医影在线

标题: CT21469:腰椎局限性呈高密度,什么原因? [打印本页]

作者: 看图说话    时间: 2009-8-7 07:47
标题: CT21469:腰椎局限性呈高密度,什么原因?
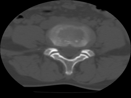
34y,做腰椎间盘扫描发现的,战友们讨论一下原因!







[本贴已被 jiajie 于 2009-8-7 6:07:10 修改过]

作者: 帅河马    时间: 2009-8-7 08:34
骨质增生硬化
作者: bmw011    时间: 2009-8-7 09:19
顶二楼。
作者: cefcmj    时间: 2009-8-7 15:26
腰椎前缘密度较均匀增高,边缘清晰;考虑腰椎致密性骨炎可能。
作者: 随光逐影    时间: 2009-8-7 15:31
标题: 回复:ct21469:腰椎局限性呈高密度,什么原因?
以下是引用cefcmj在2009-8-7 7:26:00的发言:[br]腰椎前缘密度较均匀增高,边缘清晰;考虑腰椎致密性骨炎可能。

作者: zxl51642    时间: 2009-8-7 17:11
考虑骨岛。患者增生硬化不明显,男34岁,腰椎非致密性骨炎好发部位、性别。
作者: zjzjr    时间: 2009-8-7 20:23
支持致密性骨炎,腰椎前缘也是致密性骨炎好发位置.
作者: 余辉    时间: 2009-8-8 01:37
腰椎前缘也是致密性骨炎好发位置,不过平常好像一般会诊断为增生硬化(多见于老年,比较多呈对吻状)
作者: LYB999    时间: 2009-8-8 01:47
致密性骨炎好发部位于青壮年女性的双骶髂关节,腰椎上的我还没见过。
作者: zbp537    时间: 2009-8-8 04:32
考虑腰椎致密性骨炎,其实腰椎前上角是也是致密性同炎的好发部位,只是没能引起同志们的注意。
作者: 黑白光影    时间: 2009-8-8 05:44
支持致密性骨炎,腰椎前缘也是致密性骨炎好发位置.
作者: 看图说话    时间: 2009-8-9 06:58
标题: 回复:ct21469:腰椎局限性呈高密度,什么原因?
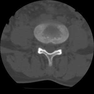
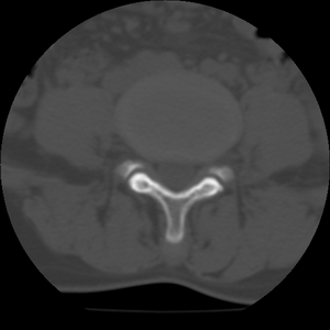
那么大家看看这个又是什么?来原dxy的。

作者: zxl51642    时间: 2009-8-10 19:12
dxy此病例程教授会诊过了,考虑骨岛。




欢迎光临 医影在线 (http://bbs.radida.com/bbs/) Powered by Discuz! X3.2