医影在线
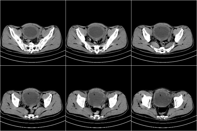
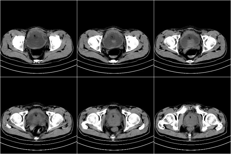
标题: CT21568:男,57岁,双肾及输尿管重度积水。彩超示前列腺占 [打印本页]
作者: zxl51642 时间: 2009-8-12 19:51
标题: CT21568:男,57岁,双肾及输尿管重度积水。彩超示前列腺占








[本贴已被 zxl51642 于 2009-8-12 11:51:48 修改过]
[本贴已被 jiajie 于 2009-8-12 12:46:02 修改过]
作者: 深泽交通 时间: 2009-8-12 20:02
考虑前列腺增生并慢性尿潴留致膀胱肌小梁增生
作者: 帅河马 时间: 2009-8-12 20:03
考虑膀胱癌侵犯双侧输尿管末端及前列腺,双输尿管扩张积水。
作者: sdzyy 时间: 2009-8-12 20:11
前列腺增生肥大,内密度不均,ca不排外;膀胱壁弥漫性增厚,膀胱精囊三角清,炎症?
作者: fuyuehong111248 时间: 2009-8-12 22:25
前列腺ca;膀胱炎,膀胱、直肠受累不除外
作者: 513ytb 时间: 2009-8-12 22:52
考虑膀胱癌侵犯双侧输尿管末端及前列腺,双输尿管扩张积水.
作者: cfililiu 时间: 2009-8-12 23:24
1 前列腺增生肥大,不除外癌变可能,建议mr检查
2 膀胱壁弥漫性增厚,内侧可见增粗的小梁和腺体,考虑为腺性膀胱炎
作者: zjzjr 时间: 2009-8-12 23:42
标题: 回复:ct21568:男,57岁,双肾及输尿管重度积水。彩超示前
以下是引用cfililiu在2009-8-12 15:24:00的发言:[br]1 前列腺增生肥大,不除外癌变可能,建议mr检查[br]2 膀胱壁弥漫性增厚,内侧可见增粗的小梁和腺体,考虑为腺性膀胱炎
作者: sunbin 时间: 2009-8-13 00:12
前列腺增生,内密度不均,警惕癌变,膀胱壁弥漫性增厚,考虑慢性膀胱炎。
作者: pujunzhi 时间: 2009-8-13 00:36
标题: 回复:ct21568:男,57岁,双肾及输尿管重度积水。彩超示前
以下是引用cfililiu在2009-8-12 15:24:00的发言:[br]1 前列腺增生肥大,不除外癌变可能,建议mr检查[br]2 膀胱壁弥漫性增厚,内侧可见增粗的小梁和腺体,考虑为腺性膀胱炎
支持!
作者: 随光逐影 时间: 2009-8-13 03:25
考虑前列腺增生症并腺性膀胱炎,双侧输尿管扩张;建议必要时行mri检查。
作者: 泪洒红尘 时间: 2009-8-13 04:30
1 前列腺增生肥大,不除外癌变可能,建议mr检查
2 膀胱壁弥漫性增厚,内侧可见增粗的小梁和腺体,考虑为腺性膀胱炎
作者: zbp537 时间: 2009-8-13 04:34
1、前列腺改变主要为中央区,考虑前列腺增生可能性大。
2、膀胱壁弥漫性增厚,考虑膀胱炎可能,请结合临床。
作者: 黑白光影 时间: 2009-8-13 05:55
标题: 回复:ct21568:男,57岁,双肾及输尿管重度积水。彩超示前
以下是引用深泽交通医院在2009-8-12 12:02:00的发言:[br]考虑前列腺增生并慢性尿潴留致膀胱肌小梁增生
作者: yangyang2000 时间: 2009-8-13 07:08
以下是引用cfililiu在2009-8-12 15:24:00的发言:
1 前列腺增生肥大,不除外癌变可能,建议mr检查
2 膀胱壁弥漫性增厚,内侧可见增粗的小梁和腺体,考虑为腺性膀胱炎
支持
作者: LIAOQIANG 时间: 2009-8-13 18:10
考虑前列腺增生并慢性膀胱炎。不除外前列腺癌可能。建议结合其它检查。
作者: 奥特之父 时间: 2009-8-13 18:28
考虑:前列腺增生并慢性膀胱炎。不除外前列腺癌可能。建议结合其它检查。
| 欢迎光临 医影在线 (http://bbs.radida.com/bbs/) |
Powered by Discuz! X3.2 |