医影在线

标题: X6200:肺部 [打印本页]

作者: wangxingjian    时间: 2009-8-17 00:34
标题: X6200:肺部
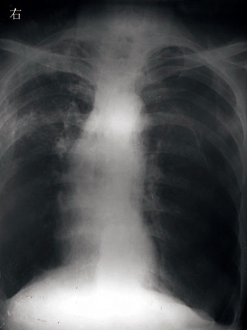
患者:男  60岁  咳嗽,胸痛呼吸困难10天。既往慢支炎肺气肿。


[本贴已被 jiajie 于 2009-8-16 21:07:31 修改过]

作者: 随光逐影    时间: 2009-8-17 01:13
1)右上继发性肺结核。2)慢性支气管炎,肺气肿。3)左侧气胸。
作者: 宇宙CT    时间: 2009-8-17 02:26
1)右上继发性肺结核。2)慢性支气管炎,肺气肿。3)左侧气胸。
作者: zxl51642    时间: 2009-8-17 02:26
标题: 回复:肺部
以下是引用随光逐影在2009-8-16 17:13:00的发言:[br]1)右上继发性肺结核。2)慢性支气管炎,肺气肿。3)左侧气胸。

支持,左侧肋膈角也变钝。片子质量太差。
作者: 江广1996    时间: 2009-8-17 02:34
1)右上继发性肺结核。2)慢性支气管炎,肺气肿。
左气胸吗?片子太难看了。这样的片子还是少发点。
作者: zhanggenliang    时间: 2009-8-17 03:07
右上肺继发性结核。慢支肺气肿。左肺是否气胸看不清,条件太高了。双肋膈角变钝意义应该不大
作者: 泪洒红尘    时间: 2009-8-17 04:06
右上继发性肺结核。
作者: ukagent2007    时间: 2009-8-17 04:57
1)右上继发性肺结核。2)慢性支气管炎,肺气肿。3)左侧气胸。
作者: 胡宇    时间: 2009-8-17 06:33
1)右上继发性肺结核。2)慢性支气管炎,肺气肿。3)左侧气胸。
作者: jinguoji    时间: 2009-8-17 06:52
这样的片子还能用于诊断吗?应该重拍的!
作者: 于老爷子    时间: 2009-8-17 13:14
1右上继发性肺结核。2)慢性支气管炎,肺气肿
作者: 阿敏    时间: 2009-8-17 23:29
右上肺陈旧性肺结核,慢支炎、肺气肿,左侧气胸,片子质量差,最好重照。
作者: shibing    时间: 2009-8-18 00:10
这样的片子还能用于诊断吗?重拍
作者: wangyong1977    时间: 2009-8-18 04:26
这样的片子还能用于诊断吗?应该重拍的!  
   
支持
作者: zhangkening    时间: 2009-8-18 04:35
支持2楼的意见。
作者: 拾荒者    时间: 2009-8-18 04:59
同意二楼分析,片子是太黑了。
作者: 黑白光影    时间: 2009-8-18 06:51
1)右上继发性肺结核。2)慢性支气管炎,肺气肿。3)左侧气胸。
作者: dr.yang    时间: 2009-8-18 07:05
标题: 回复:x6200:肺部
以下是引用随光逐影在2009-8-16 17:13:00的发言:[br]1)右上继发性肺结核。2)慢性支气管炎,肺气肿。3)左侧气胸。

作者: youyili    时间: 2009-8-18 07:37
1楼老师这样的片子不能用于诊断 必须重拍 这也是对患者和我们自己负责
作者: jiahui7z    时间: 2009-8-18 07:44
同意大家的看法
作者: 非诚勿扰007    时间: 2009-8-18 18:32
1)右上继发性肺结核。2)慢性支气管炎,肺气肿。3)左侧气胸。
作者: 帅河马    时间: 2009-8-19 03:01
1)右上继发性肺结核。2)慢性支气管炎,肺气肿。3)左侧气胸。
作者: hexue    时间: 2009-8-19 08:10
1)右上继发性肺结核。2)慢性支气管炎,肺气肿。3)左侧气胸。
作者: ljwdlove    时间: 2009-8-25 22:31
右上肺结核。
慢支、肺气肿。
左侧气胸!建议重拍!@!!
作者: shibing    时间: 2014-8-18 17:02
1)右上继发性肺结核。2)慢性支气管炎,肺气肿。3)左侧气胸。




欢迎光临 医影在线 (http://bbs.radida.com/bbs/) Powered by Discuz! X3.2