








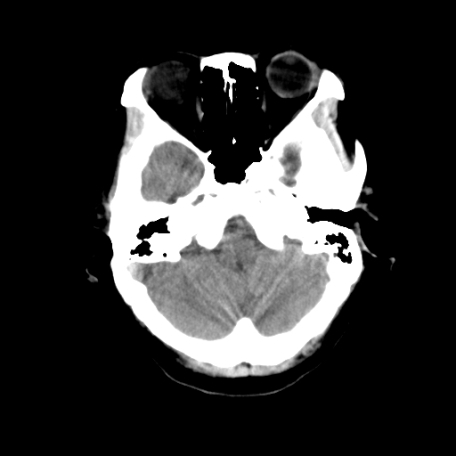
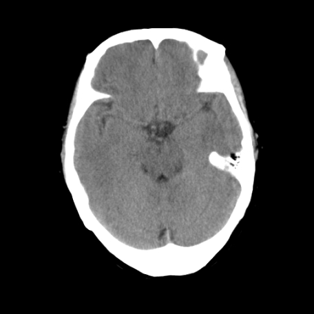
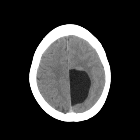
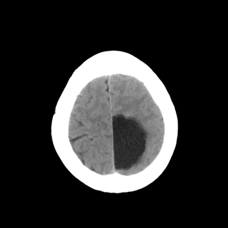
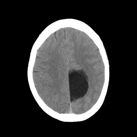
以下是引用深泽交通医院在2009-8-7 12:18:00的发言:[br]有壁结节,考虑囊变型胶质瘤
以下是引用帅河马在2009-8-7 13:50:00的发言:[br][quote]以下是引用深泽交通医院在2009-8-7 12:18:00的发言:[br]有壁结节,考虑囊变型胶质瘤
以下是引用卜一在2009-8-7 15:50:00的发言:[br]囊变性脑膜瘤!支持!
以下是引用随光逐影在2009-8-7 15:58:00的发言:[br]考虑左侧顶叶胶质瘤,不排除左侧镰旁脑膜瘤;建议行进一步检查。
以下是引用shibing在2009-8-7 16:36:00的发言:[br]增强扫描
| 欢迎光临 医影在线 (http://bbs.radida.com/bbs/) | Powered by Discuz! X3.2 |