医影在线

标题: CT21671:男,88岁,左上腹包块 [打印本页]

作者: lanrenlaile    时间: 2009-8-18 19:57
标题: CT21671:男,88岁,左上腹包块
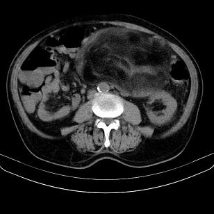
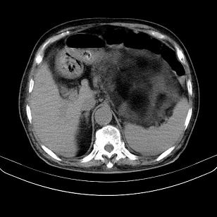
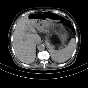
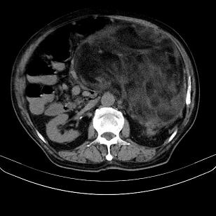
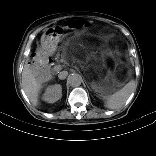
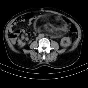
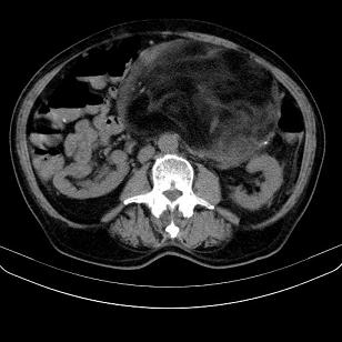
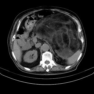
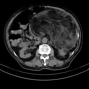
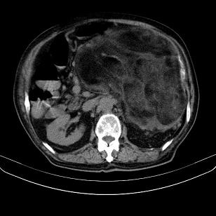
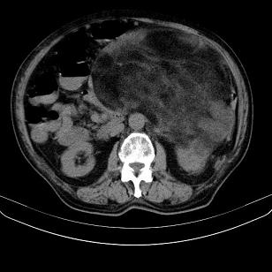
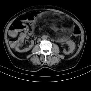
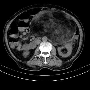
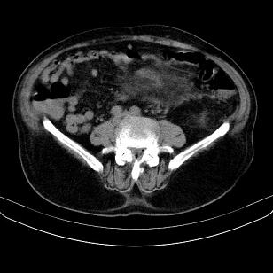
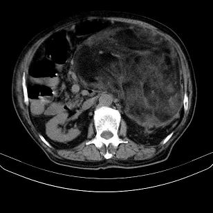
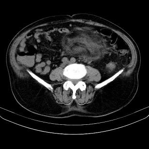
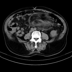
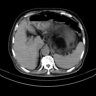
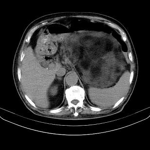
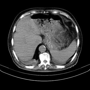
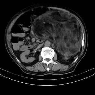
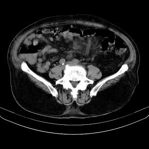
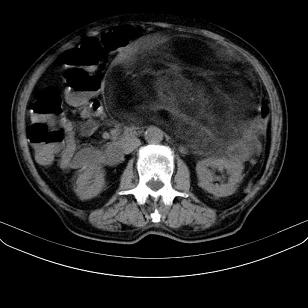
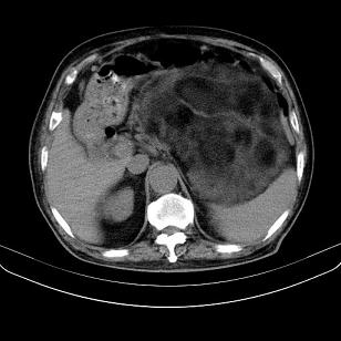
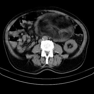
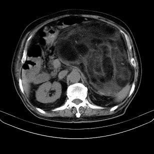
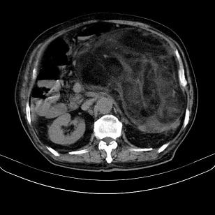
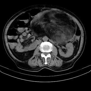
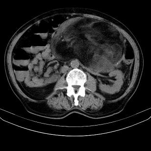
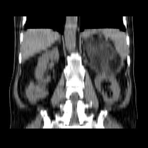
患者因咳嗽而住院,自觉右上腹包块,无其他不适。
































[本贴已被 jiajie 于 2009-8-18 12:50:10 修改过]

作者: 深泽交通    时间: 2009-8-18 20:31
好像一囊腺瘤【太黑,看不清结构】
作者: yxhymx    时间: 2009-8-18 21:02
什么东西?
作者: 水蓝色的    时间: 2009-8-18 21:44
考虑脂肪肉瘤。
作者: zxl51642    时间: 2009-8-18 21:51
腹膜后高分化脂肪肉瘤
作者: shibing    时间: 2009-8-18 22:51
脂肪肉瘤。
作者: 余辉    时间: 2009-8-18 23:13
腹膜后脂肪肉瘤
作者: 沉默是金    时间: 2009-8-18 23:18
考虑脂肪肉瘤
作者: sdzyy    时间: 2009-8-18 23:43
腹膜生占位性病变,脂肪肉瘤可能。
作者: 泪洒红尘    时间: 2009-8-18 23:44
小网膜脂肪肉瘤。
作者: diaojunlin888    时间: 2009-8-19 00:45
脂肪肉瘤,应测ct值。
作者: 高学强    时间: 2009-8-19 00:56
考虑脂肪肉瘤
作者: qiuleiyu    时间: 2009-8-19 01:00
支持;后腹膜脂肪肉瘤诊断。
另肠腔扩张及液平,肠梗阻?
作者: 卜一    时间: 2009-8-19 01:04
腹膜后脂肪肉瘤!
作者: 同    时间: 2009-8-19 01:16
考虑腹膜后脂肪肉瘤可能性大。
作者: shuhangyong    时间: 2009-8-19 01:25
支持腹膜后脂肪肉瘤
作者: 随光逐影    时间: 2009-8-19 02:56
左侧腹膜后脂肪肉瘤。
作者: 黑白光影    时间: 2009-8-19 05:50
考虑腹膜后脂肪肉瘤可能性大。
作者: 731208    时间: 2009-8-19 15:05
支持;后腹膜脂肪肉瘤诊断。
另肠腔扩张及液平,肠梗阻?
作者: 奥特之父    时间: 2009-8-19 17:49
考虑腹膜后脂肪肉瘤.
作者: 帅河马    时间: 2009-8-19 22:10
考虑腹膜后脂肪肉瘤可能性大。 畸胎瘤不除外。




欢迎光临 医影在线 (http://bbs.radida.com/bbs/) Powered by Discuz! X3.2