医影在线

标题: CT21518:头部 [打印本页]

作者: 2008奥运    时间: 2009-8-9 23:41
标题: CT21518:头部
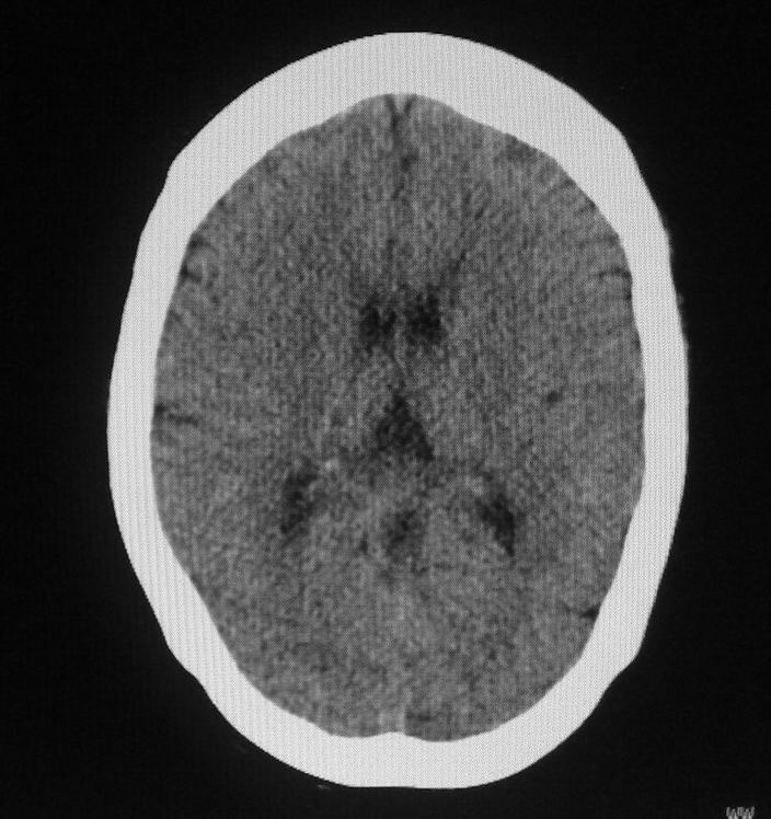
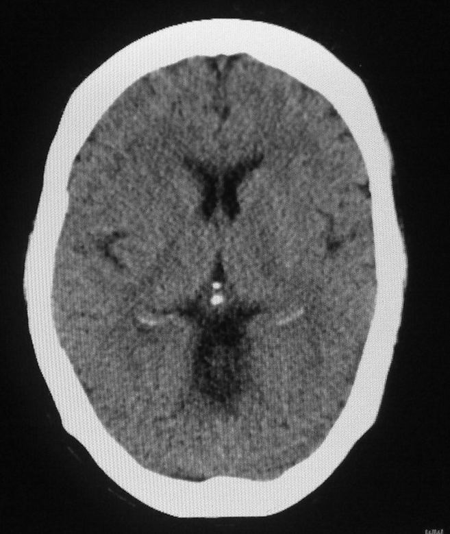
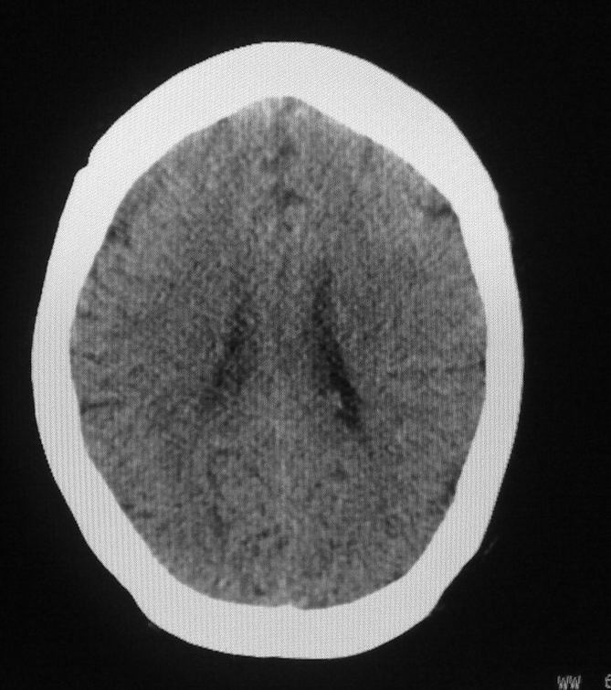
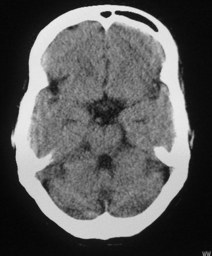
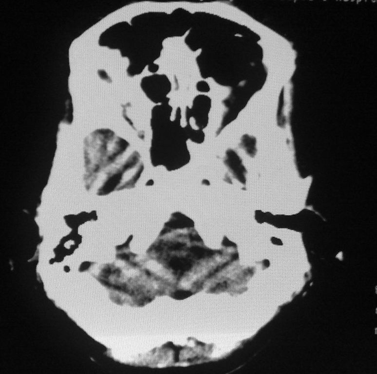
女,46岁,走路有时向一侧偏斜。是小脑萎缩吗?










[本贴已被 翁志蓬 于 2009-8-9 22:31:12 修改过]

作者: 爱国    时间: 2009-8-9 23:48
没大问题
作者: 破釜沉舟    时间: 2009-8-9 23:55
有点。
作者: zjzjr    时间: 2009-8-10 00:02
支持小脑萎缩
作者: 卜一    时间: 2009-8-10 00:06
支持小脑萎缩
作者: 513ytb    时间: 2009-8-10 00:15
支持小脑萎缩.
作者: dyqct    时间: 2009-8-10 00:16
支持小脑萎缩.
作者: lxq2000    时间: 2009-8-10 00:44
支持小脑萎缩
作者: 深泽交通    时间: 2009-8-10 00:48
标题: 回复:头部
支持小脑萎缩
作者: 影像之路    时间: 2009-8-10 01:04
小脑脑沟增多加深      为小脑萎缩引起的共济失调
作者: bmw011    时间: 2009-8-10 01:15
支持小脑萎缩
作者: 随光逐影    时间: 2009-8-10 01:18
小脑萎缩。
作者: 帅河马    时间: 2009-8-10 01:42
小脑萎缩
作者: 王加美    时间: 2009-8-10 02:23
小脑脑沟增多加深      为小脑萎缩引起的共济失调
作者: panyishengct    时间: 2009-8-10 02:45
支持小脑萎缩.
作者: zbp537    时间: 2009-8-10 03:12
支持小脑萎缩。
作者: 梦红楼    时间: 2009-8-10 03:20
小脑脑沟多于四条即为增多,又见加深,所以支持小脑萎缩。
作者: 黄毛小子    时间: 2009-8-10 04:19
支持小脑萎缩
作者: 科室第一人    时间: 2009-8-10 05:04
同意此观点
作者: 黑白光影    时间: 2009-8-10 05:15
支持小脑萎缩
作者: 泪洒红尘    时间: 2009-8-10 05:21
从图像上看的确有轻度小脑萎缩征象,但患者才46岁,有外伤史吗?
作者: cefcmj    时间: 2009-8-10 06:40
小脑萎缩可能性大,建议mri检查。
作者: leijiandepengyo    时间: 2009-8-10 17:21
支持小脑萎缩
作者: shibing    时间: 2009-8-10 17:26
mri
作者: zxl51642    时间: 2009-8-10 18:03
小脑轻度萎缩




欢迎光临 医影在线 (http://bbs.radida.com/bbs/) Powered by Discuz! X3.2