医影在线

标题: CT21567:咳嗽,咳痰,发热半月余 [打印本页]

作者: 朦胧女孩    时间: 2009-8-12 18:12
标题: CT21567:咳嗽,咳痰,发热半月余

































[本贴已被 jiajie 于 2009-8-12 12:45:23 修改过]

作者: 泪洒红尘    时间: 2009-8-12 18:28
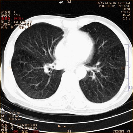
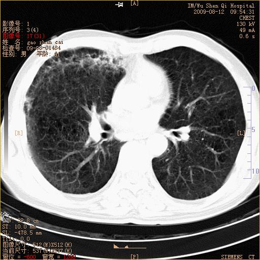
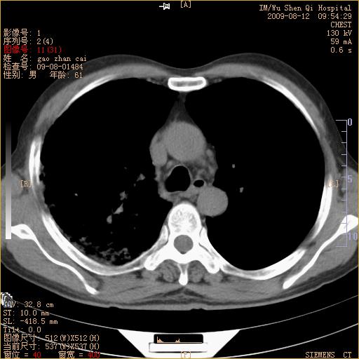
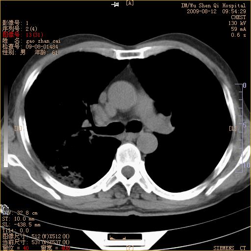
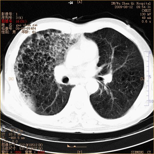
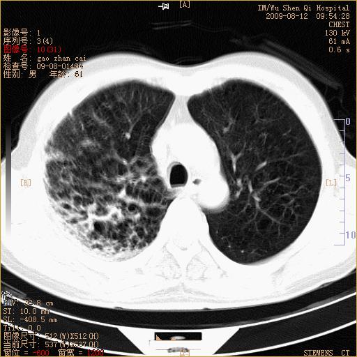
1、右上肺继发性肺结核合并感染;2、肺气肿。
作者: gswen    时间: 2009-8-12 18:29
考虑支气管囊肿合并感染.
作者: hfr    时间: 2009-8-12 18:41
右肺间质纤维化右肺间质性肺炎
作者: 深泽交通    时间: 2009-8-12 18:53
右肺上叶干酪性肺炎
作者: shibing    时间: 2009-8-12 18:53
右肺弥漫性间质性改变
作者: liaizhi    时间: 2009-8-12 19:00
考虑右肺间质性肺炎并右侧胸膜炎可能性大。
作者: cainiao003    时间: 2009-8-12 19:29
支持4楼
作者: sdzyy    时间: 2009-8-12 20:00
右上肺干酪性肺炎,肺气肿
作者: 帅河马    时间: 2009-8-12 20:12
考虑右肺支扩并感染可能,结核不除外,结核生化检查看看。
右肺门区占位待排(图片没有传完)
作者: cfililiu    时间: 2009-8-12 23:38
右肺间质性肺炎,肺气肿
作者: zjzjr    时间: 2009-8-12 23:40
右肺间质纤维化右肺间质性肺炎
作者: 平安是福    时间: 2009-8-12 23:46
我也遇上类似病例,先是考虑间质性肺炎,经抗炎治疗一月无效,随后临床考虑结核,又抗痨治疗两月,还是无效。病人己死亡。
作者: sunbin    时间: 2009-8-12 23:54
考虑右肺结核, 右肺间质性改变,肺气肿。
作者: pujunzhi    时间: 2009-8-13 00:43
支持右肺间质性肺炎。
作者: bmw011    时间: 2009-8-13 02:25
右肺上叶支扩并感染,肺间质纤维化。
作者: 随光逐影    时间: 2009-8-13 03:22
1)右肺上叶感染性病变;建议抗炎治疗后复查。2)肺气肿。
作者: zxl51642    时间: 2009-8-13 03:25
右肺上叶支扩并感染,肺间质纤维化,肺气肿,右肺门淋巴结肿大。建议抗炎治疗后复查。
作者: 黑白光影    时间: 2009-8-13 05:49
右肺间质纤维化右肺间质性肺炎
作者: yangyang2000    时间: 2009-8-13 07:22
右肺间质纤维化右肺间质性肺炎
支持
作者: 42573734    时间: 2009-8-13 21:20
支扩合并感染




欢迎光临 医影在线 (http://bbs.radida.com/bbs/) Powered by Discuz! X3.2