医影在线

标题: CT21560:胸部肿块影,请会诊 [打印本页]

作者: 车友谊    时间: 2009-8-11 22:42
标题: CT21560:胸部肿块影,请会诊
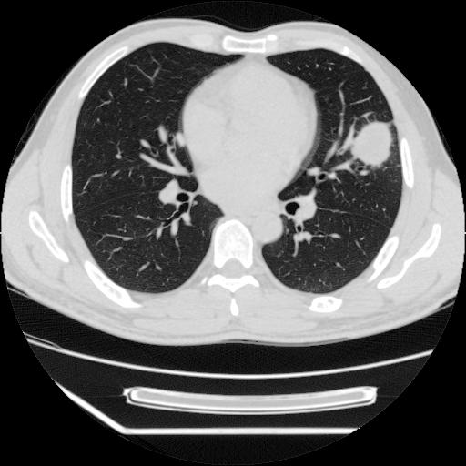
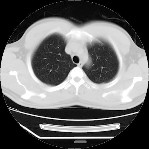
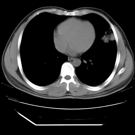
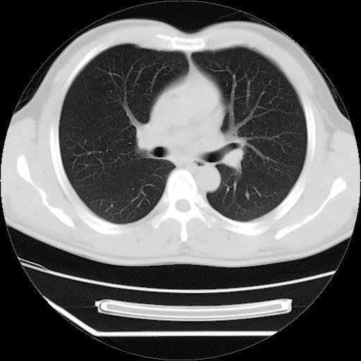
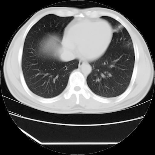
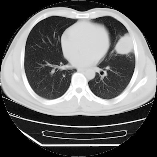
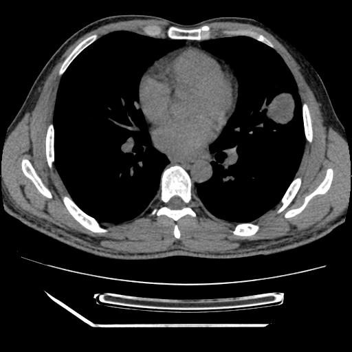
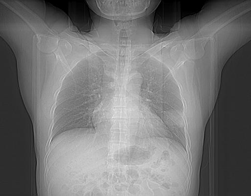
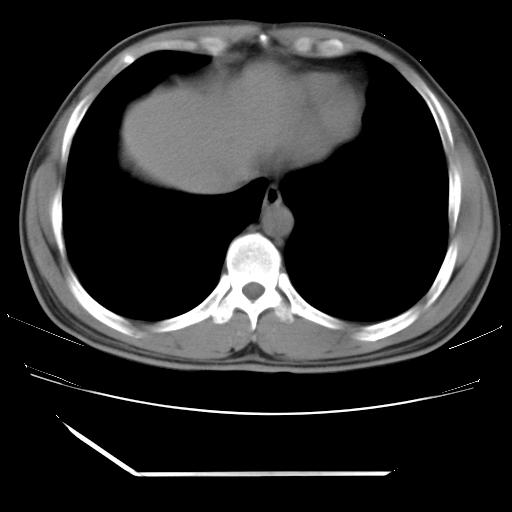
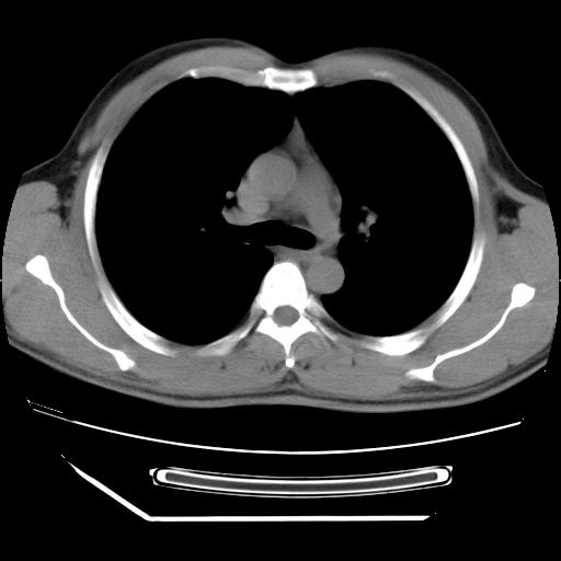
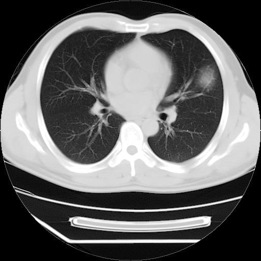
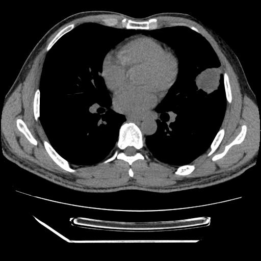
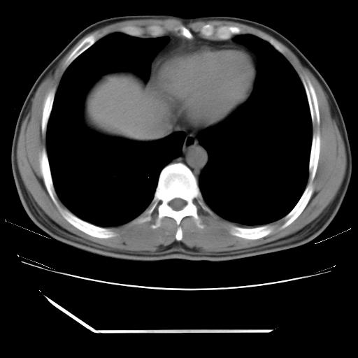
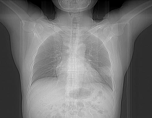
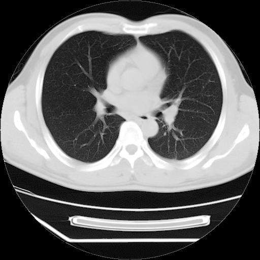
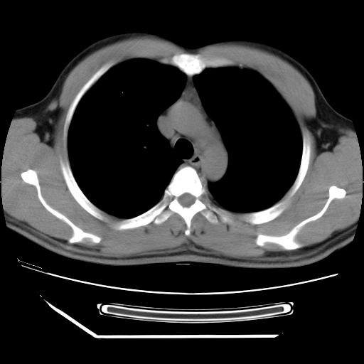
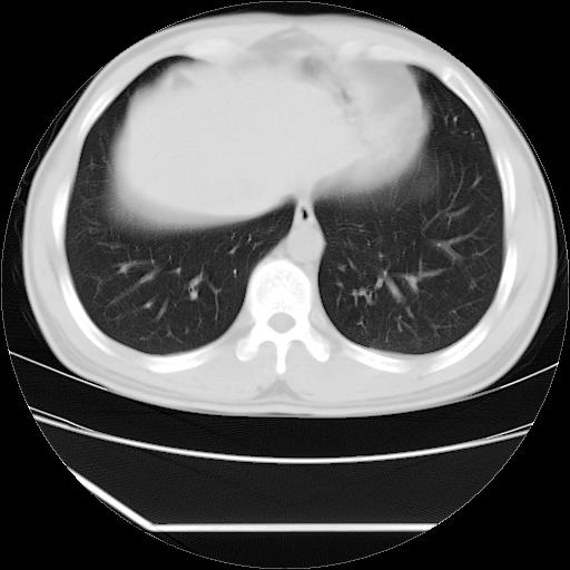
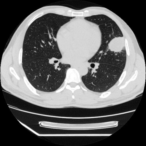
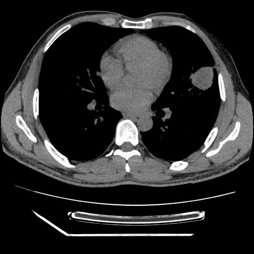
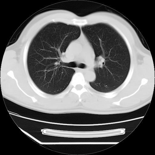
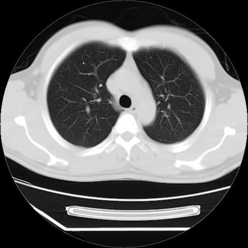
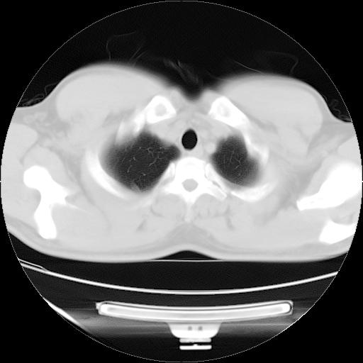
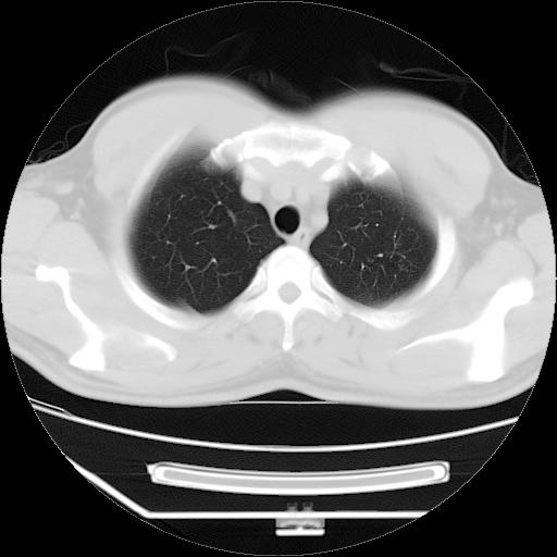
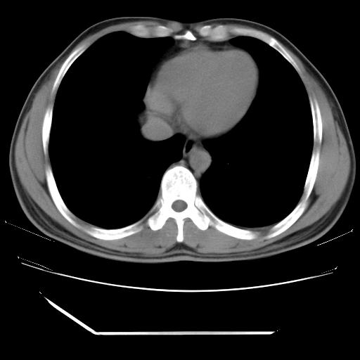
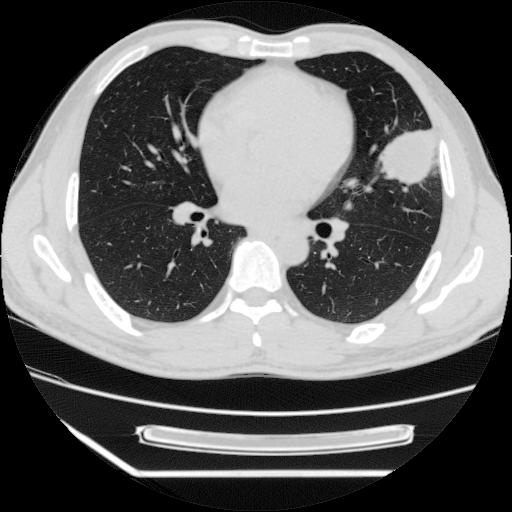
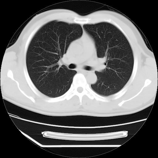
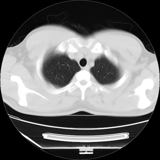
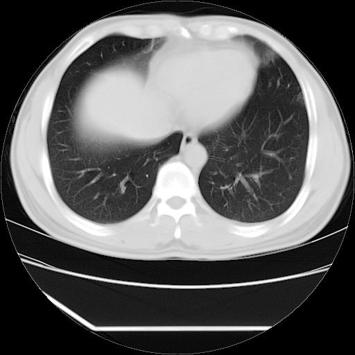
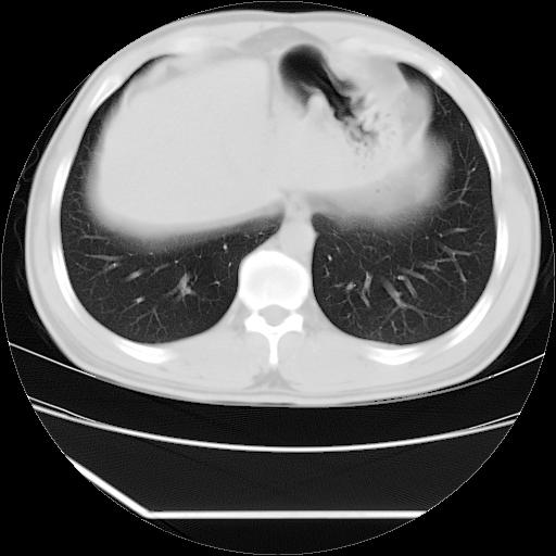
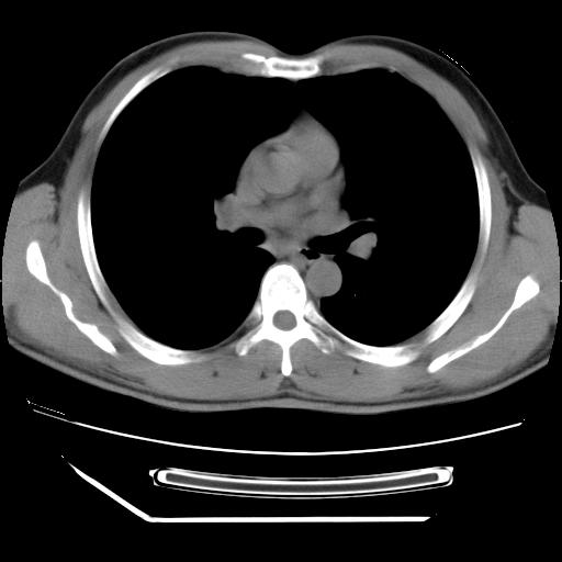
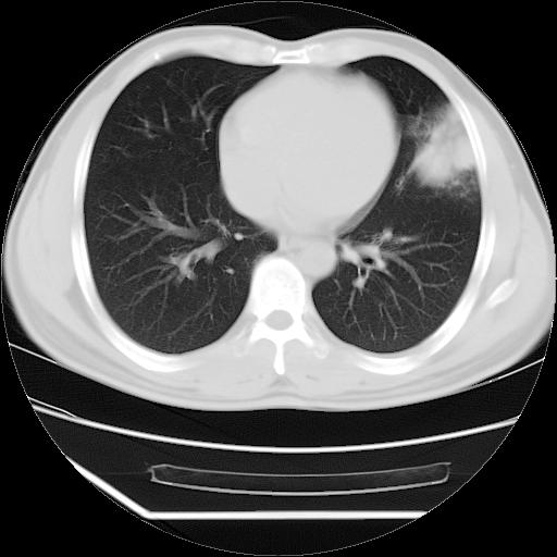
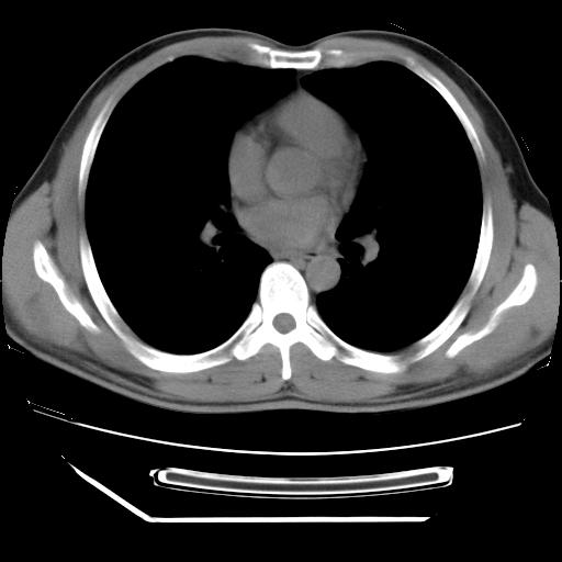
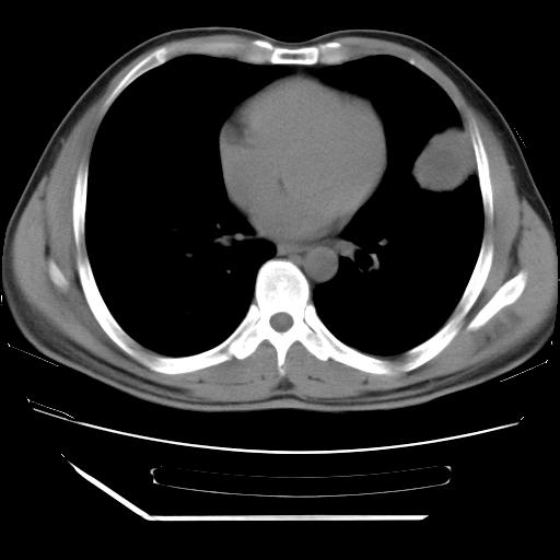
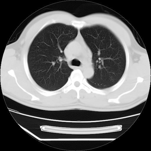
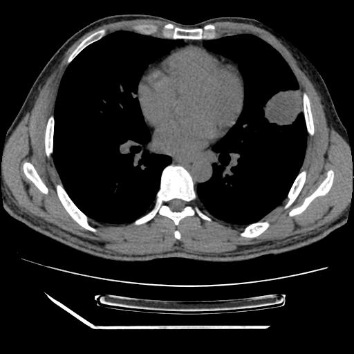
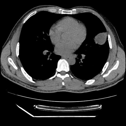
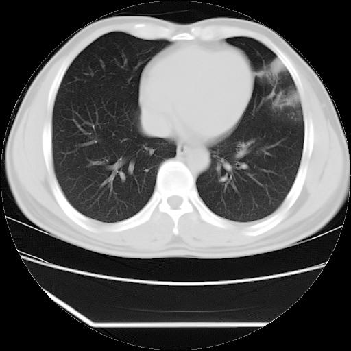
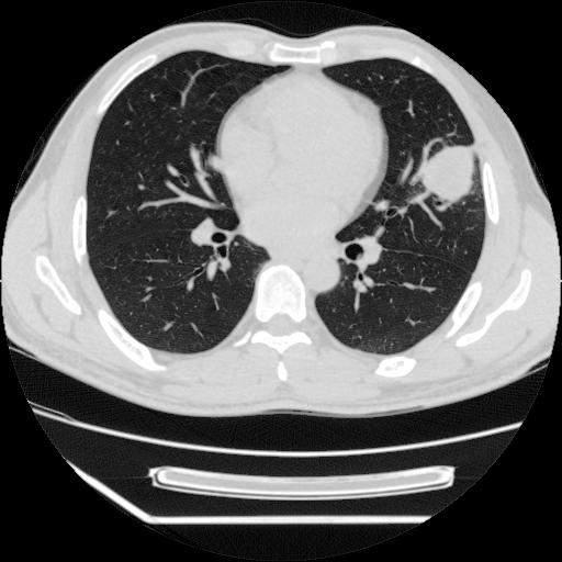
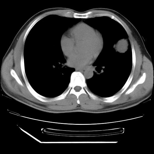
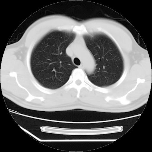
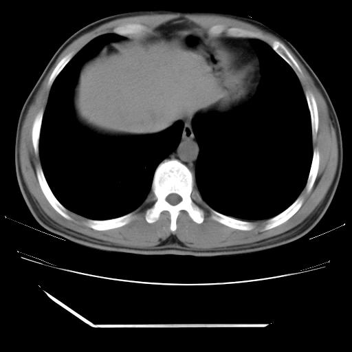
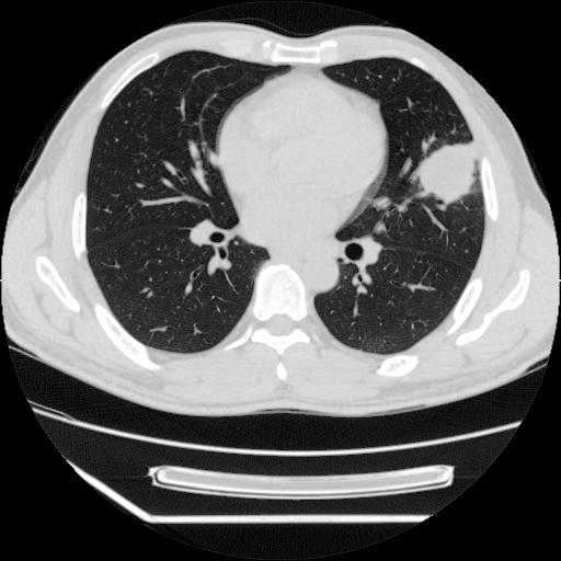
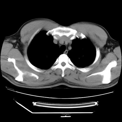
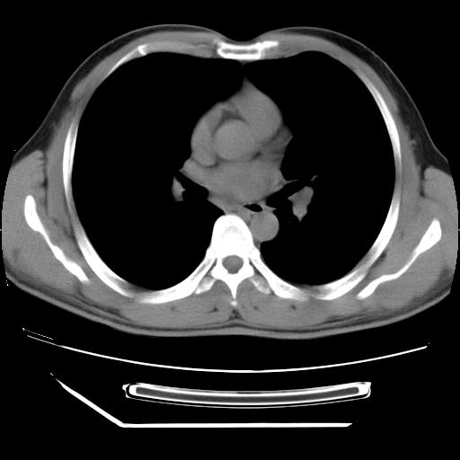
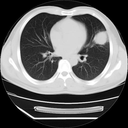
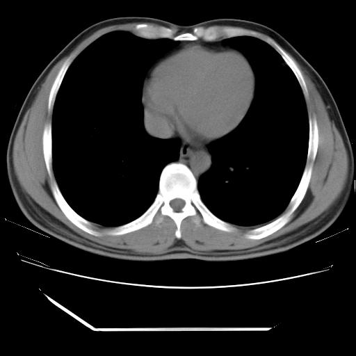
男,38岁,于2009年8月9日晚突发左侧胸痛,今x线提示左下肺阴影,为了明显确诊断,行ct检查,
血常规:嗜酸性细胞增高,单核细胞增高。





























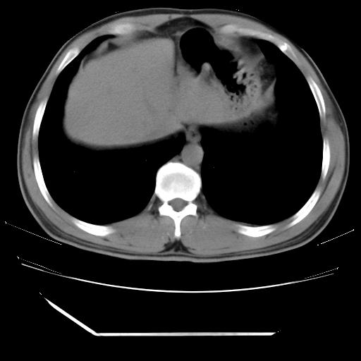
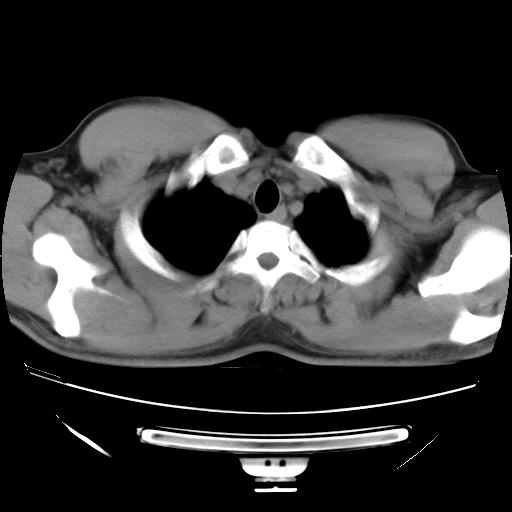
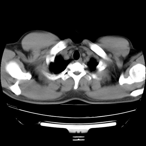
纵膈窗































[本贴已被 jiajie 于 2009-8-11 23:13:26 修改过]

作者: cfililiu    时间: 2009-8-12 00:09
考虑球形肺炎或脓肿,建议抗炎后复查,或增强扫描
作者: 卜一    时间: 2009-8-12 00:18
考虑球形肺炎或脓肿,建议抗炎后复查!支持!
作者: 深泽交通    时间: 2009-8-12 00:29
考虑肺脓肿
作者: zxl51642    时间: 2009-8-12 00:35
考虑球形肺炎或脓肿,建议抗炎后复查!支持!
作者: sunbin    时间: 2009-8-12 00:39
考虑左侧球形肺炎可能性大。
作者: xrw    时间: 2009-8-12 00:45
考虑:左肺感染性病变,建议抗炎治疗后复查。
作者: 杀毒软件    时间: 2009-8-12 00:49
病灶发生在下叶,密度均匀,边缘模糊、毛糙,周围血管纹理增强扭曲改变,靠近胸膜处病灶胸膜反应明显。
支持考虑---球形肺炎。
作者: mqagl    时间: 2009-8-12 00:59
支持肺炎,积极抗炎后复查
作者: lirenxiong    时间: 2009-8-12 01:19
支持肺炎,积极抗炎后复查
作者: zjzjr    时间: 2009-8-12 01:27
舌叶球形肺炎或脓肿可能性大,建议抗炎治疗后复查
作者: pujunzhi    时间: 2009-8-12 01:57
支持大家意见,不除外周围性肺癌的可能。
作者: 随光逐影    时间: 2009-8-12 02:08
考虑左肺上叶舌段感染性病变(肺脓肿?);建议抗炎治疗后复查。
作者: guanaishengming    时间: 2009-8-12 02:59
考虑左肺上叶舌段感染性病变(肺脓肿?);建议抗炎治疗后复查除外占位
作者: 刘湘    时间: 2009-8-12 03:34
没一个诊断肺ca的,为什么,是不是看见里面密度不均匀呀,ca不可以坏死吗
作者: ncy888888    时间: 2009-8-12 04:08
左肺舌叶病变。主体病灶呈类圆形中心密度低,成液化趋势周边班片影分布
考虑肺脓肿
作者: 泪洒红尘    时间: 2009-8-12 04:40
支持炎性假瘤。
作者: zxczxc    时间: 2009-8-12 04:41
建议抗炎后复查,左肺占位性病变未除。
作者: 鲁巨CT    时间: 2009-8-12 05:03
肺梗塞不能除外
作者: 看图说话    时间: 2009-8-12 05:33
考虑左肺上叶舌段感染性病变(肺脓肿可能性大)。
作者: zhangjixiang    时间: 2009-8-12 05:45
考虑炎性病变,排外寄生虫感染
作者: panyishengct    时间: 2009-8-12 06:08
支持肺炎,积极抗炎后复查
作者: dr.yang    时间: 2009-8-12 07:08
舌叶球形肺炎或脓肿可能性大,建议抗炎治疗后复查。--支持
作者: oncology888    时间: 2009-8-12 07:14
球形肺炎是可以考虑,但能完全排除周围型肺癌吗,当然,先消炎看看,立竿见影,
作者: 胡宇    时间: 2009-8-12 07:20
考虑球形肺炎或脓肿,建议抗炎后复查!支持!
作者: 513ytb    时间: 2009-8-12 07:31
考虑左侧球形肺炎可能性大。
作者: 岩光蛋    时间: 2009-8-12 08:38
如果有10例这样的影像,8例是炎性,2例是ca。所以消炎后复查。
作者: wuyiyunwu    时间: 2009-8-12 08:46
虽然实验室检查支持炎性病变,且病变内有坏死改变(中央呈大片状低密度影),但仍不能掉以轻心,鳞癌也可以有这种影像改变。
作者: yuhongjun    时间: 2009-8-12 13:25
支持大家的意见。
作者: 吴承学    时间: 2009-8-12 14:20
标题: 回复:ct21560:胸部肿块影,请会诊
以下是引用杀毒软件在2009-8-11 16:49:00的发言:[br]病灶发生在下叶,密度均匀,边缘模糊、毛糙,周围血管纹理增强扭曲改变,靠近胸膜处病灶胸膜反应明显。[br]支持考虑---球形肺炎。

作者: dsl555    时间: 2009-8-12 15:03
支持肺炎,积极抗炎后复查
作者: 滕友良    时间: 2009-8-12 18:11
炎性病变首先考虑,建议增强扫描或抗炎后复查。
作者: muzi888    时间: 2009-8-12 18:13
病灶发生在下叶,密度均匀,边缘模糊、毛糙,周围血管纹理增强扭曲改变,靠近胸膜处病灶胸膜反应明显。
支持考虑---球形肺炎。
作者: 帅河马    时间: 2009-8-12 20:52
病灶发生在下叶,密度均匀,边缘模糊、毛糙,周围血管纹理增强扭曲改变,靠近胸膜处病灶胸膜反应明显。
支持考虑---球形肺炎。
作者: 黑白光影    时间: 2009-8-12 23:24
舌叶球形肺炎或脓肿可能性大,建议抗炎治疗后复查。支持




欢迎光临 医影在线 (http://bbs.radida.com/bbs/) Powered by Discuz! X3.2