医影在线

标题: CT21692:盆腔病变 [打印本页]

作者: lnhsdm    时间: 2009-8-20 00:29
标题: CT21692:盆腔病变
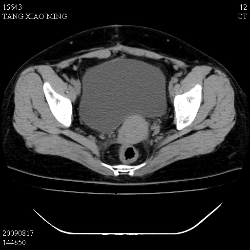
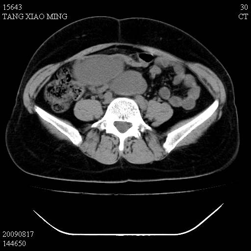
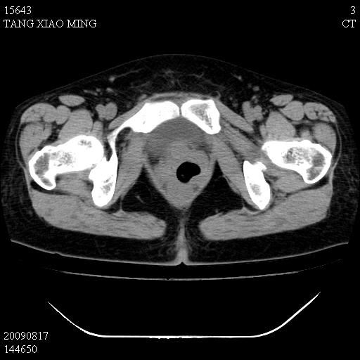
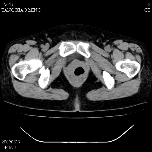
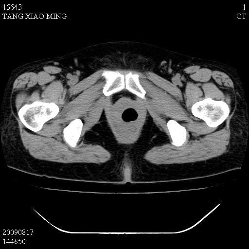
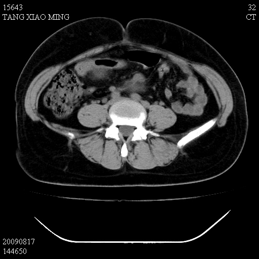
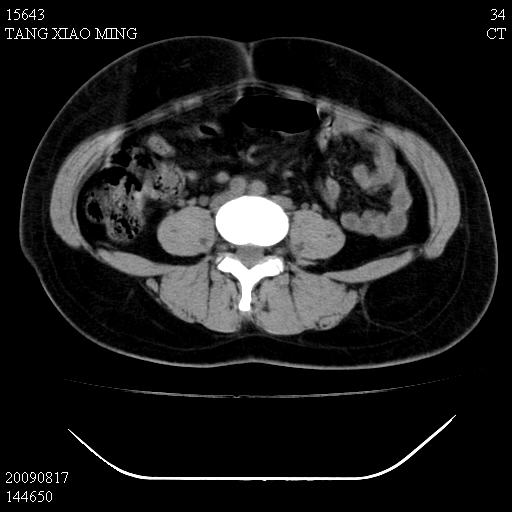
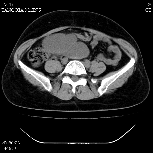
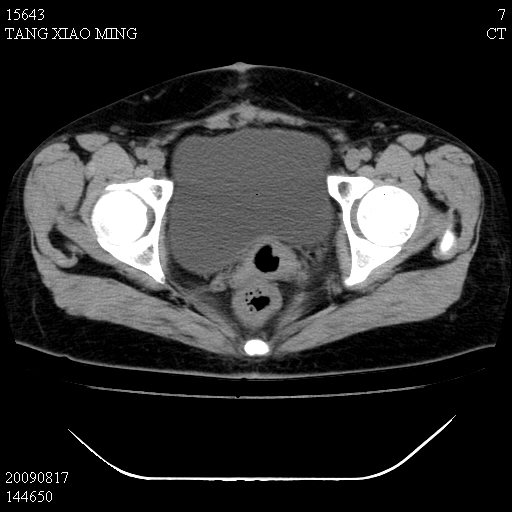
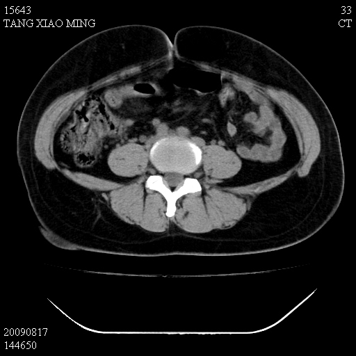
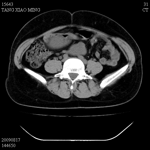
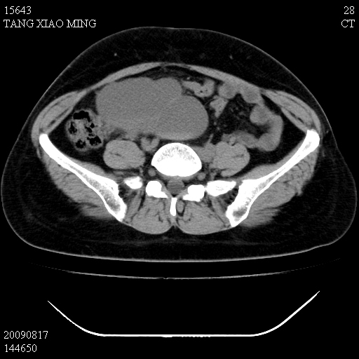
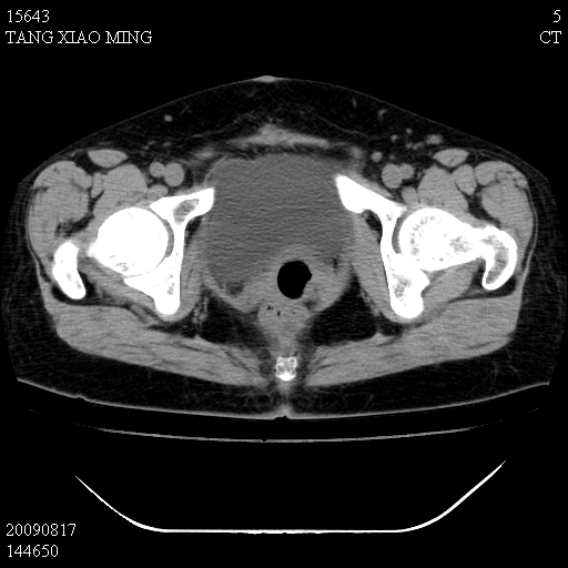
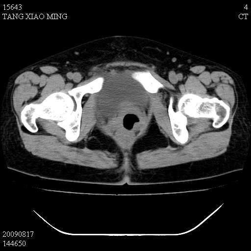
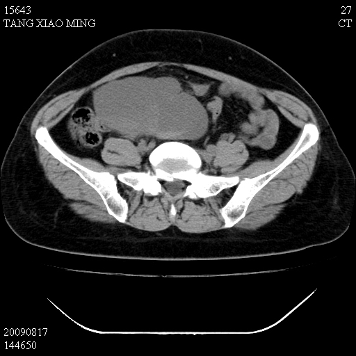
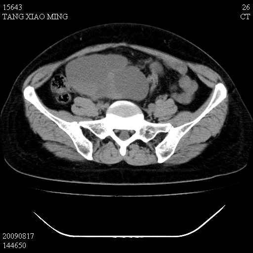
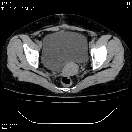
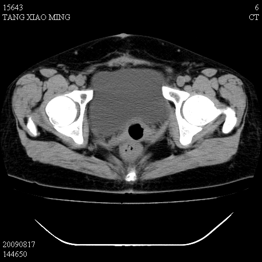
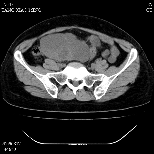
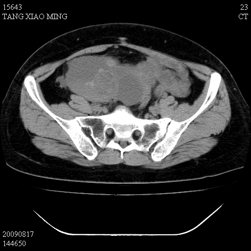
女,33岁,右下腹痛2年余,既往宫外孕病史,如在我院手术,结果下周公布,



































[本贴已被 jiajie 于 2009-8-19 18:36:31 修改过]

作者: zxl51642    时间: 2009-8-20 01:07
考虑瘤巢囊腺瘤可能性大,建议增强。
作者: 深泽交通    时间: 2009-8-20 01:45
可能的诊断。1子宫内膜异位【子宫腺肌症并右卵巢巧克力囊肿】;2 右卵巢囊腺瘤。子宫肌瘤
作者: 卜一    时间: 2009-8-20 02:51
可能的诊断。1子宫内膜异位【子宫腺肌症并右卵巢巧克力囊肿】;2 右卵巢囊腺瘤。子宫肌瘤!支持!
作者: 随光逐影    时间: 2009-8-20 04:12
1)考虑卵巢巧克力囊肿,不排除卵巢囊腺瘤。2)子宫肌瘤可能。
建议:必要时行mri检查。
作者: dr.yang    时间: 2009-8-20 04:55
可能的诊断。1子宫内膜异位【子宫腺肌症并右卵巢巧克力囊肿】;2 右卵巢囊腺瘤。子宫肌瘤--学习了。
作者: zjzjr    时间: 2009-8-20 05:04
卵巢囊腺瘤,子宫肌瘤,直肠壁厚,不除外占位.
作者: 黑白光影    时间: 2009-8-20 05:43
1)考虑卵巢巧克力囊肿,不排除卵巢囊腺瘤。2)子宫肌瘤可能。
建议:必要时行mri检查。




欢迎光临 医影在线 (http://bbs.radida.com/bbs/) Powered by Discuz! X3.2