医影在线

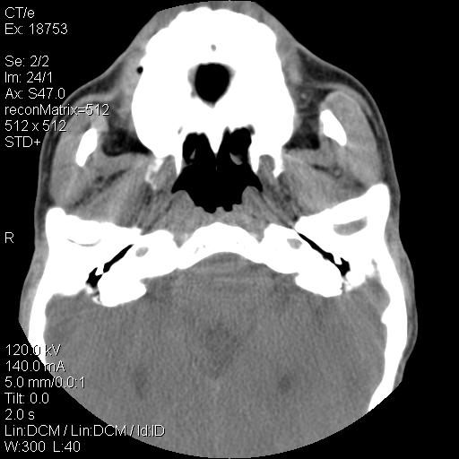
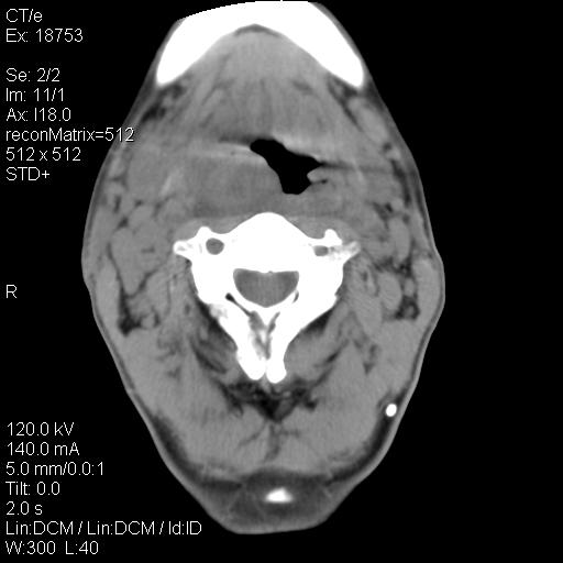
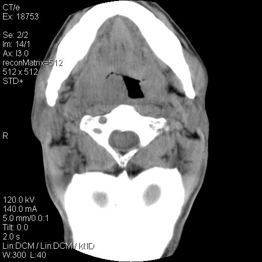
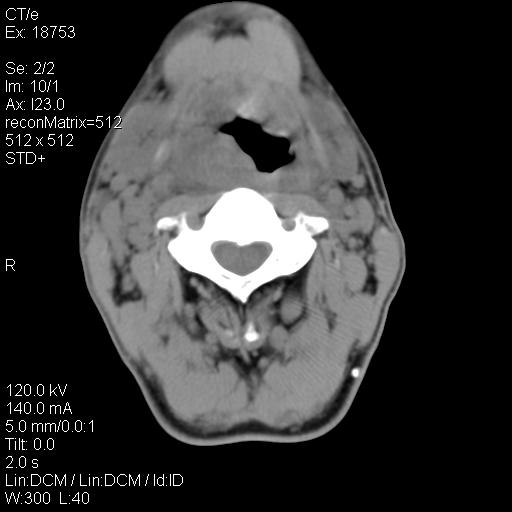
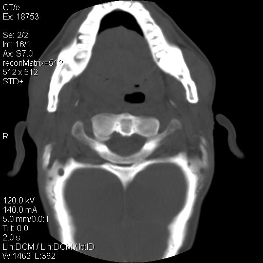
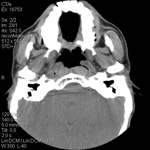
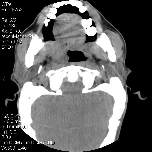
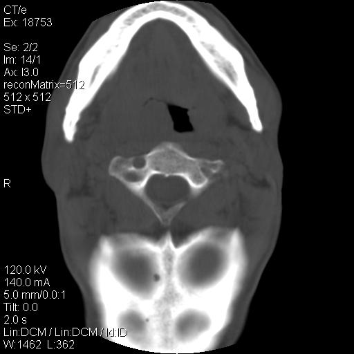
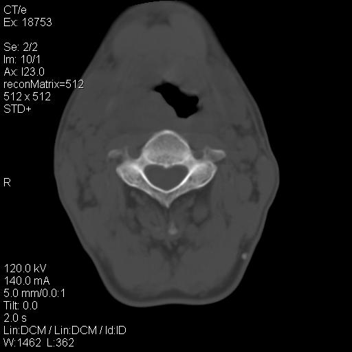
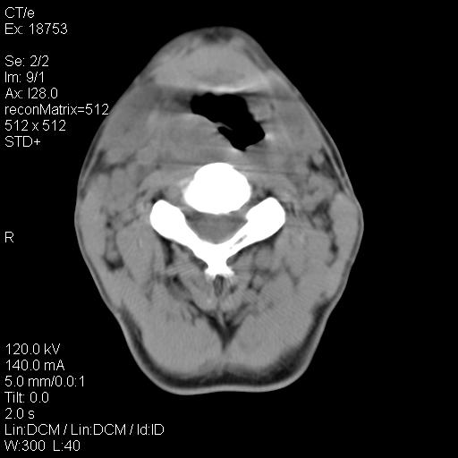
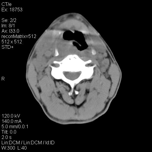
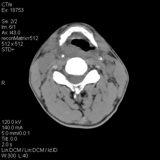
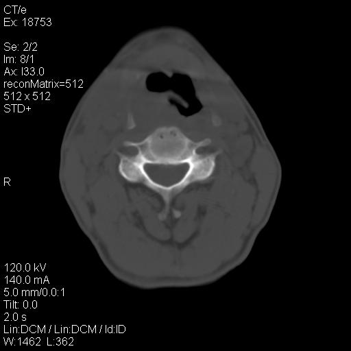
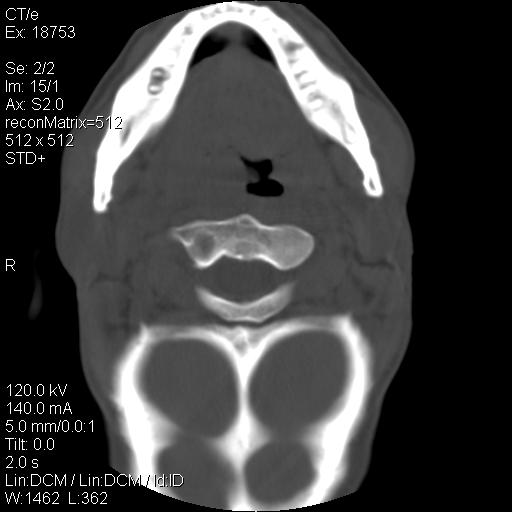
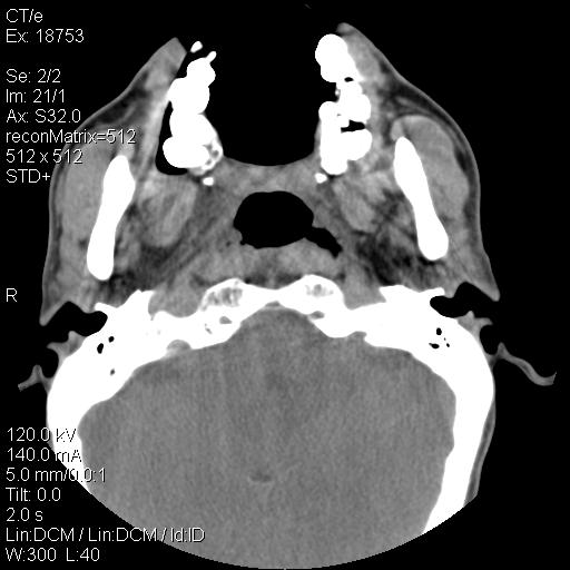
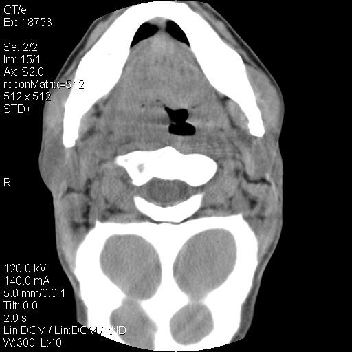
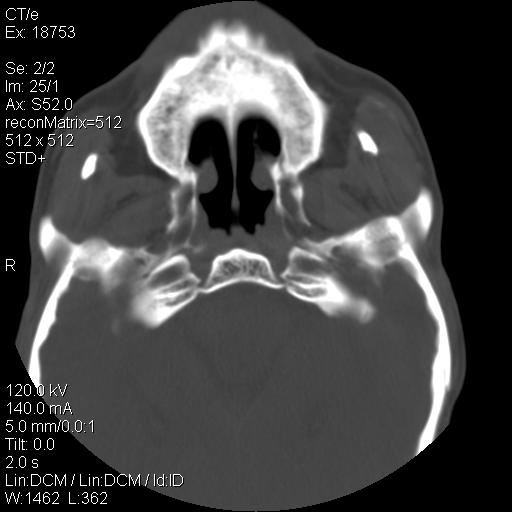
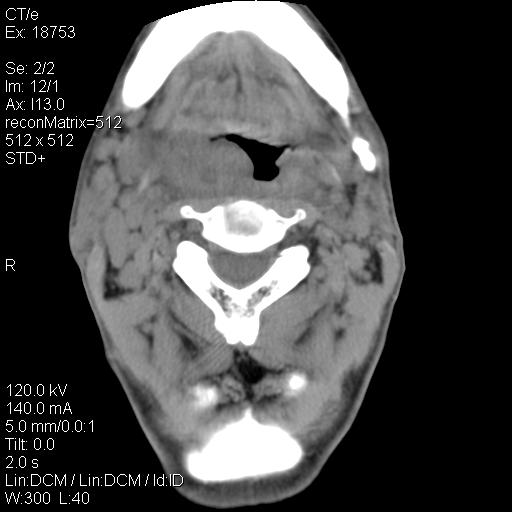
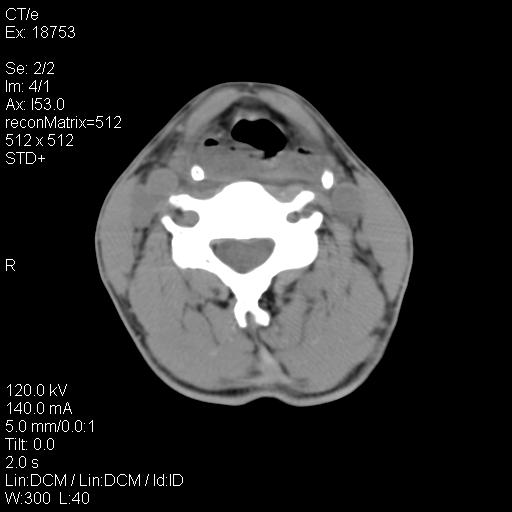
标题: CT21693:男 58岁 右侧咽部疼她2天余 PE:右侧扁桃体肿大 压痛 [打印本页]

作者: fengchunyan    时间: 2009-8-20 01:01
标题: CT21693:男 58岁 右侧咽部疼她2天余 PE:右侧扁桃体肿大 压痛






















































[本贴已被 jiajie 于 2009-8-19 18:37:08 修改过]

作者: 帅河马    时间: 2009-8-20 01:05
喉部新生物,喉癌可能大,建议喉镜取组织活检。
作者: zxl51642    时间: 2009-8-20 01:09
考虑感染性病变可能性大,建议抗炎治疗后复查,必要时鼻咽腔镜活检排除占位。
作者: 深泽交通    时间: 2009-8-20 01:38
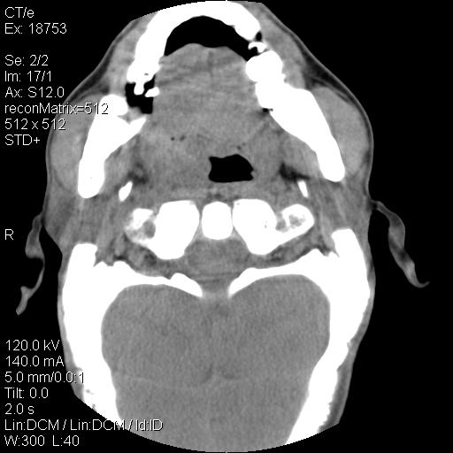
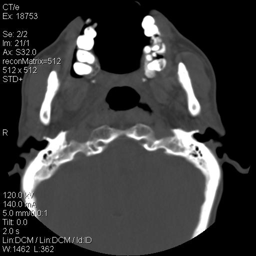
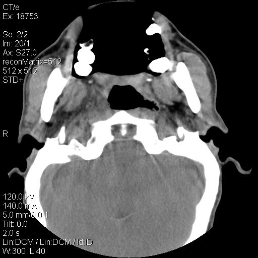
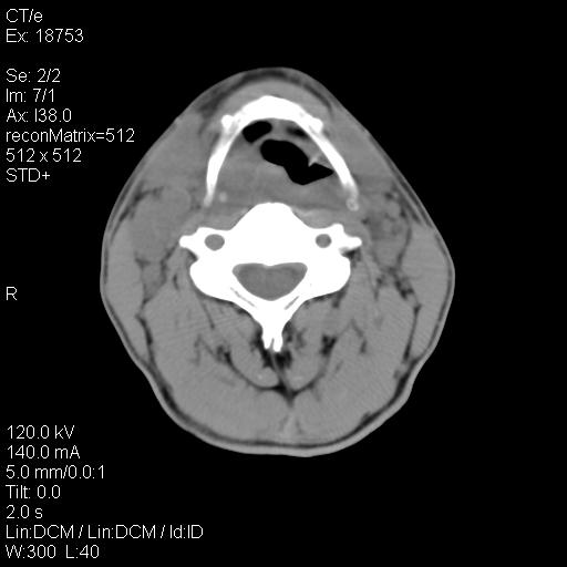
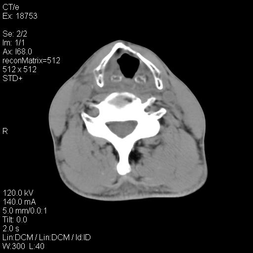
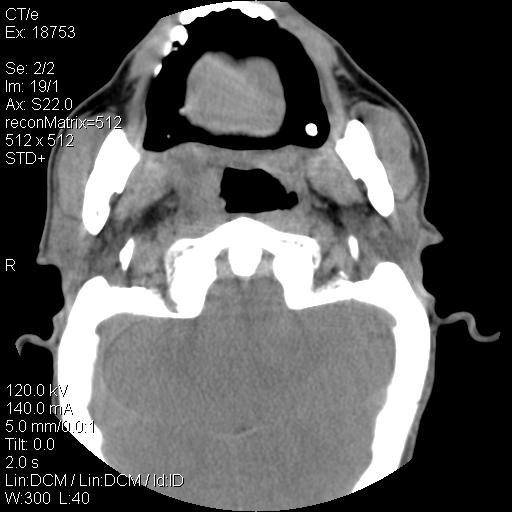
1 弥漫性肿胀,与周围组织分界清晰,发病急,有明显症状,考虑急性炎症【wbc]
作者: 卜一    时间: 2009-8-20 02:49
弥漫性肿胀,与周围组织分界不清,发病急,有明显症状,考虑:感染性病变!
作者: guanaishengming    时间: 2009-8-20 04:12
喉癌可能大
作者: 随光逐影    时间: 2009-8-20 04:18
结合病史,考虑感染性病变;建议抗炎治疗复查排除肿瘤性病变。
作者: fnxg    时间: 2009-8-20 04:34
支持楼上
作者: 黄毛小子    时间: 2009-8-20 04:44
弥漫性肿胀,与周围组织分界不清,发病急,有明显症状,考虑:感染性病变!
作者: dr.yang    时间: 2009-8-20 04:58
弥漫性肿胀,与周围组织分界不清,发病急,有明显症状,考虑:感染性病变! 抗炎后复查。
作者: zjzjr    时间: 2009-8-20 05:07
右化脓性扁桃体炎症伴咽后壁脓肿形成.
作者: 黑白光影    时间: 2009-8-20 05:47
标题: 回复:ct21693:男 58岁 右侧咽部疼她2天余 pe:右侧扁桃体肿大
以下是引用zjzjr在2009-8-19 21:07:00的发言:[br]右化脓性扁桃体炎症伴咽后壁脓肿形成.

作者: 不学无术    时间: 2009-8-20 06:01
感染性病变




欢迎光临 医影在线 (http://bbs.radida.com/bbs/) Powered by Discuz! X3.2