医影在线

标题: CT21609:右乳包块1年,请各位讨论分析一下,乳腺CA, [打印本页]

作者: zoufeixiang    时间: 2009-8-14 23:27
标题: CT21609:右乳包块1年,请各位讨论分析一下,乳腺CA,





































[本贴已被 jiajie 于 2009-8-14 16:07:34 修改过]

作者: 杀毒软件    时间: 2009-8-14 23:55
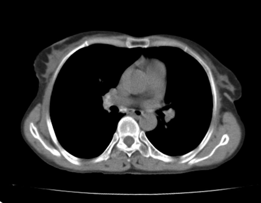
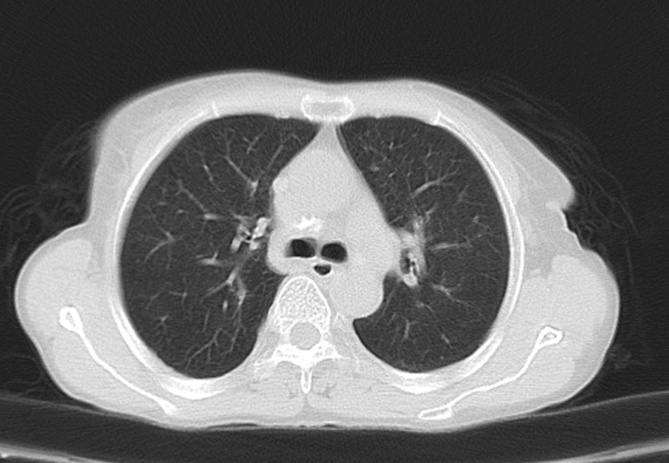
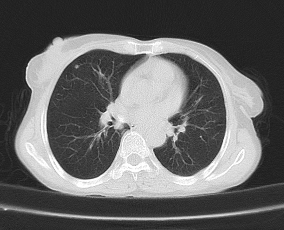
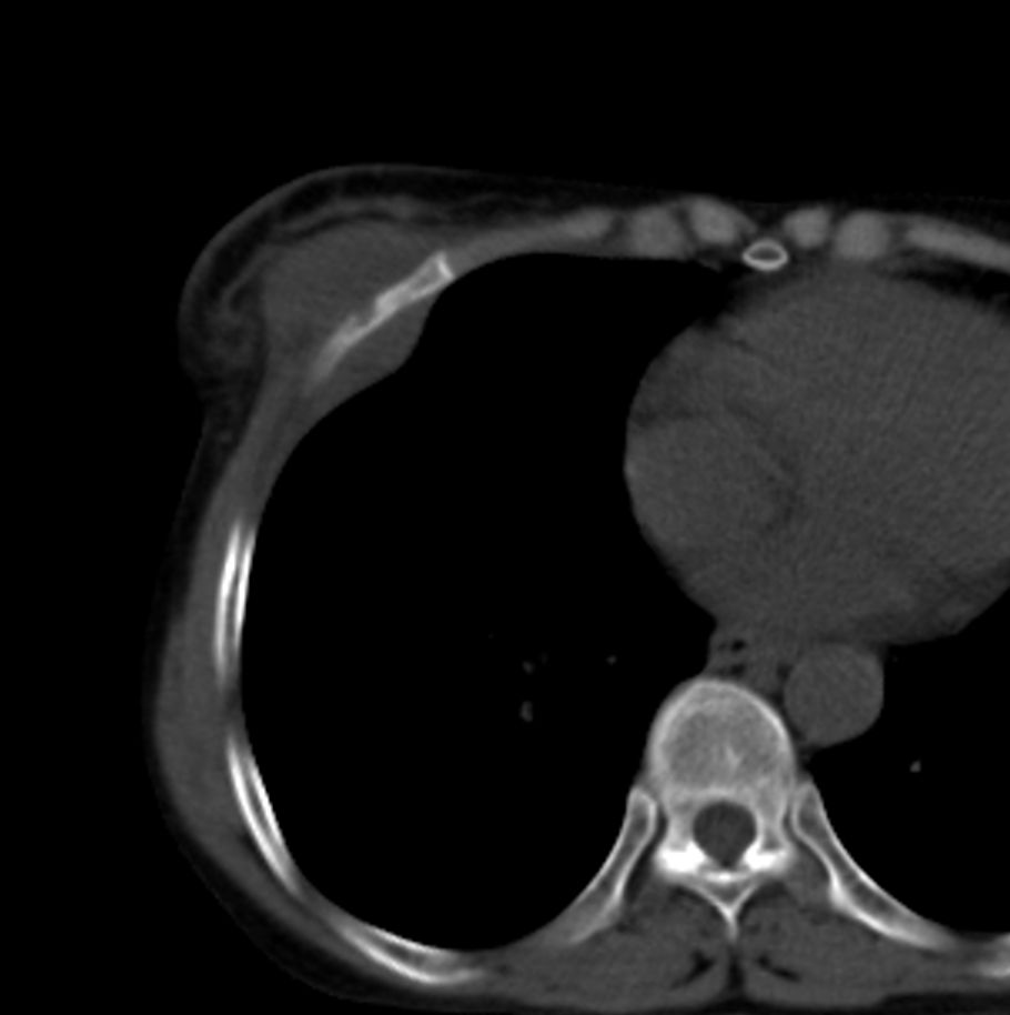
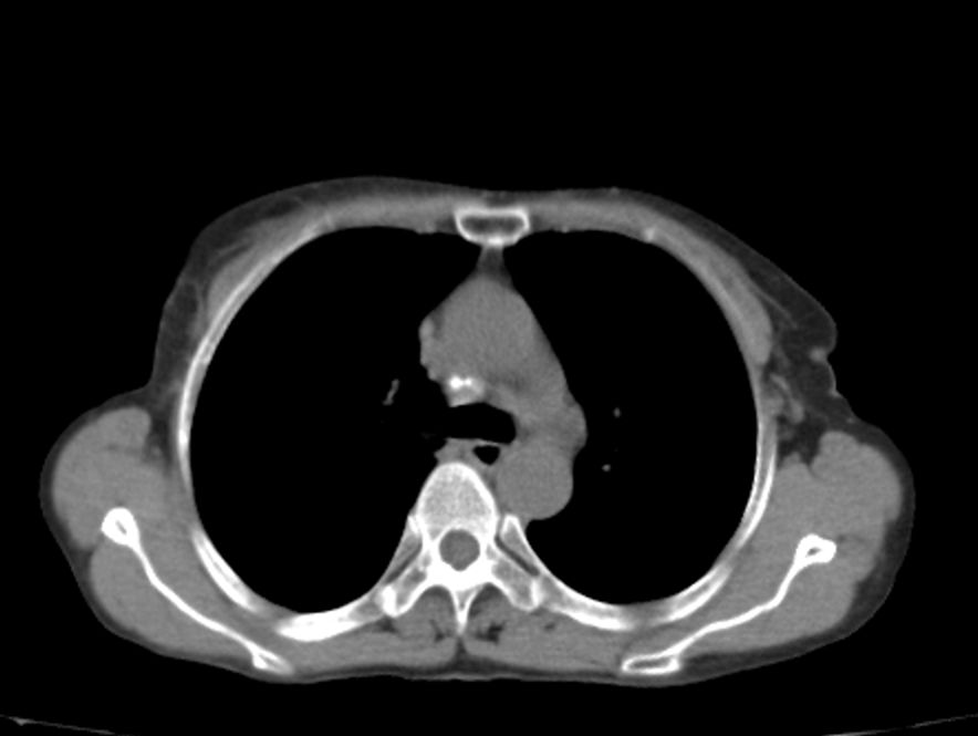
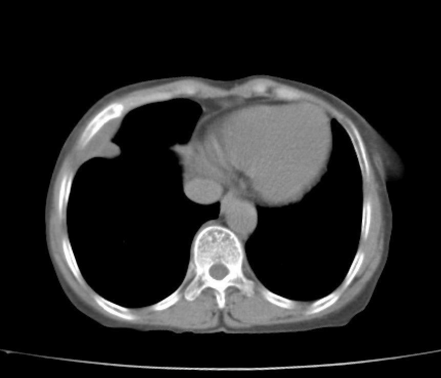
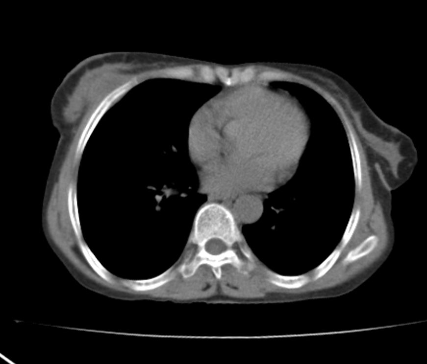
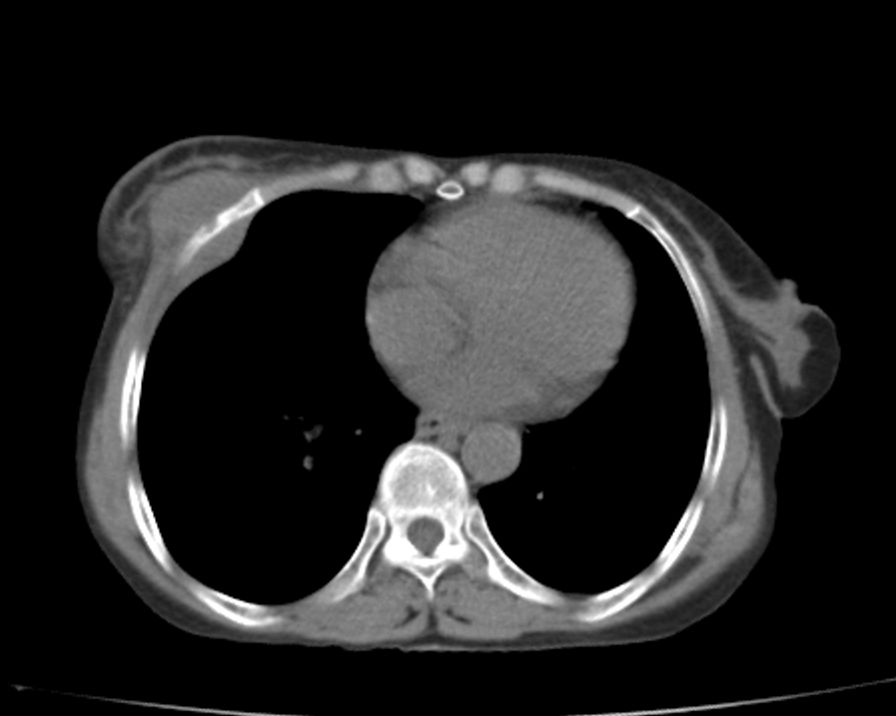
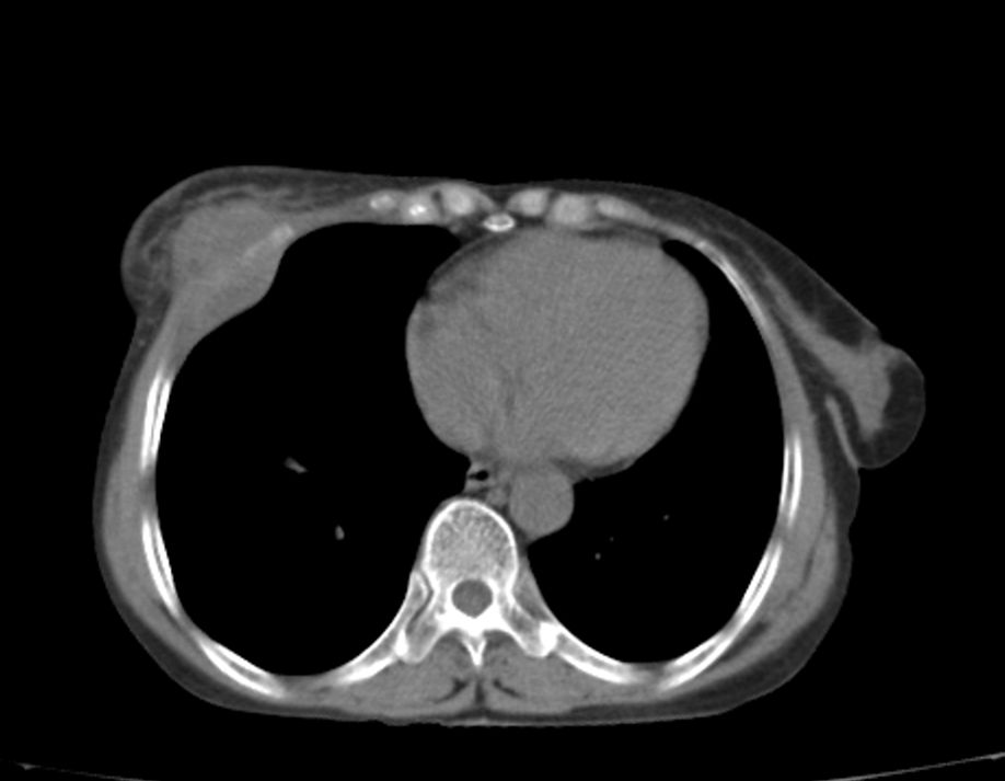
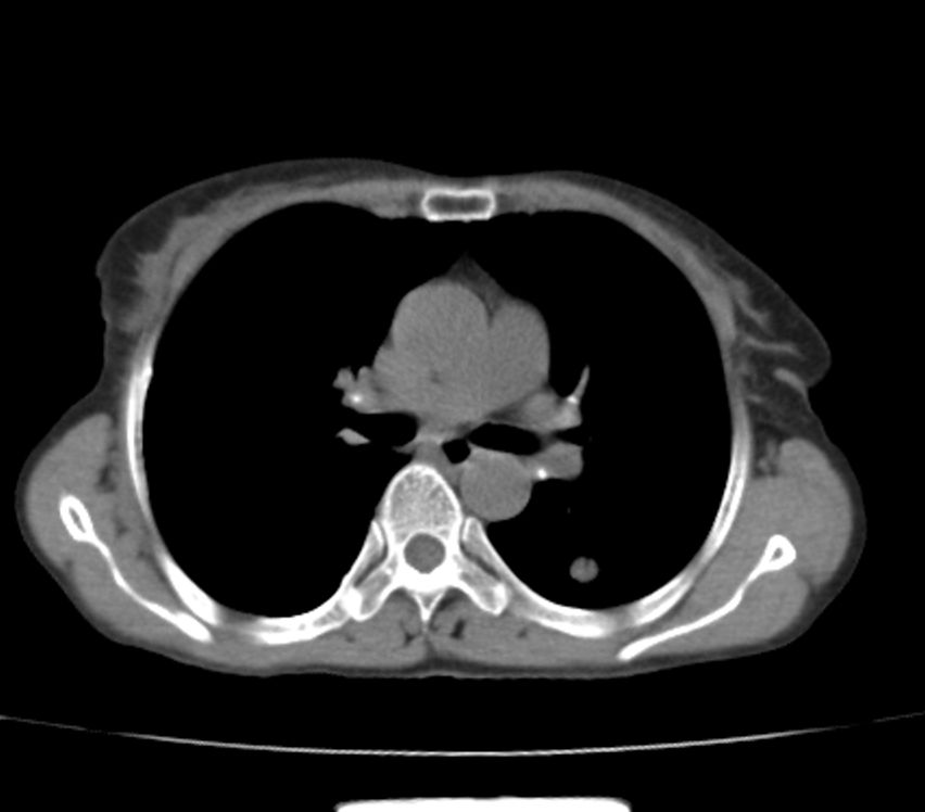
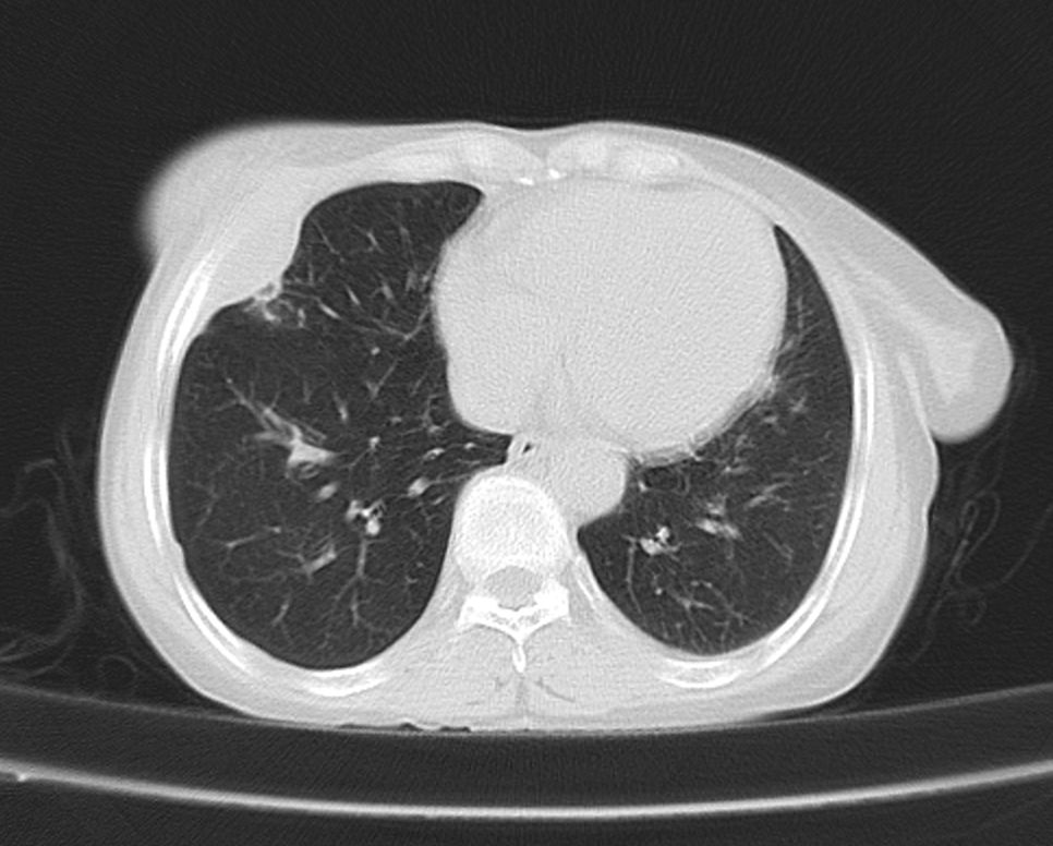
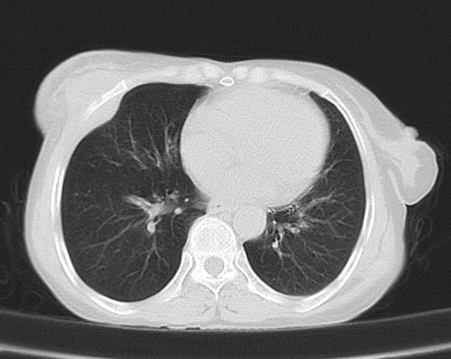
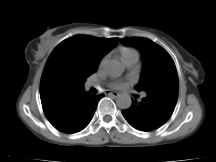
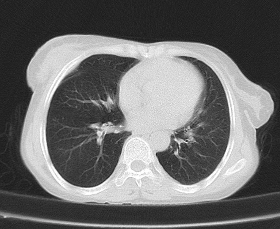
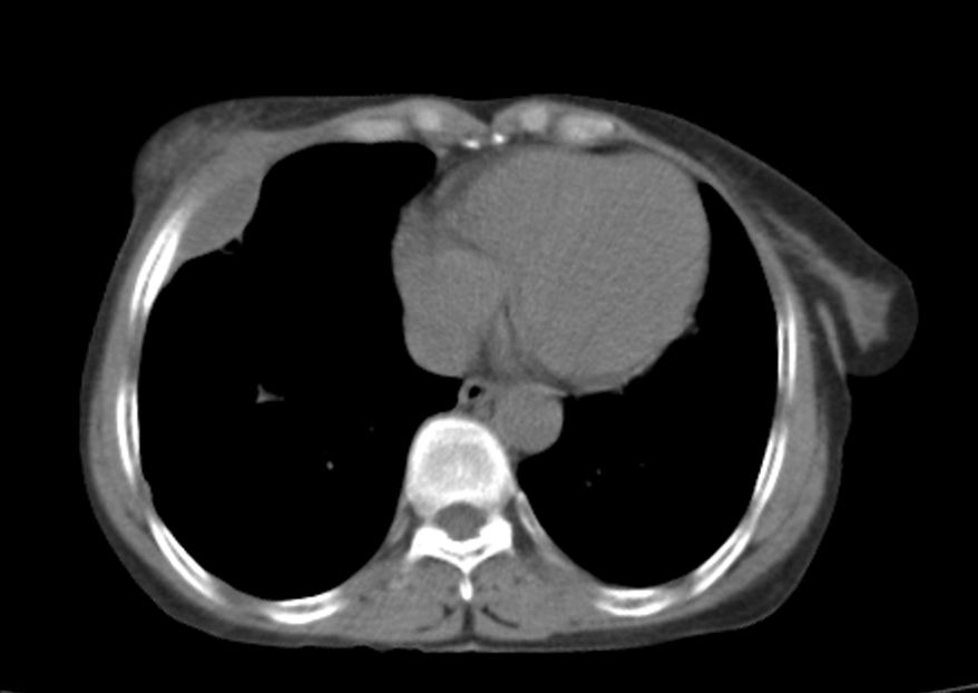
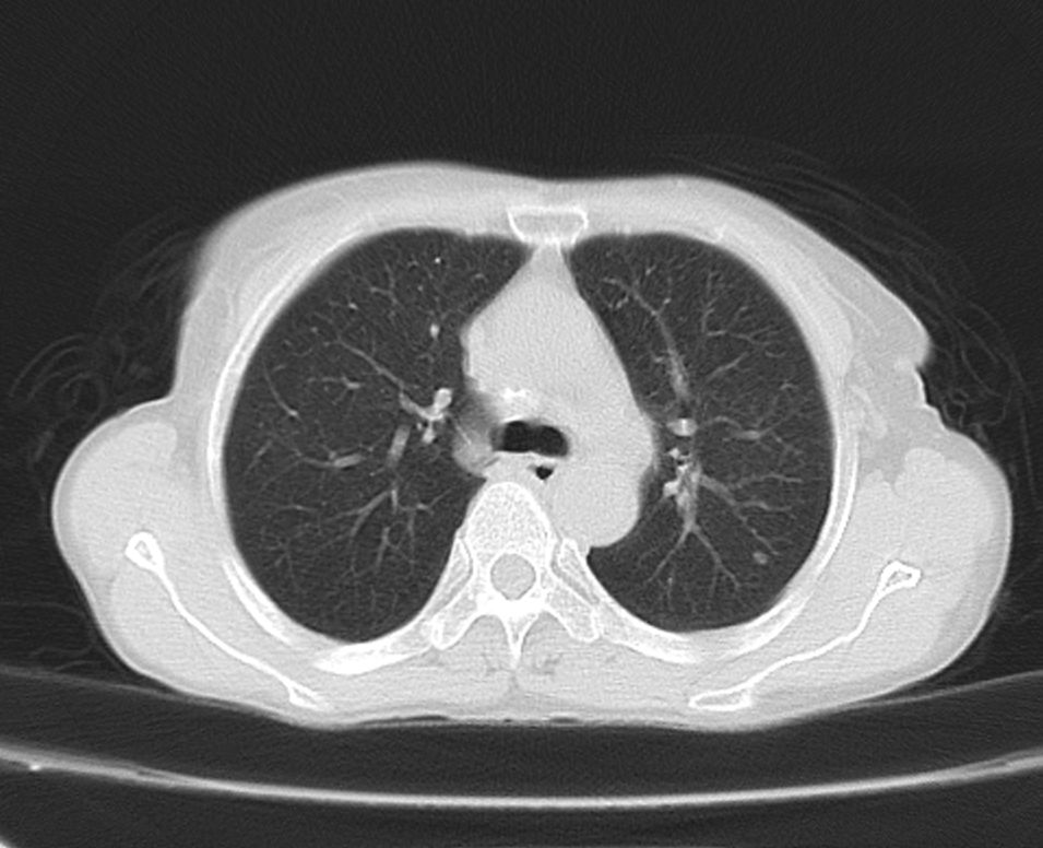
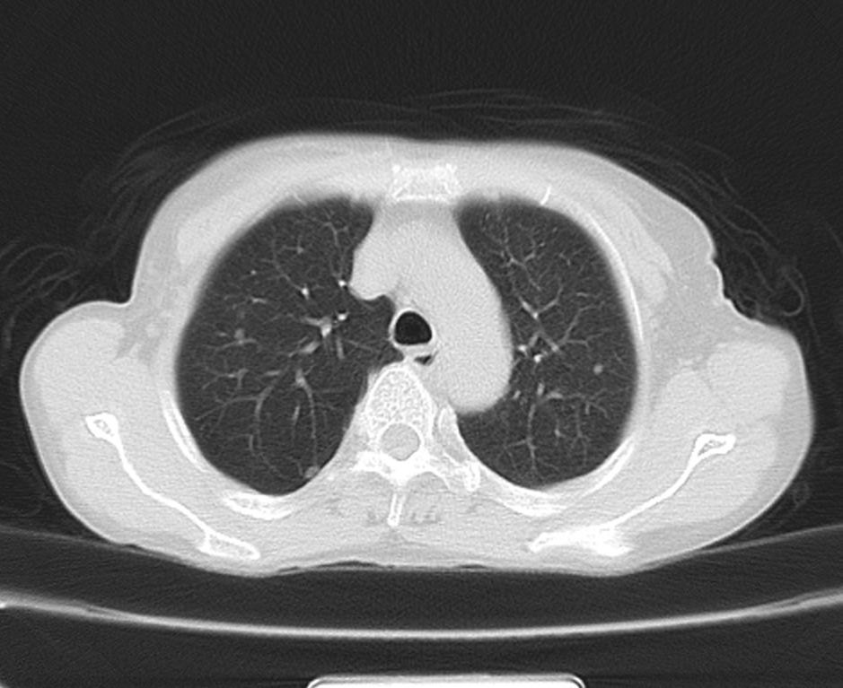
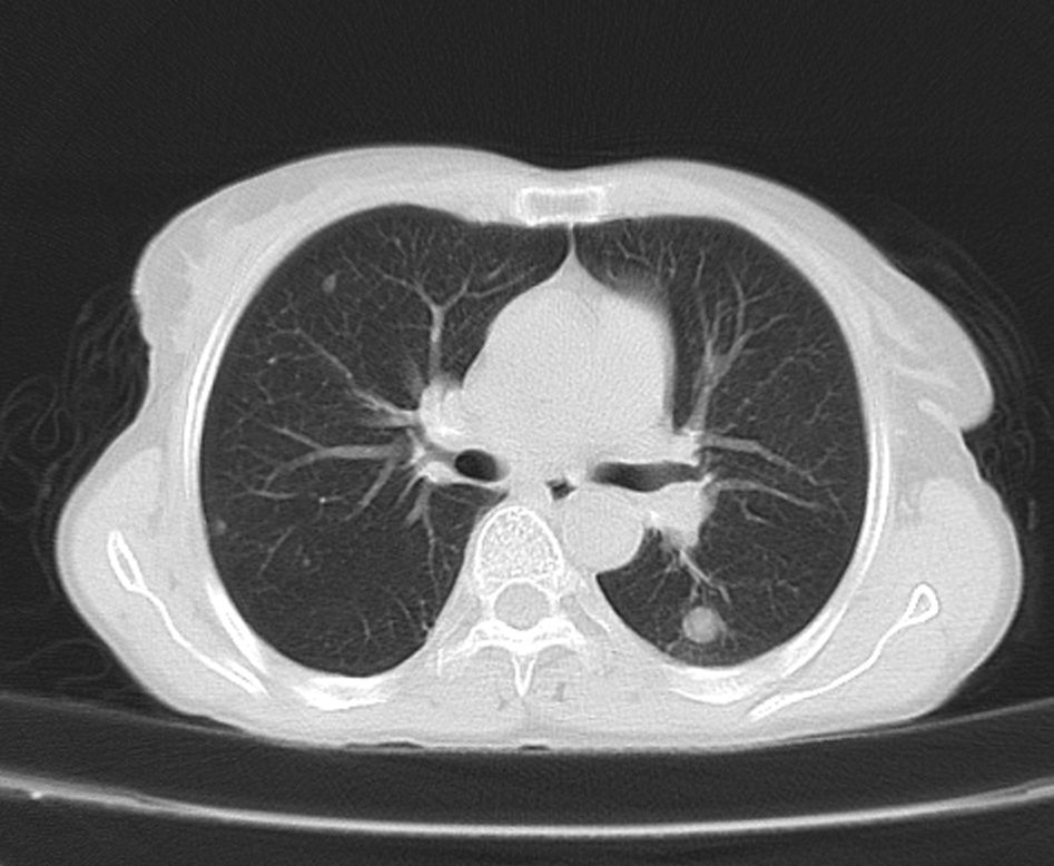
考虑---右乳癌并胸壁、肋骨、双肺转移。
作者: caihq88    时间: 2009-8-15 00:16
同意
作者: weijing    时间: 2009-8-15 00:21
考虑恶性胸膜间壁瘤侵犯胸壁、肋骨、双肺转移
作者: 破釜沉舟    时间: 2009-8-15 00:41
学习了。
作者: 深泽交通    时间: 2009-8-15 00:44
考虑恶性胸膜间皮瘤侵犯局部肋骨,肺局部及左肺转移瘤
作者: sunbin    时间: 2009-8-15 00:45
考虑乳腺癌侵犯肋骨、胸壁及两肺转移可能性大。
作者: zxl51642    时间: 2009-8-15 00:47
右乳癌并胸壁、肋骨、双肺转移。
支持
作者: sdzyy    时间: 2009-8-15 02:31
考虑右侧乳腺癌侵犯肋骨、胸壁及两肺转移。
作者: bmw011    时间: 2009-8-15 02:41
标题: 回复:ct21609:右乳包块1年,请各位讨论分析一下,乳腺ca,
以下是引用杀毒软件在2009-8-14 15:55:00的发言:[br]考虑---右乳癌并胸壁、肋骨、双肺转移。

作者: 帅河马    时间: 2009-8-15 03:34
考虑---右乳癌并胸壁、肋骨、双肺转移。
期待楼主最终结论
作者: 泪洒红尘    时间: 2009-8-15 04:50
支持考虑---右乳癌并胸壁、肋骨、双肺转移。
作者: 拾荒者    时间: 2009-8-15 05:36
考虑右侧乳腺癌侵犯肋骨、胸壁及两肺转移可能。
作者: 随光逐影    时间: 2009-8-15 20:29
考虑右侧乳癌并胸壁、肋骨及双肺多发性转移。
作者: 黑白光影    时间: 2009-8-16 00:00
考虑右侧乳腺癌侵犯肋骨、胸壁及两肺转移。
作者: 影坛    时间: 2009-8-16 00:28
感觉上不像转移。良性结节
作者: jzpgy    时间: 2010-12-3 19:34
考虑右侧胸壁软组织肿瘤,肉瘤可能性大,双肺转移
作者: yuhongjun    时间: 2010-12-3 19:45
右乳癌并胸壁、肋骨、双肺转移。
支持




欢迎光临 医影在线 (http://bbs.radida.com/bbs/) Powered by Discuz! X3.2