医影在线

标题: PED2848:脑内病变2 [打印本页]

作者: ZHXL1127    时间: 2009-8-19 05:52
标题: PED2848:脑内病变2
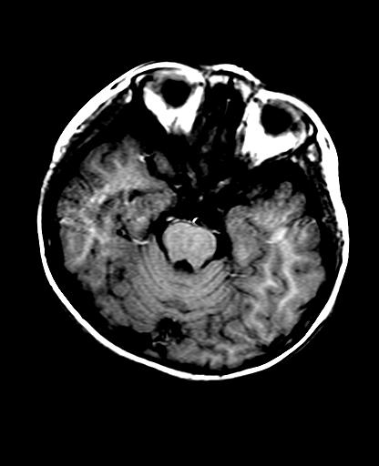
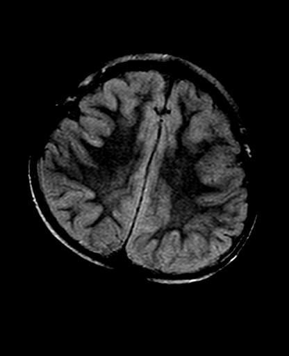
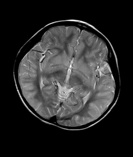
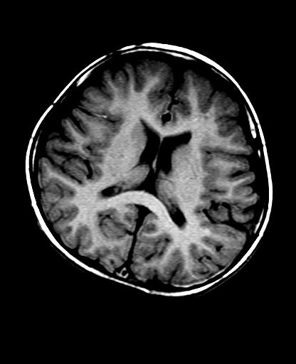
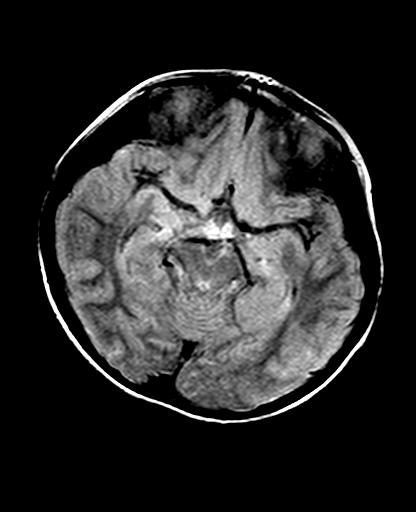
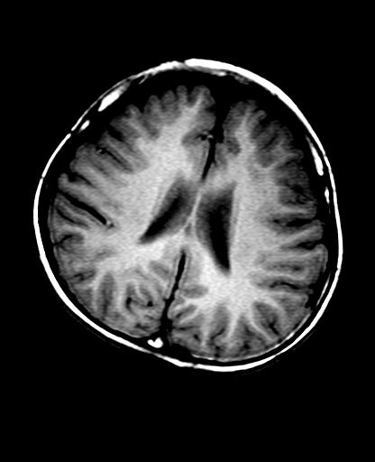
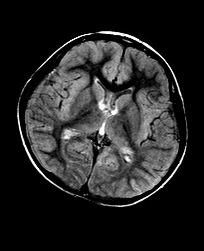
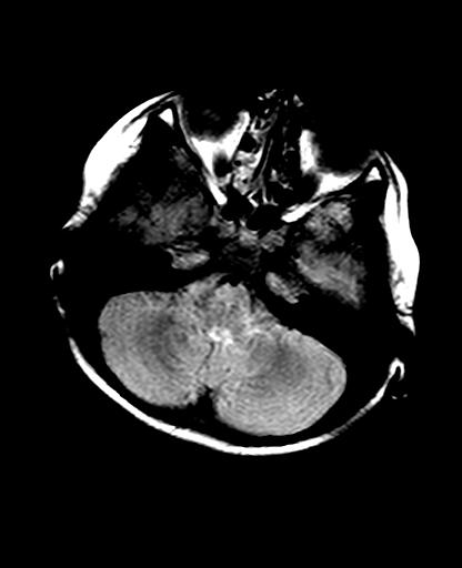
头痛10天、间断呕吐2天。f 6岁
入科化验血清铜及铜兰蛋白均减低,脑脊液正常,血清神经原烯醇化酶明显增高。wbc:5.94x109/l、























[本贴已被 翁志蓬 于 2009-8-18 22:58:37 修改过]

作者: 余辉    时间: 2009-8-19 15:30
临床表现及实验室检查符合肝豆状核变性
作者: xrw    时间: 2009-8-19 18:32
符合肝豆状核变性。
作者: 随光逐影    时间: 2009-8-20 04:58
不排除肝豆状核变性可能。
作者: 拾荒者    时间: 2009-8-20 05:37
mri未见明显异常。但临床支持考虑肝豆状核变性。
作者: 深泽交通    时间: 2009-8-20 17:59
标题: 回复:ped2848:脑内病变2
以下是引用余辉在2009-8-19 7:30:00的发言:[br]临床表现及实验室检查符合肝豆状核变性

作者: scdlc2008    时间: 2009-8-20 19:13
支持
作者: 同    时间: 2009-8-21 04:31
考虑 肝豆状核变性。
作者: 黑白光影    时间: 2009-8-21 21:12
标题: 回复:ped2848:脑内病变2
以下是引用拾荒者在2009-8-19 21:37:00的发言:[br]mri未见明显异常。但临床支持考虑肝豆状核变性。

作者: sunbin    时间: 2009-8-22 03:18
肝豆状核变性可能性大。
作者: dyqct    时间: 2009-8-23 18:58
标题: 回复:ped2848:脑内病变2
以下是引用拾荒者在2009-8-19 21:37:00的发言:[br]mri未见明显异常。但临床支持考虑肝豆状核变性。

支持!




欢迎光临 医影在线 (http://bbs.radida.com/bbs/) Powered by Discuz! X3.2