医影在线

标题: CT21569:M,54Y,右侧中腹部疼痛,IVP示右侧输尿管中下段充盈缺 [打印本页]

作者: zxl51642    时间: 2009-8-12 20:01
标题: CT21569:M,54Y,右侧中腹部疼痛,IVP示右侧输尿管中下段充盈缺
(结果公布:http://www.radida.com/bbs/forum.php?mod=viewthread&tid=61039




















[本贴已被 jiajie 于 2009-12-15 19:22:06 修改过]

作者: 帅河马    时间: 2009-8-12 20:08
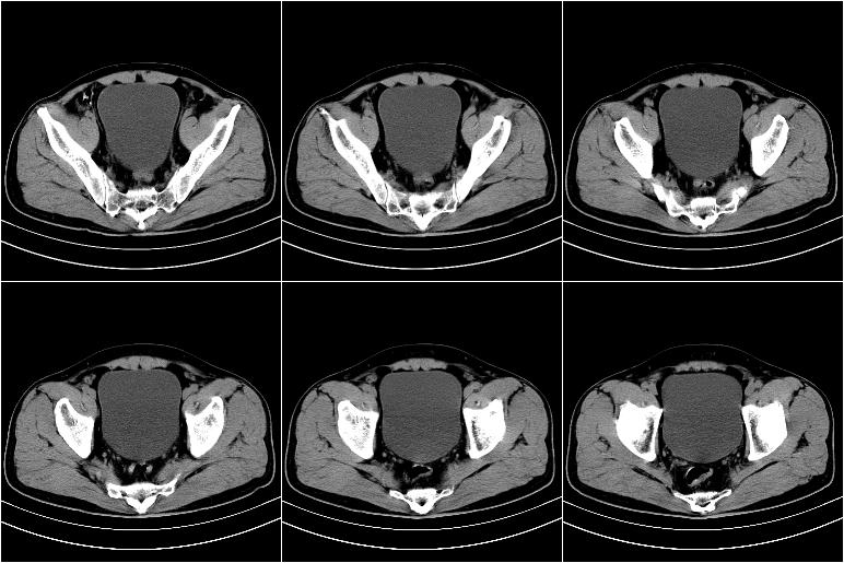
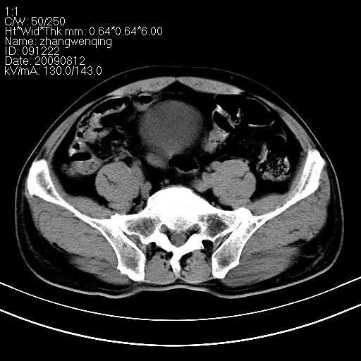
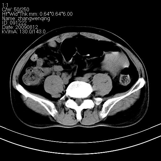
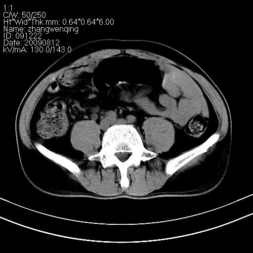
右输尿管下段扩张积水。左下腹部肠管间质瘤不除外。
作者: fuyuehong111248    时间: 2009-8-12 22:17
看不清,应打个增强,右侧输尿管扩张,右侧肠系膜上好像占位。
作者: 513ytb    时间: 2009-8-12 22:50
右侧输尿管扩张.
作者: cfililiu    时间: 2009-8-12 23:20
右侧输尿管扩张积水,考虑结石,最好做个增强除外输尿管占位性病变
作者: 深泽交通    时间: 2009-8-12 23:22
标题: 回复:ct21569:m,54y,右侧中腹部疼痛,ivp示右侧输尿管中下段
右输尿管下段扩张
作者: zjzjr    时间: 2009-8-13 00:01
右侧输尿管扩张积水,最好做个增强除外输尿管占位性病变
作者: sunbin    时间: 2009-8-13 00:17
右侧输尿管扩张积水,建议增强排除占位。
作者: pujunzhi    时间: 2009-8-13 00:33
支持右侧输尿管中下段扩张积水,建议增强排除占位。
作者: 随光逐影    时间: 2009-8-13 03:29
右侧输尿管下段扩张,原因待查;建议行进一步检查。
作者: 泪洒红尘    时间: 2009-8-13 04:28
右侧输尿管下段扩张,原因待查;建议行进一步检查。
作者: zbp537    时间: 2009-8-13 04:38
增强扫再说。
作者: dyqct    时间: 2009-8-13 05:39
标题: 回复:ct21569:m,54y,右侧中腹部疼痛,ivp示右侧输尿管中下段
以下是引用zjzjr在2009-8-12 16:01:00的发言:[br]右侧输尿管扩张积水,最好做个增强除外输尿管占位性病变

支持!
作者: 黑白光影    时间: 2009-8-13 05:57
标题: 回复:ct21569:m,54y,右侧中腹部疼痛,ivp示右侧输尿管中下段
以下是引用随光逐影在2009-8-12 19:29:00的发言:[br]右侧输尿管下段扩张,原因待查;建议行进一步检查。[br]

作者: yangyang2000    时间: 2009-8-13 06:08
右输尿管下段扩张积水,壁增厚、边缘不光整,考虑炎性改变
作者: 拾荒者    时间: 2009-12-16 04:22
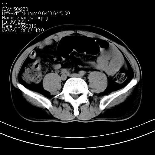
ct21569:阑尾腺癌
   
ct21569和ct21569b(增强)结果:阑尾腺癌,侵犯回盲部及输尿管中段。手术切除部分升结肠、回肠及受侵4cm之输尿管,做回-横结吻合,输尿管支架置放术并吻合,术后病理腺癌,阑尾来源可能性大。


谢谢!
作者: zlh    时间: 2009-12-17 01:19
右侧输尿管扩张似见软组织密度影,输尿管占位不能排除。
作者: ct诊断高手    时间: 2009-12-17 02:55
右侧输尿管下段扩张,原因待查;建议行进一步检查。
作者: 37度    时间: 2010-1-14 01:37
ct21569:阑尾腺癌
   
ct21569和ct21569b(增强)结果:阑尾腺癌,侵犯回盲部及输尿管中段。手术切除部分升结肠、回肠及受侵4cm之输尿管,做回-横结吻合,输尿管支架置放术并吻合,术后病理腺癌,阑尾来源可能性大。
作者: 吴医师    时间: 2010-5-31 06:37
谢谢  学习了




欢迎光临 医影在线 (http://bbs.radida.com/bbs/) Powered by Discuz! X3.2