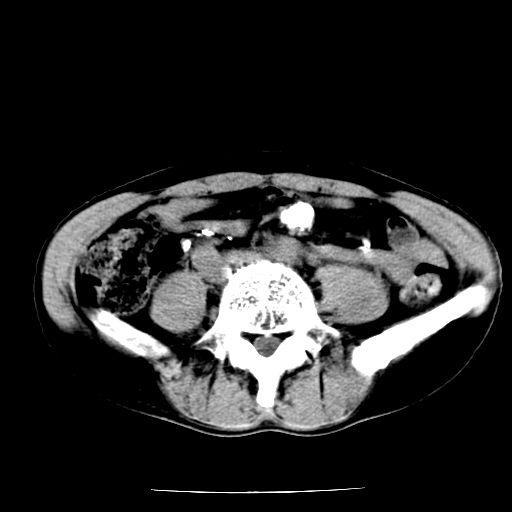
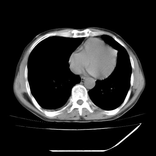
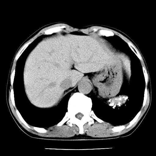
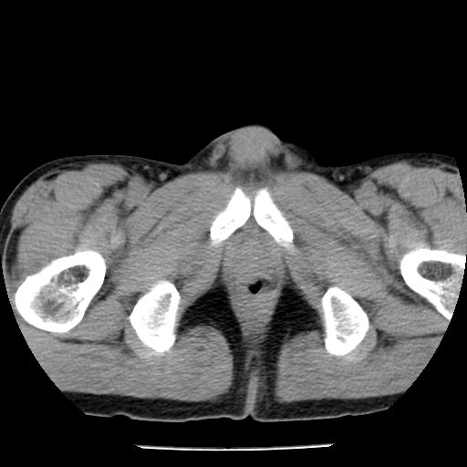
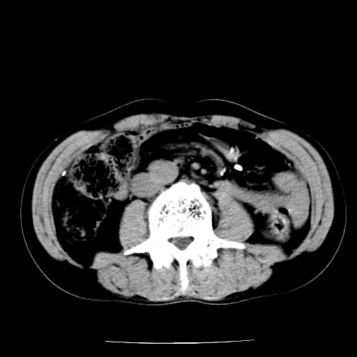
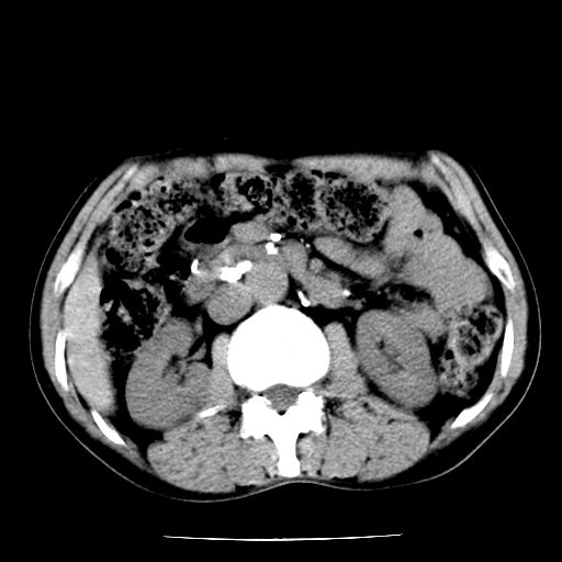
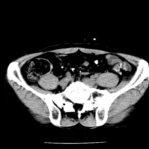
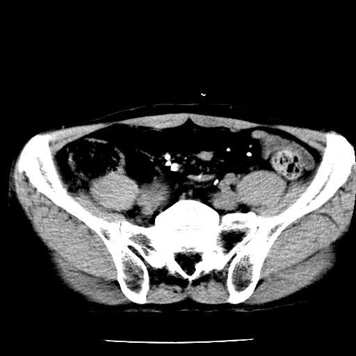
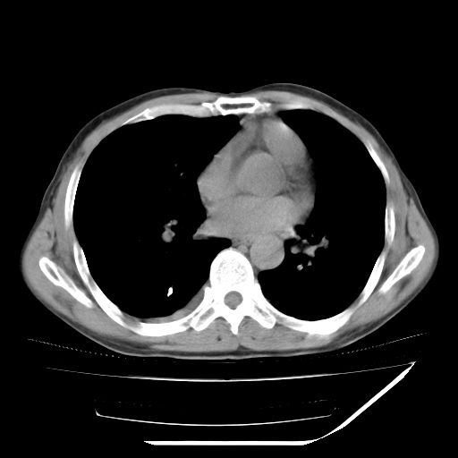
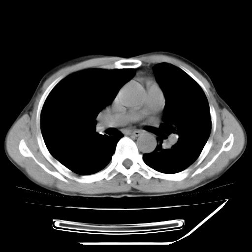
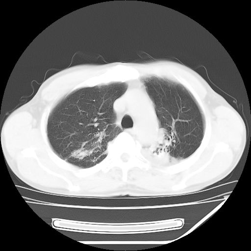
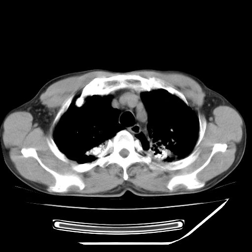
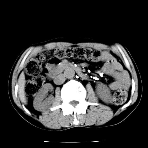
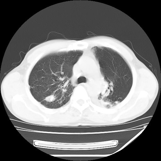
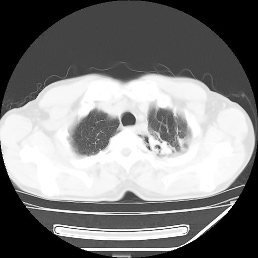
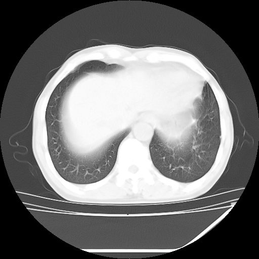
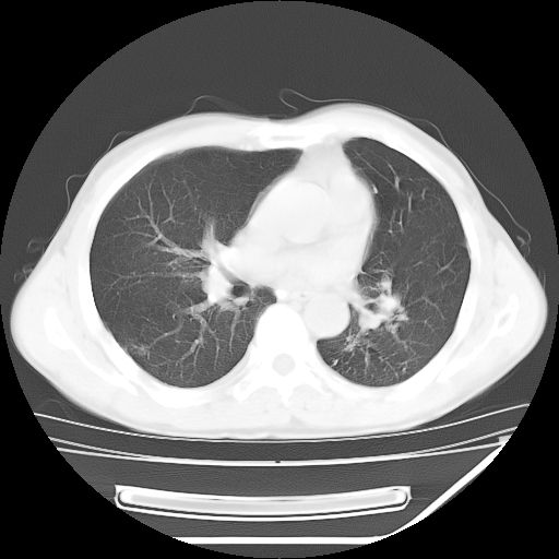
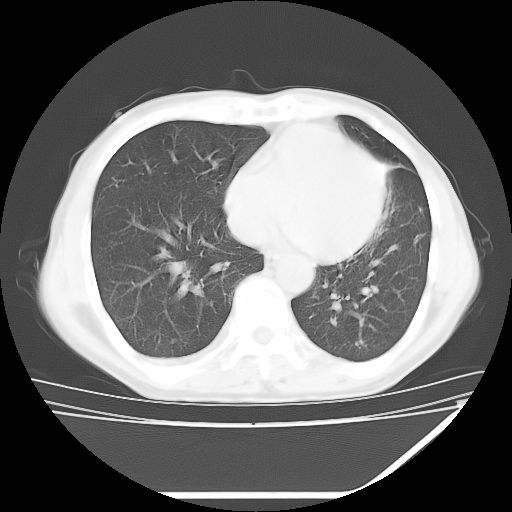
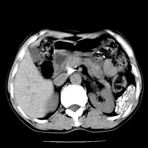
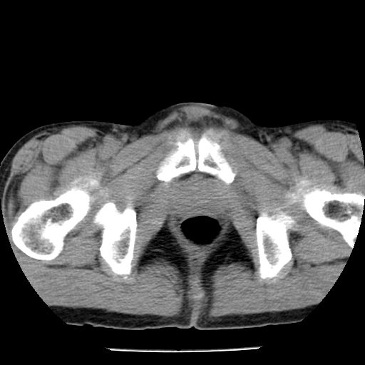
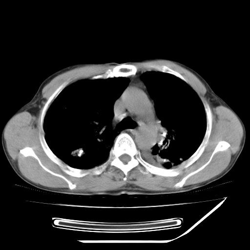
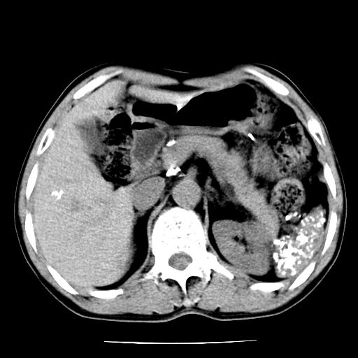
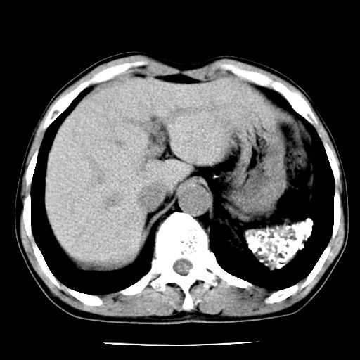
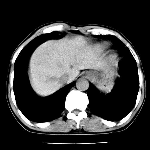
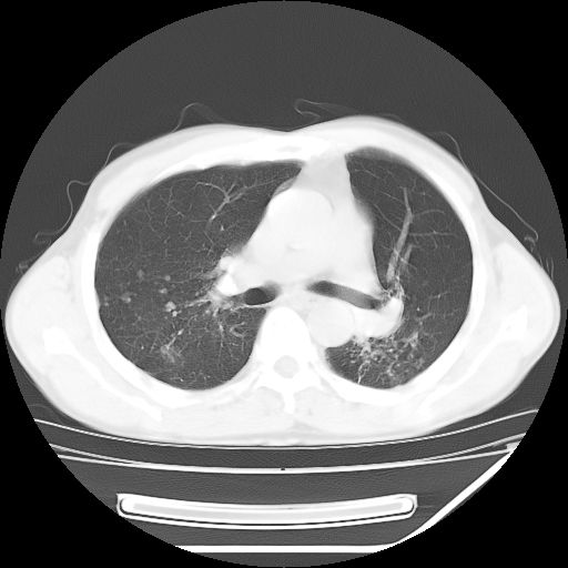
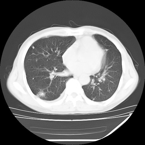
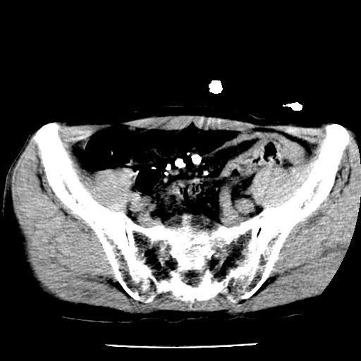
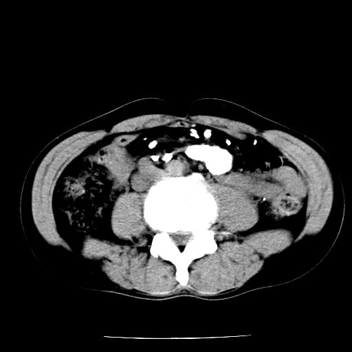
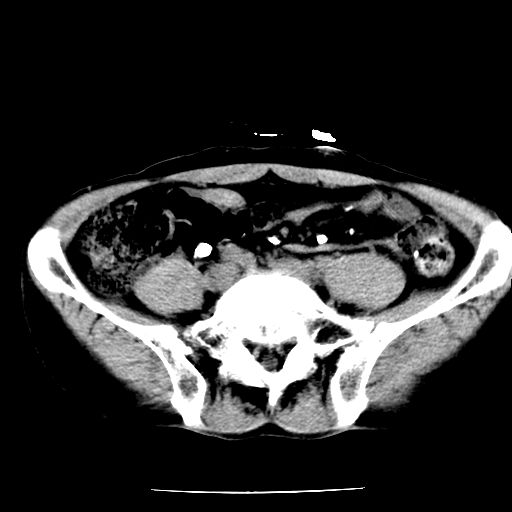
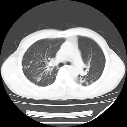
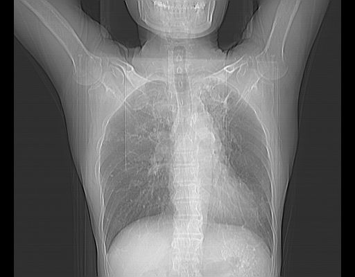
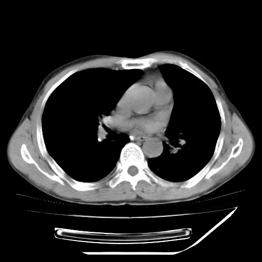
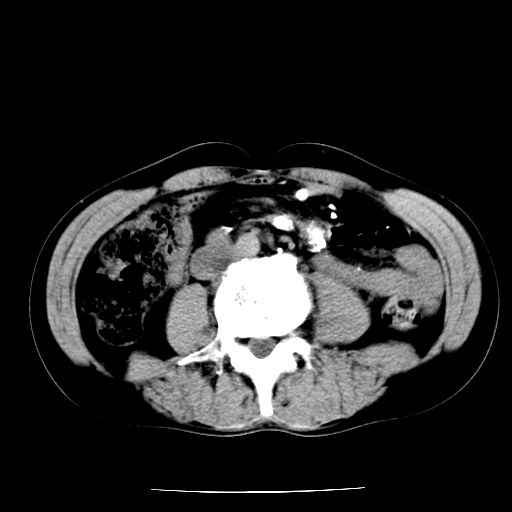
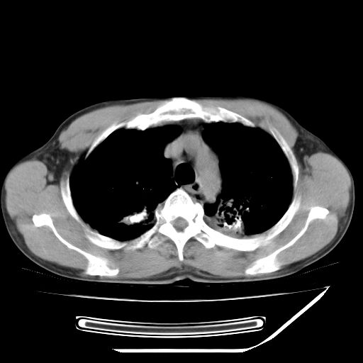
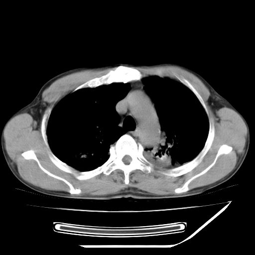
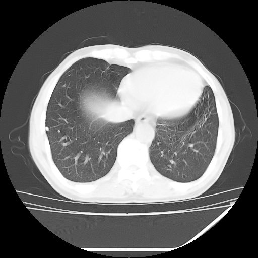
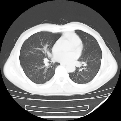
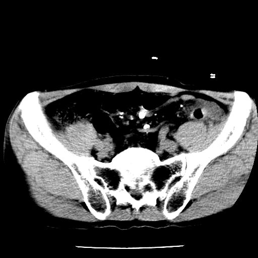
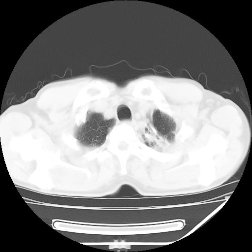
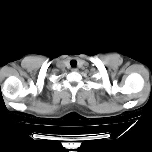
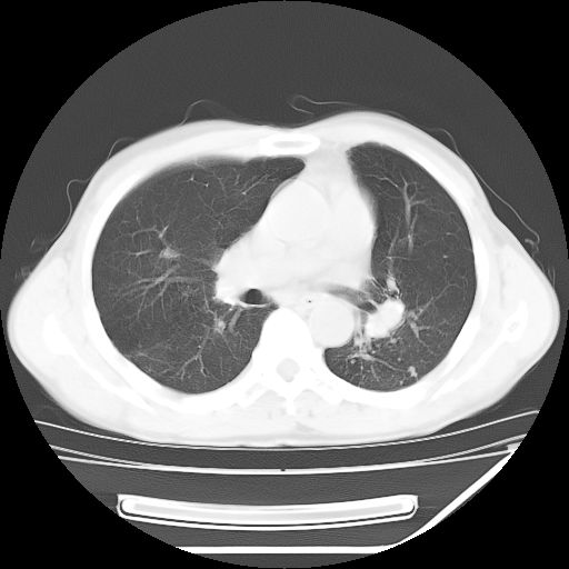
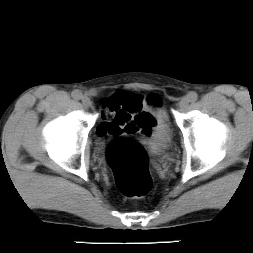
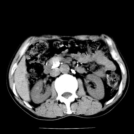
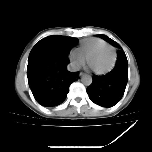
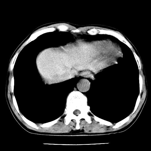
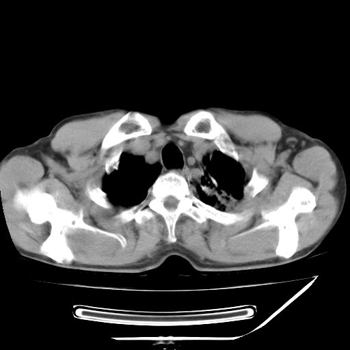
男,59岁,“结核性胸膜炎”30余年,胸部经常疼痛,多次x检查提示“肺部”炎症。腹部疼痛5日,b超提示:“肝内短管结石,余显示不清,建议进一步检查。”
作者: panyishengct    时间: 2009-8-7 06:13
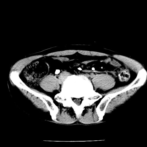
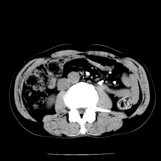
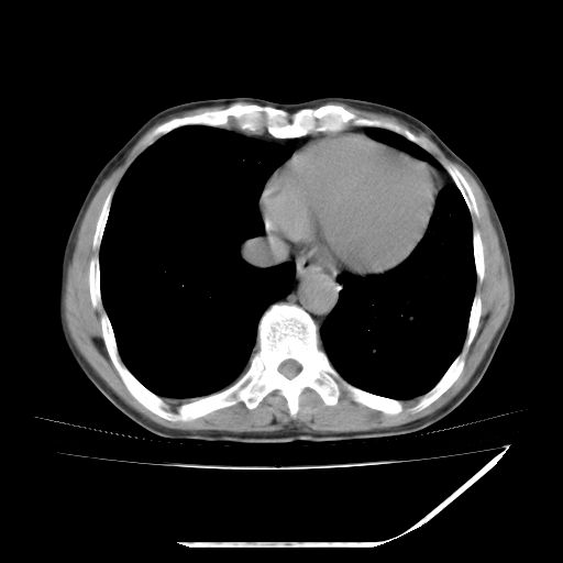
两肺结核并右侧胸腔积液;脾脏、腹腔及腹膜后淋巴结结核[陈旧性];肝内胆管结石
作者: 爱国    时间: 2009-8-7 06:23
胸部腹部都是结核(双肺。纵隔淋巴结,肝脏,脾脏,肠系膜)
作者: pujunzhi    时间: 2009-8-7 06:31
支持 胸部腹部都是结核(双肺。纵隔淋巴结,肝脏,脾脏,肠系膜)。
作者: 看图说话    时间: 2009-8-7 06:56
两肺结核并右侧胸腔积液;脾脏、腹腔及腹膜后淋巴结结核[陈旧性];肝内胆管结石。直肠息肉?
作者: huangxinghai    时间: 2009-8-7 07:28
支持 胸部腹部都是结核(双肺。纵隔淋巴结,肝脏,脾脏,肠系膜)。
作者: 风吹过    时间: 2009-8-7 07:39
结核,是血行播散还是淋巴?
作者: 帅河马    时间: 2009-8-7 08:51
支持 胸部腹部都是结核(双肺。纵隔淋巴结,肝脏,脾脏,肠系膜)。
作者: bmw011    时间: 2009-8-7 09:14
一元论——结核。
作者: 随光逐影    时间: 2009-8-7 15:29
支持 胸部腹部均为结核(双肺、纵隔淋巴结;肝脏,脾脏,肠系膜)。
作者: zxl51642    时间: 2009-8-7 18:11
支持 胸部腹部均为结核(双肺、纵隔淋巴结;肝脏,脾脏,肠系膜)。
作者: zjzjr    时间: 2009-8-7 20:25
均为结核所致,右侧少量胸腔积液
作者: 黑白光影    时间: 2009-8-8 05:41
支持 胸部腹部均为结核(双肺、纵隔淋巴结;肝脏,脾脏,肠系膜)。
作者: dr.yang    时间: 2013-3-11 22:15
标题: Re:CT21468:胸腹部病变  多发
支持 胸部腹部均为结核(双肺、纵隔淋巴结;肝脏,脾脏,肠系膜)。




欢迎光临 医影在线 (http://bbs.radida.com/bbs/) Powered by Discuz! X3.2