


















































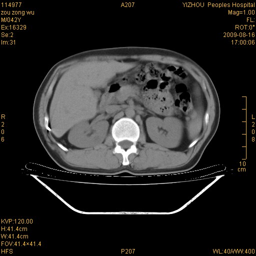
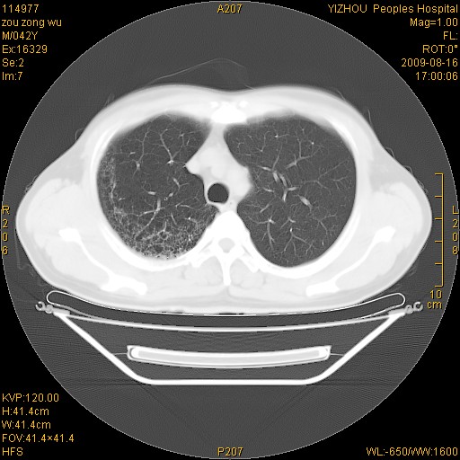
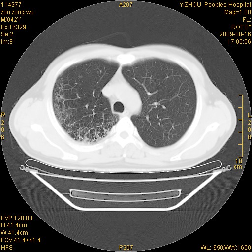
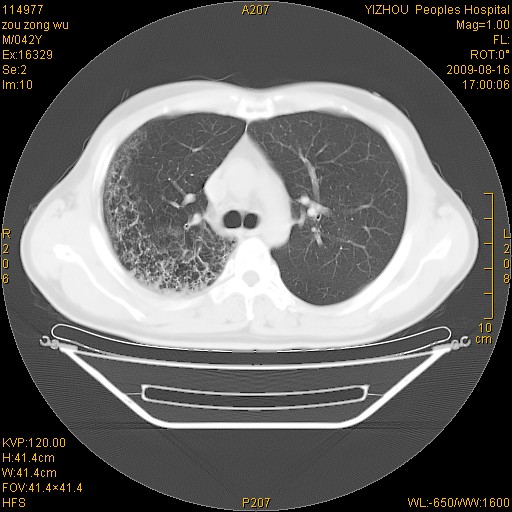
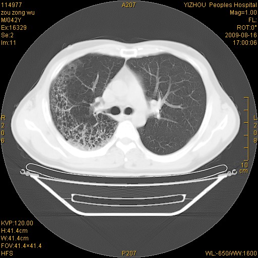
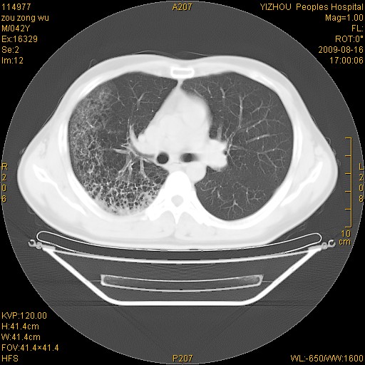
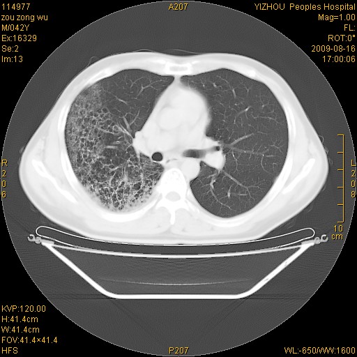
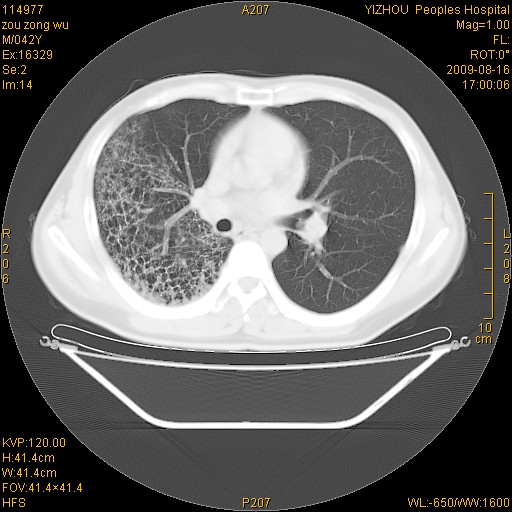
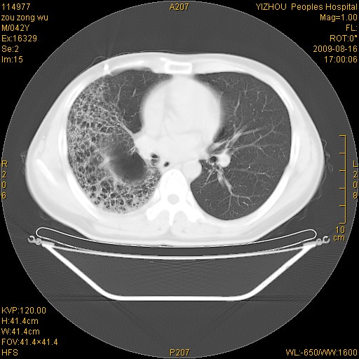
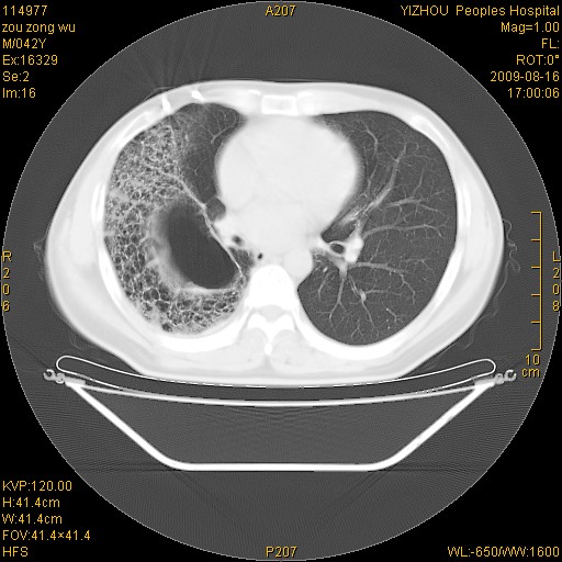
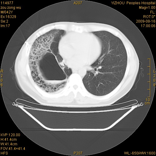
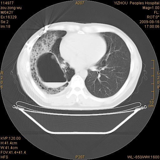
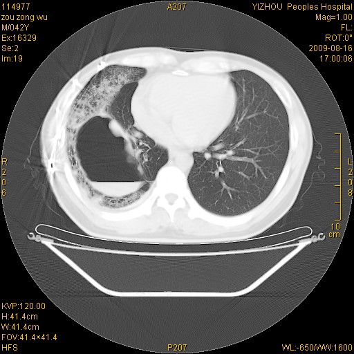
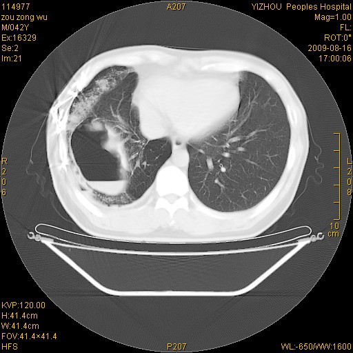
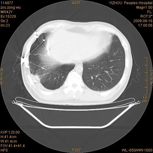
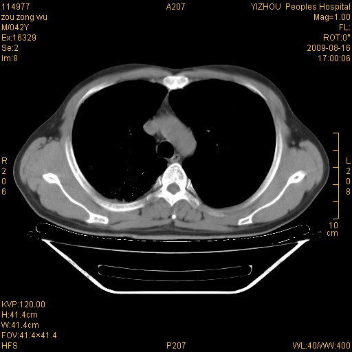
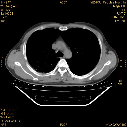
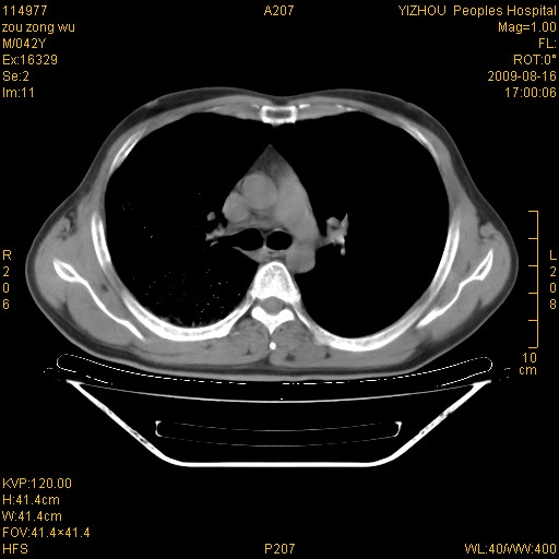
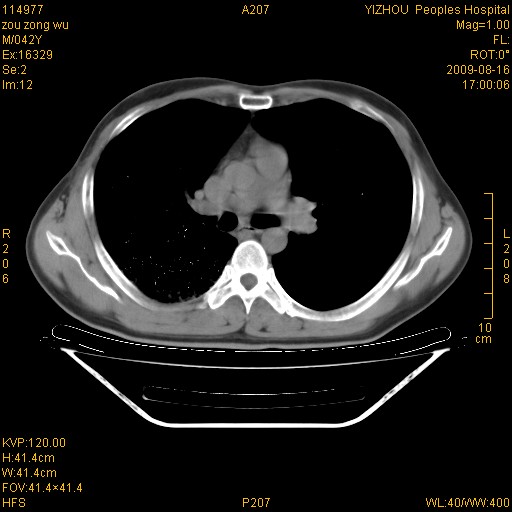
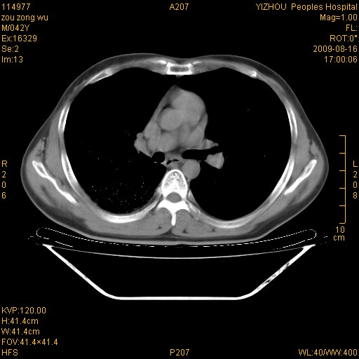
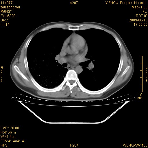
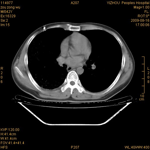
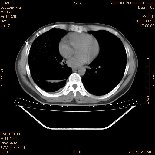
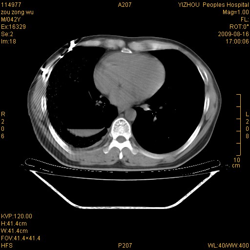
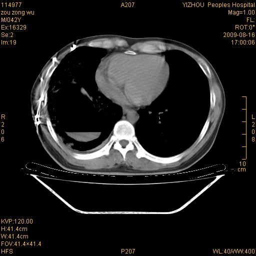
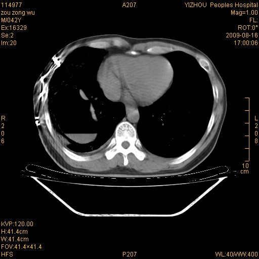
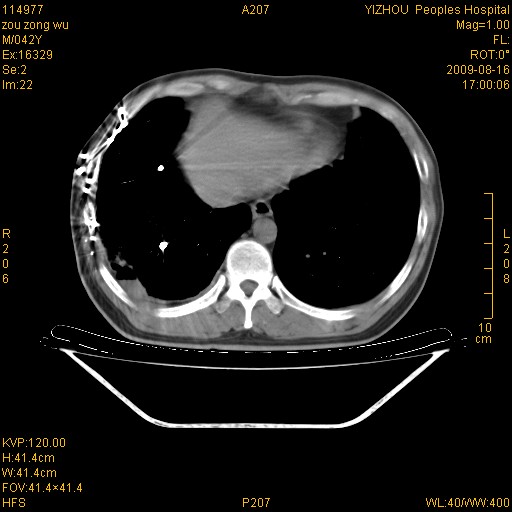
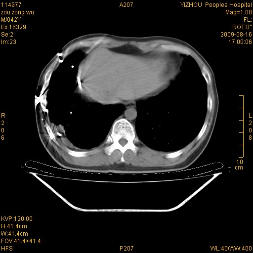
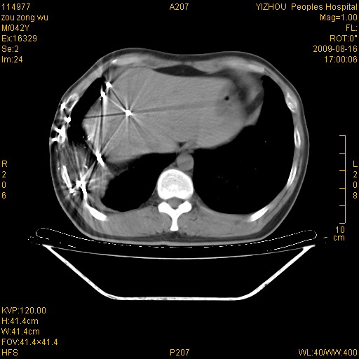
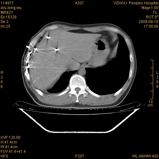
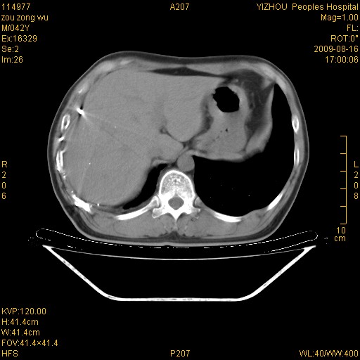
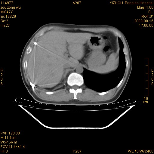
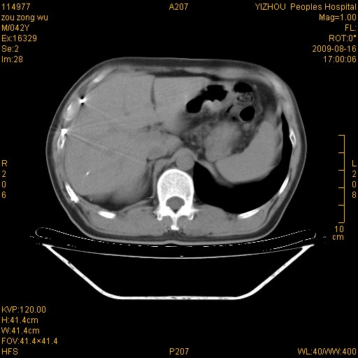
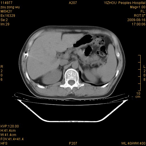
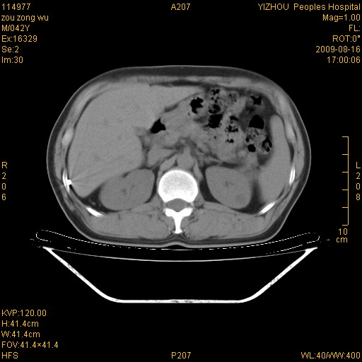
以下是引用zjzjr在2009-8-17 10:42:00的发言:[br]右侧间质性肺炎伴纤维化,右肺下叶肺囊肿伴感染(不除外外伤后引起),右肺野及胸壁软组织\\肝内见多发斑点状,中枪了吧.右侧胸膜肥厚\\粘连.
以下是引用zjzjr在2009-8-17 10:42:00的发言:[br]右侧间质性肺炎伴纤维化,右肺下叶肺囊肿伴感染(不除外外伤后引起),右肺野及胸壁软组织\\肝内见多发斑点状,中枪了吧.右侧胸膜肥厚\\粘连.
| 欢迎光临 医影在线 (http://bbs.radida.com/bbs/) | Powered by Discuz! X3.2 |