医影在线
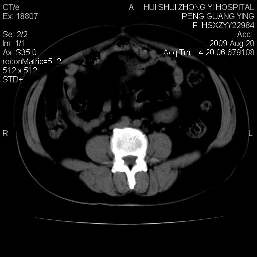
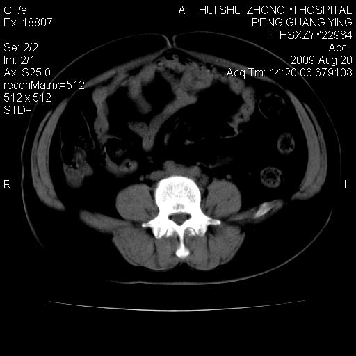
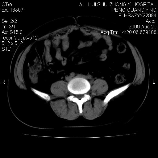
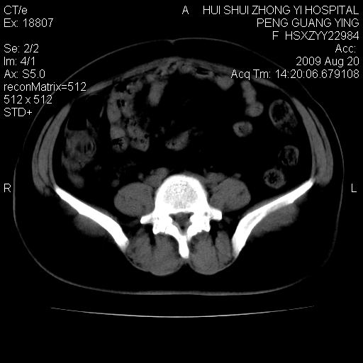
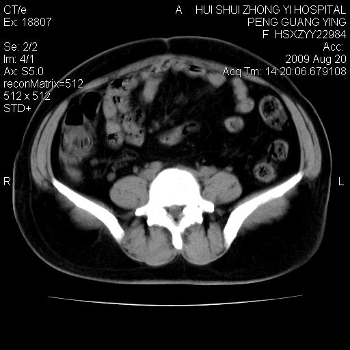
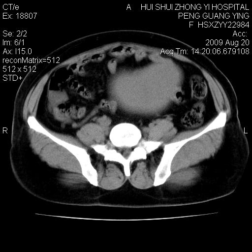
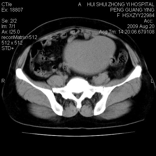
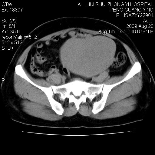
标题: CT21707:女,42岁,因发现下腹部包块2月。 [打印本页]
作者: hsxfh 时间: 2009-8-21 00:56
标题: CT21707:女,42岁,因发现下腹部包块2月。






































[本贴已被 hsxfh 于 2009-8-20 17:13:13 修改过]
[本贴已被 jiajie 于 2009-8-20 19:47:46 修改过]
作者: 水蓝色的 时间: 2009-8-21 01:16
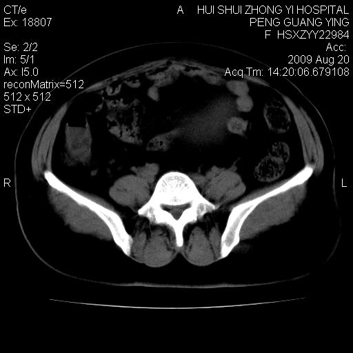
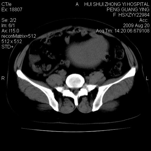
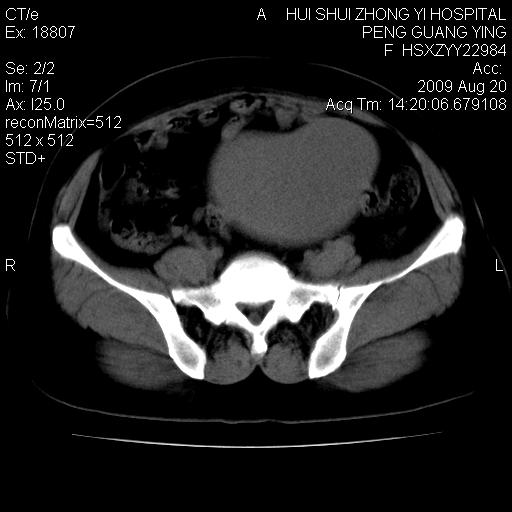
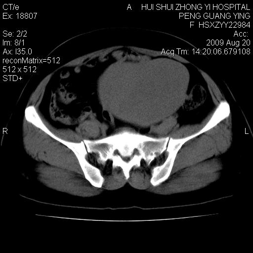
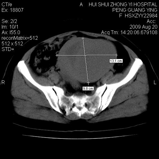
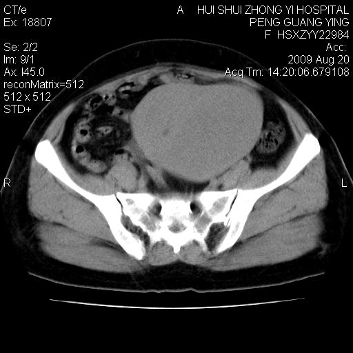
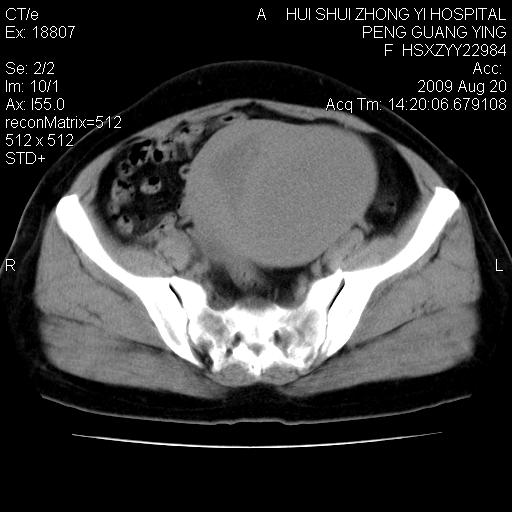
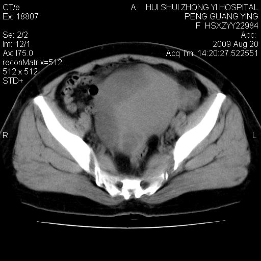
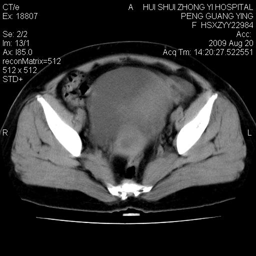
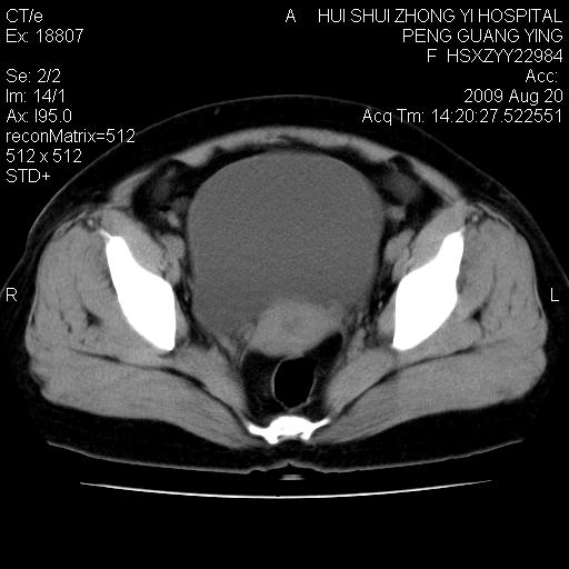
卵巢囊腺瘤。
作者: zxl51642 时间: 2009-8-21 04:16
增强看看,倾向于子宫肌瘤并囊变或腺肌征,宫腔少量积液。
作者: 同 时间: 2009-8-21 04:20
考虑 1 卵巢囊腺瘤 2 子宫肌瘤。
作者: 卜一 时间: 2009-8-21 04:23
考虑 1 卵巢囊腺瘤 2 子宫肌瘤。
作者: 泪洒红尘 时间: 2009-8-21 04:32
病灶来源——子宫?附件?
从平扫角度看本人还是倾向于子宫肌瘤诊断,宫腔少量积液。
作者: 黄毛小子 时间: 2009-8-21 04:34
标题: 回复:ct21707:女,42岁,因发现下腹部包块2月。
以下是引用同在2009-8-20 20:20:00的发言:[br]考虑 1 卵巢囊腺瘤 2 子宫肌瘤。
作者: cmcedu 时间: 2009-8-21 05:42
目前的影像表现显示肿块位于腹腔及盆腔,但具体定位,分清来源较困难,是否来源于卵巢、子宫无法定论,子宫直肠及子宫膀胱周围脂肪间隙尚较清晰,如果患者有过腹腔好或者盆腔手术史,也可以形成不典型的血中,最好手术后定为定性,我期待结果。
作者: bmw011 时间: 2009-8-21 06:48
标题: 回复:ct21707:女,42岁,因发现下腹部包块2月。
以下是引用zxl51642在2009-8-20 20:16:00的发言:[br]增强看看,倾向于子宫肌瘤并囊变或腺肌征,宫腔少量积液。
软组织密度,与子宫一致。双侧卵巢形态、密度好,不支持来源于卵巢。
作者: 513ytb 时间: 2009-8-21 07:13
考虑 1 卵巢囊腺瘤 2 子宫肌瘤。
作者: 随光逐影 时间: 2009-8-21 15:21
考虑子宫肌瘤。
作者: wsz9999 时间: 2009-8-21 15:30
考虑 1 卵巢囊腺瘤 2 子宫肌瘤。
作者: shibing 时间: 2009-8-21 16:35
来源卵巢--畸胎类肿瘤
作者: sjh753 时间: 2009-8-21 16:54
病史不全面,病灶来源可能是子宫或卵巢,若临床有剖腹产、痛经史,则更支持前者,亦更支持子宫腺肌症
作者: 深泽交通 时间: 2009-8-21 17:22
标题: 回复:ct21707:女,42岁,因发现下腹部包块2月。
以下是引用泪洒红尘在2009-8-20 20:32:00的发言:[br]病灶来源——子宫?附件?[br]从平扫角度看本人还是倾向于子宫肌瘤诊断,宫腔少量积液。
作者: zjzjr 时间: 2009-8-21 19:24
子宫肌瘤
作者: 黑白光影 时间: 2009-8-21 20:26
考虑子宫肌瘤。
作者: jinguoji 时间: 2009-8-23 07:36
考虑子宫肌瘤。
| 欢迎光临 医影在线 (http://bbs.radida.com/bbs/) |
Powered by Discuz! X3.2 |