





























































































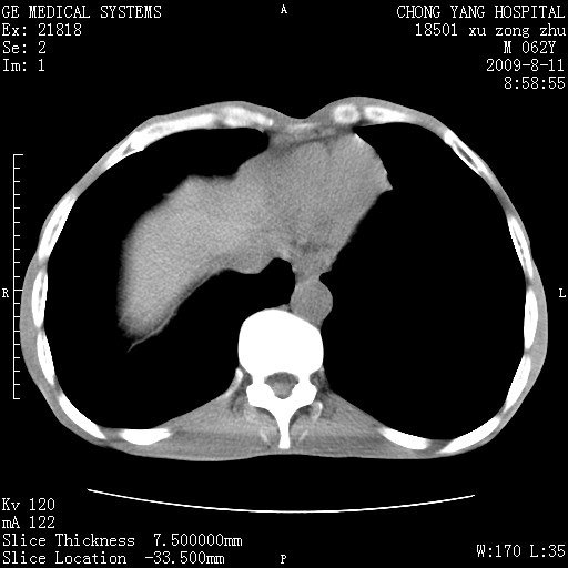
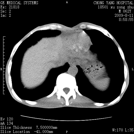
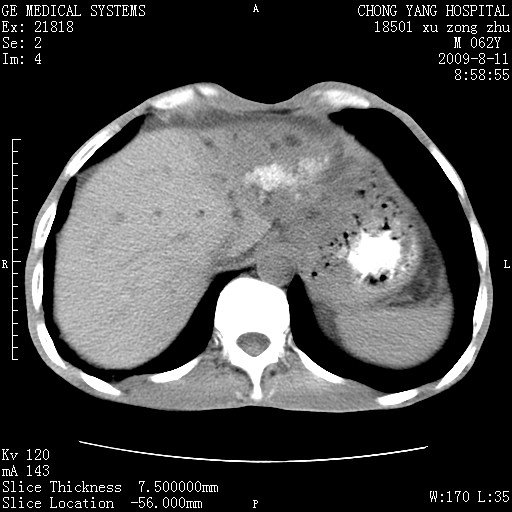
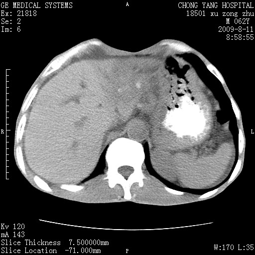
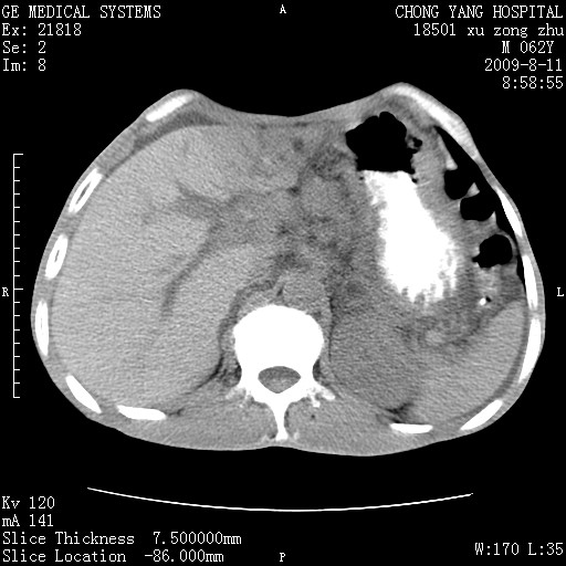
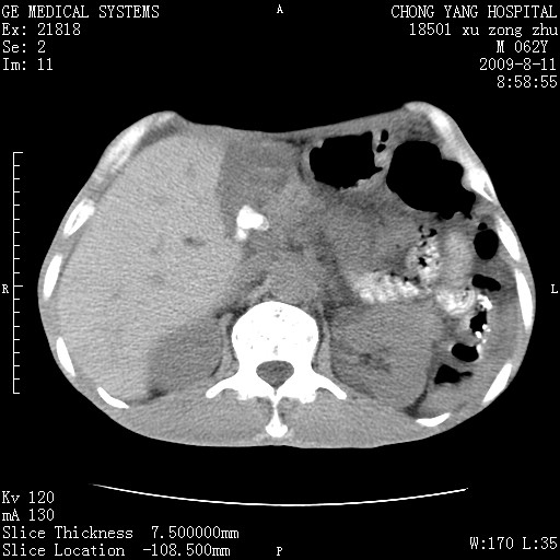
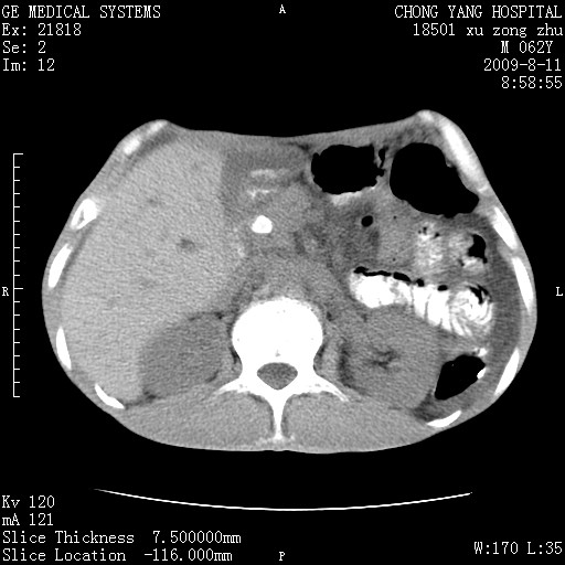
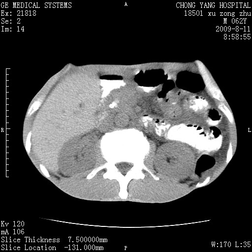
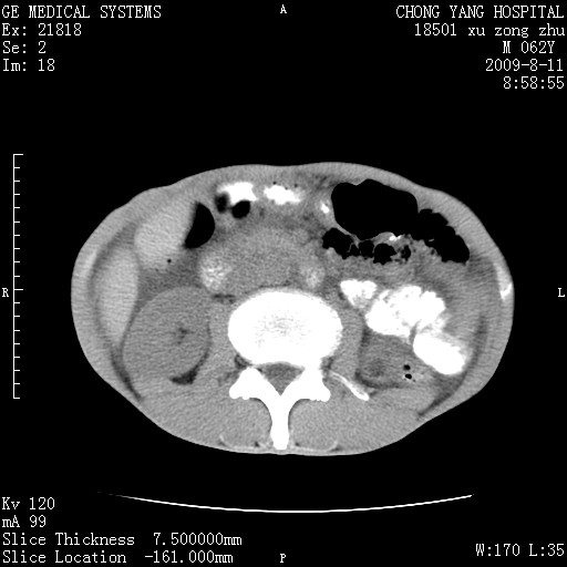
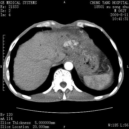
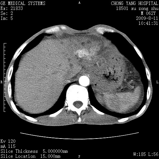
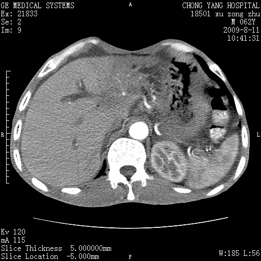
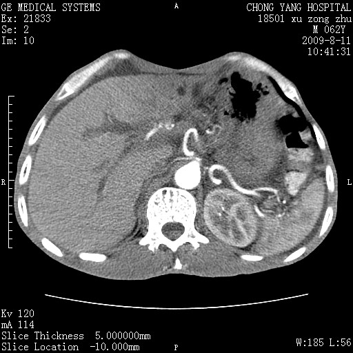
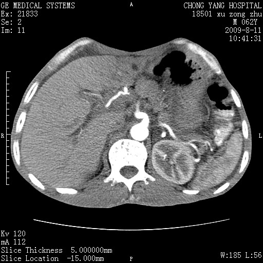
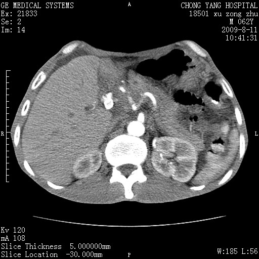
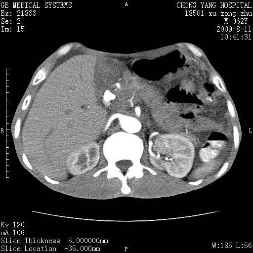
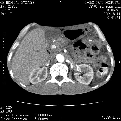
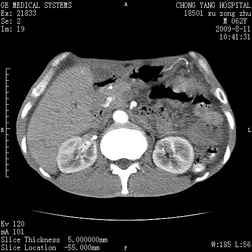
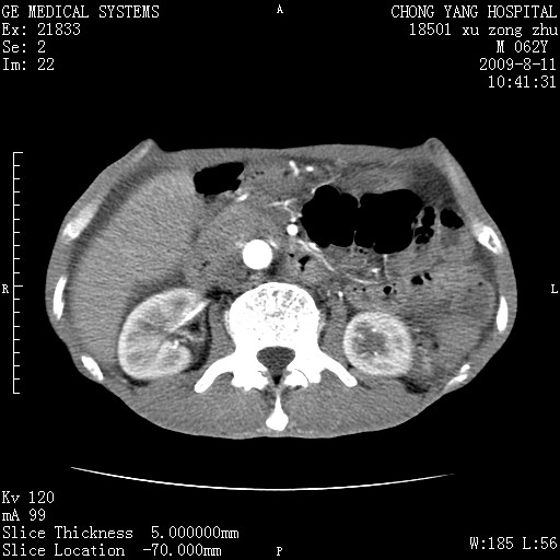
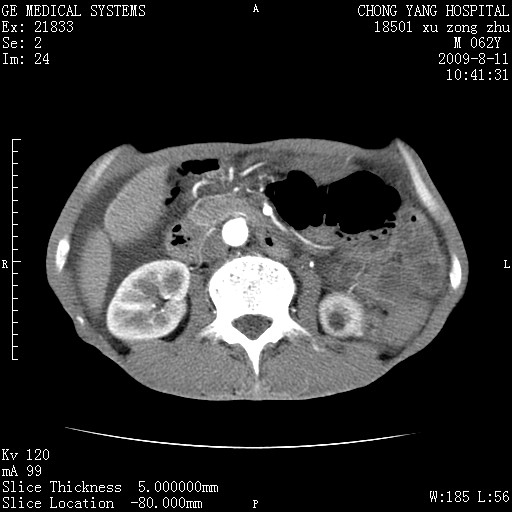
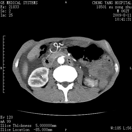
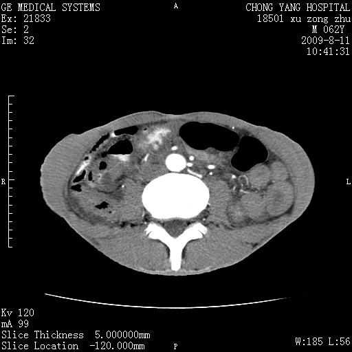
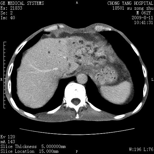
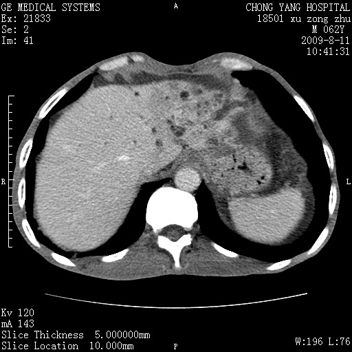
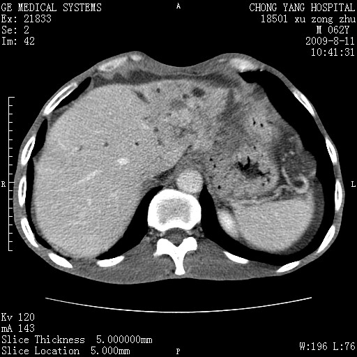
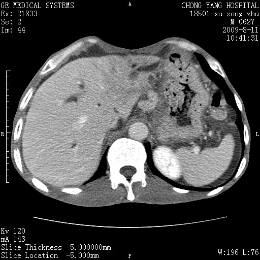
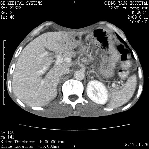
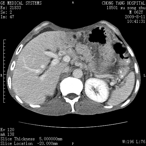
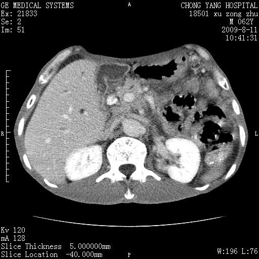
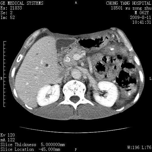
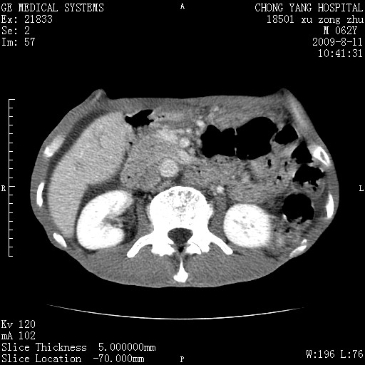
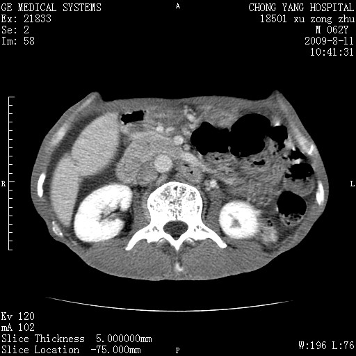
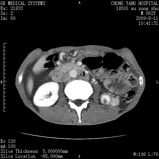
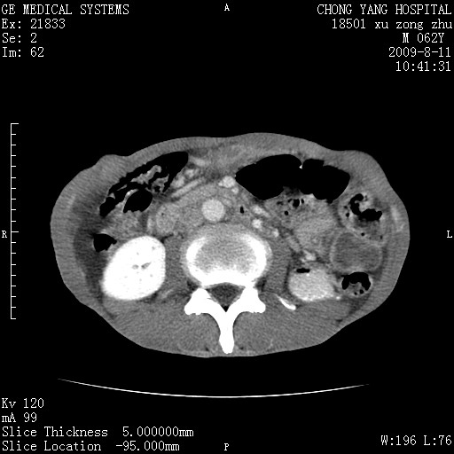
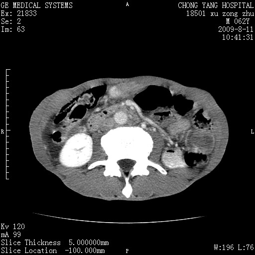
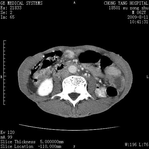
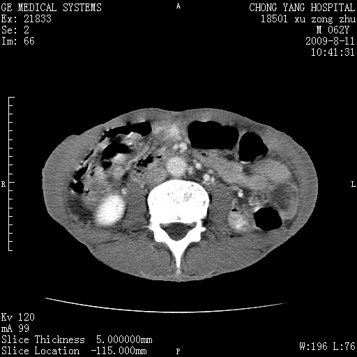
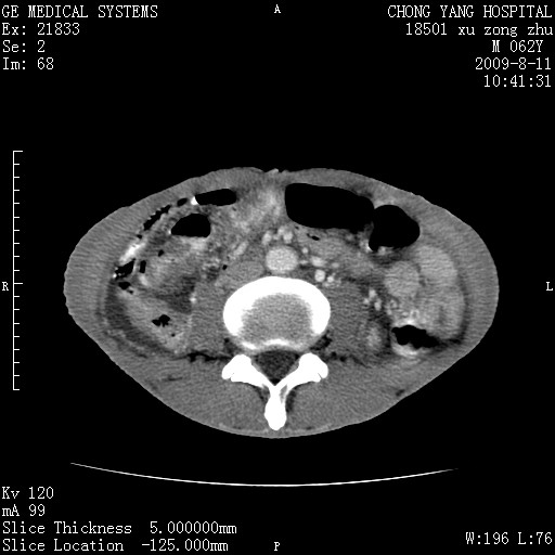
以下是引用杀毒软件在2009-8-11 16:35:00的发言:[br]肝内胆管扩张局限于左叶,胆管内有结石伴肝外胆管结石,胆管壁增厚呈弥漫性并发腹腔积液,胰腺边界模糊。[br][br]考虑---胆总管及肝内胆管结石继发胆管炎及胰腺炎,左肾下极囊肿,腹水。
以下是引用zjzjr在2009-8-11 17:35:00的发言:[br]肝内胆管扩张局限于左叶,胆管内有结石伴肝外胆管结石,胆管壁增厚呈弥漫性并发腹腔积液。[br][br]考虑---胆总管及肝内胆管结石继发胆管炎,左肾下极囊肿,腹水。
| 欢迎光临 医影在线 (http://bbs.radida.com/bbs/) | Powered by Discuz! X3.2 |