








































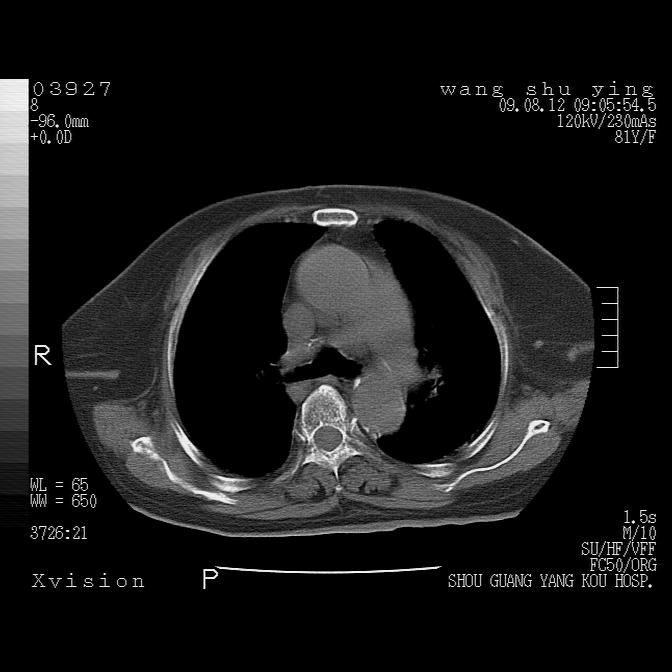
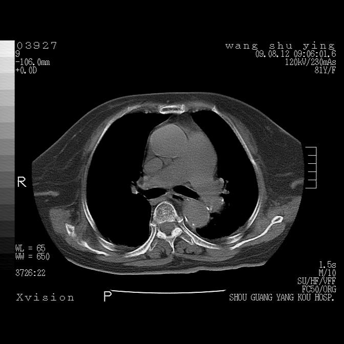
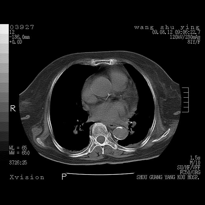
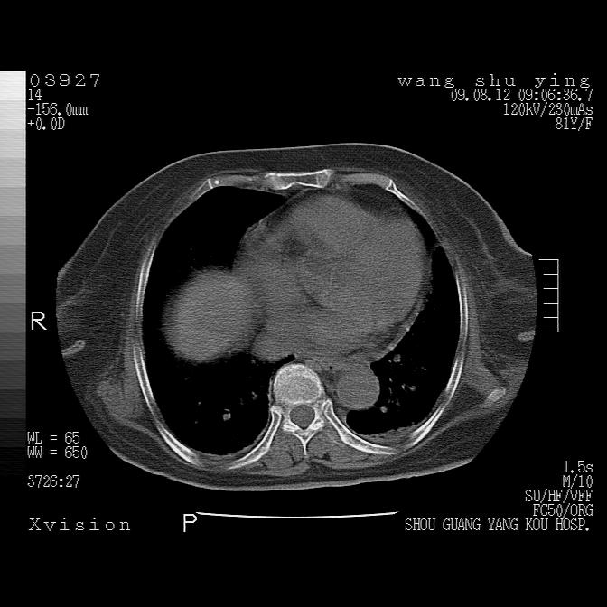
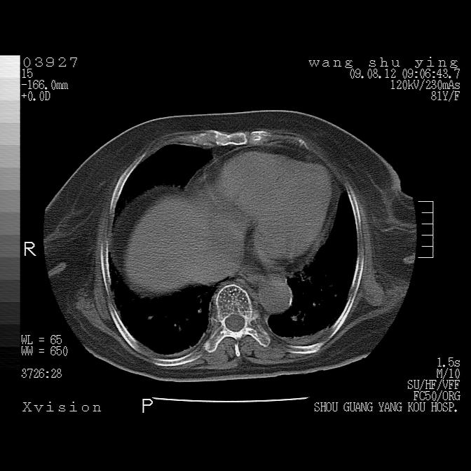
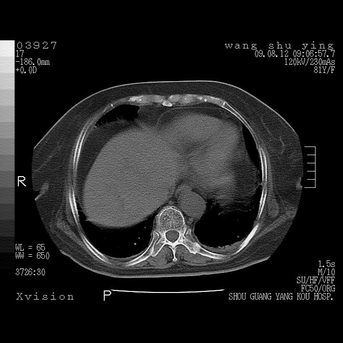
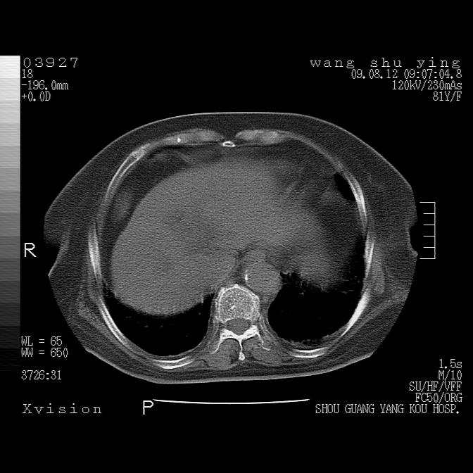
以下是引用帅河马在2009-8-12 12:59:00的发言:[br]两肺感染性病变伴双侧胸膜肥厚。[br]左侧甲状腺腺瘤不除外。[br]腹水+心包积液。[br][br][本贴已被 帅河马 于 2009-8-12 13:14:32 修改过]

以下是引用sdzyy在2009-8-12 18:17:00的发言:[br]两肺感染性病变伴双侧胸膜肥厚。[br]左侧甲状腺腺瘤不除外。[br]腹水+心包积液。[br]支持
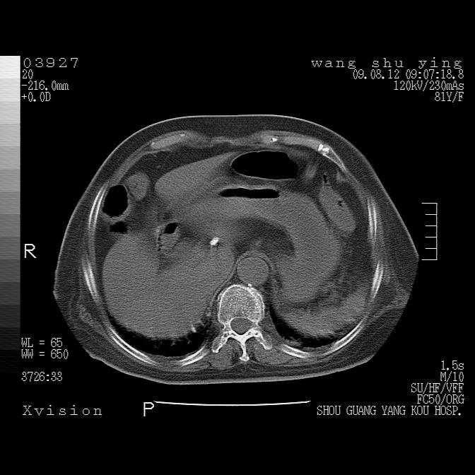
以下是引用随光逐影在2009-8-12 19:42:00的发言:[br]1)两肺感染性病变伴双侧胸膜肥厚。2)不排除左侧甲状腺腺瘤。3)肝脏占位性病变;建议行进一步检查。
| 欢迎光临 医影在线 (http://bbs.radida.com/bbs/) | Powered by Discuz! X3.2 |