




















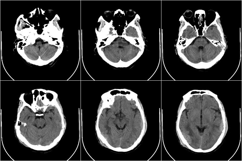
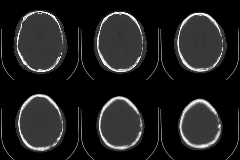
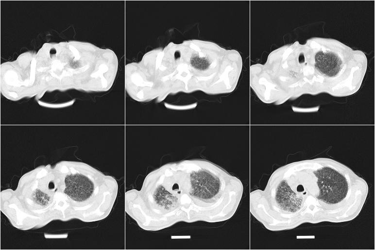
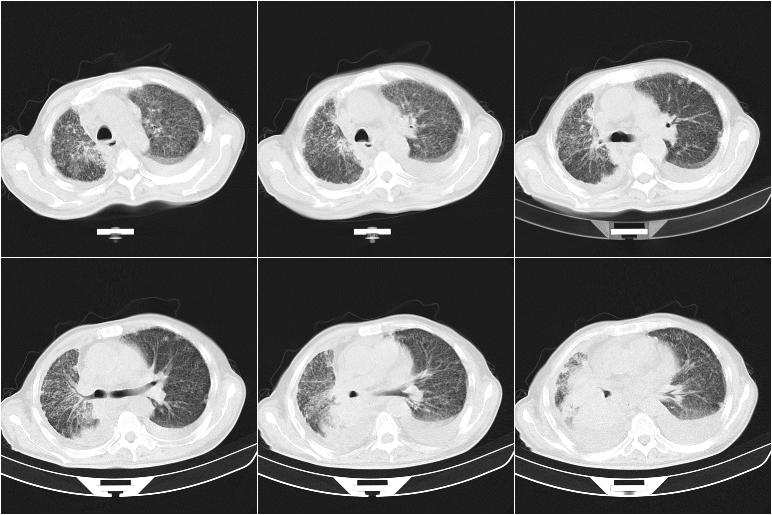
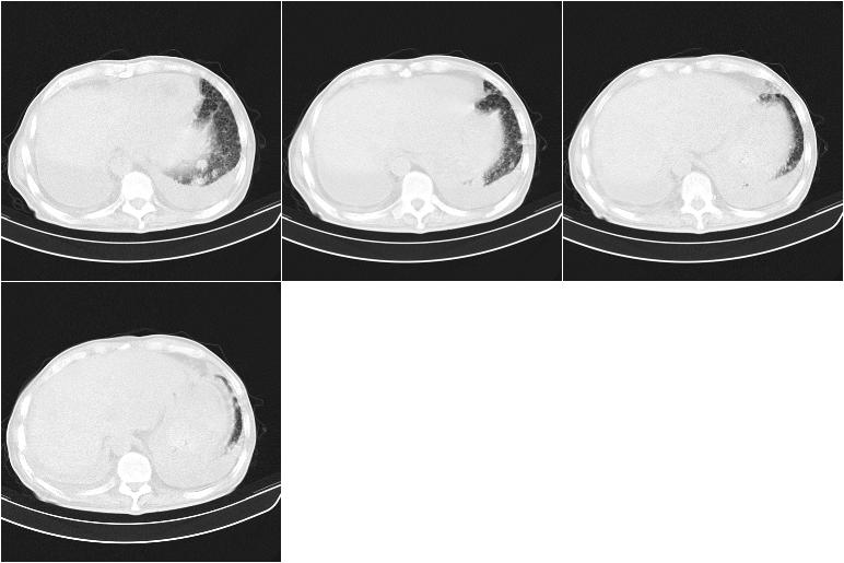
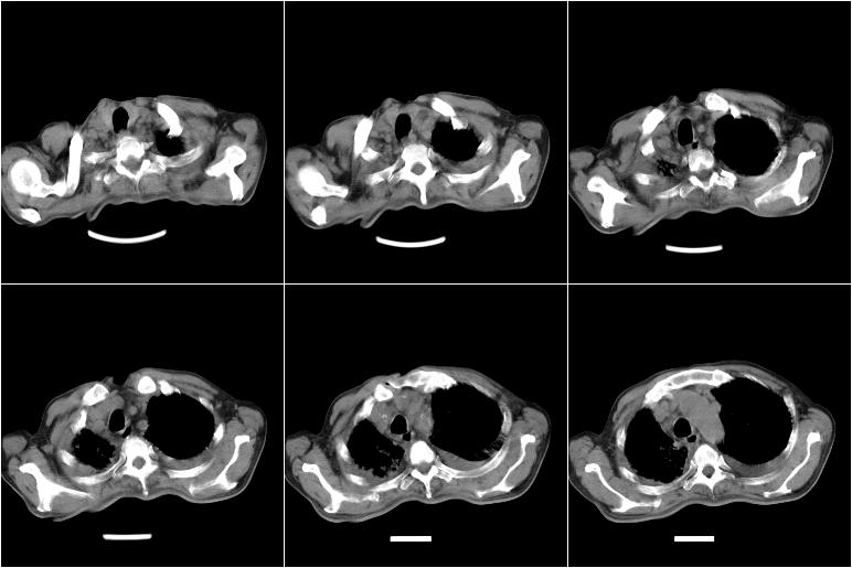
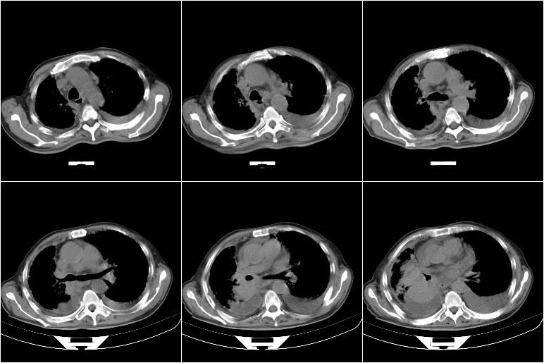
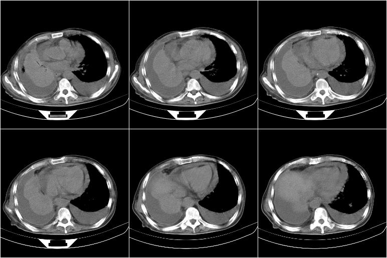
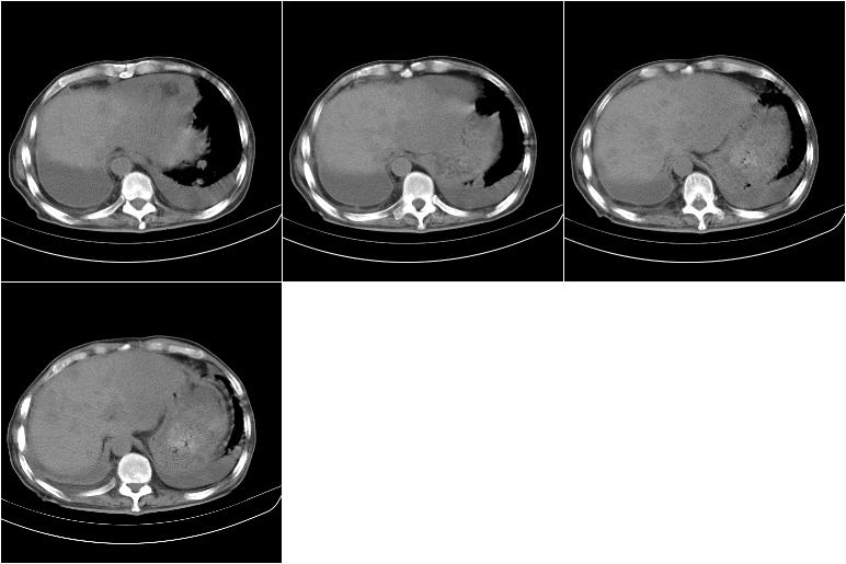
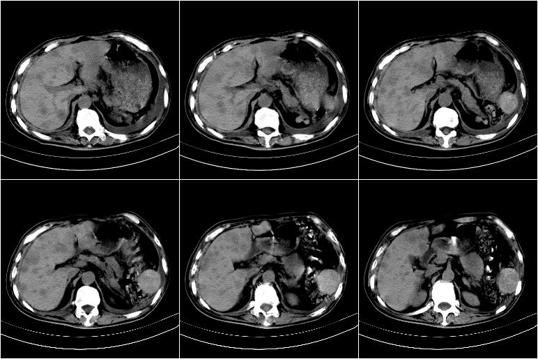
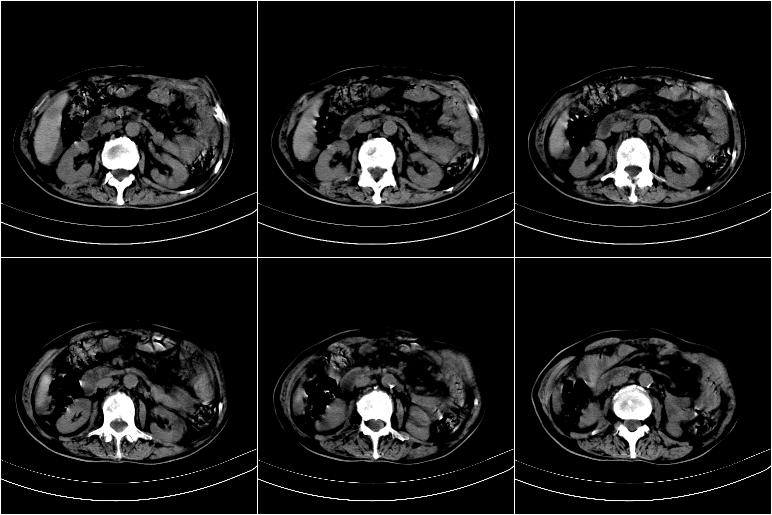
以下是引用边生丽在2009-8-17 11:43:00的发言:[br][br] [br] 右肺中心型癌伴右肺下叶不张、双肺转移并癌性淋巴管炎、心包和双侧胸腔积淮(转移?)、脑转移、肝转移、多骨(颅骨、椎骨)转移。 [br] [br]
以下是引用奥特之父在2009-4-20 19:58:00的发言:[br]支持胰腺癌并转移性病变。
以下是引用随光逐影在2009-8-17 14:09:00的发言:[br]支持 右肺中央型癌伴右肺下叶肺不张,纵隔淋巴结转移,双肺转移并癌性淋巴管炎,心包和双侧胸腔积液,脑转移、肝转移、多发性骨(颅骨、脊椎)转移。
| 欢迎光临 医影在线 (http://bbs.radida.com/bbs/) | Powered by Discuz! X3.2 |