医影在线
标题: CT21557:女性 56岁 左胫骨中断肿痛2月余。 [打印本页]
作者: syfszcw 时间: 2009-8-11 20:22
标题: CT21557:女性 56岁 左胫骨中断肿痛2月余。
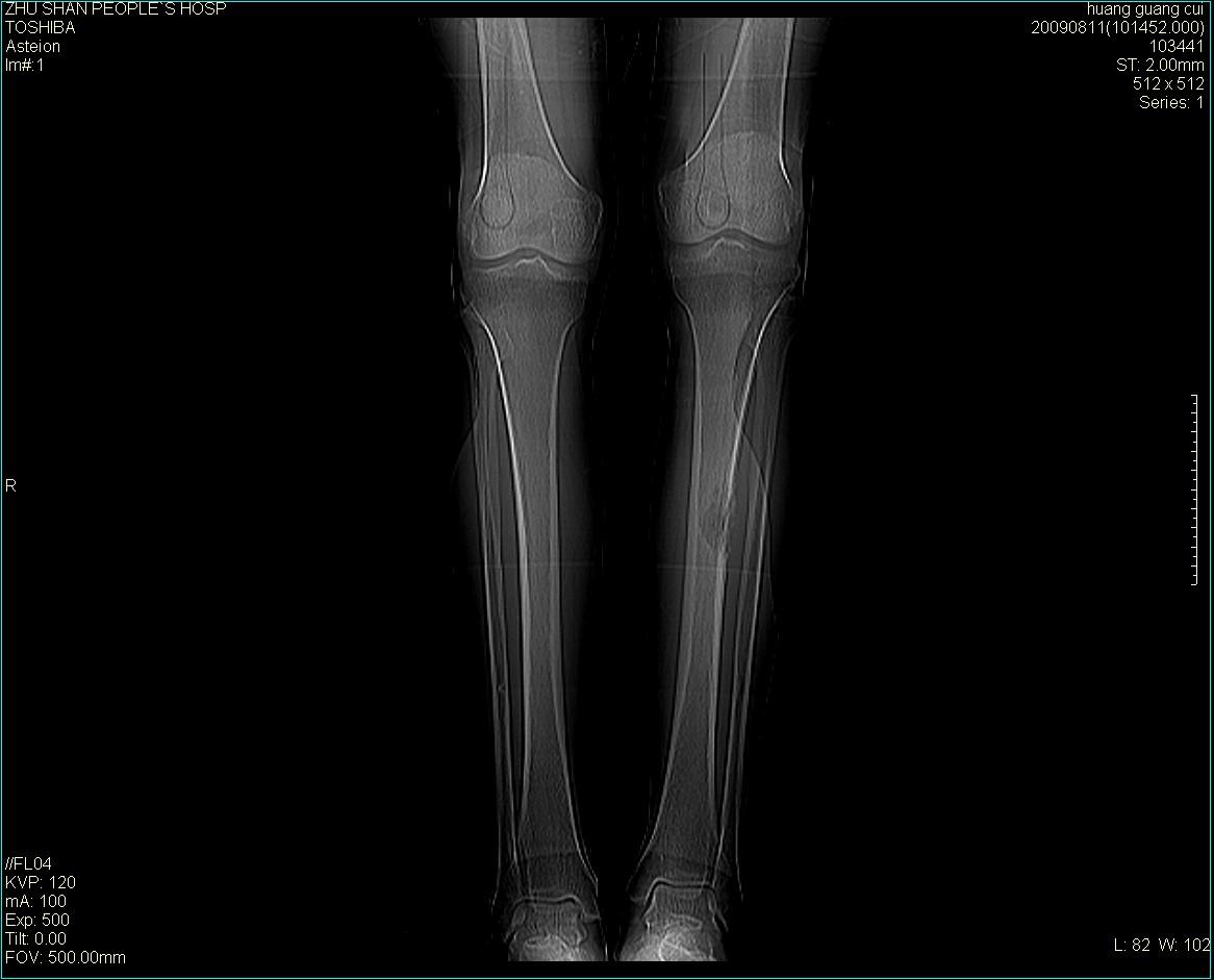
女性 56岁 左胫骨中断肿痛2月余。转移瘤or尤文氏肉瘤?










。
[本贴已被 syfszcw 于 2009-8-11 12:32:15 修改过]








[本贴已被 syfszcw 于 2009-8-11 15:13:47 修改过]
[本贴已被 jiajie 于 2009-8-11 22:59:45 修改过]
作者: 随光逐影 时间: 2009-8-11 20:52
考虑左胫骨中段恶性骨肿瘤(转移瘤可能)。
作者: LIAOQIANG 时间: 2009-8-11 22:25
考虑左胫骨转移瘤可能性大。
作者: 513ytb 时间: 2009-8-11 22:40
考虑左胫骨中段恶性骨肿瘤(转移瘤可能)。
作者: 深泽交通 时间: 2009-8-11 22:40
应该有软窗
作者: wyd2008 时间: 2009-8-11 23:00
恶性骨肿瘤,溶骨性改变。
作者: leihencan 时间: 2009-8-11 23:53
恶性骨肿瘤?感觉病变部位旁软组织层次还清晰,应该考虑良性病变的可能。
作者: zxl51642 时间: 2009-8-12 01:11
左侧胫骨中段骨皮质溶骨性破坏,髓腔内外见软组织肿块,无明显钙化及成骨,定位相显示病变周围“筛孔样”改变,定性恶性无疑,原发或转移均有可能,倾向于骨纤维肉瘤可能性大,转移瘤不排除。膝关节以下骨转移很少,且要有原发灶支持,尤文氏肉瘤年龄太大不支持。
作者: jiangguowu 时间: 2009-8-12 03:14
定性恶性无疑,原发或转移均有可能,直接取活检病理
作者: pujunzhi 时间: 2009-8-12 03:28
考虑左胫骨中段恶性骨肿瘤(转移瘤可能)。支持!
作者: zxczxc 时间: 2009-8-12 04:36
左胫骨中段转移瘤。
作者: 胡宇 时间: 2009-8-12 07:28
左侧胫骨中段骨皮质溶骨性破坏,髓腔内外见软组织肿块,无明显钙化及成骨,定位相显示病变周围“筛孔样”改变,定性恶性无疑,原发或转移均有可能,倾向于骨纤维肉瘤可能性大,转移瘤不排除。膝关节以下骨转移很少,且要有原发灶支持,尤文氏肉瘤年龄太大不支持。
作者: 不学无术 时间: 2009-8-12 11:39
kaolv 转移瘤可能性大
作者: yuhongjun 时间: 2009-8-12 13:22
考虑左胫骨中段恶性骨肿瘤(转移瘤可能)。
作者: dsl555 时间: 2009-8-12 15:11
支持 考虑左胫骨转移瘤可能性大。
作者: 黑白光影 时间: 2009-8-12 23:19
考虑左胫骨中段恶性骨肿瘤(转移瘤可能)。支持
| 欢迎光临 医影在线 (http://bbs.radida.com/bbs/) |
Powered by Discuz! X3.2 |