医影在线

标题: CT21502:这个正常的么? [打印本页]

作者: hx3101    时间: 2009-8-8 20:39
标题: CT21502:这个正常的么?
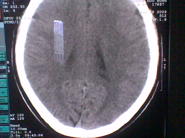
患者,男,头晕4天来诊,要求ct。

















[本贴已被 jiajie 于 2009-8-8 16:11:37 修改过]

作者: zjzjr    时间: 2009-8-8 20:45
大枕大池合并蛛网膜囊肿。
作者: 泪洒红尘    时间: 2009-8-8 21:12
蛛网膜囊肿
作者: yuhongjun    时间: 2009-8-8 21:16
蛛网膜囊肿
作者: 随光逐影    时间: 2009-8-8 21:25
支持 大枕大池合并蛛网膜囊肿。
作者: sdzyy    时间: 2009-8-8 22:40
蛛网膜囊肿
作者: 深泽交通    时间: 2009-8-8 23:07
标题: 回复:这个正常的么?
以下是引用泪洒红尘在2009-8-8 13:12:00的发言:[br]蛛网膜囊肿

作者: 同    时间: 2009-8-8 23:17
蛛网膜囊肿。
作者: LIAOQIANG    时间: 2009-8-8 23:25
考虑大枕大池合并蛛网膜囊肿。
作者: bmw011    时间: 2009-8-8 23:36
支持 大枕大池合并蛛网膜囊肿。
作者: cfililiu    时间: 2009-8-9 00:17
蛛网膜囊肿
作者: dyqct    时间: 2009-8-9 01:07
标题: 回复:ct21502:这个正常的么?
以下是引用zjzjr在2009-8-8 12:45:00的发言:[br]大枕大池合并蛛网膜囊肿。

支持!
作者: zxl51642    时间: 2009-8-9 03:59
支持 大枕大池合并蛛网膜囊肿。
作者: bslk    时间: 2009-8-9 04:29
考虑大枕在池
作者: 黑白光影    时间: 2009-8-9 05:47
大枕大池合并蛛网膜囊肿。
作者: hx3101    时间: 2009-8-9 06:19
有没有dandy-walker综合征的可能?
作者: dsl555    时间: 2009-8-9 06:26
支持 大枕大池合并蛛网膜囊肿。




欢迎光临 医影在线 (http://bbs.radida.com/bbs/) Powered by Discuz! X3.2