医影在线

标题: CT21509:额叶低密度影 [打印本页]

作者: frzh    时间: 2009-8-9 03:39
标题: CT21509:额叶低密度影
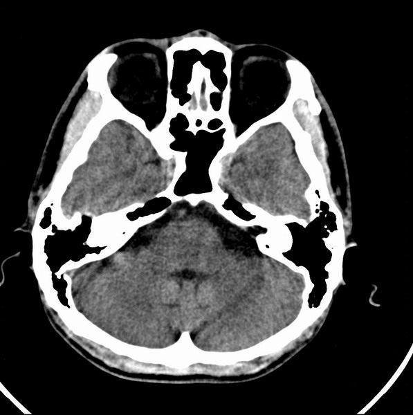
男、29
突发痴呆,失语,记忆减退,反应迟钝二十小时。













[本贴已被 翁志蓬 于 2009-8-8 22:57:15 修改过]

作者: 52yingxiang    时间: 2009-8-9 04:13
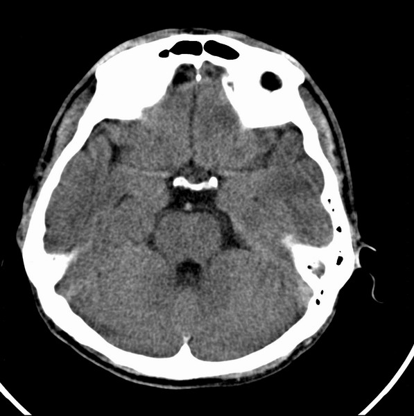
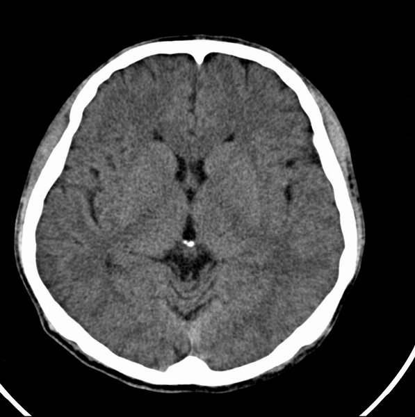
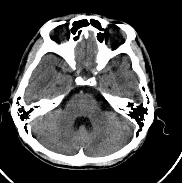
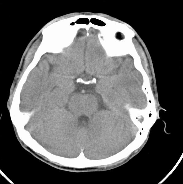
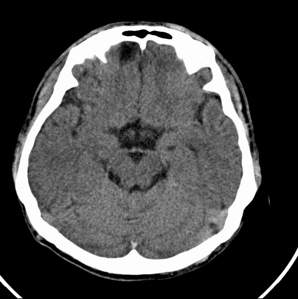
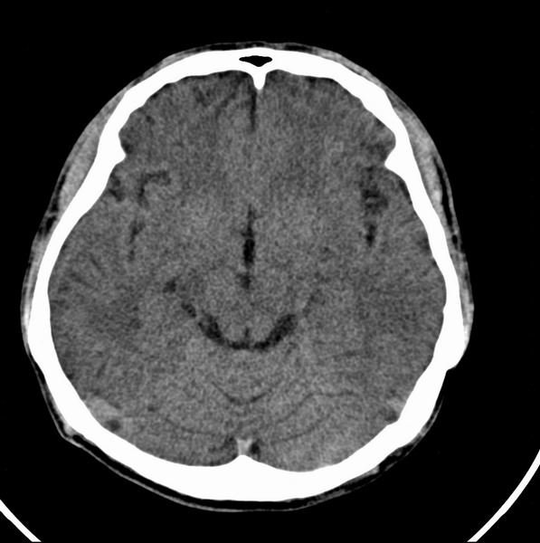
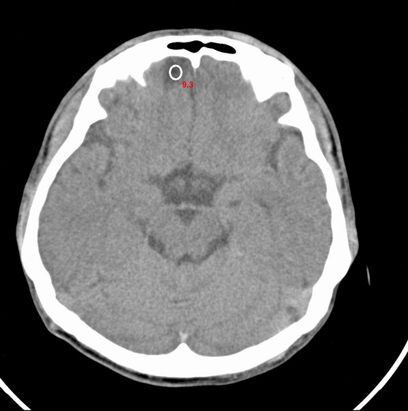
右侧额叶低密度影,边界清晰,无占位效应,符合:额叶皮质脑软化灶。
作者: zxl51642    时间: 2009-8-9 04:25
支持楼上
作者: 子期    时间: 2009-8-9 05:46
软化灶。
作者: 影象小泰斗    时间: 2009-8-9 05:55
支持软化灶!
作者: hx3101    时间: 2009-8-9 05:56
双额叶脑沟增深增宽,皮质性脑萎缩可以考虑么?
左额叶也有类圆形低密度影,同右侧低密度灶近颅底一层同层,病灶周脑实质密度似稍高,成环状,这个没有问题么?
作者: 黑白光影    时间: 2009-8-9 06:11
软化灶。
作者: dsl555    时间: 2009-8-9 06:37
支持软化灶!
作者: 看图说话    时间: 2009-8-9 06:40
支持软化灶,mr扫描。
作者: 随光逐影    时间: 2009-8-9 07:17
考虑右侧额叶脑软化灶;建议必要时行mri检查排除其他。
作者: jinguoji    时间: 2009-8-9 08:12
支持右侧额叶脑软化灶。
作者: 健力宝    时间: 2009-8-9 08:43
支持软化灶,mr扫描。
作者: kzc_zxm    时间: 2009-8-9 09:42
支持右侧额叶脑软化灶
作者: scdlc2008    时间: 2009-8-9 18:45
支持右侧额叶脑软化灶
作者: zjzjr    时间: 2009-8-9 20:55
支持软化灶!
作者: zb5205    时间: 2009-8-9 22:44
考虑右侧额叶脑软化灶;建议必要时行mri检查排除其他。
作者: 帅河马    时间: 2009-8-10 02:40
软化灶
作者: zbp537    时间: 2009-8-10 03:11
考虑皮质软化灶。不考虑胶质瘤,是因为胶质瘤一般发生于白质内。




欢迎光临 医影在线 (http://bbs.radida.com/bbs/) Powered by Discuz! X3.2