医影在线

标题: CT21643:男,42岁,车祸伤后左髋关节疼痛剧烈1小时。 [打印本页]

作者: wpf    时间: 2009-8-16 20:56
标题: CT21643:男,42岁,车祸伤后左髋关节疼痛剧烈1小时。
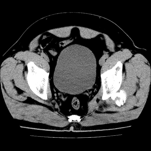
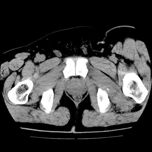
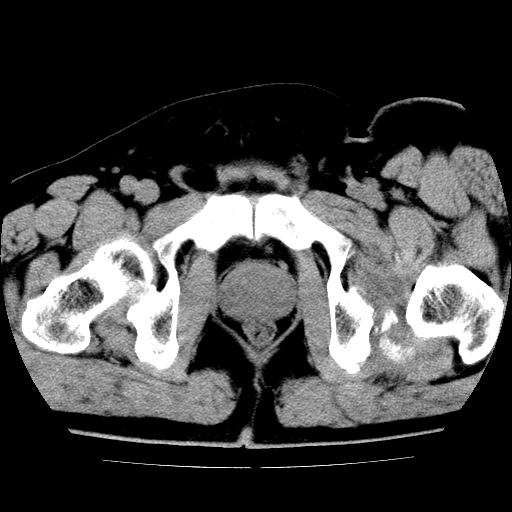
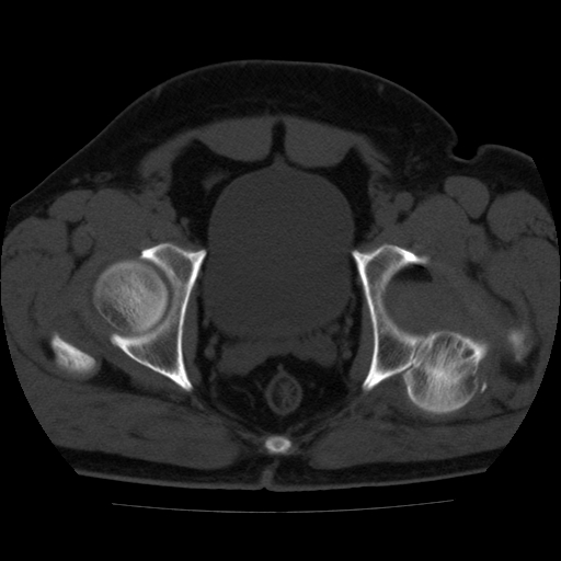
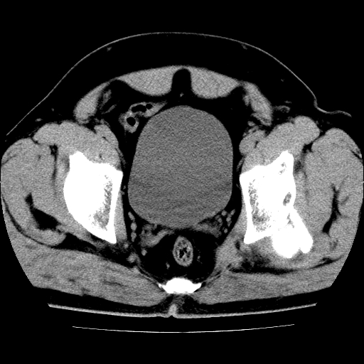
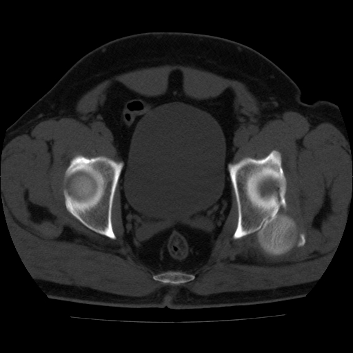
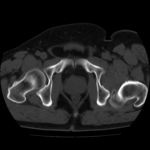
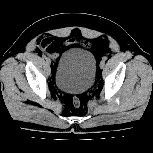
男,42岁,车祸伤后左髋关节疼痛剧烈1小时。



































[本贴已被 jiajie 于 2009-8-16 20:53:17 修改过]

作者: xrw    时间: 2009-8-16 21:20
左髋关节脱位并髋臼骨折,左髋关节积血。
作者: zbp537    时间: 2009-8-16 21:29
脱位并撕脱骨折,关节腔内积血。
作者: guanaishengming    时间: 2009-8-16 22:39
左髋关节后脱位并髋臼骨折,左髋关节积血
作者: 深泽交通    时间: 2009-8-16 23:08
标题: 回复:男,42岁,车祸伤后左髋关节疼痛剧烈1小时。
以下是引用xrw在2009-8-16 13:20:00的发言:[br]左髋关节脱位并髋臼骨折,左髋关节积血。

作者: zxl51642    时间: 2009-8-16 23:15
左髋关节后脱位,大小转子皮质撕脱骨折,关节腔“脂血症”,左侧盆底少量积血,左侧髋臼邻关节囊肿。
作者: 卜一    时间: 2009-8-16 23:28
左髋关节后脱位,大小转子皮质撕脱骨折伴左髋关节积血。
作者: dyqct    时间: 2009-8-17 00:10
左髋关节后脱位并髋臼骨折、股骨头前方骨折,左髋关节积血 。
作者: 同    时间: 2009-8-17 00:13
标题: 回复:男,42岁,车祸伤后左髋关节疼痛剧烈1小时。
以下是引用guanaishengming在2009-8-16 14:39:00的发言:[br]左髋关节后脱位并髋臼骨折,左髋关节积血

作者: 513ytb    时间: 2009-8-17 00:46
左髋关节脱位并髋臼骨折,左髋关节积血。
作者: 随光逐影    时间: 2009-8-17 01:35
左髋关节(股骨头)后脱位,并髋臼及股骨头骨折,左髋关节积血。
作者: yxhymx    时间: 2009-8-17 01:40
支持!!!学习。
作者: 宇宙CT    时间: 2009-8-17 01:56
左髋关节后脱位并髋臼骨折、股骨头前方骨折,左髋关节积血 。
作者: 泪洒红尘    时间: 2009-8-17 04:17
左髋关节后脱位并髋臼骨折、股骨头前方骨折,左髋关节积血 。
作者: zjzjr    时间: 2009-8-17 04:31
左髋关节后脱位并髋臼骨折、股骨头前方骨折,左髋关节积血
作者: 风吹过    时间: 2009-8-17 05:24
支持8楼老师
作者: 胡宇    时间: 2009-8-17 06:13
左髋关节脱位并髋臼骨折,左髋关节积血。
作者: dsl555    时间: 2009-8-17 06:16
左髋关节后脱位并髋臼后缘骨折、股骨头前方骨折,左髋关节积血 。我遇到过一例。
作者: 影像孺子牛    时间: 2009-8-17 06:20
左髋关节后脱位并髋臼骨折、股骨头前方骨折,左髋关节积血 。
作者: 艳阳天    时间: 2009-8-17 06:27
左髋关节后脱位并髋臼撕脱骨折,关了腔积血
作者: 健力宝    时间: 2009-8-17 07:49
左髋关节脱位并髋臼骨折,左髋关节积血
作者: LIAOQIANG    时间: 2009-8-17 23:35
左髋关节后脱位并髋臼骨折,左髋关节积血。
作者: 黑白光影    时间: 2009-8-18 05:30
支持大家。
作者: jinguoji    时间: 2009-8-19 22:14
左髋关节后脱位并髋臼骨折、股骨头前方骨折,左髋关节积血 。




欢迎光临 医影在线 (http://bbs.radida.com/bbs/) Powered by Discuz! X3.2