
























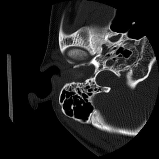
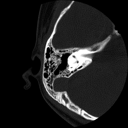
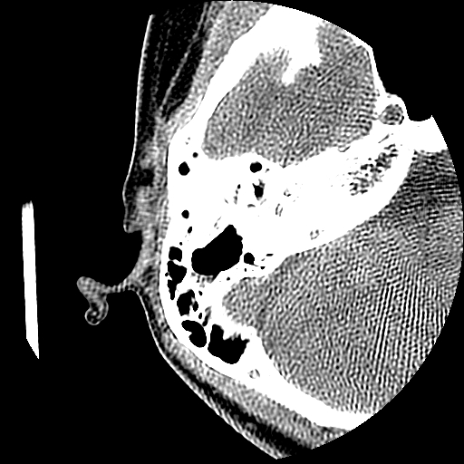
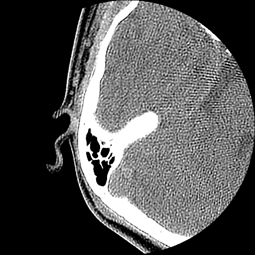
以下是引用随光逐影在2009-8-19 7:25:00的发言:[br]右侧慢性中耳乳突炎,右侧中耳腔及外耳道肉芽肿或胆脂瘤形成。
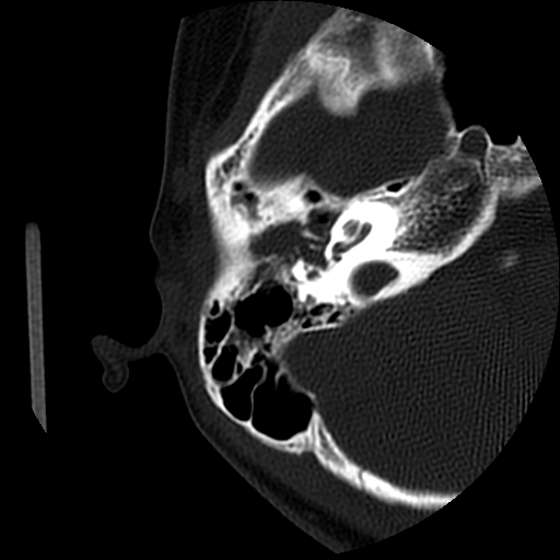
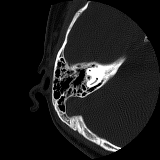
以下是引用随光逐影在2009-8-19 7:25:00的发言:[br]右侧慢性中耳乳突炎,右侧中耳腔及外耳道肉芽肿或胆脂瘤形成。
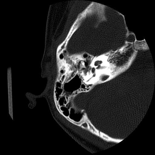
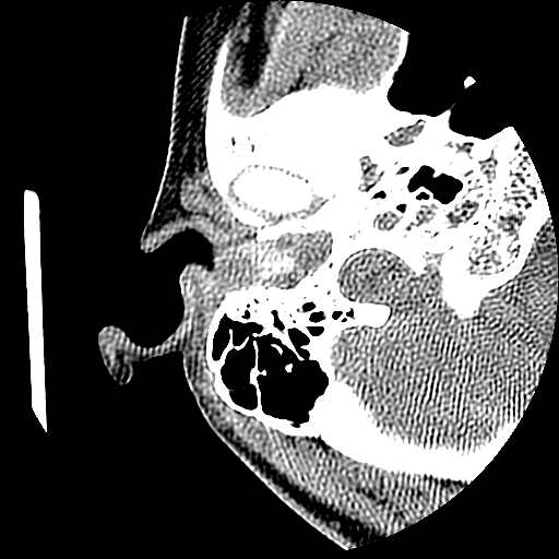
以下是引用随光逐影在2009-8-19 7:25:00的发言:[br]右侧慢性中耳乳突炎,右侧中耳腔及外耳道肉芽肿或胆脂瘤形成。
| 欢迎光临 医影在线 (http://bbs.radida.com/bbs/) | Powered by Discuz! X3.2 |