医影在线

标题: CT21577:胸部病变 [打印本页]

作者: arven    时间: 2009-8-13 06:23
标题: CT21577:胸部病变
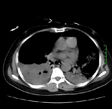
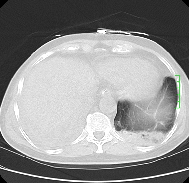
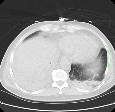
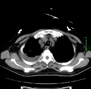
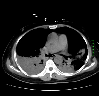
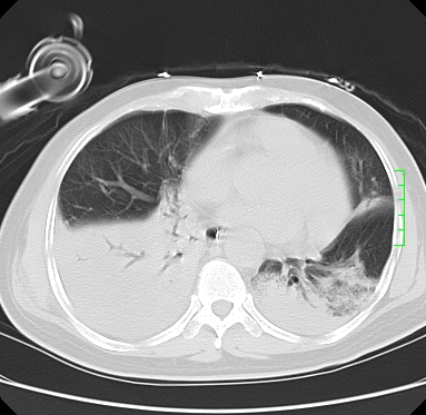
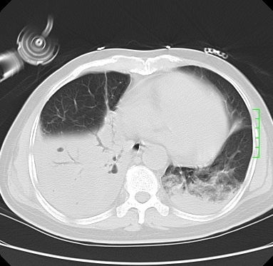
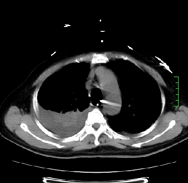
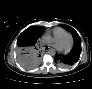
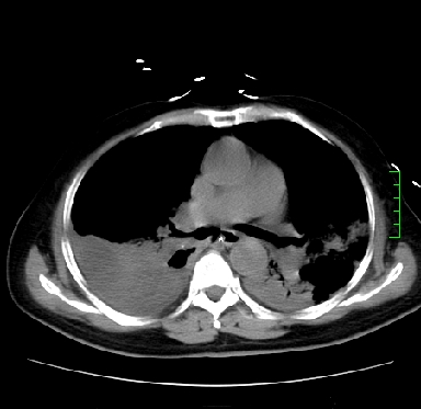
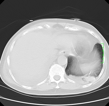
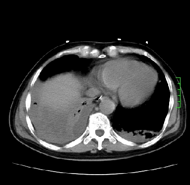
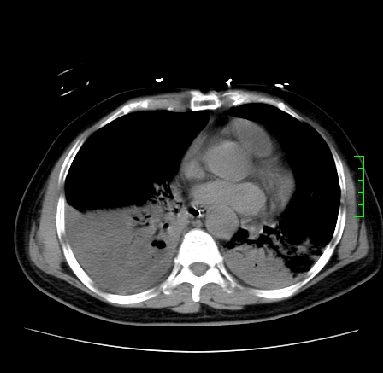
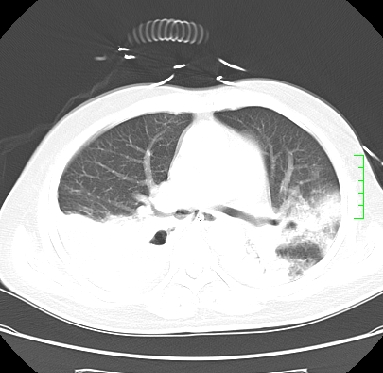
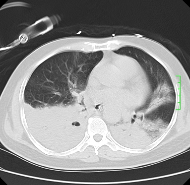
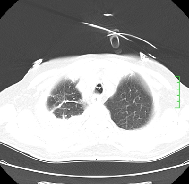
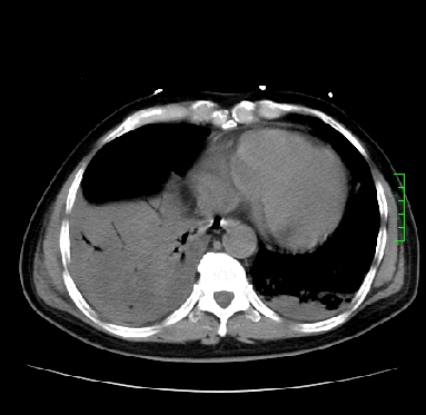
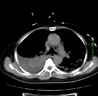
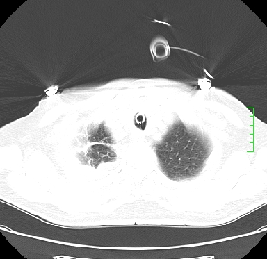
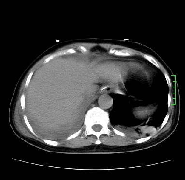
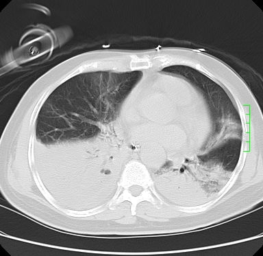
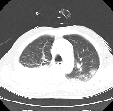
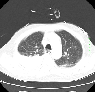
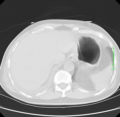
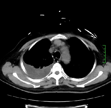
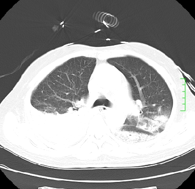
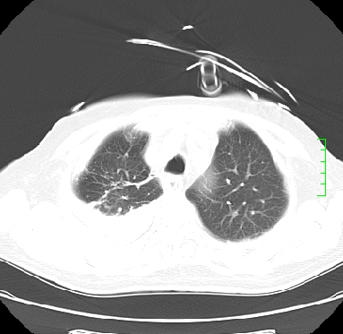
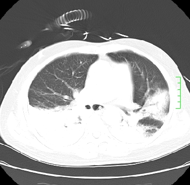
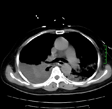
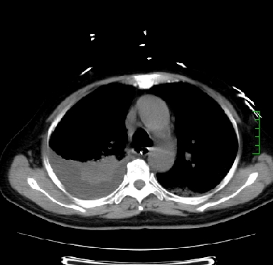
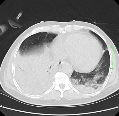
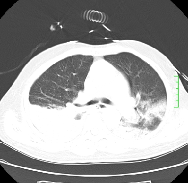
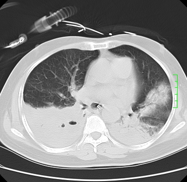
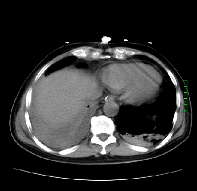
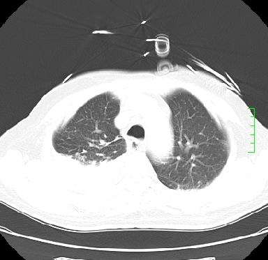
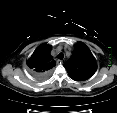
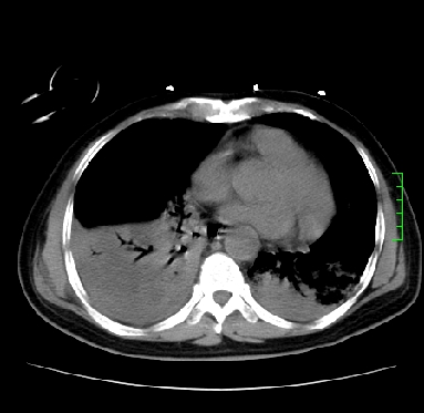
icu病人,几天都没明确诊断。m,76y,咳嗽、咳痰1周,伴气促,右胸痛入院,pe:t38.3c p135 r25 bp135/85。双肺可闻及大量湿罗音,心、腹未见明显异常。诊断:1心衰?2肺部感染?3冠心病?

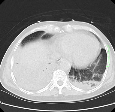
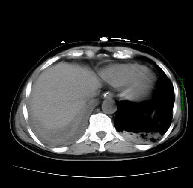
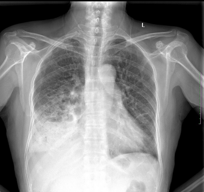
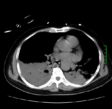
9号平片

11号ct





























































[本贴已被 翁志蓬 于 2009-8-12 23:29:34 修改过]

作者: 子期    时间: 2009-8-13 06:49
考虑肺部感染
作者: 513ytb    时间: 2009-8-13 06:53
考虑肺部感染.
作者: yangyang2000    时间: 2009-8-13 06:55
大叶性肺炎、胸腔积液
作者: arven    时间: 2009-8-13 07:05
呵呵,说全面点呀,右肺有没肺不张?原因?会不会是心衰肺水肿呢?
作者: 37度    时间: 2009-8-13 15:18
双肺感染性病变,下叶膨胀不全,胸水,左室大。
作者: 随光逐影    时间: 2009-8-13 15:31
1)两肺感染性病变(右肺下叶肺脓肿可能)。2)双侧胸腔积液,以右侧为甚。
作者: shibing    时间: 2009-8-13 16:53
混合型肺水肿合并感染,肺膨胀不全,胸膜肥厚粘连包裹,同时肺内有陈旧性病灶。注意复查
作者: 深泽交通    时间: 2009-8-13 16:58
肺感染;
作者: LIAOQIANG    时间: 2009-8-13 17:28
考虑双肺感染、右肺下叶肺脓肿伴双侧胸腔积液。
作者: zjzjr    时间: 2009-8-13 17:56
双肺感染性病变,下叶膨胀不全,胸水,
作者: zxl51642    时间: 2009-8-13 19:01
ards,肺感染性病变,右下叶实变,双侧胸腔积液,右侧为著,叶间胸膜积液,右上肺陈旧性tb纤维灶,左室大。
作者: 向武昌    时间: 2009-8-13 19:24
肺炎。
作者: scdlc2008    时间: 2009-8-13 20:38
感染
作者: jinguoji    时间: 2009-8-13 23:51
考虑双肺感染、右肺下叶膨胀不全伴双侧胸腔积液。
作者: qiuleiyu    时间: 2009-8-14 00:06
考虑肺部感染可能大,因临床气促,建议增强除外肺动脉栓塞。
作者: 黑白光影    时间: 2009-8-14 00:19
标题: 回复:ct21577:胸部病变
以下是引用随光逐影在2009-8-13 7:31:00的发言:[br]1)两肺感染性病变(右肺下叶肺脓肿可能)。2)双侧胸腔积液,以右侧为甚。

作者: muzi888    时间: 2009-8-14 17:13
考虑双肺感染、右肺下叶肺脓肿伴双侧胸腔积液,肺水肿。
作者: 奥特之父    时间: 2009-8-14 17:28
考虑:双肺感染、右肺下叶肺脓肿,双侧胸腔积液,肺水肿.请结合临床.
作者: liukai220    时间: 2009-8-16 03:44
双肺感染,右肺下野肺脓肿除外,右侧胸腔积液,肺瘀血
作者: dsl555    时间: 2009-8-16 06:49
考虑双肺感染、右肺下叶膨胀不全伴双侧胸腔积液。
作者: dr.yang    时间: 2013-3-20 07:25
1)两肺感染性病变(右肺下叶肺脓肿可能)。2)双侧胸腔积液,以右侧为甚。




欢迎光临 医影在线 (http://bbs.radida.com/bbs/) Powered by Discuz! X3.2