医影在线

标题: PED2853:颈3/4椎间盘内高密度钙化灶,请各位会诊. [打印本页]

作者: lds    时间: 2009-8-21 07:10
标题: PED2853:颈3/4椎间盘内高密度钙化灶,请各位会诊.
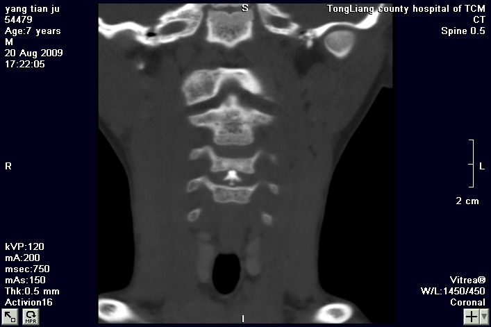
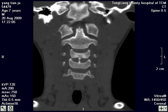
患儿,7岁,颈部疼痛3天,颈部活动受限.















[本贴已被 翁志蓬 于 2009-8-20 23:18:38 修改过]

作者: lds    时间: 2009-8-21 07:41
这是-----儿童颈椎间盘钙化(cdcc)吗?
作者: 代课学生    时间: 2009-8-21 17:56
支持颈椎间盘钙化症。
作者: lds    时间: 2009-8-21 18:21
颈椎间盘钙化症,与发生在颈椎间盘的先天性钙化性软骨营养不良(又称点状软骨发育不全)是不是一个病
作者: 随光逐影    时间: 2009-8-21 20:37
支持 颈椎间盘钙化症。
作者: zxl51642    时间: 2009-8-21 20:56
支持 颈椎间盘钙化症。
作者: 黑白光影    时间: 2009-8-21 21:05
支持儿童颈椎间盘钙化症。
作者: 子期    时间: 2009-8-22 02:23
本例应该是典型的儿童钙化性椎间盘病。
儿童钙化性椎间盘病发病年龄多在5~12岁,男女比例相当,大多数患儿发病主要表现为颈部疼痛,伴活动受限。少数有吞咽不适或肢体瘫痪。有一部分患儿无症状,是在其它检查时发现。病因尚不完全明了,可能的有:1、感染。2外伤。
儿童颈椎椎间盘钙化系一良性自限性疾病,可见于颈、胸、腰椎,以颈椎为多发,腰椎少见,多为单发。钙化位于髓核,也可累及软骨板和纤维环引起钙化主要发生于c 4~7  的髓核位于椎间隙正中或偏后,少数向前疝出,以后部多见,呈梭状、盘状、团块状或半环状;(2)颈椎生理曲度变直,椎间隙正常或增宽;(3)相邻椎体可变扁,局部凹陷变形,椎体前下缘鸟嘴状增生,或呈钳口状改变,椎前软组织增厚及环枢椎半脱位;(4)ct可清晰显示椎间盘髓核 位置的钙化灶及经破裂的纤维环向椎管内突出。(5)mri,钙化在t1及t2加权像上均呈低信号,并可见脊髓组织内异常信号。
作者: sunbin    时间: 2009-8-22 03:29
椎间盘钙化。
作者: jinguoji    时间: 2009-8-23 04:34
支持颈椎间盘钙化症。
作者: 拾荒者    时间: 2009-8-23 05:58
谢谢8楼的详细点评!典型的儿童颈椎间盘钙化症。
作者: zjzjr    时间: 2009-8-23 17:12
支持颈椎间盘钙化症
作者: dyqct    时间: 2009-8-23 19:20
支持儿童颈椎间盘钙化症。
作者: 同    时间: 2009-8-23 23:50
标题: 回复:ped2853:颈3/4椎间盘内高密度钙化灶,请各位会诊.
以下是引用随光逐影在2009-8-21 12:37:00的发言:[br]支持 颈椎间盘钙化症。

作者: 深泽交通    时间: 2009-8-26 00:51
标题: 回复:ped2853:颈3/4椎间盘内高密度钙化灶,请各位会诊.
以下是引用代课学生在2009-8-21 9:56:00的发言:[br]支持颈椎间盘钙化症。

作者: 牵手    时间: 2009-9-30 05:26
ct图像能否再上传一个清晰点的,把窗宽窗位在调一下!!




欢迎光临 医影在线 (http://bbs.radida.com/bbs/) Powered by Discuz! X3.2