医影在线

标题: CT21702:也发个结肠的 [打印本页]

作者: cainiao003    时间: 2009-8-20 17:37
标题: CT21702:也发个结肠的
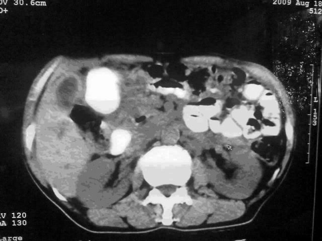
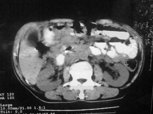
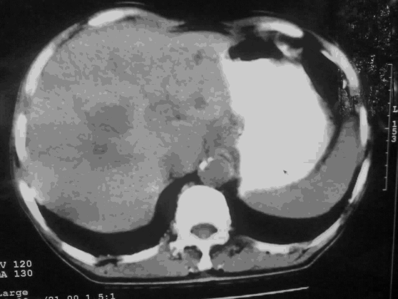
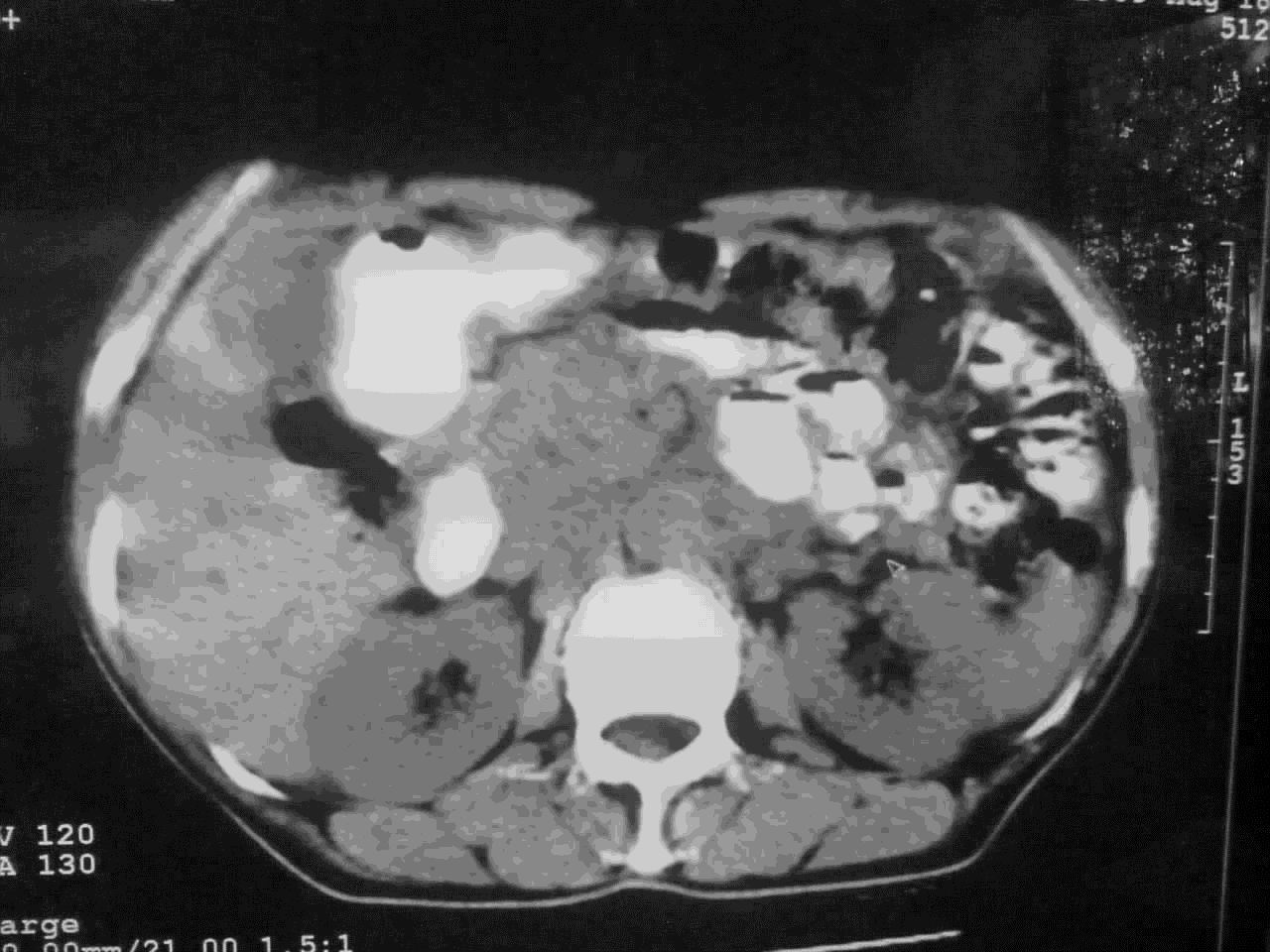
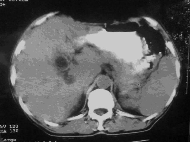
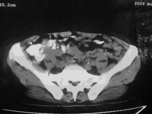
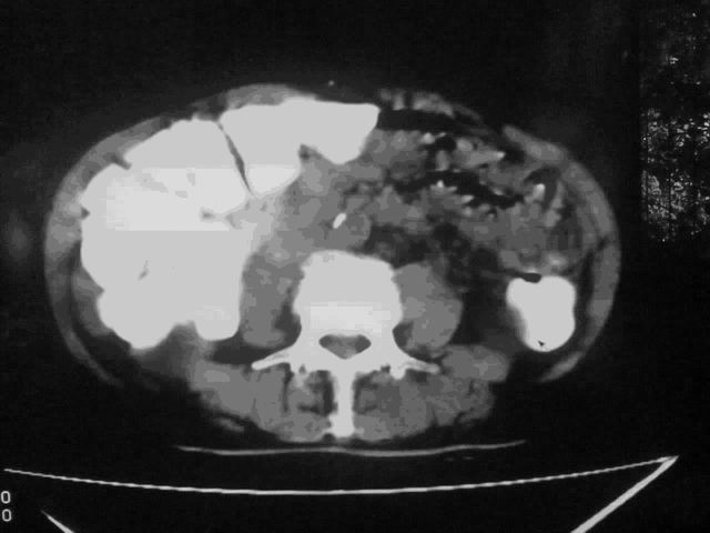
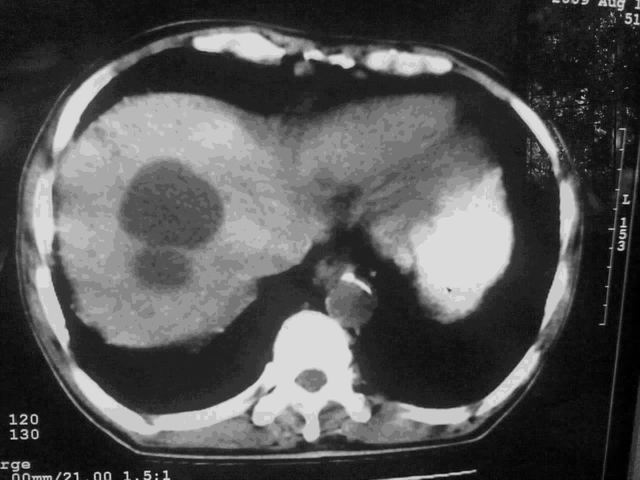
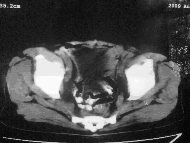
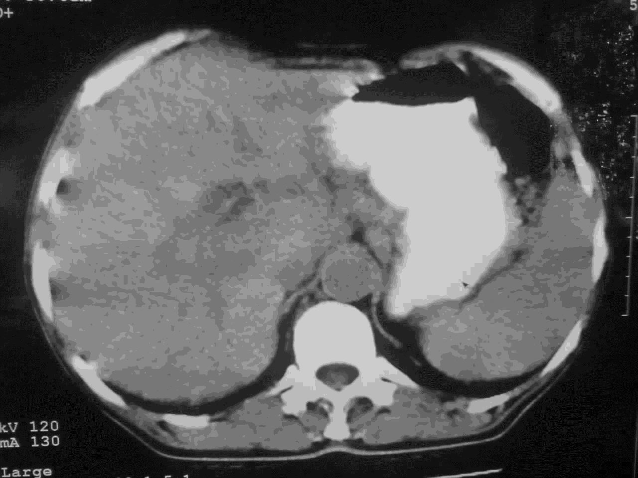
我这个考考大家眼力,看看是升结肠ca还是降结肠ca












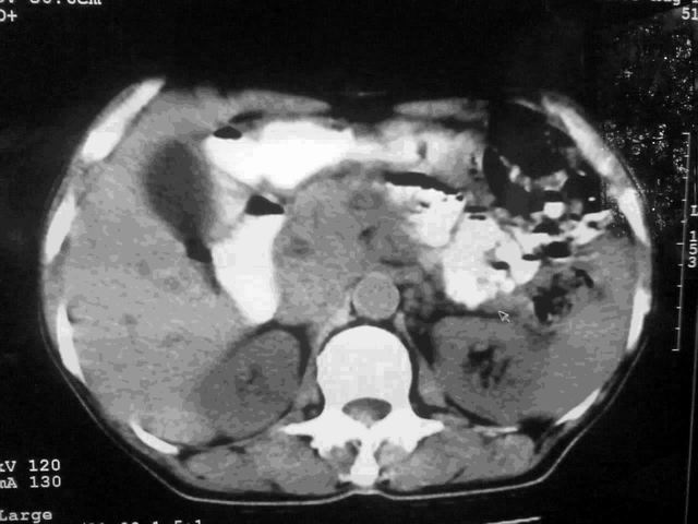
下面的是4小时后的,



















[本贴已被 jiajie 于 2009-8-20 13:35:19 修改过]

作者: 深泽交通    时间: 2009-8-20 17:51
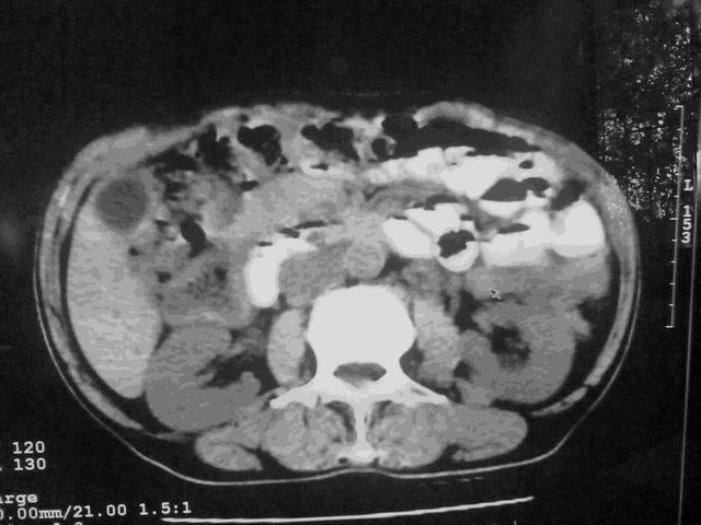
好象是横结肠占位肝转移,胰头占位?【伙计,您的片也真够意思】
作者: muzi888    时间: 2009-8-20 18:49
好象是横结肠占位肝转移,胰头占位?【伙计,您的片也真够意思】  
   
支持!
作者: 泪洒红尘    时间: 2009-8-20 18:52
路过
作者: shibing    时间: 2009-8-20 19:08
横结肠占位肝转移
作者: zjzjr    时间: 2009-8-20 19:11
伪影太多,考虑降结肠癌伴肝转移,胆囊炎
作者: 江广1996    时间: 2009-8-20 20:19
伪影太多,考虑升结肠癌伴肝转移,胆囊炎
作者: 帅河马    时间: 2009-8-20 20:39
好象是横结肠占位肝转移,胰头占位?
作者: zxl51642    时间: 2009-8-20 21:05
标题: 回复:也发个结肠的
以下是引用zjzjr在2009-8-20 11:11:00的发言:[br]伪影太多,考虑降结肠癌伴肝转移,胆囊炎

作者: scdlc2008    时间: 2009-8-20 21:11
胰头占位?
作者: sxz2001    时间: 2009-8-20 21:12
片子质量差了点,好像是降结肠
作者: xiao实习生    时间: 2009-8-20 21:58
片不清楚!弄的清楚地看看!!!!
作者: 随光逐影    时间: 2009-8-20 22:19
考虑升结肠癌伴肝转移;胆囊炎。
作者: 513ytb    时间: 2009-8-20 22:29
好象是横结肠占位肝转移.
作者: xrw    时间: 2009-8-20 23:08
结肠占位并肝及腹膜后淋巴结转移。
作者: jiahui7z    时间: 2009-8-21 00:07
学习大家
作者: LIAOQIANG    时间: 2009-8-21 00:38
明确考眼力!考虑降结肠癌伴肝转移可能性。
作者: 宇宙CT    时间: 2009-8-21 03:23
考虑升结肠癌伴肝转移;胆囊炎
作者: 黑白光影    时间: 2009-8-21 06:36
标题: 回复:ct21702:也发个结肠的
以下是引用zjzjr在2009-8-20 11:11:00的发言:[br]伪影太多,考虑降结肠癌伴肝转移,胆囊炎

作者: jinguoji    时间: 2009-8-21 22:03
伪影太多,考虑降结肠癌伴肝转移,胆囊炎。




欢迎光临 医影在线 (http://bbs.radida.com/bbs/) Powered by Discuz! X3.2