医影在线
标题: X6171:请各位老师看看这片是否。。。。? [打印本页]
作者: 天地睹狭 时间: 2009-8-9 10:00
标题: X6171:请各位老师看看这片是否。。。。?




[本贴已被 cefcmj 于 2009-8-9 22:21:06 修改过]
作者: 天地睹狭 时间: 2009-8-9 10:02
对不起,顺序错了,请斑竹帮个忙重新排一下。。
作者: 黑白光影 时间: 2009-8-9 18:35
标题: 回复:请各位老师看看这片是否。。。。?
以下是引用天地睹狭在2009-8-9 2:02:00的发言:[br]对不起,顺序错了,请斑竹帮个忙重新排一下。。
第二张为最后一张,是吧?其实自己就可以把顺序调过来,在你自己的贴子上点
,将要移动的剪切、复制到该去的位置,再点[可以发表啦]就ok了。
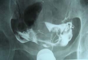
双侧输卵管是通的。
[本贴已被 黑白光影 于 2009-8-9 10:36:28 修改过]
作者: 随光逐影 时间: 2009-8-9 19:14
子宫输卵管造影未见明确异常。
作者: dyqct 时间: 2009-8-9 23:29
未见异常。
作者: kzc_zxm 时间: 2009-8-9 23:44
未见异常
作者: 帅河马 时间: 2009-8-10 02:03
双侧输卵管通畅。
作者: houhou5151 时间: 2009-8-10 04:04
子宫输卵管造影未见明确异常
作者: 拾荒者 时间: 2009-8-10 04:15
子宫腔光整,双侧输卵管通畅,盆腔内造影剂弥散可。
作者: 影像之路 时间: 2009-8-10 04:34
子宫输卵管造影未见明确异常
作者: 泪洒红尘 时间: 2009-8-10 05:57
子宫输卵管造影未见明确异常。
作者: 苦行者 时间: 2009-8-10 06:07
学习了
作者: 寻芳者 时间: 2009-8-10 06:50
来学习了---------------
作者: 270004175 时间: 2009-8-10 07:23
各位子宫内是有个圆形充盈缺损,子宫呈倒“三角形”形态没有完全被造影剂充盈呀。子宫肌瘤。应该在拍两张斜位就好了 。
作者: zhanggenliang 时间: 2009-8-10 07:34
子宫体确有充盈缺损。考虑子宫肌瘤。子宫左倾
作者: dr.yang 时间: 2009-8-10 07:36
学习了。
作者: 观影朔征 时间: 2009-8-10 16:57
标题: 回复:x6171:请各位老师看看这片是否。。。。?
以下是引用影像之路在2009-8-9 20:34:00的发言:[br]子宫输卵管造影未见明确异常
作者: zxl51642 时间: 2009-8-10 17:45
标题: 回复:x6171:请各位老师看看这片是否。。。。?
以下是引用拾荒者在2009-8-9 20:15:00的发言:[br]子宫腔光整,双侧输卵管通畅,盆腔内造影剂弥散可。
作者: 医盲 时间: 2009-8-10 18:56
子宫输卵管造影未见明显异常,宫内充盈负影为气囊压迫所致。
作者: jiahui7z 时间: 2009-8-10 19:05
子宫腔光整,双侧输卵管通畅,盆腔内造影剂弥散可。
作者: scdlc2008 时间: 2009-8-10 19:33
子宫输卵管造影未见明确异常
作者: zh3h3 时间: 2009-8-11 02:24
标题: 回复:x6171:请各位老师看看这片是否。。。。?
以下是引用随光逐影在2009-8-9 11:14:00的发言:[br]子宫输卵管造影未见明确异常。
作者: gaoyang8 时间: 2009-8-11 04:50
子宫输卵管造影未见明确异常
作者: wangxingjian 时间: 2009-8-11 05:00
未见异常
作者: 杀毒软件 时间: 2009-8-11 05:16
未见明确异常
作者: 吴承学 时间: 2009-8-11 14:48
标题: 回复:x6171:请各位老师看看这片是否。。。。?
以下是引用dyqct在2009-8-9 15:29:00的发言:[br]未见异常。
作者: sunbin 时间: 2009-8-12 00:17
未见明显异常。
作者: shibing 时间: 2014-8-12 11:04
未见异常。
| 欢迎光临 医影在线 (http://bbs.radida.com/bbs/) |
Powered by Discuz! X3.2 |