医影在线

标题: CT21561:外院胸片提示胸腔积液,行CT检查。 [打印本页]

作者: 车友谊    时间: 2009-8-11 22:47
标题: CT21561:外院胸片提示胸腔积液,行CT检查。
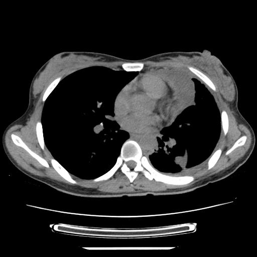
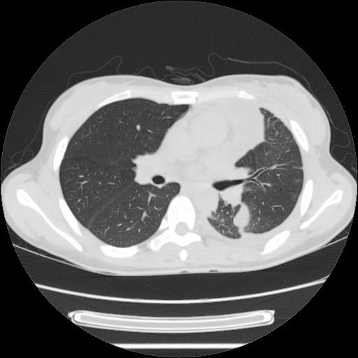
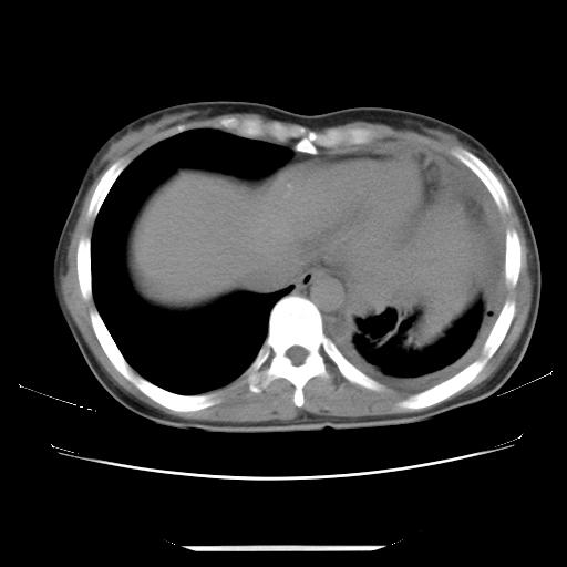
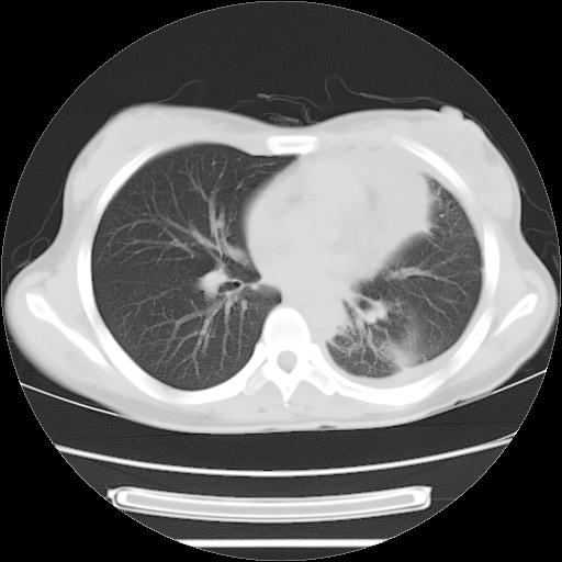
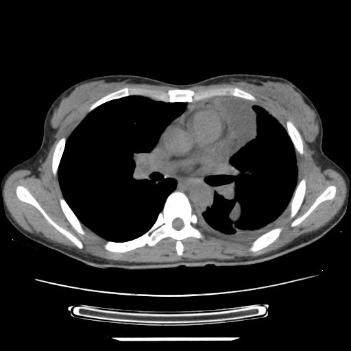
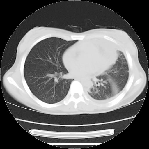
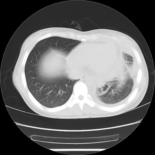
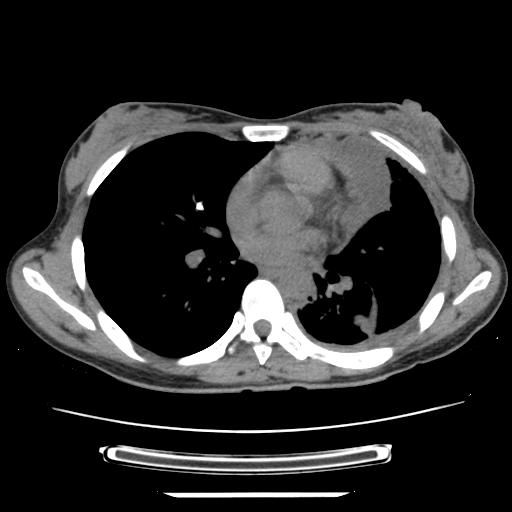
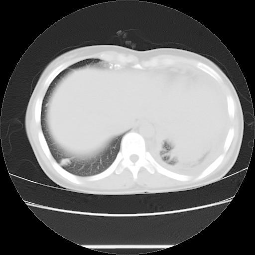
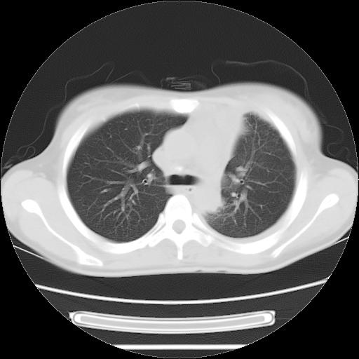
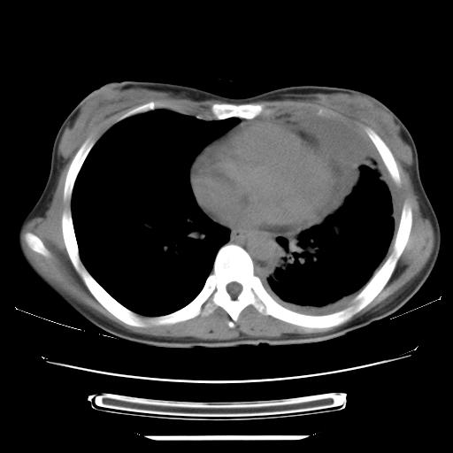
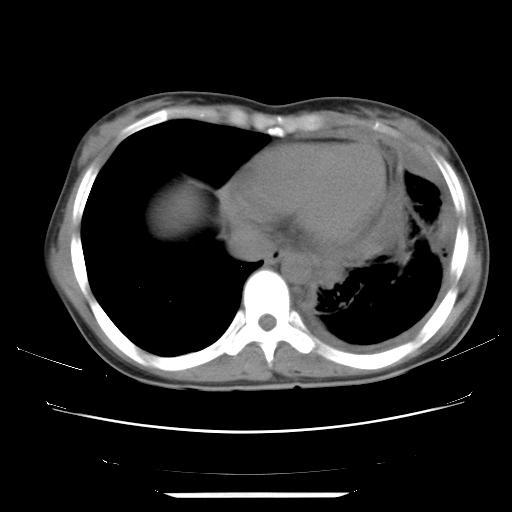
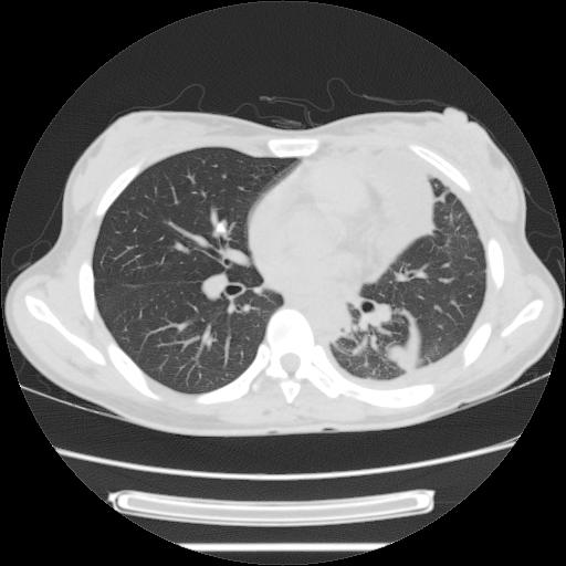
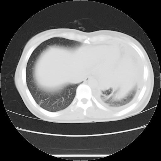
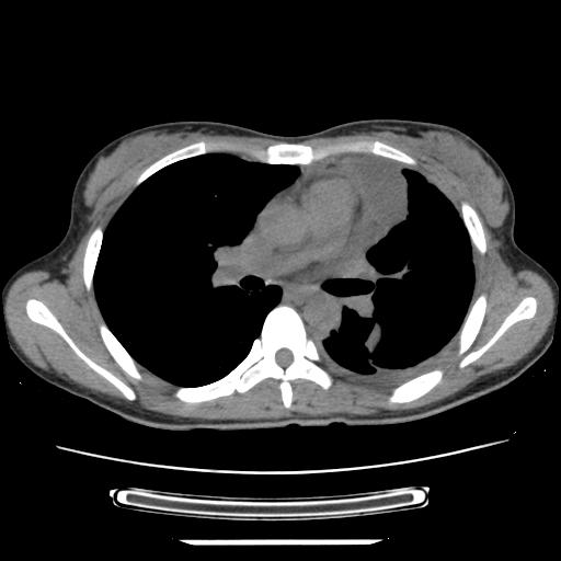
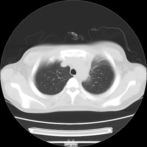
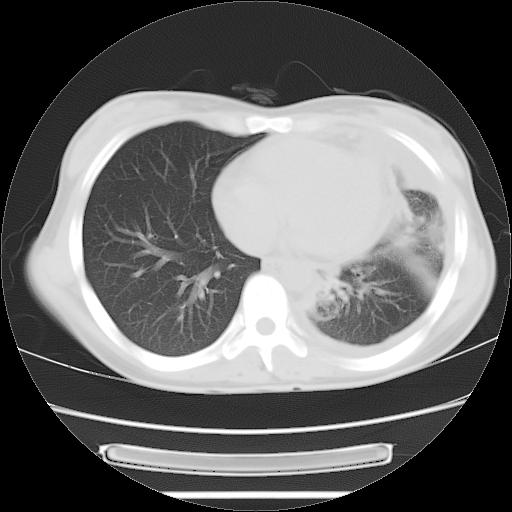
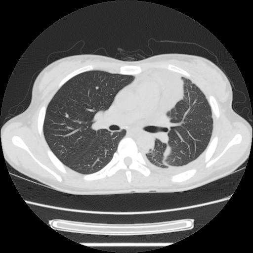
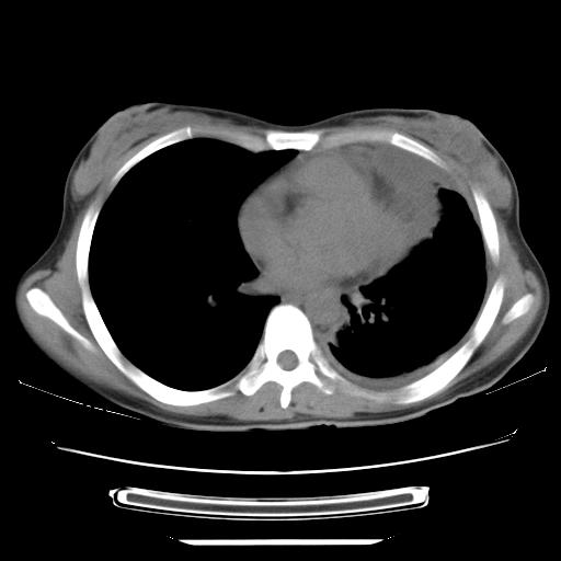
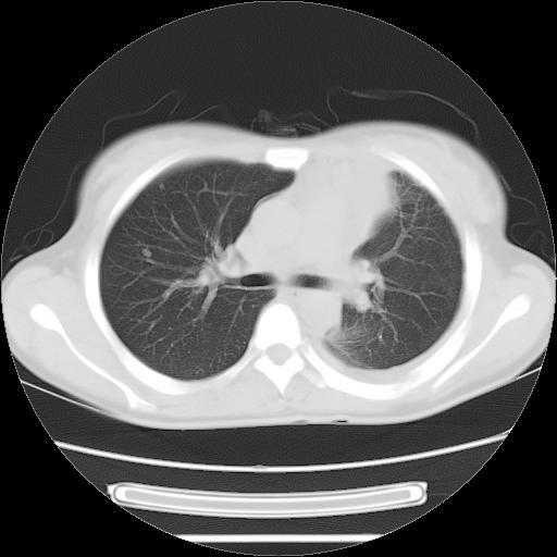
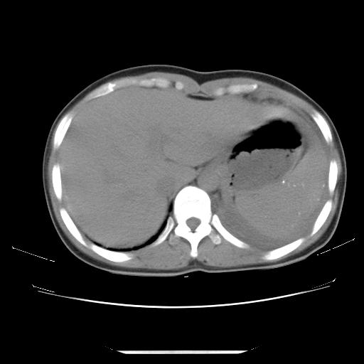
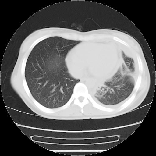
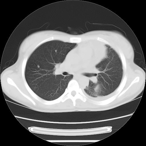
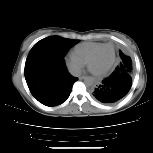
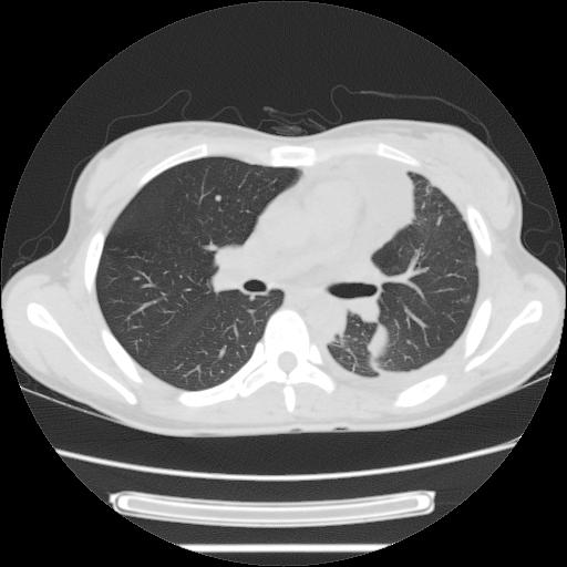
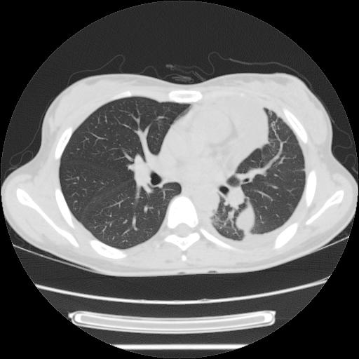
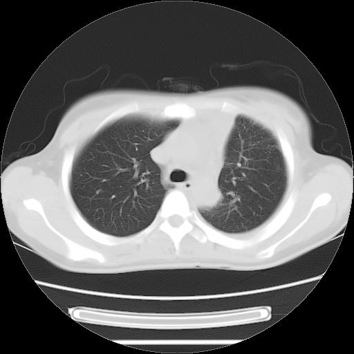
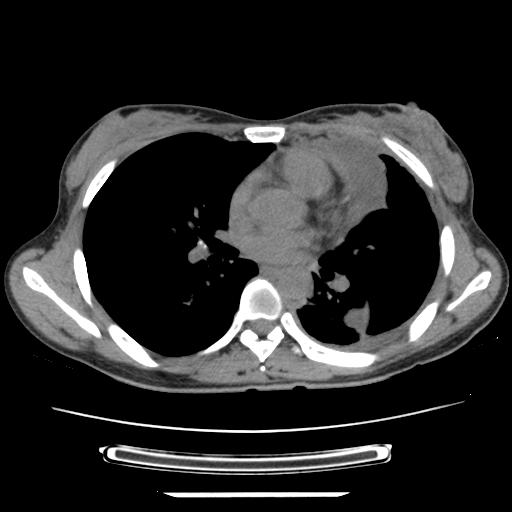
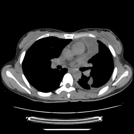
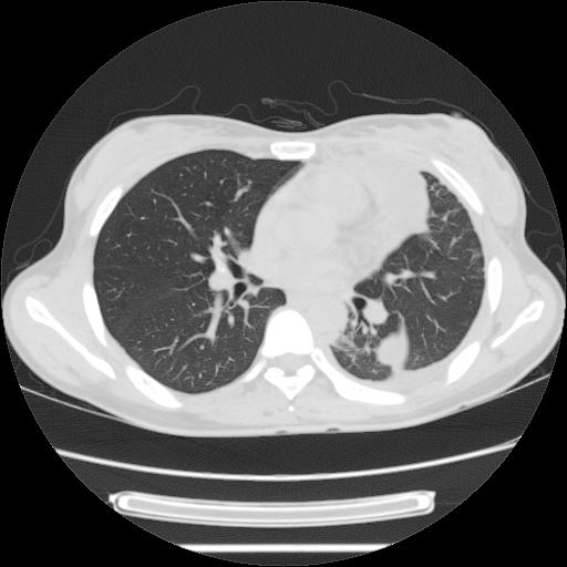
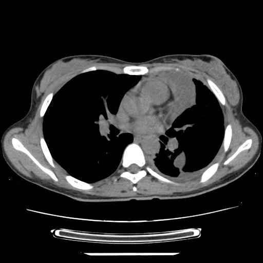
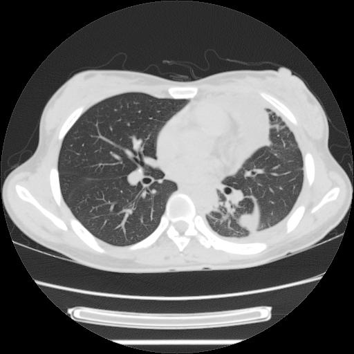
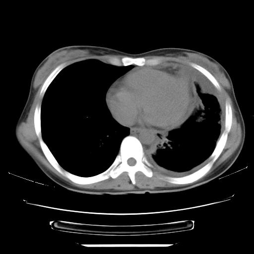
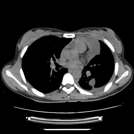
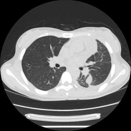
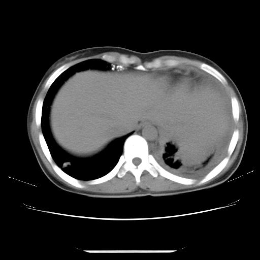
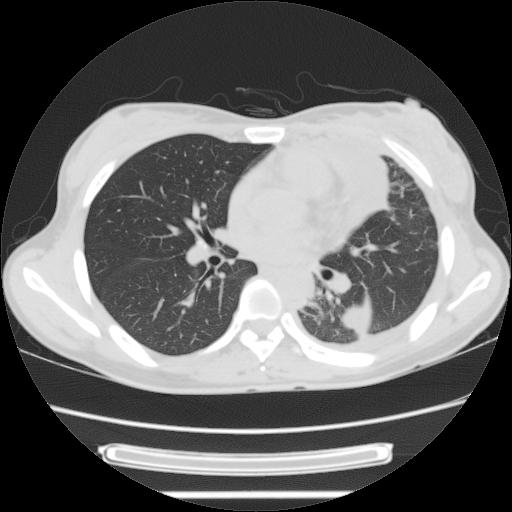
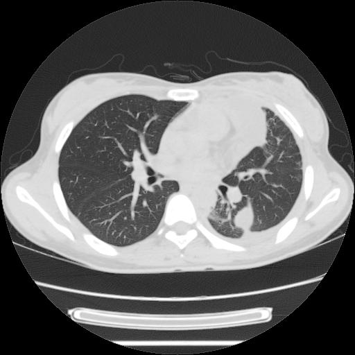
女,29岁,胸部不适,在外院胸片提示胸腔积液,到我院ct检查。
肺窗:
































纵膈窗

































[本贴已被 jiajie 于 2009-8-11 23:13:34 修改过]

作者: laojiang    时间: 2009-8-12 00:12
1、左侧包裹性积液伴叶间积液 2、右肺多发结节考虑增殖结节
作者: cfililiu    时间: 2009-8-12 00:17
左侧纵隔胸膜包裹性积液、左侧胸腔积液、胸膜肥厚粘莲,考虑结核性胸膜炎
作者: 深泽交通    时间: 2009-8-12 00:25
左肺上叶不张,左侧胸水,叶间裂积液,纵隔淋巴结,脾脏钙化,考虑左肺上叶支气管内膜结核,结核性胸膜炎,脾结核
作者: xrw    时间: 2009-8-12 00:38
考虑:1.两肺tb;2.左侧胸膜炎、胸腔积液。
作者: 杀毒软件    时间: 2009-8-12 00:39
支持大家,都按结核算。
作者: zxl51642    时间: 2009-8-12 00:50
标题: 回复:外院胸片提示胸腔积液,行ct检查。
以下是引用深泽交通医院在2009-8-11 16:25:00的发言:[br]左肺上叶不张,左侧胸水,叶间裂积液,纵隔淋巴结,脾脏钙化,考虑左肺上叶支气管内膜结核,结核性胸膜炎,脾结核

支持
作者: sunbin    时间: 2009-8-12 01:23
考虑两肺结核,左侧包裹性积液,叶间积液。
作者: zjzjr    时间: 2009-8-12 01:30
支持结核.
作者: pujunzhi    时间: 2009-8-12 02:07
支持两肺继发性肺结核,左侧胸膜腔包裹性积液、胸膜肥厚,脾内多发钙化(结核钙化)。
作者: 随光逐影    时间: 2009-8-12 02:10
支持 两肺继发性肺结核,左侧胸膜腔包裹性积液、胸膜肥厚;脾内多发钙化(结核钙化)。
作者: guanaishengming    时间: 2009-8-12 02:56
左肺上叶不张,左侧胸水,叶间裂积液,纵隔淋巴结,脾脏钙化,考虑左肺上叶支气管内膜结核,结核性胸膜炎,脾结核
作者: zxczxc    时间: 2009-8-12 04:31
右肺多发结节。左胸腔多发包裹性积液。
作者: 泪洒红尘    时间: 2009-8-12 04:36
支持 两肺继发性肺结核,左侧胸膜腔包裹性积液、胸膜肥厚;脾内多发钙化(结核钙化)。
作者: 鲁巨CT    时间: 2009-8-12 05:19
tb
作者: 看图说话    时间: 2009-8-12 05:30
两肺继发性肺结核,左侧胸膜腔包裹性积液、胸膜肥厚;脾内多发钙化(结核钙化)。支持!
作者: jiahui7z    时间: 2009-8-12 06:27
同上
作者: qc80012345    时间: 2009-8-12 06:35
窗宽窗位调整不到位,增强扫描吧。
作者: dr.yang    时间: 2009-8-12 07:13
支持tb,一元解释吧。
作者: 胡宇    时间: 2009-8-12 07:14
两肺继发性肺结核,左侧胸膜腔包裹性积液、胸膜肥厚;脾内多发钙化(结核钙化)。支持!
作者: 513ytb    时间: 2009-8-12 07:28
左侧纵隔胸膜包裹性积液、左侧胸腔积液、胸膜肥厚粘莲,考虑结核性胸膜炎.左肺上叶支气管内膜结核,结核性胸膜炎,脾结核.
作者: yuhongjun    时间: 2009-8-12 13:36
支持两肺继发性肺结核,左侧胸膜腔包裹性积液、胸膜肥厚,脾内多发钙化(结核钙化)。
作者: 吴承学    时间: 2009-8-12 14:25
标题: 回复:ct21561:外院胸片提示胸腔积液,行ct检查。
以下是引用zjzjr在2009-8-11 17:30:00的发言:[br]支持结核.

作者: dsl555    时间: 2009-8-12 15:00
支持两肺继发性肺结核,左侧胸膜腔包裹性积液、胸膜肥厚,脾内多发钙化(结核钙化)。
作者: 卜一    时间: 2009-8-12 15:16
支持两肺继发性肺结核,左侧胸膜腔包裹性积液、胸膜肥厚,脾内多发钙化(结核钙化)。
作者: xiao实习生    时间: 2009-8-12 17:08
支持!
作者: shibing    时间: 2009-8-12 17:30
tb
作者: muzi888    时间: 2009-8-12 18:01
左肺上叶不张,左侧胸水,叶间裂积液,纵隔淋巴结,脾脏钙化,考虑左肺上叶支气管内膜结核,结核性胸膜炎,脾结核。支持!
作者: 帅河马    时间: 2009-8-12 21:03
左肺上叶不张,左侧胸水,叶间裂积液,纵隔淋巴结,脾脏钙化,考虑左肺上叶支气管内膜结核,结核性胸膜炎,脾结核
作者: zhengfaming    时间: 2009-8-12 22:27
左肺上叶不张,左侧胸水,叶间裂积液,纵隔淋巴结,脾脏钙化,考虑左肺上叶支气管内膜结核,结核性胸膜炎,脾结核
作者: 黑白光影    时间: 2009-8-12 23:27
支持两肺继发性肺结核,左侧胸膜腔包裹性积液、胸膜肥厚,脾内多发钙化(结核钙化)。




欢迎光临 医影在线 (http://bbs.radida.com/bbs/) Powered by Discuz! X3.2