医影在线

标题: PED2843: CT-23675 F 4Y 大家看看颅内有问题没。 [打印本页]

作者: 黑白总动员    时间: 2009-8-16 20:49
标题: PED2843: CT-23675 F 4Y 大家看看颅内有问题没。












[本贴已被 jiajie 于 2009-8-16 21:03:25 修改过]

作者: xrw    时间: 2009-8-16 21:08
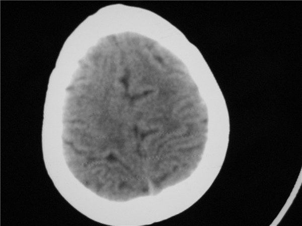
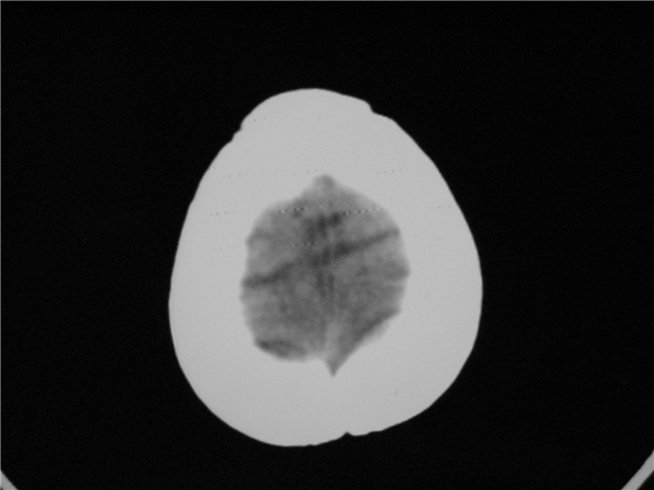
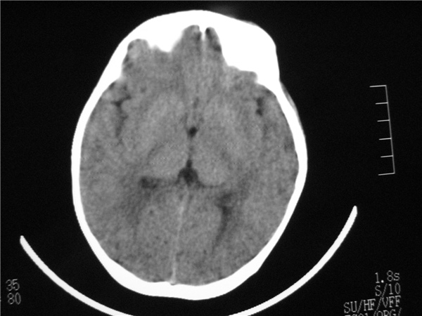
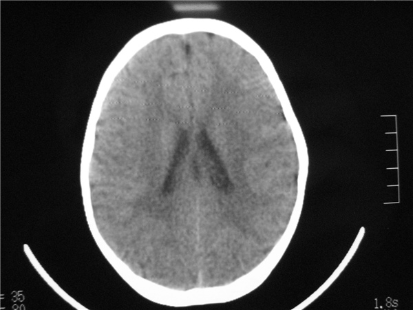
未见明显异常。
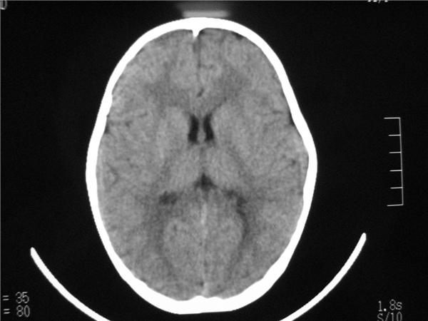
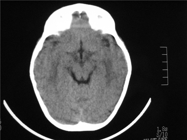
作者: luobingquan    时间: 2009-8-16 22:37
四脑室扩大,三脑室稍扩大上移
胼胝体发育不全??
作者: guanaishengming    时间: 2009-8-16 22:38
未见明显异常。
作者: 深泽交通    时间: 2009-8-16 23:14
六脑室
作者: zxl51642    时间: 2009-8-16 23:19
标题: 回复:ct-23675 f 4y 大家看看颅内有问题没。
以下是引用guanaishengming在2009-8-16 14:38:00的发言:[br]未见明显异常。

作者: 卜一    时间: 2009-8-16 23:29
未见明显异常。
作者: 初学者LANMEI    时间: 2009-8-16 23:58
四脑室扩大,,六脑室
作者: dyqct    时间: 2009-8-17 00:07
颅脑ct平扫未见异常。
作者: 同    时间: 2009-8-17 00:11
未见明显异常。
作者: yxhymx    时间: 2009-8-17 00:57
未见异常。
作者: 随光逐影    时间: 2009-8-17 01:31
颅脑ct轴位平扫颅内未见明确异常。
作者: 宇宙CT    时间: 2009-8-17 01:51
未见明显异常。
作者: 泪洒红尘    时间: 2009-8-17 04:15
未见明显异常。
作者: 黄毛小子    时间: 2009-8-17 04:28
未见异常
作者: zjzjr    时间: 2009-8-17 04:32
未见明显异常。
作者: 黑白光影    时间: 2009-8-17 05:17
未见异常。
作者: LIAOQIANG    时间: 2009-8-17 23:06
未见明显异常。
作者: 拾荒者    时间: 2009-8-18 03:52
未见明显异常!
作者: sunbin    时间: 2009-8-19 03:46
未见明显异常。
作者: 看图说话    时间: 2009-8-19 18:47
四脑室扩大,密度降低,图像的问题?建议mr扫描。
作者: jiahui7z    时间: 2009-8-21 01:13
未见明显异常。




欢迎光临 医影在线 (http://bbs.radida.com/bbs/) Powered by Discuz! X3.2