医影在线

标题: CT21651:M,67Y,肝癌9月,介入术后3月。 [打印本页]

作者: zxl51642    时间: 2009-8-17 18:07
标题: CT21651:M,67Y,肝癌9月,介入术后3月。
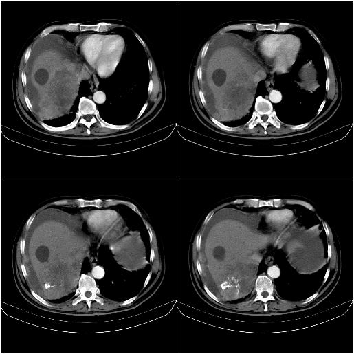
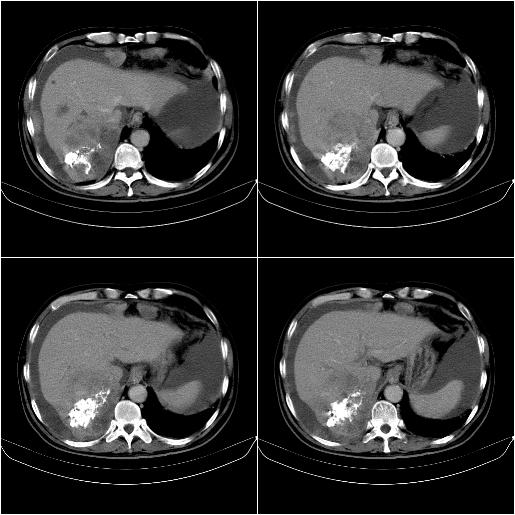
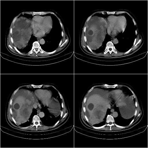
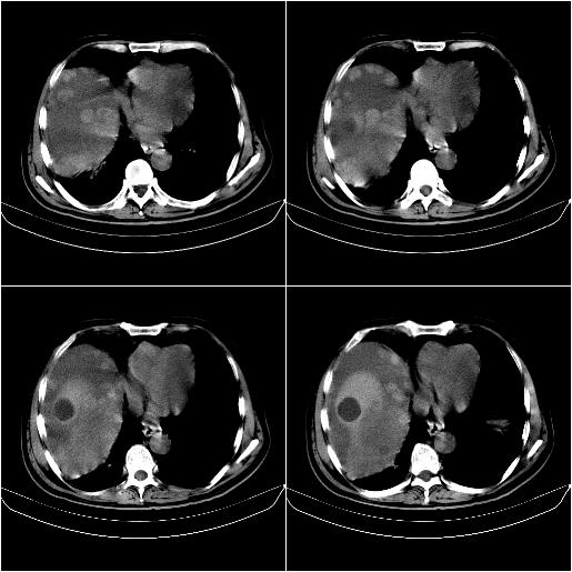
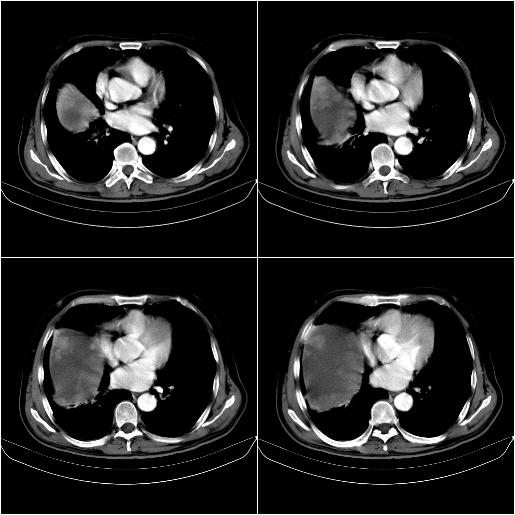
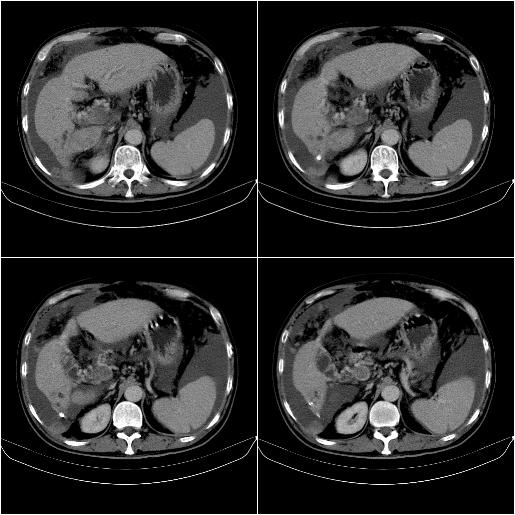
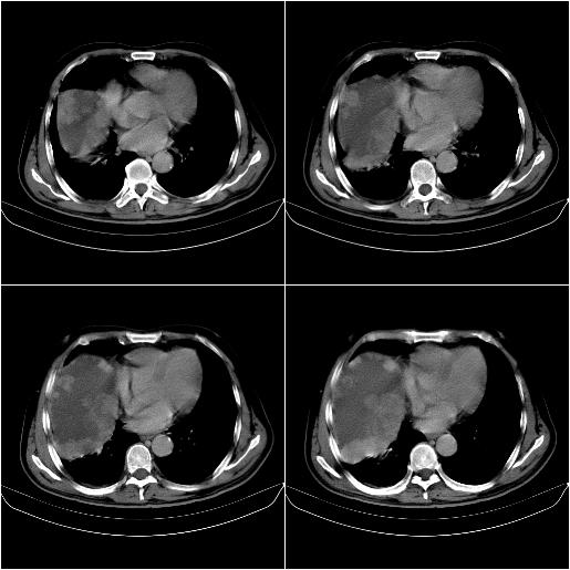
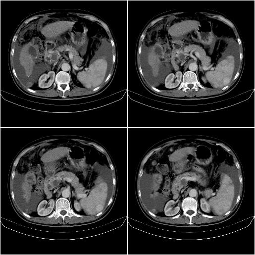
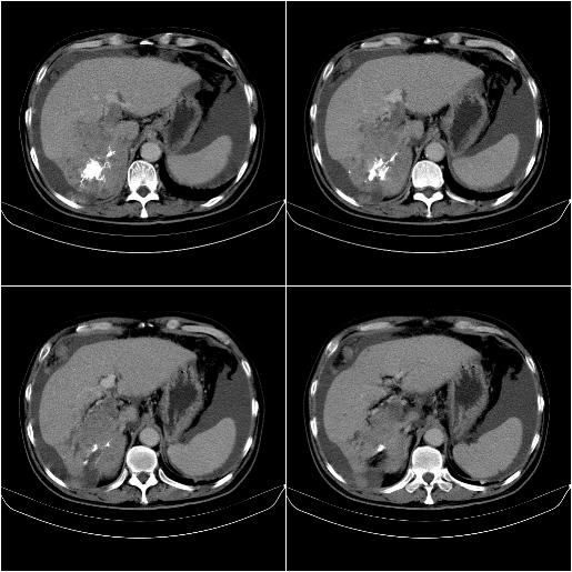
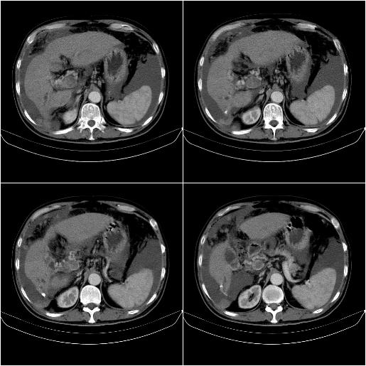
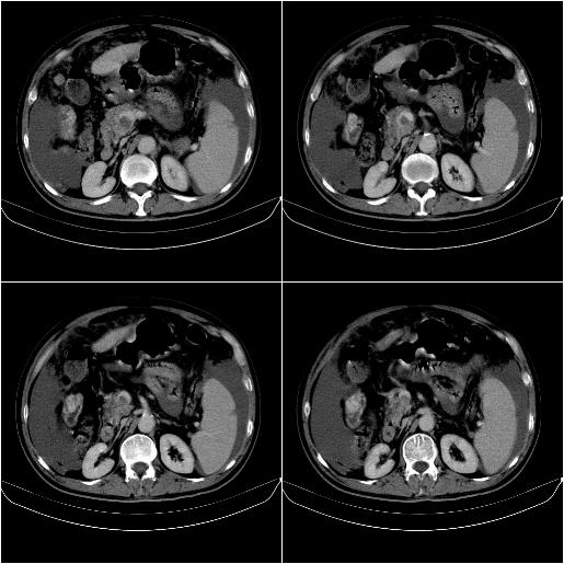
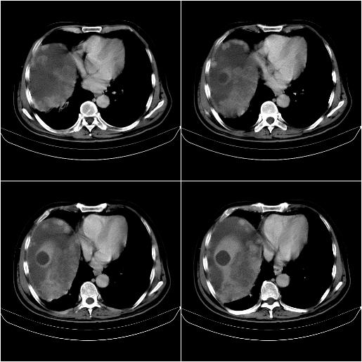
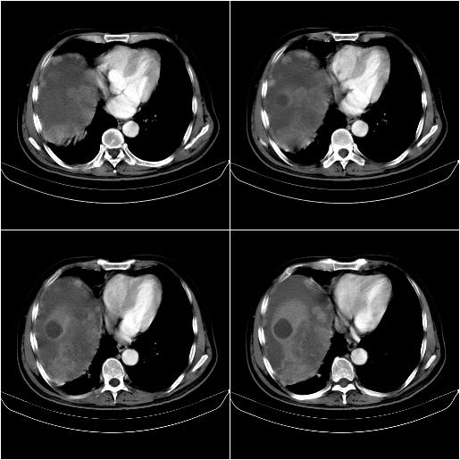
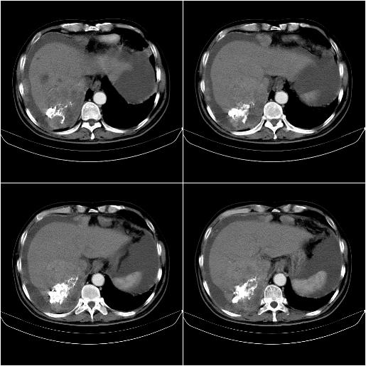
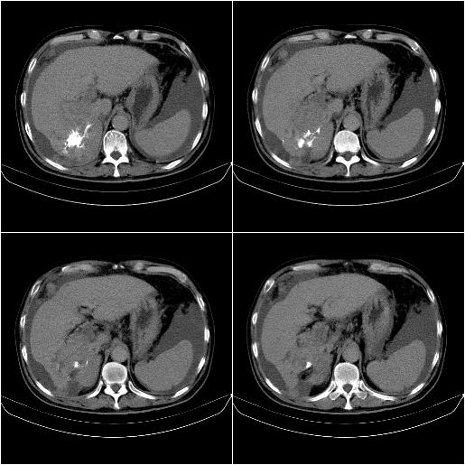
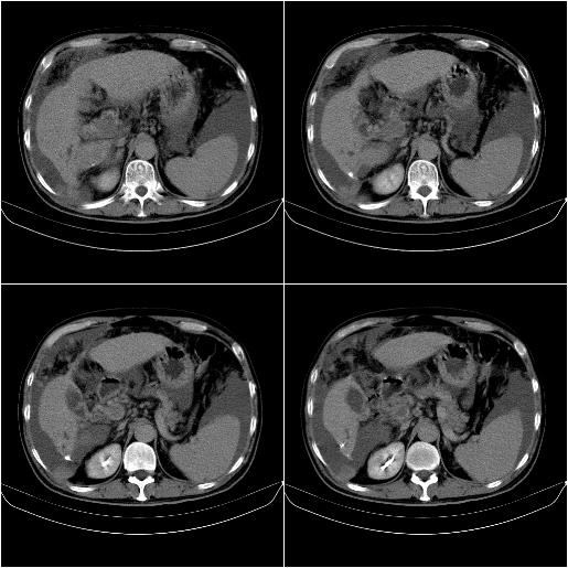
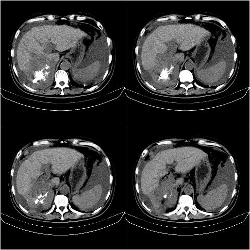
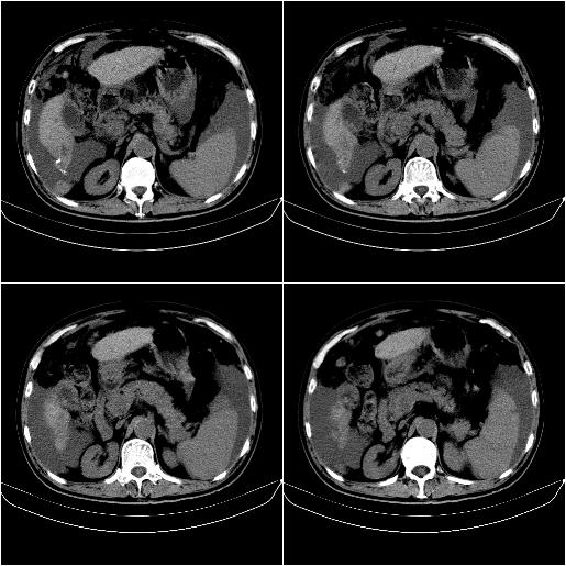
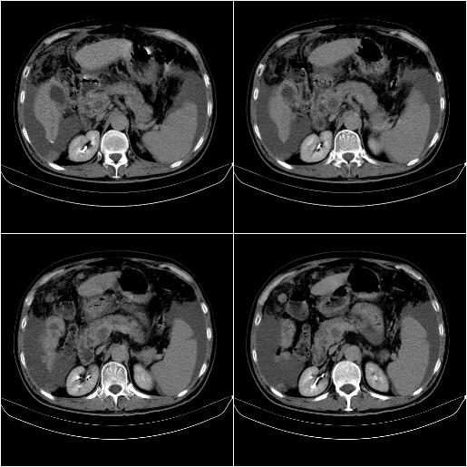
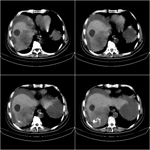
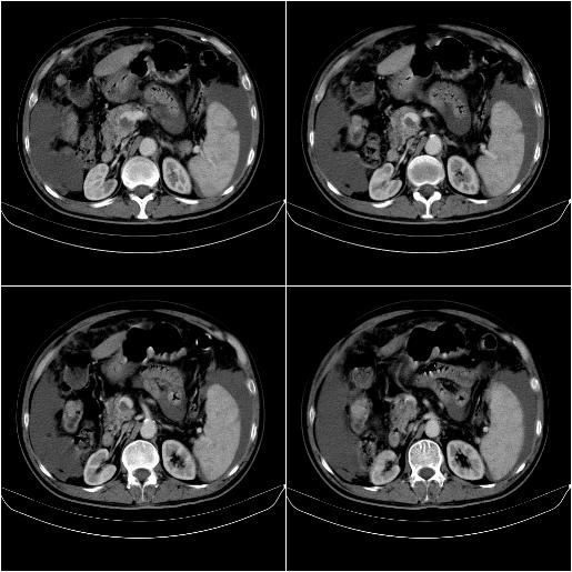
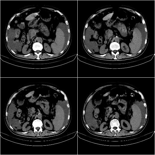
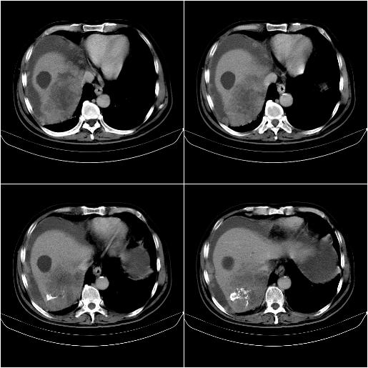
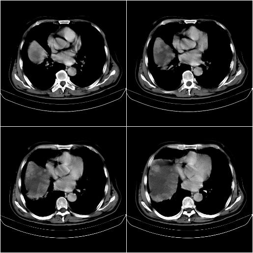
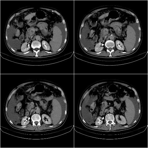
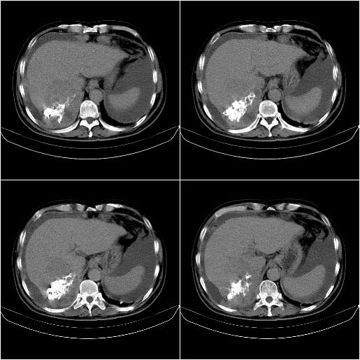
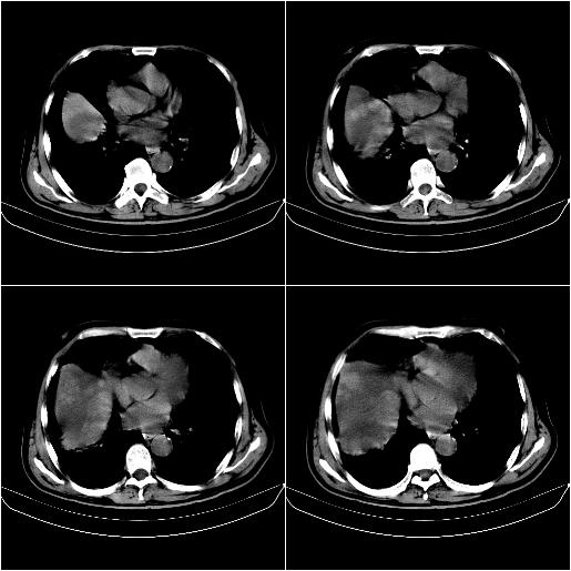
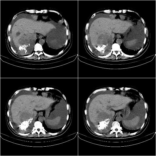
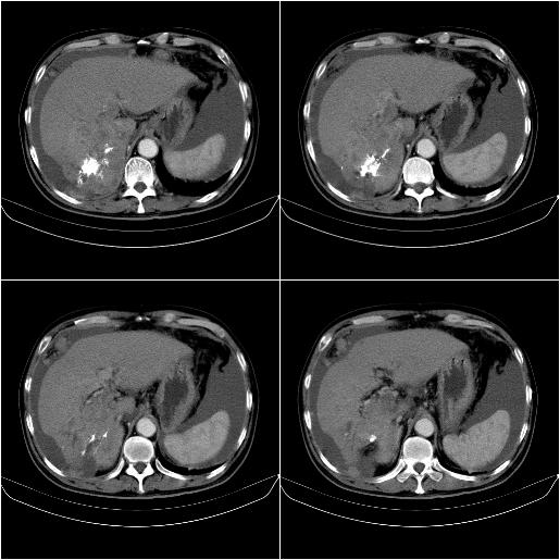
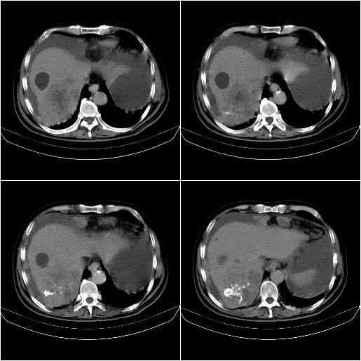
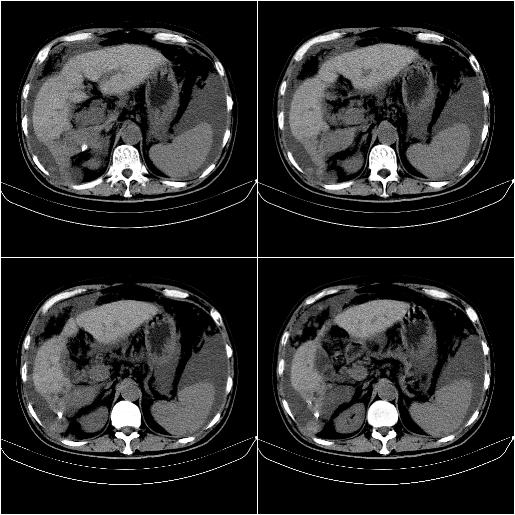
m,67y,肝癌9月,介入术后3月。现腹胀、纳差、腹泻。

































[本贴已被 jiajie 于 2009-8-17 10:24:12 修改过]

作者: zjzjr    时间: 2009-8-17 18:32
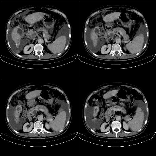
门静脉有很大的瘤栓,膈肌及膜膜有转移,不用再做了.
作者: LIAOQIANG    时间: 2009-8-17 18:49
情况不好,门静脉癌栓、腹膜转移。
作者: yxhymx    时间: 2009-8-17 20:38
脾脏转移。。。
作者: guanaishengming    时间: 2009-8-17 21:02
情况不好
作者: 随光逐影    时间: 2009-8-17 22:05
1)肝癌介入治疗术后碘油沉积不良。2)门静脉瘤栓形成,腹膜广泛性转移。3)肝硬化,脾大,腹水。4)慢性胆囊炎。
作者: 黑白光影    时间: 2009-8-18 05:48
标题: 回复:ct21651:m,67y,肝癌9月,介入术后3月。
以下是引用随光逐影在2009-8-17 14:05:00的发言:[br]1)肝癌介入治疗术后碘油沉积不良。2)门静脉瘤栓形成,腹膜广泛性转移。3)肝硬化,脾大,腹水。4)慢性胆囊炎。

作者: yangyang2000    时间: 2009-8-18 18:07
情况不好,门静脉癌栓、腹膜转移
作者: jinguoji    时间: 2009-9-1 17:02
标题: 回复:ct21651:m,67y,肝癌9月,介入术后3月。
以下是引用随光逐影在2009-8-17 14:05:00的发言:[br]1)肝癌介入治疗术后碘油沉积不良。2)门静脉瘤栓形成,腹膜广泛性转移。3)肝硬化,脾大,腹水。4)慢性胆囊炎。





欢迎光临 医影在线 (http://bbs.radida.com/bbs/) Powered by Discuz! X3.2