

























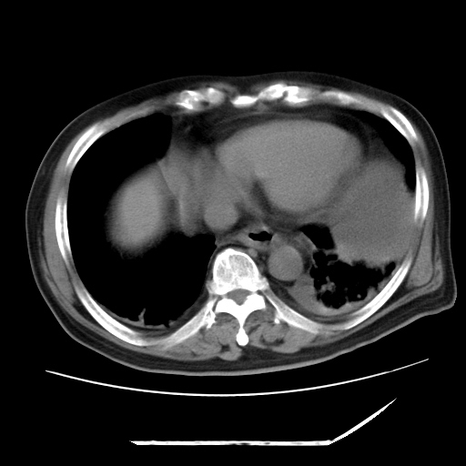
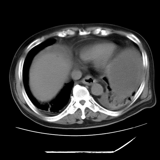
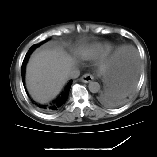
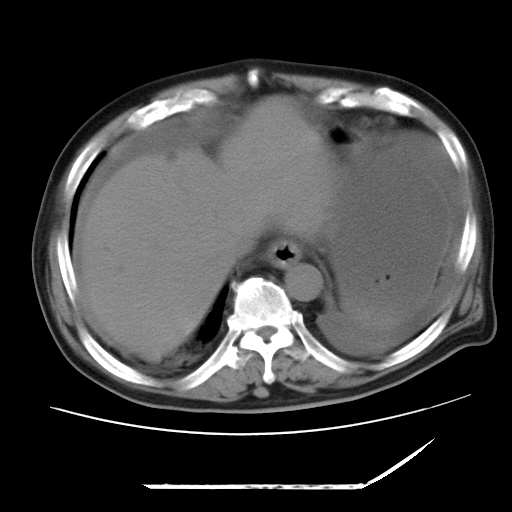
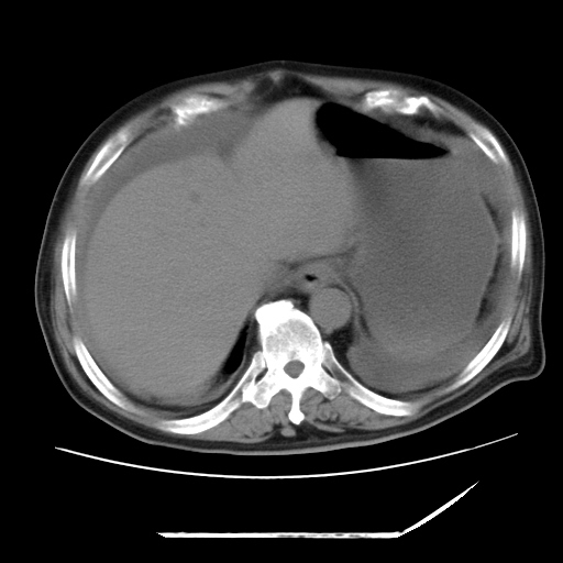
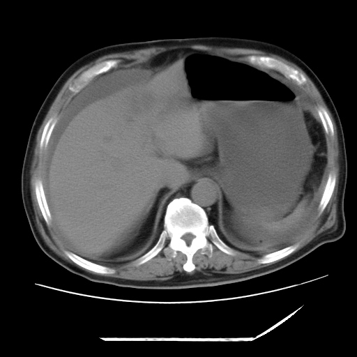
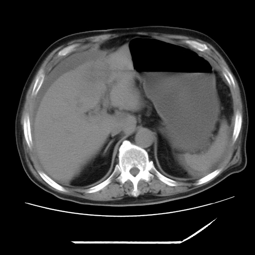
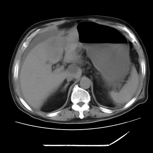
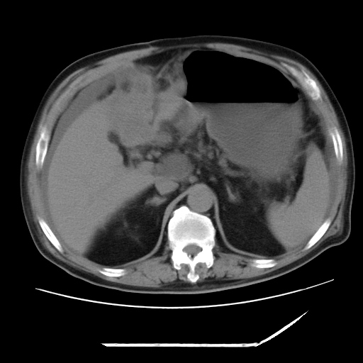
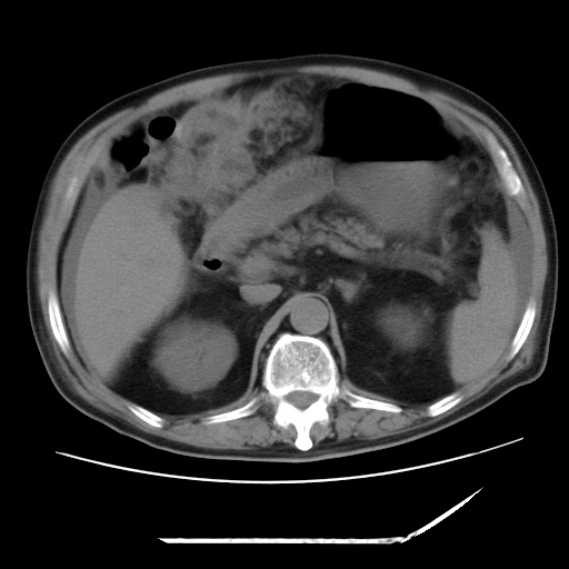
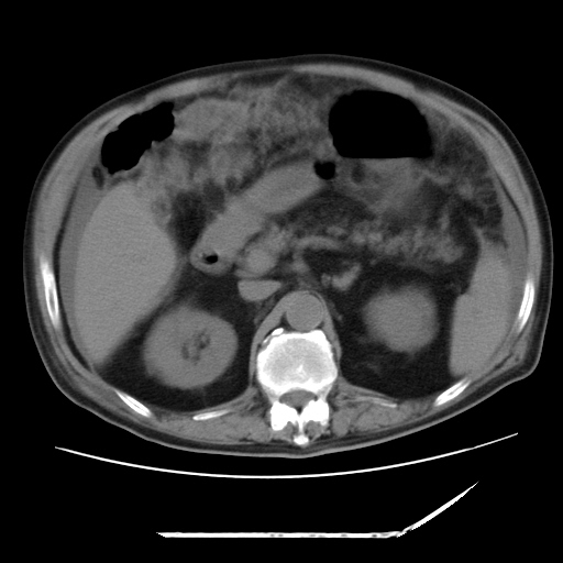
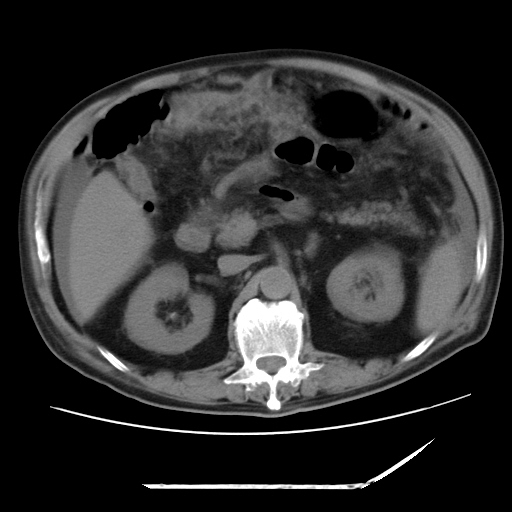
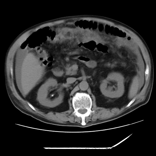
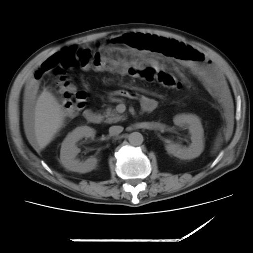
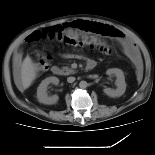
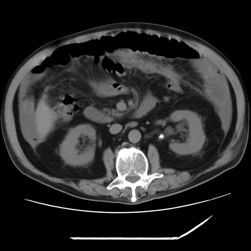
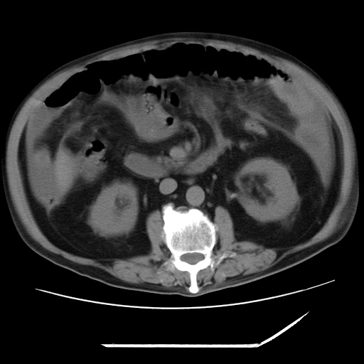
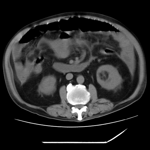
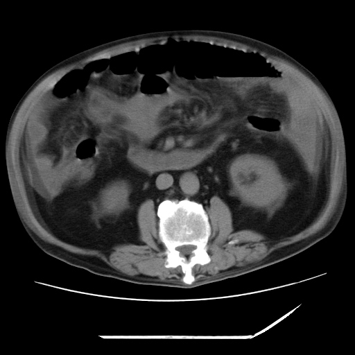
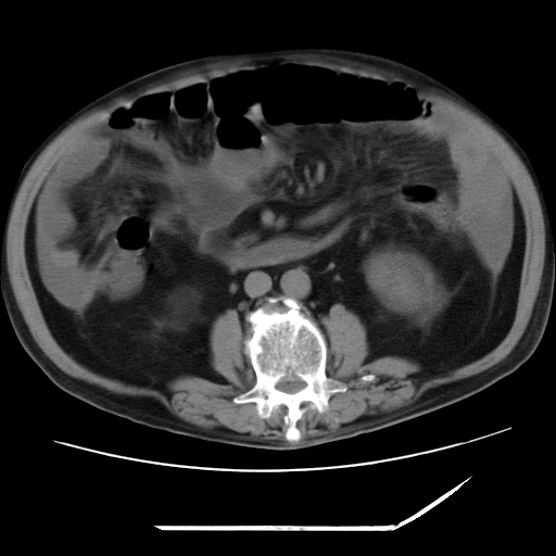
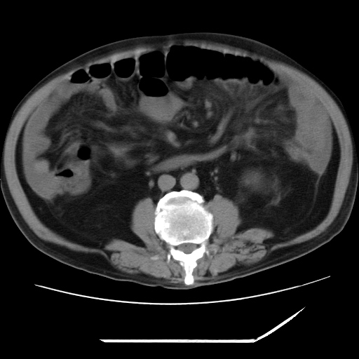
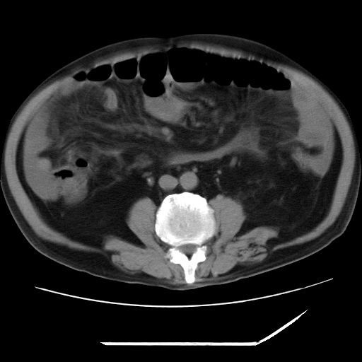
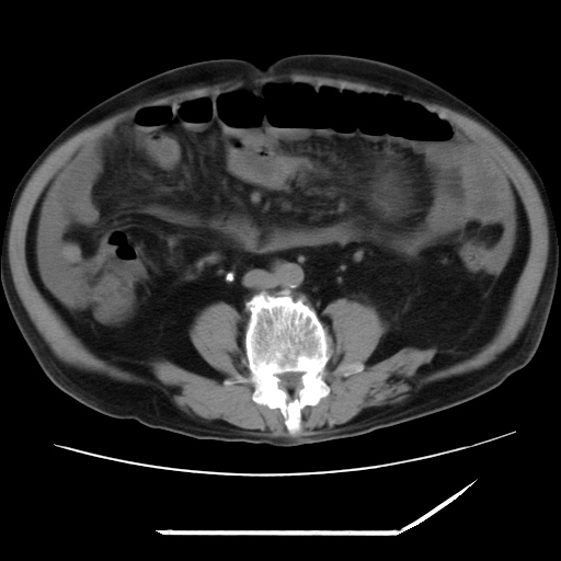
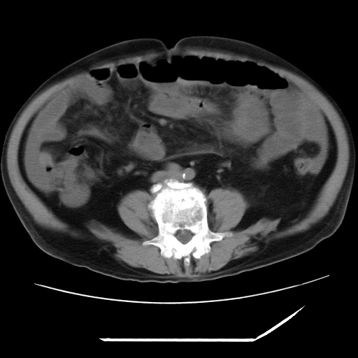
以下是引用zxl51642在2009-8-12 18:55:00的发言:[br]1、肠系膜脂肪浑浊,密度增高,腹水,支持腹膜炎诊断;2、右肾盂及输尿管中段结石,左输尿管起始段结石;3、胆囊切除术后改变?4、双侧胸膜腔少量积液;5、胰腺体积不大,勾勒清楚,肾前筋膜无增厚,不支持胰腺炎,请结合血尿淀粉酶及临床。
以下是引用黑白光影在2009-8-12 22:06:00的发言:[br][quote]以下是引用zxl51642在2009-8-12 18:55:00的发言:[br]1、肠系膜脂肪浑浊,密度增高,腹水,支持腹膜炎诊断;2、右肾盂及输尿管中段结石,左输尿管起始段结石;3、胆囊切除术后改变?4、双侧胸膜腔少量积液;5、胰腺体积不大,勾勒清楚,肾前筋膜无增厚,不支持胰腺炎,请结合血尿淀粉酶及临床。
| 欢迎光临 医影在线 (http://bbs.radida.com/bbs/) | Powered by Discuz! X3.2 |