医影在线

标题: PED2842:女 5岁 鼻咽增殖体肥大? [打印本页]

作者: 阿敏    时间: 2009-8-14 06:56
标题: PED2842:女 5岁 鼻咽增殖体肥大?
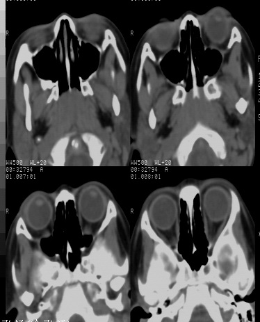
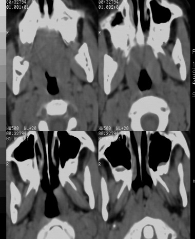
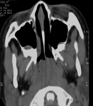
女 5岁 夜间打鼾数年 本人第一次遇到这样的病人,不知是不是鼻咽增殖体肥大?需不需要做手术,请同行给予指导。








[本贴已被 翁志蓬 于 2009-8-14 0:10:30 修改过]

作者: jiangjing    时间: 2009-8-14 19:48
典型的鼻咽增殖体肥大
作者: zxl51642    时间: 2009-8-14 20:04
鼻咽腔顶壁及后壁软组织明显肿胀,厚度约2.5cm,鼻咽腔气道轻度狭窄,加之临床病史,支持腺样体肥大。
作者: 深泽交通    时间: 2009-8-14 23:25
标题: 回复:ped2842:女 5岁 鼻咽增殖体肥大?
以下是引用zxl51642在2009-8-14 12:04:00的发言:[br]鼻咽腔顶壁及后壁软组织明显肿胀,厚度约2.5cm,鼻咽腔气道轻度狭窄,加之临床病史,支持腺样体肥大。

作者: 拾荒者    时间: 2009-8-15 00:27
标题: 回复:ped2842:女 5岁 鼻咽增殖体肥大?
以下是引用zxl51642在2009-8-14 12:04:00的发言:[br]鼻咽腔顶壁及后壁软组织明显肿胀,厚度约2.5cm,鼻咽腔气道轻度狭窄,加之临床病史,支持腺样体肥大。

支持!
还可以用鼻咽侧位片测量鼻咽顶部增殖体的厚度和鼻咽腔的宽度,以两者比率来判断儿童增殖体是否肥大。正常时两者比率≤0.60;当比率为0.61~0.70属中度肥大;比率≥0.71属病理性肥大。
作者: 水蓝色的    时间: 2009-8-15 00:43
支持腺样体肥大。
作者: sunbin    时间: 2009-8-15 01:24
支持鼻咽腺样体肥大。
作者: 杀毒软件    时间: 2009-8-15 02:12
好!
作者: lihongwei    时间: 2009-8-15 03:45
支持鼻咽腺样体肥大。
作者: 黑白光影    时间: 2009-8-15 06:21
支持鼻咽腺样体肥大。
作者: scdlc2008    时间: 2009-8-15 07:40
支持
作者: guanaishengming    时间: 2009-8-15 11:00
典型的鼻咽增殖体肥大
作者: mqagl    时间: 2009-8-15 18:35
能否把测量的经线划一下,具体点
作者: dyqct    时间: 2009-8-15 19:07
支持鼻咽腺样体肥大。
作者: 随光逐影    时间: 2009-8-16 03:25
鼻咽腺样体肥大。
作者: jiang9xiao    时间: 2009-8-16 06:32
结合病史的话,看到鼻烟后顶壁软组织增厚,应该考虑腺样体增大
作者: 看图说话    时间: 2009-8-16 06:59
支持腺样体肥大。
作者: wxbdocter    时间: 2009-8-17 00:09
支持鼻咽腺样体肥大。
作者: 同    时间: 2009-8-17 00:22
支持腺样体肥大。
作者: LIAOQIANG    时间: 2009-8-17 23:11
支持鼻咽腺样体肥大。




欢迎光临 医影在线 (http://bbs.radida.com/bbs/) Powered by Discuz! X3.2