医影在线

标题: X6191:结肠——手术后病例,有结果。 [打印本页]

作者: 谨言慎行    时间: 2009-8-15 02:28
标题: X6191:结肠——手术后病例,有结果。
(结果公布:http://www.radida.com/bbs/forum.php?mod=viewthread&tid=57312)
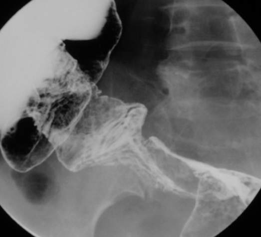
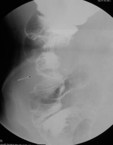
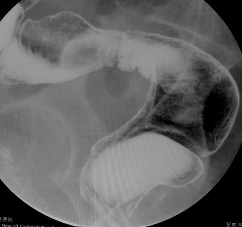
67岁女性,腹痛、腹胀半月余。查:右侧腹部有触痛,可触及肿物。
大家可以和x6045比较一下。x6045病理结果为粘液癌。









[本贴已被 jiajie 于 2009-8-21 6:51:43 修改过]

作者: 帅河马    时间: 2009-8-15 02:31
支持升结肠肿瘤性病变。
作者: 光线    时间: 2009-8-15 03:48
谢谢楼主!
作者: 杀毒软件    时间: 2009-8-15 04:41
常规考虑---结肠癌,不排除诱发肠套叠了。
作者: 黑白光影    时间: 2009-8-15 04:53
标题: 回复:x6191:结肠——手术后病例,有结果。
以下是引用杀毒软件在2009-8-14 20:41:00的发言:[br]常规考虑---结肠癌,不排除诱发肠套叠了。

作者: jinguoji    时间: 2009-8-15 05:56
支持升结肠癌。
作者: 拾荒者    时间: 2009-8-15 06:03
支持考虑升结肠癌。
作者: 看图说话    时间: 2009-8-15 06:48
1、结肠癌,2、淋巴瘤?
作者: dyqct    时间: 2009-8-15 19:29
支持升结肠癌。抓紧时间手术。
作者: jiahui7z    时间: 2009-8-15 21:23
支持并学习。
作者: 捕风捉影321    时间: 2009-8-15 21:36
支持升结肠癌
作者: 苦行者    时间: 2009-8-16 00:45
学习了。
作者: 谨言慎行    时间: 2009-8-16 02:44
谢谢大家讨论。与x6045完全不同。本例手术结果为右侧结肠旁沟及盆腔多发脓肿。术后病人恢复良好,现已出院。
作者: 随光逐影    时间: 2009-8-16 02:58
升结肠癌可能性大。
作者: zhanggenliang    时间: 2009-8-17 03:33
谢谢楼主分享。我也误诊了。想不到是脓肿
作者: 随光逐影    时间: 2009-8-21 15:14
手术见结肠旁沟及盆腔多发脓肿。
——感谢楼主反馈术后结果,学习了。
作者: shibing    时间: 2009-8-21 16:56
谢谢楼主
作者: 黑白光影    时间: 2009-8-21 20:12
谢谢楼主反馈术后结果,学习了。
作者: zxl51642    时间: 2009-8-21 21:01
谢谢楼主反馈术后结果,学习了。
作者: jinguoji    时间: 2009-8-21 22:22
感谢楼主反馈结果,学习了。
作者: 拾荒者    时间: 2009-8-22 06:09
感谢楼主反馈结果!造影见果核征,首先考虑肿瘤,即使误诊也应该这样考虑。
作者: 泪洒红尘    时间: 2009-8-22 18:16
i学习中。
作者: 影像孺子牛    时间: 2009-8-22 21:40
感谢楼主结果反馈,学习了。
作者: 帅河马    时间: 2009-8-23 20:21
学习了
作者: dr.yang    时间: 2009-9-22 06:19
学习了。
作者: shibing    时间: 2014-8-28 09:55
病理结果为粘液癌




欢迎光临 医影在线 (http://bbs.radida.com/bbs/) Powered by Discuz! X3.2