医影在线

标题: MRI2408:脑内病变 [打印本页]

作者: ZHXL1127    时间: 2009-8-18 06:53
标题: MRI2408:脑内病变
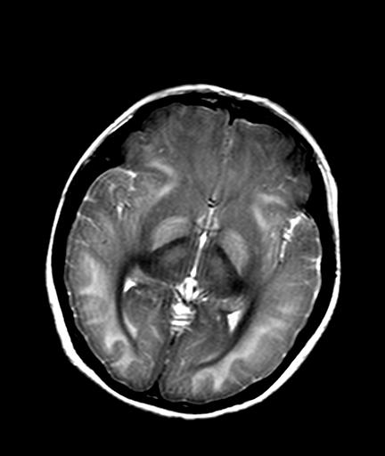
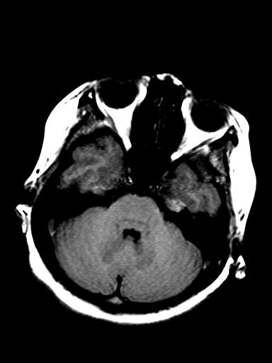
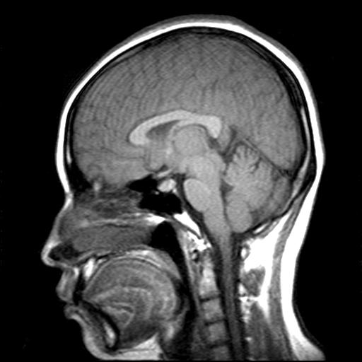
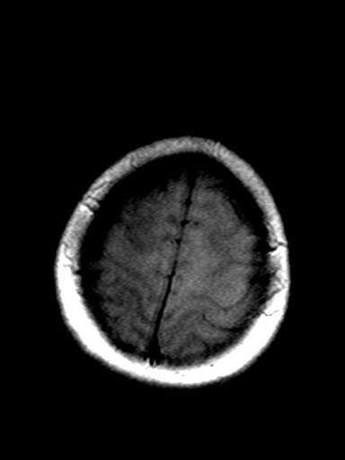
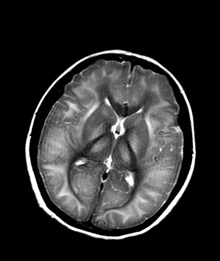
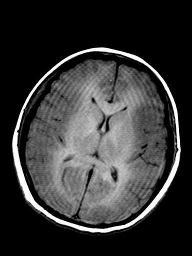
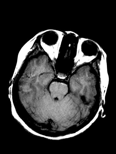
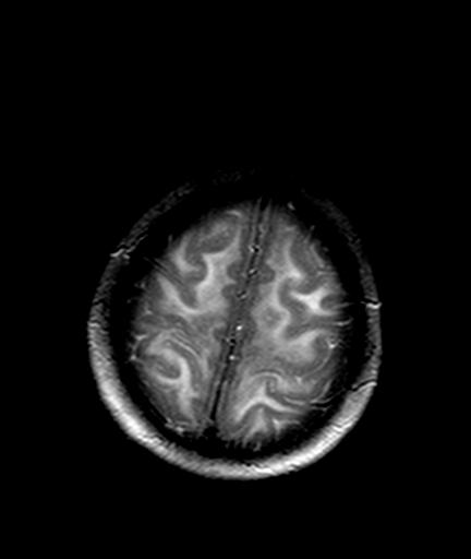
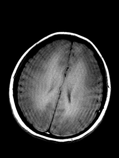
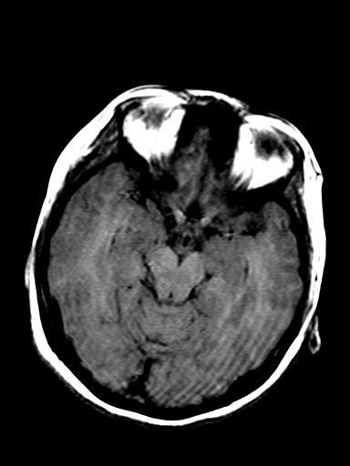
发热、头痛伴精神异常1周


























[本贴已被 翁志蓬 于 2009-8-18 11:26:38 修改过]

作者: guanaishengming    时间: 2009-8-18 22:02
脑炎,肾上腺性脑白质营养不良待除外
作者: qiuleiyu    时间: 2009-8-19 00:50
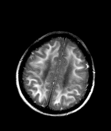
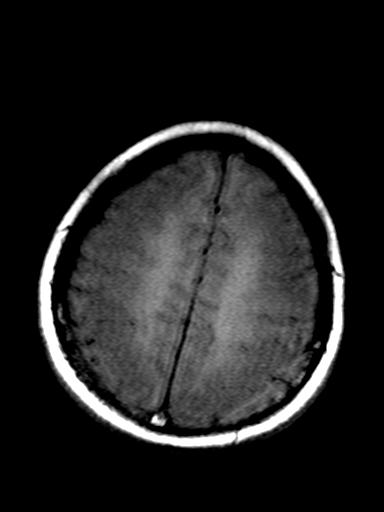
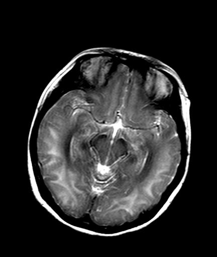
较对称性脑白质异常信号,深部白质t2明显低信号(铁质沉积过多?)
考虑脑白质病变,请结合临床病史及实验室检查进一步分析。
作者: 随光逐影    时间: 2009-8-19 03:54
标题: 回复:mri2408:脑内病变
以下是引用qiuleiyu在2009-8-18 16:50:00的发言:[br]较对称性脑白质异常信号,深部白质t2明显低信号(铁质沉积过多?)[br]考虑脑白质病变,请结合临床病史及实验室检查进一步分析。

作者: ZHXL1127    时间: 2009-8-19 06:59
f 23岁
作者: shibing    时间: 2009-8-19 17:47
脑白质病变,请结合临床病史及实验室检查进一步分析。
作者: 黑白光影    时间: 2009-8-23 05:56
考虑脑白质病变,请结合临床病史及实验室检查进一步分析。
作者: pujunzhi    时间: 2009-8-25 02:54
考虑脑白质病变,请结合临床病史及实验室检查进一步分析。支持!




欢迎光临 医影在线 (http://bbs.radida.com/bbs/) Powered by Discuz! X3.2