医影在线

标题: CT21504:女47岁头部外伤一小时,看看右顶叶低密度影考虑什么 [打印本页]

作者: mohaiyidi    时间: 2009-8-8 23:06
标题: CT21504:女47岁头部外伤一小时,看看右顶叶低密度影考虑什么











[本贴已被 jiajie 于 2009-8-8 16:18:22 修改过]

作者: bmw011    时间: 2009-8-8 23:29
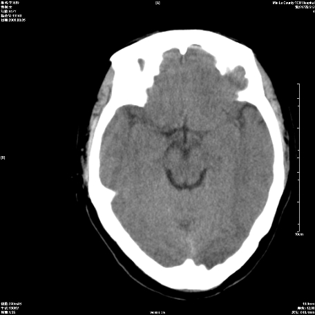
1、女,47岁,头部外伤一小时。
2、右顶叶圆形低密度灶,密度与脑脊液相当,占位效应不明显,周边无水肿带,病灶只占一个层面。
3、考虑脑软化灶,原因?建议增强或mr检查。
作者: hfr    时间: 2009-8-8 23:40
暂不考虑软化灶吧,原因为软化灶有占位效应(负占位)好像本片不明显,还是考虑下良性占位如何?请教高手
作者: 深泽交通    时间: 2009-8-8 23:53
标题: 回复:患者女47岁头部外伤一小时,看看右顶叶低密度影考
以下是引用hfr在2009-8-8 15:40:00的发言:[br]暂不考虑软化灶吧,原因为软化灶有占位效应(负占位)好像本片不明显,还是考虑下良性占位如何?请教高手

作者: cfililiu    时间: 2009-8-8 23:57
密度与脑脊液近似,边界清晰,建议薄层扫描,首考虑蛛网膜囊肿
作者: zjzjr    时间: 2009-8-9 00:08
左顶部蛛网膜囊肿,后枕部头皮血肿。
作者: 随光逐影    时间: 2009-8-9 00:25
右侧顶叶类似囊状低密度灶;建议行mri检查。
作者: lvji    时间: 2009-8-9 00:52
骨窗?
作者: 513ytb    时间: 2009-8-9 01:05
左顶部蛛网膜囊肿,后枕部头皮血肿。
作者: dyqct    时间: 2009-8-9 01:11
标题: 回复:ct21504:女47岁头部外伤一小时,看看右顶叶低密度影考
以下是引用zjzjr在2009-8-8 16:08:00的发言:[br]左顶部蛛网膜囊肿,后枕部头皮血肿。

支持!
作者: 流星1234    时间: 2009-8-9 01:28
密度与脑脊液近似,边界清楚,考虑蛛网膜囊肿,建议mri或冠状位扫描
作者: zxl51642    时间: 2009-8-9 04:03
以下是引用zjzjr在2009-8-8 16:08:00的发言:
左顶部蛛网膜囊肿,后枕部头皮血肿。
支持!
作者: 黑白光影    时间: 2009-8-9 05:54
右侧顶叶类似囊状低密度灶;建议行mri检查。
作者: dsl555    时间: 2009-8-9 06:51
支持   左顶部蛛网膜囊肿,后枕部头皮血肿。
作者: jinguoji    时间: 2009-8-9 08:32
左顶部蛛网膜囊肿,后枕部头皮血肿。




欢迎光临 医影在线 (http://bbs.radida.com/bbs/) Powered by Discuz! X3.2