医影在线

标题: X6210:软组织内斑片状钙化,请分析确切诊断应是什么? [打印本页]

作者: 流星1234    时间: 2009-8-18 23:29
标题: X6210:软组织内斑片状钙化,请分析确切诊断应是什么?
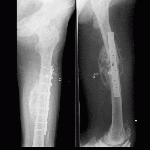
男,三十岁,多处外伤性骨折术后两月余。






[本贴已被 jiajie 于 2009-8-18 18:10:32 修改过]

作者: 江广1996    时间: 2009-8-18 23:39
考虑骨化性肌炎.
作者: 黑白光影    时间: 2009-8-18 23:46
结合病史,骨化性肌炎首先考虑,建议与术前片一比就一目了然了。
作者: 非诚勿扰007    时间: 2009-8-18 23:50
外伤性骨化性肌炎.
作者: bjj12345678    时间: 2009-8-19 00:22
骨化性肌炎!!!
作者: zxl51642    时间: 2009-8-19 01:30
标题: 回复:软组织内斑片状钙化,请分析确切诊断应是什么?
以下是引用非诚勿扰007在2009-8-18 15:50:00的发言:[br]外伤性骨化性肌炎.

支持
作者: 破釜沉舟    时间: 2009-8-19 02:03
经典的外伤性骨化性肌炎。
作者: 帅河马    时间: 2009-8-19 02:09
支持
学习
作者: PANPAN    时间: 2009-8-19 03:31
标题: 回复:x6210:软组织内斑片状钙化,请分析确切诊断应是什
以下是引用江广1996在2009-8-18 15:39:00的发言:[br]考虑骨化性肌炎.

作者: 随光逐影    时间: 2009-8-19 03:43
外伤性骨化性肌炎。
作者: 观影朔征    时间: 2009-8-19 03:56
标题: 回复:x6210:软组织内斑片状钙化,请分析确切诊断应是什
以下是引用黑白光影在2009-8-18 15:46:00的发言:[br]结合病史,骨化性肌炎首先考虑,建议与术前片一比就一目了然了。

作者: sunbin    时间: 2009-8-19 04:12
考虑骨化性肌炎。
作者: zdgds    时间: 2009-8-19 04:15
骨化性肌炎
作者: shuhangyong    时间: 2009-8-19 04:22
支持骨化性肌炎
作者: zhanggenliang    时间: 2009-8-19 04:27
支持骨化性肌炎
作者: 泪洒红尘    时间: 2009-8-19 05:15
学习了。
作者: qsbaomingcheng    时间: 2009-8-19 05:17
外伤性骨化性肌炎.
作者: 拾荒者    时间: 2009-8-19 05:24
支持骨化性肌炎;外伤是诱因,外伤使成骨活动加速,关节周围韧带骨化与软组织的慢性炎症和组织变性有关。
作者: 流星1234    时间: 2009-8-19 06:05
骨化性肌炎:原因不明,多于外伤有关。好发于青年男性,多位于受伤部位的四肢深部组织如股四头肌、股内收肌、上臂肌及肘部肌群内,但不局限于肌肉。
临床上多有外伤史,及全身疾患如截瘫、昏迷等。早期局部肿胀、疼痛,可扪及包块,邻近关节活动受限。病理:早期为局部软组织水肿、变性、坏死、肌纤维断裂及原始间叶细胞增生形成肿块,之后肿块变硬,最外层形成成熟的纤维组织和骨组织,肿块不侵犯骨组织,但可与骨皮质相连。
影像表现为初期患处局限性肿胀,肌间隙模糊,密度增高,之后出现絮状钙化影及毛糙不整的网状致密影,邻近骨质可有骨膜反应;中期肿块内出现条状或层状钙化影,边缘部位出现致密骨。后期肿块缩小,与邻骨间以透亮带相隔或紧密相连,肿块内出现高密度钙化及骨结构形成,骨化影大部分沿肌束走行,是其重要鉴别点。需与下列疾病鉴别,1.骨外软组织骨肉瘤 2.骨外软骨肉瘤  3.皮质旁骨肉瘤 4.骨间膜钙化 5.进行性骨化性肌炎及软组织的其他钙化性疾病。
作者: hexue    时间: 2009-8-19 07:45
外伤性骨化性肌炎。
作者: 张辉9999    时间: 2009-8-19 15:31
骨化性肌炎!!!
作者: shibing    时间: 2009-8-19 17:21
外伤性骨化性肌炎.
作者: LIAOQIANG    时间: 2009-8-19 17:26
骨化性肌炎。
作者: 奥特之父    时间: 2009-8-19 17:30
骨化性肌炎.
作者: jinguoji    时间: 2009-8-19 17:30
骨化性肌炎。
作者: 医盲    时间: 2009-8-19 19:08
外伤性骨化性肌炎!
作者: 道哥    时间: 2009-8-20 00:37
骨化性肌炎!!!
作者: jiahui7z    时间: 2009-8-20 02:31
支持并学习
作者: ganeng.2008    时间: 2009-8-20 04:02
骨化性肌炎
作者: gyldb    时间: 2009-8-20 05:04
结合病史,外伤性骨化性肌炎.
作者: gaoyang8    时间: 2009-8-20 05:19
外伤性骨化性肌炎
作者: ZHANGZHONGSHOU    时间: 2009-8-20 05:33
标题: 回复:x6210:软组织内斑片状钙化,请分析确切诊断应是什
以下是引用江广1996在2009-8-18 15:39:00的发言:[br]考虑骨化性肌炎.

作者: dr.yang    时间: 2009-8-20 07:26
学习了。
作者: zjzjr    时间: 2009-8-20 19:31
骨化性肌炎
作者: muzi888    时间: 2009-8-20 19:41
外伤性骨化性肌炎。
作者: 代课学生    时间: 2009-8-21 18:05
骨化性肌炎。
作者: ncy888888    时间: 2009-8-22 02:48
支持骨化
作者: dyqct    时间: 2009-8-23 04:36
外伤性骨化性肌炎.  支持!
作者: shibing    时间: 2014-8-13 15:32
骨化性肌炎.
作者: sunbin    时间: 2014-8-18 15:51
骨旁软组织内见广泛斑片条状密度增高影,考虑外伤性骨化性肌炎。




欢迎光临 医影在线 (http://bbs.radida.com/bbs/) Powered by Discuz! X3.2